近期,基因编辑、RNA编辑及小核酸疗法领域取得多项突破性进展:
ADAR介导的RNA编辑:10月17日,Wave Life Sciences宣布全球首个基于ADAR的RNA编辑疗法WVE-006完成临床概念验证,数据表现积极 [1];
碱基(Base)编辑:11月6日,Beam Therapeutics将在美国血液学会(ASH)年会上公布其碱基编辑疗法BEAM-101的早期临床概念验证数据。该疗法显著提高镰状细胞病(SCD)患者的胎儿血红蛋白(HbF)水平 [2]。
CRISPR基因编辑:11月16日,Intellia Therapeutics开发的ATTR淀粉样变性基因编辑疗法Nexiguran ziclumeran的研究成果发表于《新英格兰医学杂志》(NEJM)。数据显示,该疗法可持久降低疾病指标超过90%,疗效持续两年 [3]。
RNA干扰(RNAi):11月17日,RNAi疗法先驱Alnylam公布其第三代TTR靶向RNAi药物Nucresiran的早期临床数据,单次给药即可实现半年疗效 [4]。
这些进展充分展示了基于DNA/RNA疗法的巨大潜力。在此背景下,ABCA4作为首个进入临床的RNA外显子编辑疗法靶点备受关注,或将成为下一代基因及RNA疗法的重要突破方向。

图1. 全球首个体内RNA外显子编辑疗法ACDN-01于年初获批进入临床试验 [5]。
ABCA4与Stargardt病(STGD)
黄斑是视网膜的中心区域,负责“高分辨率”的彩色视觉。老年性黄斑变性(AMD)和单基因黄斑变性均可能导致失明。其中,单基因黄斑变性通常发病于青少年,病情更为严重,患者可能逐渐丧失阅读、驾驶或面部识别能力,最终导致中心视力丧失。最常见的单基因黄斑变性为Stargardt病(STGD),每6,500人中约有1人患病,主要由ABCA4基因双等位基因功能丧失突变引起 [6]。ABCA4蛋白是一种位于光感受器和视网膜色素上皮细胞中的膜转运蛋白,其主要功能是清除视紫红质光漂白后产生的有毒代谢产物,防止这些化合物在视网膜中堆积 [7-8]。ABCA4基因的突变会导致毒性代谢产物如N-视黄基磷脂酰乙醇胺和脂褐素A2E的异常积累,从而引发视网膜色素上皮细胞和感光细胞的死亡,最终导致视网膜变性类疾病 [7-8]。

图2. ABCA4蛋白在光感受器杆外节中的定位及其在视觉循环中的作用 [8]。
ABCA4:新型疗法的“试验田”
ABCA4基因变异约占遗传性视网膜疾病(IRD)病例的30%,具有广泛的患者基础 [9]。尽管STGD是最常见的遗传性黄斑营养不良形式,但目前尚无有效治疗方法。由于ABCA4基因长度(约128 kb)及编码ABCA4蛋白理论所需的最短序列(6.8 kb)均超过AAV载体的递送上限(4.7 kb),传统基因补充疗法难以奏效 [10]。此外,ABCA4基因中存在超过2,200种与疾病相关的变异,大多数为错义突变,其次为影响前mRNA剪接的突变 [11]。这些特性使ABCA4成为基因编辑和RNA疗法等新型疗法的重要研究方向:
反义寡核苷酸(AON):ProQR Therapeutics开发的QR-1011通过校正异常剪接治疗STGD患者 [12-13]。
RNA外显子编辑:Ascidian Therapeutics的ACDN-01可替换ABCA4 mRNA前22个外显子,理论上覆盖约70%的STGD患者 [14-15]。
碱基编辑:Beam Therapeutics针对ABCA4基因常见突变开发了高效碱基编辑器,并在ABCA4人源化小鼠、非人灵长类动物和人类视网膜组织中取得了突变矫正效果 [9, 16]。
QR-1011和ACDN-01均已进入临床试验阶段。此外,多家机构在今年的视觉与眼科研究协会(ARVO)年会上展示了多种新型疗法的临床前验证数据。这些疗法包括基因编辑(如Cas9介导的编辑、转座子系统、SaKKH碱基编辑)、RNA编辑(如Cas13介导的RNA碱基编辑、ADAR介导的RNA编辑)、新型AAV载体疗法(mini-ABCA4蛋白、双AAV载体策略)、反义寡核苷酸(AON)以及同源性非依赖靶向整合(HITI)等 [17-18]。
图3. 反义寡核苷酸(AON)疗法QR-1011通过抑制病理性突变导致的外显子跳跃来治疗STGD [12]。
人源化小鼠在基因/RNA编辑疗法临床前评估中的应用
由于人类与小鼠在基因上的差异,以及基因编辑、RNA编辑和反义寡核苷酸(AON)疗法均靶向人类ABCA4基因,采用人源化小鼠模型可显著提高此类疗法的临床前体内评估精度。例如,Beam开发的碱基编辑疗法利用携带致病突变的人源化小鼠模型,成功评估了其体内编辑效率 [16]。

