随着纳米技术在现代生活中的迅猛发展,纳米材料在商业产品应用中的使用也不断增加,而纳米银更是由于其优越而独特的性能,在工业生产和日常生活中得到了广泛应用。然而,废弃纳米银对大气、土壤和水生系统的潜在风险不容忽视。纳米银的毒性作用在很大程度上取决于其物理化学特性(如不同形貌),然而纳米银形貌对成年斑马鱼的毒性影响机制有待进一步研究。
近日,华南农业大学徐汉虹/伍欣宙课题组在学术期刊Environmental Science & Technology上发表了题为“Mass Spectrometry Imaging Reveals the Morphology-Dependent Toxicological Effects of Nanosilvers on Multiple Organs of Adult Zebrafish (Danio rerio)”的文章,通过基质辅助和表面辅助激光解吸/电离质谱成像(MALDI-/SALDI-MSI)技术可视化地展示了纳米材料形貌依赖及斑马鱼器官依赖的脂质差异变化,系统探究了不同形貌的纳米银,如球状纳米银(AgNSs)、线状纳米银(AgNWs)、片状纳米银(AgNFs),对成年斑马鱼多个器官具有形貌依赖的毒性差异,该研究有助于阐明环境污染物纳米银对成年斑马鱼的毒性效应和毒理机制。

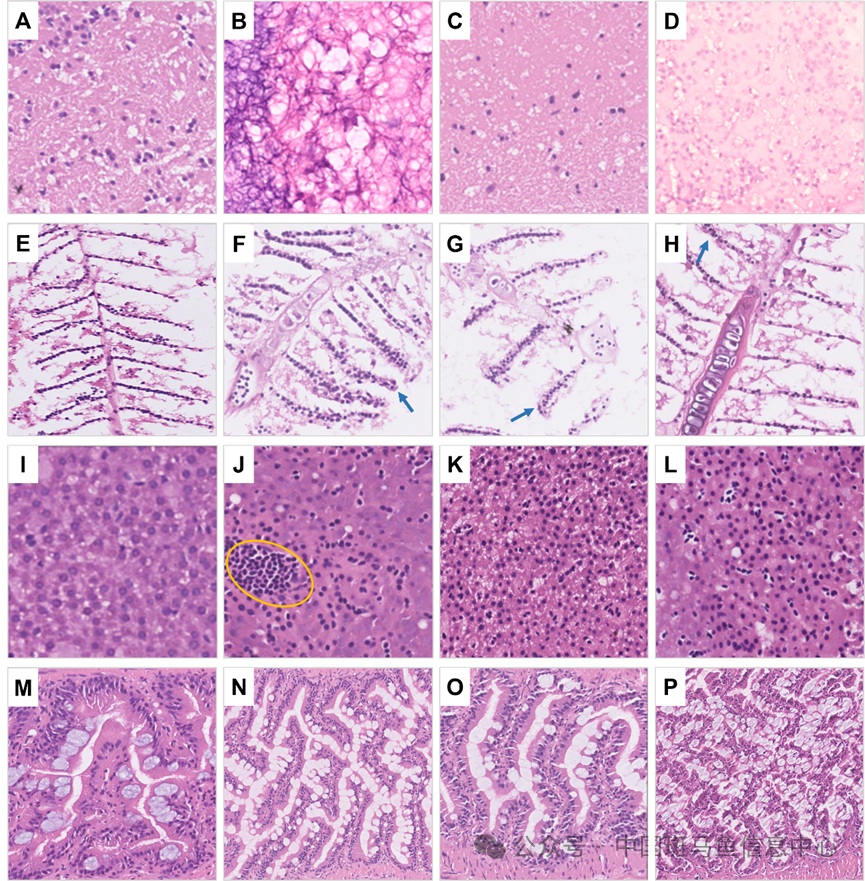
研究人员首先通过组织病理学探究了AgNSs、AgNWs和AgNFs暴露96 h后对斑马鱼脑、鳃、肝脏和肠道的影响。发现纳米银损伤成年斑马鱼脑、鳃、肝脏和肠道,在脑、鳃和肝脏中,AgNSs导致的损伤更为严重,AgNSs引起鳃形成棒状尖端、毛细血管扩张、水肿和炎症,引起肝脏出现核固缩现象,而在肠道中,AgNFs引起的损伤更为严重,可明显观察到由上皮细胞空泡化和肠绒毛溶解所引起的肠道组织损伤。

