慢性排斥多发生在肝移植术后数月,有报道在移植后第一个月就出现,呈渐进性加重,肝功能逐渐恶化,一般呈不可逆转性改变,是移植后期移植肝丧失功能的主要原因,也是影响患者长期健康存活的主要原因。临床表现为进行性胆汁郁积、胆红素增高、碱性磷酸酶升高。移植肝常增大变硬,肝病理表现为叶间胆管破坏、进行性纤维增生、汇管区细胞浸润消失、血管内膜纤维化及有时可见泡沫细胞。
不同品系大鼠肝移植尚未发现有与临床相近的慢性排斥反应的模型。由Fisher 344→Lewis或DA→BN的大鼠品系组合形成的急性肝移植排斥模型,经药物诱导常用来建立肝慢性排斥反应的实验模型。
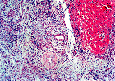
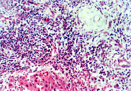
我们实验室以DA大鼠为供体,BN大鼠为受体进行原位肝移植,术后1~30天连续皮下注射环孢素A(lmg/kg/d),成功建立了大鼠肝移植慢性排斥反应模型。慢性排斥反应在术后30到60天内产生,中位生存期为58±14.93天。术后两个月病理学检查提示,移植物中有明显的淋巴细胞、中性粒细胞与嗜酸性粒细胞等炎性细胞浸润,同时胆管增生与胆道损伤情况也比较明显,胆管上皮局灶性坏死超过50%,一些胆管完全消失或纤维化。肝结构从肝小叶结构变化为大部分由结节与纤维组成的组织结构。残余肝细胞表现为退行性病变与坏死,连接汇管区出现完全与不完全纤维隔板。动脉管壁可见不同程度的纤维细胞与炎性细胞沉积,血管闭塞范围超过50%,一些动脉被完全阻断或纤维化(图4-2)。

图4-2 A

图4-2 B
图4-2 A:DA-BN大鼠肝移植(皮下注射环孢素A lmg/kg/d×30天)术后60天,图示泡沫细胞阻塞性动脉病变,胆管明显减少甚至消失。B:DA-BN大鼠肝移植(皮下注射环孢素A lmg/kg/d×30天)术后60天,图示肝正常结构大量破坏,代之一纤维化组织和炎症,胆管减少,右上角显示正在纤维化消失的胆管(H&E染色,×100)
大鼠肝移植慢性排斥反应模型一般应用于研究肝移植术后慢性排斥反应的发生机制、防治措施以及免疫抑制剂的应用等。



