肥胖是许多癌症发展和转移的一个主要因素,这似乎已成为人们的共识,但Nature期刊近日发表的一项研究却揭示了肥胖拥有“双刃剑”的另一面,即可以改善患者对免疫疗法的反应。研究团队通过肥胖小鼠与正常小鼠的对比,发现前者肿瘤中的巨噬细胞能表达更高水平PD-1,且PD-1直接作用于巨噬细胞以抑制其功能,这为肥胖与肿瘤免疫之间的复杂联系提供了进一步的证据[1]。
在当下医学研究中,不止是肥胖,想要深入探讨糖尿病、高尿酸血症、动脉粥样硬化等多种代谢及心血管疾病的病理生理机制及有效疗法,均离不开动物模型这一关键研究载体。选用恰当的动物模型,对于科研成果向医药应用的转化来说至关重要。
代谢和心血管疾病模型推荐
在代谢和心血管疾病研究领域,赛业生物的研发团队拥有丰富的经验,以客户需求为导向,与多个国内外药企、生物技术企业及大学科研部门广泛合作,建立了HFD+CCl4诱导的MASH(NASH)、高脂饮食诱导肥胖(DIO)、糖尿病(B6-db/db)、动脉粥样硬化等代谢相关的疾病模型和优质、全面的体内药理药效评价和体外研发服务,助力疾病研究与新药开发。
模型验证数据——以DIO小鼠及MASH(NASH)小鼠为例
高脂饮食诱导的DIO小鼠


DIO小鼠的体重及血糖检测

DIO小鼠血脂和肝功指标检测
HFD+CCl4诱导的MASH(NASH)小鼠

给药期间MASH(NASH)小鼠体重的变化曲线及试验终点肝重指标

MASH(NASH)小鼠总胆固醇(TC)水平、高密度脂蛋白胆固醇(HDL-C)水平及低密度脂蛋白胆固醇(LDL-C)水平

丙氨酸氨基转移酶(ALT)水平及天门冬氨酸氨基转移酶(AST)水平




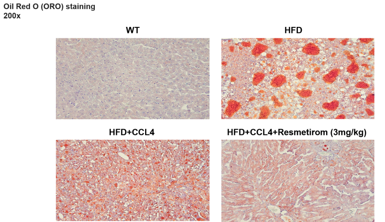
小鼠肝脏病理组织学检测结果:HE染色、ORO染色、PSR染色与NAS评分

肝α-平滑肌肌动蛋白α-SMA(Acta2)mRNA及一型胶原蛋白(Collagen 1α1)mRNA的水平表达
参考文献:
[1]Bader, Jackie E., Wolf, Melissa M., Lupica-Tondo, Gian Luca., Madden, Matthew Z., and Reinfeld, Bradley I.. "Obesity induces PD-1 on macrophages to suppress anti-tumour immunity." Nature.