图4. A-to-G碱基编辑器(ABE)在ABCA4 G1961E人源化小鼠体内成功实现突变矫正 [16]。
赛业生物自研ABCA4人源化模型及人源化点突变模型
赛业生物开发了ABCA4全基因组替换的B6-hABCA4人源化小鼠模型(产品编号:C001551),并在此基础上构建了携带致病突变c.5461-10T>C的B6-hABCA4*c.5461-10T>C人源化点突变小鼠模型(产品编号:I001210),该模型能够在小鼠体内成功重现人类患者中ABCA4基因的异常剪接模式。
(1) B6-hABCA4小鼠
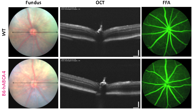
该模型仅表达人类ABCA4基因及其转录本,同时保持正常的视网膜结构和光感受器功能。



图5. B6-hABCA4小鼠成功表达人类ABCA4基因并保持正常的视网膜结构和光感受器功能。
(2) B6-hABCA4*c.5461-10T>C小鼠
该小鼠是通过在B6-hABCA4小鼠基础上引入c.5461-10T>C突变构建。该突变导致剪接异常,产生39号外显子跳过及39–40号外显子跳过的异常转录本,并使正常ABCA4转录本减少,该突变也是ASO疗法QR-1011的靶向位点。基因表达和测序结果显示,该模型成功重现了患者体内的剪接缺陷和转录模式,为研究STGD相关疗法提供了重要工具。


