能量代谢与生物寿命的关联是衰老研究的核心命题。自“生命速率理论”提出一个多世纪以来,科学界普遍观察到代谢率与寿命的负相关规律:从线虫到哺乳动物,低代谢状态往往伴随寿命延长。然而,这种关联背后的关键分子枢纽始终未被阐明。传统模式生物(如果蝇、小鼠)因代谢网络复杂、基因冗余度高,难以精准解析特定代谢酶对寿命的调控作用。
近日,华中农业大学水产学院李大鹏教授领衔的鱼类环境生理与健康养殖团队刘香江课题组在Nature Communications期刊发表题为“The role of pyruvate dehydrogenase in the lifespan determination of daphnids”的研究论文,该研究以淡水生态中的枝角类(俗称“水蚤”)为模型,首次揭示丙酮酸脱氢酶(PDH)活性降低是连接低代谢率与长寿的关键分子开关,为理解能量代谢与寿命调控机制提供了全新视角。

一、水蚤世界的生存智慧
枝角类,俗称“水蚤”,是淡水生态系统中的关键浮游动物类群,因其生命周期短、生长条件易控且遗传资源丰富,正逐渐成为寿命研究的非传统模式生物。在水生态系统中,生存着两种截然不同的枝角类物种:活跃游动的中华溞(Daphnia sinensis)与特化的老年低额溞(Simocephalus vetulus)。后者演化出独特的生存策略——其第二触角末端特化为钩状刚毛结构,如同微型生物锚链,使个体能长期附着在水草表面生活。这种“挂机式生存”让老年低额溞成为枝角类中的“树懒”,与终生浮游的中华溞形成鲜明对比。
令人惊讶的是,这种“懒汉策略”带来了显著的生存优势:老年低额溞的基础代谢率较中华溞降低近30%,而平均寿命却延长20%。这种“低耗能-长寿命”的生存表型,暗示着生命体可能通过调节能量分配实现寿命突破。

图1 老年低额溞与中华溞基因组、生活史与行为特征的比较
二、锁定寿命调控的代谢油门
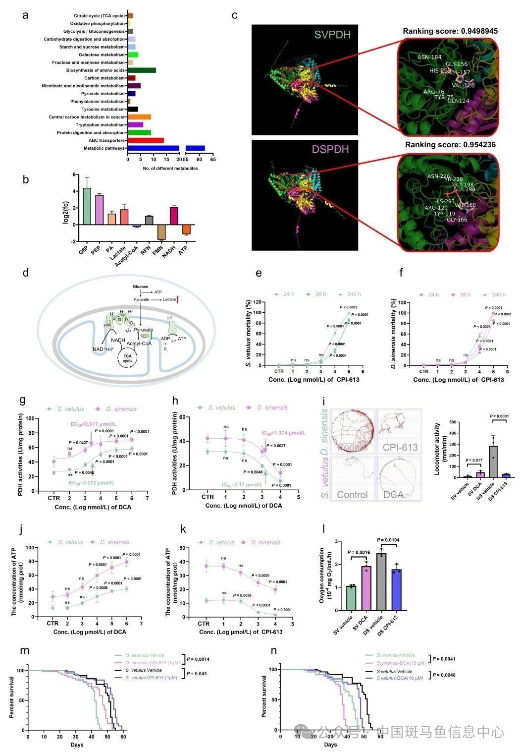
通过代谢组学与基因组学分析,团队发现老年低额溞体内糖代谢通路存在显著异常:其丙酮酸和乳酸水平显著升高,而乙酰辅酶A和ATP含量大幅降低。这一现象将研究焦点指向糖代谢的关键枢纽——丙酮酸脱氢酶(PDH)。深入研究发现,老年低额溞的PDH活性仅为中华溞的30%-40%。蛋白质结构预测显示,其PDH α亚基与辅因子硫胺素焦磷酸(TPP)的结合能力明显减弱。这种结构差异如同给细胞的“代谢油门”安装了限速器,导致能量转化效率降低。关键药物实验证实了PDH的核心作用:当使用抑制剂CPI-613降低中华溞的PDH活性时,其代谢率下降且寿命显著延长。反之,用激动剂DCA或神经递质章鱼胺激活老年低额溞的PDH后,其运动能力增强但寿命缩短。尝试敲除PDH基因的实验更证明该酶是生存必需——缺失PDH的胚胎在30小时内全部死亡。

图2 代谢组学分析和关键靶点筛选及关键药物实验
三、环境因子的远程调控
研究进一步揭示温度与神经递质通过PDH通路调控寿命的精细机制:在15℃低温环境下,水蚤体内章鱼胺分泌减少,PDH活性受抑制,寿命延长达30%;而在35℃高温时,章鱼胺水平升高激活PDH,导致寿命缩短。最具突破性的发现是:当用药物阻断PDH活性时,温度或章鱼胺对寿命的影响基本消失。这证明PDH是环境信号调控寿命的核心枢纽。
四、破解运动与长寿的悖论
该研究为“运动是否必然长寿”的争议提供了新解释:对哺乳动物而言,规律运动通过提升静息期代谢效率产生“运动后效应”,最终延长寿命;但终生持续游泳的中华溞,其代谢率始终处于高位,如同“永不停止的马拉松”,反而加速能量耗竭导致早衰。这提示间歇性运动诱导的代谢补偿才是长寿关键,而非运动本身。

图3 丙酮酸脱氢酶(PDH)参与调节枝角类的运动性能与寿命
华中农业大学水产学院硕士研究生陈文凯和徐雪盈为该论文的共同第一作者,刘香江副教授为论文通讯作者,李大鹏教授和呼光富副教授为该研究提供了学术指导。硕士研究生曾芷丹、周铭森、陈集莹和申安福参与了该项研究。该研究得到国家自然科学基金(32471583和32071516)与中国农业农村部财政专项资金的联合资助。



