在日常生活中,拥抱是人们表达爱意和善意的方式。然而,对于患有大疱性表皮松解症(EB)的人来说,这种简单的亲密接触却可能带来极大的痛苦。EB是一种罕见的遗传性皮肤病,被公认为是人类最痛苦的疾病之一。患者皮肤脆弱如蝴蝶翅膀,轻微触碰就可导致皮肤像蝴蝶羽粉般脱落,严重时可能引发全身并发症。因此,EB患者也被称为“蝴蝶宝贝”。今天的新品上架栏目将向大家介绍赛业生物自主研发的多款营养不良性大疱性表皮松解症(DEB)研究模型。
营养不良性大疱性表皮松解症(DEB)致病机制
营养不良性大疱性表皮松解症(DEB)是大疱性表皮松解症(EB)的一个主要严重亚型,占所有EB病例的约25%。皮肤覆盖于体表,从外至内依次为表皮、真皮和皮下层,DEB由Ⅶ型胶原蛋白(C7)编码基因COL7A1突变引起,该蛋白与负责将真皮与表皮组织结合在一起的锚定纤维(AF)的形成密切相关[1-2]。DEB有两种遗传模式:显性(DDEB)和隐性(RDEB)。通常,RDEB的病情比DDEB更为严重。RDEB的症状包括皮肤脆弱,全身范围内的伤口,以及影响口腔、眼部、胃肠道和泌尿生殖系统的皮外表现。RDEB患者终生罹患侵袭性鳞状细胞癌的风险高于90%[1-2]。因此,RDEB通常在新生儿期开始,患者常常因感染而死亡。

图1 营养不良性大疱性表皮松解症(DEB)的机制、分类、影响部位和症状[2]
DEB疗法开发和小鼠模型
DEB治疗研究主要集中在纠正COL7A1基因突变或回补基因拷贝[3],包括使用CRISPR等基因编辑技术修复COL7A1突变[4-6],利用反义寡核苷酸(ASO)调控COL7A1剪接模式[7],以及通过AAV或HSV-1等载体递送COL7A1基因拷贝[8-9],这些疗法的研究都需要在动物模型中进行初步验证。在人体中,RDEB由COL7A1纯合缺失突变引起,这在小鼠模型中也有相应的机制。例如,Col7a1纯合敲除小鼠在出生后会表现出高死亡率,在24~48小时内在前爪和后爪的脚掌出现出血性水疱,随后出现严重的RDEB症状[10]。这种小鼠模型是RDEB补充疗法的临床前常用模型之一。然而,在基因编辑和反义寡核苷酸(ASO)研究领域,由于需要精确靶向人源化基因序列,目前尚无合适的小鼠模型可供体内研究。这是目前基因治疗研究领域面临的主要挑战之一。

图2 营养不良型大疱性表皮松解症(DEB)的治疗策略研究[3]
HUGO-GT®项目是专为基因治疗和罕见病研究设计的一系列小鼠基因人源化及点突变疾病模型。赛业生物自主研发了B6-hCOL7A1人源化小鼠模型(产品编号:C001428),并在此基础上引入了常见的高复发性c.6527dupC致病突变[11],构建了B6-hCOL7A1*c.6527dupC疾病模型(产品编号:C001538),旨在满足基因编辑和小核酸疗法的研究需求。此外,还针对补充疗法领域开发了Col7a1基因敲除(KO)小鼠模型(产品编号:C001539)。B6-hCOL7A1*c.6527dupC小鼠和Col7a1 KO小鼠都能出现明显的RDEB表型,以下是这些模型的详细表型信息。
基因表达检测
纯合Col7a1 KO小鼠中鼠源Col7a1基因的表达被完全敲除,纯合B6-hCOL7A1*c.6527dupC小鼠同样缺少鼠源Col7a1基因表达,但能表达与之相等水平的人源COL7A1基因(c.6527dupC突变不影响基因转录,但会导致蛋白表达异常)。

图3 小鼠内源性Col7a1基因和人源COL7A1基因的表达检测
小鼠缺乏功能性COL7A1蛋白表达
野生型小鼠和杂合Col7a1 KO小鼠表达鼠源COL7A1蛋白,但纯合Col7a1 KO小鼠则不表达该蛋白。类似地,纯合B6-hCOL7A1小鼠和杂合的B6-hCOL7A1*c.6527dupC小鼠表达人源COL7A1蛋白,而纯合B6-hCOL7A1*c.6527dupC小鼠不表达该蛋白。纯合B6-hCOL7A1*c.6527dupC小鼠和纯合Col7a1 KO的皮肤组织都出现了表皮和真皮层的分离。

图4 Col7a1 KO小鼠和B6-hCOL7A1*c.6527dupC小鼠皮肤中COL7A1蛋白表达的免疫组化检测
小鼠出现皮肤红肿起泡表型
纯合Col7a1 KO小鼠和纯合B6-hCOL7A1*c.6527dupC小鼠均在出生第一天出现皮肤红肿和起泡症状。其中,Col7a1 KO小鼠症状更为严重,表型主要出现在前后脚掌,且在出生后的3天内会死亡。

