斑马鱼、小鼠和金黄地鼠近视模型:逐步筛选控制近视的候选药物
摘要:本文开发了一个临床前方案,用于筛选能够控制近视眼并防止其进展的候选药物。该方案使用斑马鱼、C57BL/6小鼠和金黄地鼠近视模型。将靶向斑马鱼lumican基因(zlum)的morpholino(MO)注入单细胞斑马鱼胚胎,引起巩膜过度扩张。我们筛选了640个含有2种基质金属蛋白酶(MMP)抑制剂(marimastat和batimastat)的化合物库,这些抑制剂具有调节巩膜重塑的潜力,以鉴定缓解zlum-MO注射的胚胎中巩膜直径扩大的候选物。使用4周龄C57BL/6小鼠和3周龄患有形觉剥夺性近视(FDM)的金黄色地鼠经4周的试验验证了发现具有抑制巩膜扩张的有预防近视能力的优越有效化合物。观察屈光度和轴向长度的变化。使用C57BL/6小鼠研究巩膜厚度、后巩膜胶原纤维形态、信使RNA(mRNA)表达、转化生长因子-β2(TGF-β2)、金属蛋白酶组织抑制因子-2(TIMP-2)、基质金属蛋白酶-2、基质金属蛋白酶-7、基质金属蛋白酶-9和Ⅰ型胶原α1(Ⅰ型胶原α1)蛋白水平,并进行MMP-2、MMP-9和MMP活性测定。在斑马鱼实验中,阿托品,马立马司他,巴马司他,多西环素和米诺环素是最有效减少巩膜直径扩大的药物。对小鼠进行28天治疗以及金黄地鼠进行21天治疗,发现含1%阿托品,50 µM马立马司他,5 µM巴马司他或200 µM多西环素的眼药水可以显著缓解近视眼移位和轴向伸长。阿托品,马立马他汀,巴马司他汀或多西环素治疗后,小鼠巩膜中MMP-2 mRNA的表达较低,MMP-2和MMP-7的蛋白质水平和活性显著降低。此外,用阿托品,马立马司他,巴马司他或多西环素治疗后,巩膜厚度和胶原纤维直径不低于对照眼睛。
关键词:近视 斑马鱼 C57BL/6小鼠 金黄地鼠 MMP抑制剂
简介:轴性近视眼的特点是眼轴长度增加,后巩膜变薄。在近视眼中,视觉刺激通过视网膜色素上皮(RPE)和脉络膜诱导视网膜信号,通过调节生长因子促进巩膜重塑。这些生长因子激活基质金属蛋白酶(MMP),以调节细胞外基质的合成和降解,改变机械组织特性,提高蠕变率,并导致AL增加和后巩膜变薄。一项使用树鼩近视模型的研究表明,在眼睛前面放置一个负透镜会导致眼轴延长和近视移位,并显著上调膜1型MMP和MMP-2信使RNA(mRNAs)的表达,下调金属蛋白酶组织抑制因子-3(TIMP-3)mRNA的表达,巩膜蠕动率较高。值得注意的是,当轴延长时,房水MMP-2、TIMP-1、TIMP-2和TIMP-3水平升高。
此外,高度近视患者房水MMP-2水平升高,而MMP-3水平不升高,TIMP-1、-2、-3水平与MMP-2水平呈极显著正相关。人近视眼房水中TGF-β2水平升高。在鸡近视模型中,形觉剥夺性近视(FDM)眼后巩膜TIMP-2 mRNA表达显著降低。此外,MMP-2水平在树鼩FDM发育过程中升高,在近视恢复过程中降低。Zhao等人在成纤维细胞特异性MMP-2敲除小鼠中鉴定了MMP-2上调与近视发展之间的因果关系。因此,轴性近视的形成与巩膜MMP和TIMP活性的平衡密切相关。除胶原外,巩膜细胞外基质还含有富含亮氨酸的蛋白多糖,如lumican、decorin和keratocan,它们可以调节胶原原纤维的形成;在人类遗传学研究中,编码这些物质的基因中的多态性与近视的发展有关。在lumican和fibromodulin基因敲除的小鼠中,胶原纤维直径分布被严重破坏,与人类高度近视相似;也就是说,AL增多,巩膜变薄,视网膜脱离。