你是否发现,梳头时掉落的头发越来越多?或是发际线悄悄“离家出走”,头顶逐渐“见光”?这可能是许多人在默默经历的困扰——雄激素源性脱发。 它被称为“头发的隐形杀手”,全球近半数的男性和约三分之一的女性会在人生某个阶段与之相遇。这种脱发与基因、激素紧密相关,却常被误解为“熬夜的代价”或“肾虚的表现”。
一、什么是雄激素源性脱发
雄激素源性脱发(Androgenetic Alopecia,AGA),也称为“脂溢性脱发”、“男性脱发”或“遗传性脱发”,是最常见的脱发类型,它是由遗传因素和雄激素(如二氢睾酮,DHT)共同作用导致的渐进性毛发减少现象,男女均可患病,但表现有所不同。
二、雄激素源性脱发的发生机制
脱发的毛乳头细胞掌管育毛,毛乳头细胞中男性荷尔蒙接收盘的结合蛋白较多,接收体的数量是由遗传决定的。
男性荷尔蒙会促进脱发的机制:
睾丸产生睾酮男性荷尔蒙,随血液循环达毛球细胞,与细胞质中的5a-还原酶反应,变成荷尔蒙作用增强的DHT(双氢睾酮),后进入细胞核,使得ATP产生受阻,进而阻止毛发蛋白的产生,毛母细胞失活角质化,进入休止期,大概3个月就会脱发。总而言之这一切的“幕后推手”5α-还原酶,正将睾酮转化为DHT,成为脱发链条的关键一环。 
三、毛发的生长周期
1)毛发是由毛干、毛根、毛囊、毛球以及毛乳头组成的。其中毛干包括毛髓质(营养物质的输送)、毛皮质(含大量色素颗粒,决定颜色和质地)和毛鳞片(角化细胞组成,主要作用保护头发);毛乳头内含毛细血管和神经末梢,制造黑色素。

2)毛发的生长周期是一个动态且循环的过程,分为3个阶段:生长期、退行期和休止期。其中生长期:毛母质细胞快速繁殖,形成毛干和毛根,毛乳头提供营养和信号支持,黑色素细胞活跃,合成黑色素并转运至毛干。退行期:毛囊退化,毛母质细胞停止增殖。休止期:毛囊缩短至表皮附近,形成杵状毛,毛乳头静止。

四、雄激素源性脱发小鼠模型
1)动物的周龄的选择:
对于C57BL/6来说,处于生长期的皮肤呈黑色,处于退行期的皮肤呈灰色,处于休止期的小鼠呈粉色,造模一般6周龄的雄性C57小鼠,适应性一周后开展实验。

2)造模方法:6周龄的雄性C57小鼠 适应性饲养7天后,开始进行正式实验,用剃毛刀剃除小鼠背部毛发,面积为约2cm*3cm,然后异氟烷麻醉固定小鼠,涂抹脱毛膏,去除多余毛发,选择毛发属于休止期小鼠(皮肤呈现粉色),每天腹腔注射100ul的DHT(1mg/天),持续15天。
3)动物观察:
①每2天对所有小鼠进行观察和拍照。
②动物称重:给药前1次,实验期间每周2次,取材前1次。
③在观察小鼠期间,进行毛发生长评分(即Day1、Day7、Day11、Day15),评分如下表:
毛发生长情况 | 分数(分) |
未生长,脱毛区皮肤呈肉色 | 0 |
脱毛区皮肤呈灰色 | 1 |
脱毛区皮肤呈黑色 | 2 |
脱毛区皮肤呈黑色并有少许毛发长出 | 3 |
脱毛区皮肤呈黑色且大量毛发生长 | 4 |
脱发区皮肤毛发全长 | 5 |
4)取材:
Day16取脱毛处皮肤组织,后续10%的福尔马林进行固定。
5)检测:
①福尔马林固定的皮肤组织,进行石蜡包埋,进行石蜡切片,进行HE染色。
②HE染色结果进行定量分析毛囊以及真皮层厚度。
6)实验结果:

由上图可知,对照组小鼠在Day11开始毛发逐渐生长,至Day15脱毛区皮肤毛发均长出;在Day15时,与对照组相比较,模型组小鼠脱毛区皮肤几乎没有毛发生长,毛发还处于休止期;在Day15时,与对照组相比,米诺地尔组小鼠的脱毛区皮肤基本生长出毛发,毛发处于生长期。
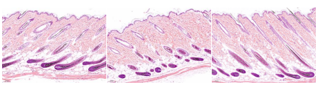
①HE染色结果:
对照组:

结果分析:皮肤组织,镜下见表皮、真皮、皮下组织及横纹肌组织,真皮层及皮下组织内见较多毛囊及其他皮肤附属器结构,暂无异常。
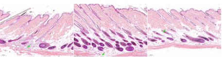
模型组:

结果分析:皮肤组织,镜下见表皮、真皮、皮下组织及横纹肌组织,真皮层及皮下组织内见较多毛囊及其他皮肤附属器结构,局灶真皮层及皮下组织内见少量炎细胞浸润。
米诺地尔组:

结果分析:皮肤组织,镜下见表皮、真皮、皮下组织及横纹肌组织,真皮层及皮下组织内见较多毛囊及其他皮肤附属器结构,局灶真皮层及皮下组织内见少量炎细胞浸润。
②毛发生长评分:

注:PBS+玉米油为对照组,PBS+DHT为模型组,DHT+米诺为米诺地尔治疗组;*表示与对照组相比较,#表示与模型组相比较
结果分析:由上图可知,在Day13时,与对照组相比较,模型组的小鼠的毛发生长评分明显减小且具有较显著性差异(P<0.01);在Day13时,与对照组相比较,米诺地尔治疗组的小鼠的毛发生长评分减小但没有实际生物学统计意义(P>0.05);在Day13时,与模型组相比较,米诺地尔治疗组小鼠的毛发生长评分增大但没有实际生物学统计意义(P>0.05)。
在Day15时,与对照组相比较,模型组的小鼠的毛发生长评分明显减小且具有显著性差异(P<0.05);在Day15时,与对照组相比较,米诺地尔治疗组的小鼠的毛发生长评分减小但没有实际生物学统计意义(P>0.05);在Day13时,与模型组相比较,米诺地尔治疗组小鼠的毛发生长评分增大但没有实际生物学统计意义(P>0.05)。
③平均毛囊数量结果:

注:PBS+玉米油为对照组,PBS+DHT为模型组,DHT+米诺为米诺地尔治疗组;*表示与对照组相比较,#表示与模型组相比较
结果分析:由上图可知,与对照组相比较,模型组的小鼠的平均毛囊数量明显减少且具有显著性差异(P<0.05);与对照组相比较,米诺地尔治疗组的小鼠的平均毛囊数量增多但没有实际生物学统计意义(P>0.05);与模型组相比较,米诺地尔治疗组小鼠的平均毛囊数量明显增多且具有极显著性差异(P<0.01)。
④真皮层厚度分析:

注:PBS+玉米油为对照组,PBS+DHT为模型组,DHT+米诺为米诺地尔治疗组;*表示与对照组相比较,#表示与模型组相比较
结果分析:由上图可知,与对照组相比较,模型组的小鼠的平均真皮层厚度减小且具有显著性差异(P<0.05);与对照组相比较,米诺地尔治疗组的小鼠的平均真皮层厚度减小但没有实际生物学统计意义(P>0.05);与模型组相比较,米诺地尔治疗组小鼠的平均真皮层厚度增大但没有实际生物学统计意义(P>0.05)。



