斑马鱼幼鱼大脑尺寸不超过0.5mm3,但包含10万以上神经元。尽管试验用斑马鱼的年龄不超过1周,但是已经能观测到足够多的行为学指标,包括空间游动、躲避行为、视觉引导捕食、学习和睡眠等。为了进一步了解斑马鱼的大脑结构和行为产生的原因,需确定其神经元和相关神经网络是如何工作的,而这可以从测量行为相关的神经活动开始。要全面挖掘各种自然就要尽量避免人为操作的影响,最理想状态是测试动物是完全自由的。
钙成像方法几乎可以在斑马鱼幼鱼全脑范围内成像,但该操作需固定其头部和行为以便在显微镜下进行观察。最近开发的CaMPARI(之前介绍过)可以记录自由游动的鱼的活动,但需要通过强光紫外线的扰动来刺激斑马鱼引起反感行为。用水母发光蛋白的生物发光成像可以达到记录平静斑马鱼行为的目的,因为其能够提供良好的时间分辨率,但三维信息的采集却受到发光蛋白表达模式的限制。

导致神经活动自然发生的一些生化指标可以在分子水平上鉴定活跃的神经元,像在哺乳动物中,一些早期迅速反应基因(IEGs)如c-Fos和Arc的表达可以引起神经元不同的行为,如记忆,睡眠,恐惧,交配和药物成瘾行为等。但是该技术具有相对较差的时间分辨率和敏感性低的缺点,而且它在斑马鱼上的应用还受到了反应慢染色量低的限制。
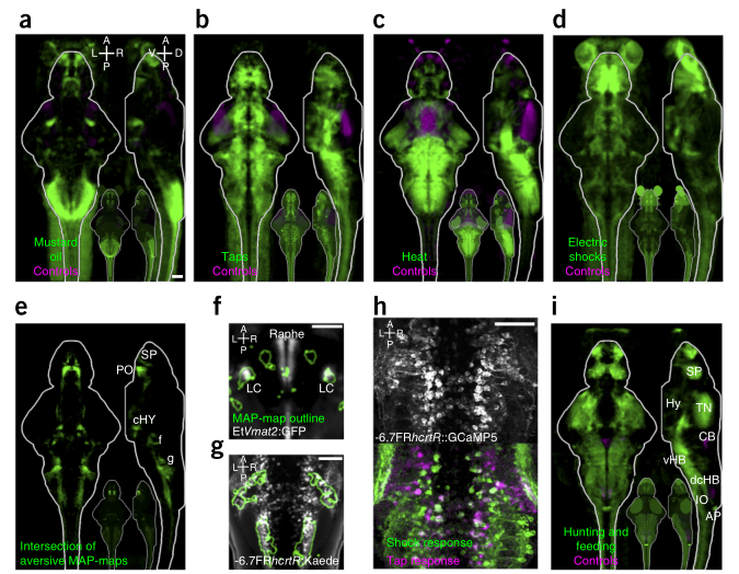
在这里,我们将介绍一种更加适用的内源性传感器:磷酸化ERK(也称为MAP)。响应于去极化、钙流入激活的Ras ERK通路后进而导致转录因子如CREB和Elk磷酸化和IEG的表达。因此,磷酸化的ERK1/2(pERK)可被用于定位活性的神经元并提高(IEGs)的时间分辨率至5分钟内。
但是这样的定位仍是有限的,除非有详细的神经解剖学交互信息。目前可用于斑马鱼幼鱼的解剖学资源仅限于受精后2-4天的幼鱼而且是二维图像,因此很难从二维地图推断出三维关系。由此可知,通过一个活动的记录图来理解神经解剖学特征是十分困难且不标准的。因此,需要利用共焦成像并记录大量的数据来创建一个参考图集和脑活动图集(下图为喂食状态下的脑部活动成像图)。

文章来源:杭州环特生物公司
联系人:张先生
电话:0571-83782130