图6. B6-hABCA4*c.5461-10T>C小鼠重现人类疾病患者中ABCA4的异常剪接模式。
总结
B6-hABCA4小鼠(产品编号:C001551)能够正常表达人类ABCA4基因,并保持视网膜结构、血管形态和光感受器功能的正常状态。基于该模型,赛业生物构建了携带c.5461-10T>C突变的B6-hABCA4*c.5461-10T>C小鼠(产品编号:I001210)。该突变导致异常剪接,产生跳过39号外显子及39–40号外显子的异常转录本,同时减少正常ABCA4转录本,成功重现了患者体内的剪接缺陷和异常转录本模式。这两种模型为Stargardt病(STGD)相关的新型疗法(如基因编辑、反义寡核苷酸、碱基编辑及RNA编辑)的临床前体内评估提供了重要工具。
参考文献
[1] Wave Life Sciences. "Wave Life Sciences Announces First-Ever Therapeutic RNA Editing in Humans Achieved in RestorAATion-2 Trial of WVE-006 in Alpha-1 Antitrypsin Deficiency." Accessed November 22, 2024. Wave Life Sciences.
[2] Beam Therapeutics. "Beam Therapeutics to Present Data Across Hematology Franchise, Including First Clinical Data for BEAM-101 in Sickle Cell Disease and ESCAPE Non-human Primate Data, at American Society of Hematology (ASH) Annual Meeting." Accessed November 22, 2024. Beam Therapeutics.
[3] Fontana M, Solomon SD, Kachadourian J, Walsh L, Rocha R, Lebwohl D, Smith D, Täubel J, Gane EJ, Pilebro B, Adams D, Razvi Y, Olbertz J, Haagensen A, Zhu P, Xu Y, Leung A, Sonderfan A, Gutstein DE, Gillmore JD. CRISPR-Cas9 Gene Editing with Nexiguran Ziclumeran for ATTR Cardiomyopathy. N Engl J Med. 2024 Nov 16.
[4] Alnylam Pharmaceuticals. "Alnylam Pharmaceuticals Press Release | Nov 17, 2024 | Alnylam Announces Interim Phase 1 Data of Nucresiran (ALN-TTRsc04) Showing Rapid Knockdown of TTR that is Sust." Accessed November 22, 2024. Alnylam Pharmaceuticals.
[5] Ascidian Therapeutics. "Ascidian-IND-Acceptance-Release_FINAL.1.29.24.pdf." Accessed November 22, 2024. https://ascidian-tx.com/wp-content/uploads/2024/01/Ascidian-IND-Acceptance-Release_FINAL.1.29.24.pdf.
[6] Hanany M, Rivolta C, Sharon D. Worldwide carrier frequency and genetic prevalence of autosomal recessive inherited retinal diseases. Proc Natl Acad Sci U S A. 2020 Feb 4;117(5):2710-2716.
[7] Quazi F, Lenevich S, Molday RS. ABCA4 is an N-retinylidene-phosphatidylethanolamine and phosphatidylethanolamine importer. Nat Commun. 2012 Jun 26;3:925.
[8] Scortecci JF, Molday LL, Curtis SB, Garces FA, Panwar P, Van Petegem F, Molday RS. Cryo-EM structures of the ABCA4 importer reveal mechanisms underlying substrate binding and Stargardt disease. Nat Commun. 2021 Oct 8;12(1):5902.
[9] Muller, A., et al. "High-efficiency base editing for Stargardt disease in mice, non-human primates, and human retina tissue." bioRxiv. April 17, 2023. Accessed November 22, 2024. doi: 10.1101/2023.04.17.535579.
[10] Cremers FPM, Lee W, Collin RWJ, Allikmets R. Clinical spectrum, genetic complexity and therapeutic approaches for retinal disease caused by ABCA4 mutations. Prog Retin Eye Res. 2020 Nov;79:100861.
[11] Cornelis SS, Runhart EH, Bauwens M, Corradi Z, De Baere E, Roosing S, Haer-Wigman L, Dhaenens CM, Vulto-van Silfhout AT, Cremers FPM. Personalized genetic counseling for Stargardt disease: Offspring risk estimates based on variant severity. Am J Hum Genet. 2022 Mar 3;109(3):498-507.
[12] Kaltak M, de Bruijn P, Piccolo D, Lee SE, Dulla K, Hoogenboezem T, Beumer W, Webster AR, Collin RWJ, Cheetham ME, Platenburg G, Swildens J. Antisense oligonucleotide therapy corrects splicing in the common Stargardt disease type 1-causing variant ABCA4 c.5461-10T>C. Mol Ther Nucleic Acids. 2023 Feb 18;31:674-688.
[13] Kaltak M, de Bruijn P, van Leeuwen W, Platenburg G, Cremers FPM, Collin RWJ, Swildens J. QR-1011 restores defective ABCA4 splicing caused by multiple severe ABCA4 variants underlying Stargardt disease. Sci Rep. 2024 Jan 6;14(1):684.
[14] Doi A, Delaney C, Tanner D, Burkhart K, Bell RD. RNA exon editing: Splicing the way to treat human diseases. Mol Ther Nucleic Acids. 2024 Aug 16;35(3):102311.
[15] Jeff Bessen, Vivek Mittal, and Ned Wydysh. "Recruiting the Messenger RNA: The Future Role of RNA Editing in the Clinic." Health Advances Blog. Accessed November 22, 2024. Health Advances.
[16] Sullivan, J. (2023, May). In Vivo Genetic Eye Disease Correction Using Split AAV-Mediated Adenine Base Editing. Beam Therapeutics. Retrieved November22,2024,from https://beamtx.com/media/xovmia2l/202305_asgct_jack-sullivan_stargardt.pdf
[17] Vázquez-Domínguez I, Öktem M, Winkelaar FA, Nguyen TH, Hoogendoorn ADM, Roschi E, Astuti GDN, Timmermans R, Suárez-Herrera N, Bruno I, Ruiz-Llombart A, Brealey J, de Jong OG, Collin RWJ, Mastrobattista E, Garanto A. Lipopeptide-mediated Cas9 RNP delivery: A promising broad therapeutic strategy for safely removing deep-intronic variants in ABCA4. Mol Ther Nucleic Acids. 2024 Sep 26;35(4):102345.
[18] Association for Research in Vision and Ophthalmology. "Investigative Ophthalmology & Visual Science (IOVS) - Volume 65, Issue 7." Accessed November 22, 2024. IOVS.