图5 Col7a1 KO小鼠和B6-hCOL7A1*c.6527dupC小鼠出现皮肤红肿和脱落表型
B6-hCOL7A1*c.6527dupC小鼠皮肤病理进程
B6-hCOL7A1*c.6527dupC纯合小鼠出生第一天仅出现前/后爪红肿水泡,第二天前后掌以及尾巴都有红肿水泡的现象;第七天时未见红肿水泡样,但出现大面积脱皮现象。

图6 B6-hCOL7A1*c.6527dupC小鼠皮肤红肿和脱落表型的进程
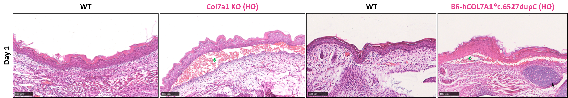
小鼠出现表皮和真皮层分离病理
纯合Col7a1 KO小鼠和纯合B6-hCOL7A1*c.6527dupC小鼠皮肤都出现了显著的皮下水肿(图中绿色星号所示),并观察到表皮和真皮层分离现象。

图7 Col7a1 KO小鼠和B6-hCOL7A1*c.6527dupC小鼠皮肤组织H&E染色检测
总 结
纯合Col7a1 KO小鼠(产品编号:C001539)和纯合B6-hCOL7A1*c.6527dupC小鼠(产品编号:C001538)都表现出了大疱性表皮松解症(EB)的典型症状,包括皮肤红肿、起泡、皮下水肿以及表皮和真皮层的分离。其中,Col7a1 KO小鼠的症状更为严重,主要表现在前后脚掌,且在出生后的3天内会死亡。相比之下,B6-hCOL7A1*c.6527dupC小鼠的症状相对较轻,最早出现在前/后爪,到第七天时出现大面积脱皮。此外,纯合B6-hCOL7A1小鼠和杂合B6-hCOL7A1*c.6527dupC小鼠的皮肤都能表达COL7A1蛋白,而纯合B6-hCOL7A1*c.6527dupC小鼠和纯合Col7a1 KO小鼠则不表达该蛋白。这些模型为研究DEB提供了重要工具,有助于更深入地理解这种罕见疾病的发病机制,并为开发新的治疗方法提供可能。
此外,赛业生物还提供多种用于基因治疗和罕见病研究的人源化及点突变疾病模型,以满足研发人员在相关研究领域的实验需求。
HUGO-GT®全基因组人源化模型推荐

参考文献:
[1] Eichstadt et al., "From Clinical Phenotype to Genotypic Modelling: Incidence and Prevalence of Recessive Dystrophic Epidermolysis Bullosa (RDEB)", Clin Cosmet Investig Dermatol, vol. 12, pp. 933-942, 2019.
[2] DEBRA International, "About EB: EB in Depth", Retrieved May 17, 2024, from https://www.debra.org/about-eb/eb-depth.
[3] Hou et al., "Innovations in the Treatment of Dystrophic Epidermolysis Bullosa (DEB): Current Landscape and Prospects", Ther Clin Risk Manag, vol. 19, pp. 455-473, 2023.
[4] Bonafont et al., "Correction of recessive dystrophic epidermolysis bullosa by homology-directed repair-mediated genome editing", Mol Ther, vol. 29, no. 6, pp. 2008-2018, 2021.
[5] Hainzl et al., "COL7A1 Editing via CRISPR/Cas9 in Recessive Dystrophic Epidermolysis Bullosa", Mol Ther, vol. 25, no. 11, pp. 2573-2584, 2017.
[6] García et al., "Preclinical model for phenotypic correction of dystrophic epidermolysis bullosa by in vivo CRISPR-Cas9 delivery using adenoviral vectors", Mol Ther Methods Clin Dev, vol. 27, pp. 96-108, 2022.
[7] Bornert et al., "QR-313, an Antisense Oligonucleotide, Shows Therapeutic Efficacy for Treatment of Dominant and Recessive Dystrophic Epidermolysis Bullosa: A Preclinical Study", J Invest Dermatol, vol. 141, no. 4, pp. 883-893.e6, 2021.
[8] Gurevich et al., "In vivo topical gene therapy for recessive dystrophic epidermolysis bullosa: a phase 1 and 2 trial", Nat Med, vol. 28, no. 4, pp. 780-788, 2022.
[9] Chamorro et al., "Gene Editing for the Efficient Correction of a Recurrent COL7A1 Mutation in Recessive Dystrophic Epidermolysis Bullosa Keratinocytes", Mol Ther Nucleic Acids, vol. 5, no. 4, e307, 2016.
[10] Fritsch et al., "A hypomorphic mouse model of dystrophic epidermolysis bullosa reveals mechanisms of disease and response to fibroblast therapy", J Clin Invest, vol. 118, no. 5, pp. 1669-79, 2008.
[11] Sanchez-Jimeno et al., "Recessive dystrophic epidermolysis bullosa: the origin of the c.6527insC mutation in the Spanish population", Br J Dermatol, vol. 168, no. 1, pp. 226-9, 2013.
21 Apr 23;11:653222.