此外,我们还证明了斑马鱼lumican(zlum)基因的敲除可以导致巩膜变薄和直径扩大,与人类高度近视的特征是一致的。该zlum基因敲除模型可进一步用作药物筛选方案,以鉴定可调节巩膜生长的化合物。在临床上,药物制剂、户外活动的增加和角膜塑形术已被用来抑制近视的进展或发展。阿托品在预防儿童近视进展方面效果最好。然而,高浓度阿托品滴眼液的副作用,如刺激、视力模糊、畏光、白内障、散瞳和调节障碍引起的日光性视网膜病变等,限制了其临床应用。在新加坡进行的研究[即阿托品治疗近视(ATOM),ATOM1,ATOM2和ATOM3] 调查了0.01%的阿托品用于治疗近视。鉴于ATOM2中0.01%的阿托品获得了令人鼓舞的结果,因此设计了许多后续的临床试验来测试小剂量的阿托品。结果包括一项长期研究发现的最小副作用和高疗效,支持在临床实践中使用0.01%阿托品。在这项研究中,我们拓宽了药物筛选的范围,以寻找在zlum基因敲除斑马鱼模型中具有优越疗效的药物,并旨在验证所选化合物在啮齿动物模型中缓解近视进展的功效。此外,我们还比较了所选MMP抑制剂与阿托品对C57BL/6小鼠和金黄地鼠的形觉剥夺(FD)眼的疗效,阿托品滴眼液对这些动物的疗效与控制人类近视进展的疗效一致。
斑马鱼胚胎lumican mRNA和蛋白质的空间分布:采用全套原位杂交技术分析了斑马鱼胚胎发育过程中眼球中lumican基因的表达模式。在WT胚胎中,在3 dpf时首次在巩膜中检测到lumican mRNA表达。5dpf后,其表达扩展至整个巩膜。免疫组化显示,野生斑马鱼眼球中lumican蛋白的表达与人lumican蛋白的表达相似。主要分布于角膜和巩膜。在注射zlum-MO的胚胎中,lumican蛋白的表达显著降低。

图1、lumican在斑马鱼胚胎中的表达。(a–c),原位杂交法检测3dpf巩膜zlum mRNA的表达。(d和e)5dpf时WT和zlum-MO注射胚胎中lumican蛋白的免疫组化。注射zlum-MO的胚胎lumican的表达显著降低。(f)WT和zlum-MO注射胚胎的蛋白质印迹。(g) 柱状图显示注射WT和zlum-MO的胚胎中巩膜蛋白的含量与GAPDH的含量标准化。
WT和zlum基因敲除斑马鱼的Western印迹分析:图1f显示了微量注射zlum-MO和未注射zlum-MO的斑马鱼眼球裂解物的western印迹分析。每种蛋白的表达量与GAPDH的量(MMP/GAPDH的量)的关系,以及WT与zlum-MO-fish的巩膜中任何蛋白的量的差异,用倍差表示。WT和zlum-MO斑马鱼中lumican / GAPDH蛋白表达的差异分别为0.87±0.02和0.77±0.02;TGF-β2/GAPDH分别为0.95±0.01和0.87±0.02(;TIMP-2/GAPDH分别为0.99±0.01和0.75±0.01;MMP-2/GAPDH分别为0.71±0.02和0.95±0.02;Iα1/GAPDH胶原分别为0.99±0.02和0.74±0.02。这些结果表明,注射zlum-MO的胚胎含有较高水平的MMP-2蛋白和较低水平的lumican、TIMP-2、TGF-β2和Iα1型胶原蛋白。