图1 斑马鱼脑、鳃、肝脏和肠道的H&E染色图
为了探究纳米银对斑马鱼体内氧化应激的影响,研究人员测定了脑、鳃、肝脏和肠道中的SOD活性以及MDA含量变化,AgNSs暴露组斑马鱼脑、鳃和肝脏中SOD活性明显降低,AgNWs暴露使斑马鱼大脑中SOD活性降低,而肠道中SOD活性升高,AgNFs会降低脑和肝脏中SOD活性,而使肠道中SOD活性升高。三个暴露组脑中MDA含量均显著高于对照组,AgNSs暴露后鳃中MDA含量显著升高,AgNFs暴露后鳃中MDA含量显著降低。暴露于AgNSs后肝脏中MDA含量增加,而在AgNWs和AgNFs暴露组中MDA含量下降。肠道中,AgNSs和AgNWs暴露组的MDA水平显著升高,而AgNFs暴露组的MDA水平降低。以上结果表明纳米银诱导成年斑马鱼器官产生氧化应激损伤,暴露于AgNSs可以强烈诱导斑马鱼脑、鳃和肝脏的脂质过氧化损伤,而AgNWs和AgNFs对肠道的损伤更为严重。

图2 斑马鱼脑、鳃、肝脏和肠道的SOD活性以及MDA含量变化
利用SCiLS Lab 软件对斑马鱼成像进行空间分割(Segmentation)可以更好地研究纳米银对斑马鱼不同器官的影响,空间分割图可以清楚地区分感兴趣区域(ROI),包括大脑、鳃、肝脏、肠、肌肉、卵巢、眼睛和脾脏,由此可以选择各种器官作为研究对象。

图3 基于MSI结果的斑马鱼器官空间分割
根据质谱成像结果,可以寻找出器官特异性离子,LPI(16:0)主要分布在鳃和肾脏,PE(38:4)主要分布在肝脏,PE(38:4p)主要分布于肠道,m/z 450.3的离子主要存在于大脑中,PS(38:3)、PI(36:4)和PS(40:6)分别分布于肌肉、卵巢和眼睛中,m/z 514.3离子出现在脾肠区。对于多器官或多区域,采用空间分割与特定区域离子分布相结合的方法可以更清晰地进行区分。

图4 斑马鱼各器官中具有代表性的特异性离子分布
通过对斑马鱼鳃、肝脏和肠道进行差异性脂质分析,发现纳米银暴露会扰乱鳃、肝脏和肠道中的部分脂质。暴露于纳米银后,鳃的LPE、PE、PI、PS和SM含量均降低,其中AgNSs暴露组的变化最大,而LPI在暴露组中有升高的趋势;肝脏中,AgNSs暴露使LPI上调,PE、PI、PS和SM下调,此外,DG和TG的水平在暴露组中也有变化;暴露组肠道中LPE、PC、PE、PI、PS、DG、TG含量均出现下调,其中AgNFs暴露组影响更为明显。

图5 斑马鱼鳃、肝脏和肠道中差异性脂质变化热图
通过单独选中肝脏区域(红框区域),对其脂质变化的质谱成像图及其特异性脂质信号强度变化图分析,发现LPI(18:0)在AgNSs暴露组中明显上调,而PS(36:1)、PE(40:5)和PI(38:5)却显著下调,肝脏是研究脂质变化的重要器官,脂质代谢紊乱可揭示纳米银对肝脏的炎症、肝细胞功能等毒理影响。在本研究中,AgNSs比其他两种纳米银更容易扰乱肝脏脂质稳态。

图6斑马鱼全身组织成像图
这项工作通过无标记的MALDI-/SALDI-MSI方法探究了不同形貌的纳米银(包括AgNSs、AgNWs和AgNFs)对成年斑马鱼多个器官的毒理学影响。纳米银暴露损伤成年斑马鱼脑、鳃、肝和肠组织,并诱导产生氧化应激损伤。纳米银暴露还会破坏鳃、肝脏和肠道中的脂质稳态,而脂质变化又受到纳米银形貌的影响。通过对脂质种类(如PE、PI和PS)的进一步研究,发现AgNSs主要破坏鳃和肝脏内的脂质稳态,而AgNFs主要影响肠道,AgNWs的毒性弱于AgNSs和AgNFs。研究结果表明,AgNSs诱导的脂质紊乱和氧化应激损伤可能导致成年斑马鱼发生器官病变,导致细胞信号传导和细胞功能受到影响,这也是AgNSs比另外两种形貌的纳米银毒性更大的可能原因。综上所述,这些发现为纳米银对成年斑马鱼多器官形貌依赖的毒理学效应和环境风险评估提供了新的见解,为研究纳米材料在环境领域的合理使用提供了新的思路。
华南农业大学硕士生谢青榕和李珍为该论文的共同第一作者,华南农业大学伍欣宙副教授、华南农业大学徐汉虹教授和深圳综合粒子设施研究院殷志斌副研究员为该论文的共同通讯作者。该研究得到了广东省自然科学基金、教育部春晖计划、广州市科技计划等项目的资助。