zlum基因敲除对斑马鱼胚胎巩膜直径的影响:在1-4个细胞阶段将zlum-MO显微注射到斑马鱼受精卵中。图2b显示了添加或不添加0.5%阿托品的zlum-MO注射对巩膜扩张的影响。在7dpf时,与RS-MO胚胎相比,zlum-MO胚胎巩膜赤道直径显著增大,但RS-MO胚胎与WT胚胎的眼球大小无差异。RPE的直径与巩膜直径之比呈非正态分布。各组的比率以中位数±IQR表示,并使用Wilcoxon秩和检验进行分析。WT和RS-MO注射胚胎的比例相同。在zlum-MO注射组中,RPE的直径与巩膜的直径之比明显低于RS-MO注射组和WT组。正如我们先前的研究发现的那样,7 dpf时,除眼球增大以外,还发现心包增大和畸形。与注射Zlum-MO的胚胎相比,经阿托品处理的注射Zlum-MO的胚胎具有更大的比例。这表明zlum-MO注射引起了明显的巩膜扩张,这类似于人近视眼中自然发生的形态变化。添加0.5%阿托品可预防巩膜扩张,这与我们在人类近视眼中使用阿托品后的观察结果一致。

图2、zlum基因敲除斑马鱼作为筛选近视治疗化合物的体内模型。
使用注射zlum-MO的斑马鱼胚胎对FDA批准的化合物进行药物筛选:在640种FDA批准的化合物中,有425种药物和2种MMP抑制剂马立马司他和巴马司他可以减轻巩膜直径的扩大。其中11个化合物的药效与0.5%阿托品相当。结果表明马立马司他,巴马司他,多西环素和米诺环素在减轻巩膜直径扩张方面的效果与0.5%阿托品相当。

图3、利用zlum基因敲除斑马鱼对FDA批准的化合物进行大规模筛选。
C57BL / 6小鼠和金黄地鼠近视模型的屈光度和AL变化:每种化合物的缓解效果表示为每只小鼠接受治疗的FD眼和未接受治疗的对照眼之间的屈光不正差异。在治疗前,PBS治疗组的眼间差异为0.07±1.06 D,1%阿托品治疗组的眼间差异为-0.10±1.47 D,50µM 马立马司他治疗组的眼间差异为-0.35±1.03 D,5µM 巴马司他治疗组的眼间差异为0.10±1.78 D,200µM多西环素治疗组的眼间差异为0.05±1.26 D,以及50µM米诺环素治疗组的眼间差异为0.56±0.70 D。治疗28天后, PBS治疗组为9.35±1.51 D,1%阿托品治疗组为5.36±1.25 D,50µM 马立马司他治疗组为4.45±1.46 ,5µM 巴马司他治疗组为4.80±1.20 D,200µM多西环素治疗组为7.06±1.36 D,50µM米诺环素治疗组为8.29±0.95 D。治疗28天后,两个参数的变化均呈正态分布。使用独立样本t检验和Bonferroni校正法计算的各组与PBS治疗小鼠的眼间差异,PBS组为9.35±1.51 D,1%阿托品组为5.36±1.25 D,50µM 马立马司他治疗组为4.45±1.46 D,)5μM 巴马司他治疗组为4.80±1.20 D,200μM多西环素治疗组为7.06±1.36 D(P=0.002),50μM米诺环素治疗组为8.29±0.95 D.

图4. C57BL / 6小鼠和金黄地鼠的FDM模型
屈光不正和AL的变化均呈正态分布,采用独立样本t检验和Bonferroni校正进一步分析屈光不正和AL的变化。屈光不正的变化如下:PBS治疗组−7.95±2.05 D,1%阿托品治疗组−4.94±1.78 D,50µM 马立马司他治疗组−4.75±0.66 D,5µM 巴马司他治疗组−5.14±1.97 D,200µM多西环素治疗组−5.72±1.54 D,50µM米诺环素治疗组−6.38±1.07 D。与用PBS治疗的FD眼相比,用1%阿托品,50 µM马立马司他,5 µM巴马司他和200 µM多西环素治疗的FD眼屈光不正的变化显著。AL的变化如下:PBS组208±56µm,1%阿托品组134±78µm,50µM 马立马司他组81±88µm,5µM 巴马司他组118±60µm,200µM多西环素组141±65µm,50µM米诺环素组151±54µm。与PBS治疗组相比,1%阿托品、50µM马立马司他组、5µM巴马司他和200µM多西环素组FD眼的AL变化显著。
在金黄地鼠近视模型中,测量了第21天到第0天之间的屈光不正和AL的变化。治疗21天后,屈光不正的变化如下:PBS组为-7.3±1.5 D,1%阿托品组为-2.9±1.7 D,50 µM 马立马司他组为-3.6±1.5 D, 5 µM 巴马司他组为3.8±1.6 D,在200 µM多西环素组为-5.0±1.5D。经独立样本t检验和bonferoni校正后,与PBS处理组比较,差异均有显著性。
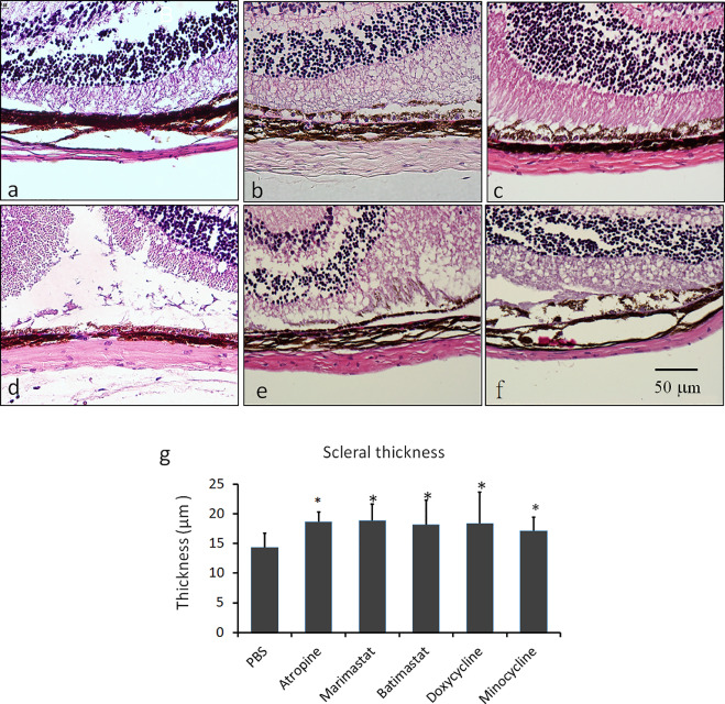
C57BL/6小鼠近视模型巩膜厚度及胶原纤维直径:图5a-f显示了对照左眼和FD右眼后巩膜的H&E染色横截面。视神经附近的巩膜区域被定义为后巩膜。特别是FD-PBS治疗眼的后巩膜明显变薄。采用独立样本t检验和Bonferroni校正法,将每种化合物处理后的巩膜平均厚度与PBS处理后的巩膜平均厚度进行比较,结果如下:对照眼为22.37±4.37μm,PBS处理组为14.36±2.41μm,1%阿托品处理组为18.70±1.58μm(P=0.04),50µM马立马司他组为18.87±2.75µm, 5 µM 巴马司他组为为18.18±4.12µm,200 µM多西环素组为19.03±4.48µm,50µM米诺环素治疗组为17.13±2.24µm。这些C57BL / 6小鼠结果表明, 1%阿托品,50 µM马立马司他,5 µM巴马司他和200 µM多西环素阻碍了由FDM引起的巩膜变薄。

图5、(a)PBS、(b)1%阿托品、(c)50µM 马立马司他、(d)5µM 巴马司他、(E)200µM多西环素和(f)50µM米诺环素治疗的FD C57BL/6小鼠眼后巩膜H&E染色组织学。
高倍透射电镜观察后巩膜胶原纤维结构。在PBS治疗的FD眼中,胶原薄片相对疏松且不规则排列; 胶原纤维的直径变化很大,小直径胶原纤维的百分比更高。相比之下,在用1%阿托品、50µM 马立马司他、5µM 巴马司他或200µM多西环素治疗的FD眼中,胶原纤维的分布和排列更加均匀。平均胶原纤维直径如下:PBS治疗组为53.58±18.89 nm,1%阿托品治疗组为66.08±16.98 nm,50µM 马立马司他治疗组为63.18±17.89 nm,5µM 巴马司他治疗组为57.34±17.45 nm,200µM多西环素治疗组为58.40±17.82 nm,50µM米诺环素治疗组为54.22±15.62 nm。

图6、TEM图像显示经(a)PBS、(b)1%阿托品、(c)50µM 马立马司他、(d)5µM 巴马司他、(E)200µM多西环素和(f)50µM米诺环素治疗的FD C57BL/6小鼠巩膜中的胶原纤维。
总之,本研究提供了一个筛选候选药物的有用策略。还证明MMP抑制剂,尤其是多西环素,可以减轻C57BL/6小鼠和金黄地鼠FD眼的轴向近视改变,具有适当的疗效和毒性。200µg/mL的多西环素溶液通过抑制MMP-2基因表达、蛋白质合成或活性,直接或间接降低巩膜中MMP-2蛋白的数量。跨物种验证表明,该药物可作为阿托品的替代品,副作用少,疗效好。 但是,需要在人体中进行临床试验进行验证。
原文出自:https://www.sciencedirect.com/science/article/pii/S2352396421000566



