靶点人源化模型是指携带功能性的人类基因、细胞、组织或器官、免疫系统或微生物的小鼠模型。这类小鼠中的某个或某些基因被人类基因、基因组序列或调控元件替代,使得小鼠可以表达出完整的人源蛋白或包含人源特定结构域的嵌合蛋白,从而模拟人类药物作用的过程。
目前,靶点人源化小鼠模型已广泛应用于生物医学研究和临床治疗方案的开发中,包括肿瘤免疫治疗、CAR-T细胞毒副作用评估、测试和验证广泛的免疫治疗方法以及联合免疫疗法、识别恶性造血系统疾病白血病干细胞和白血病起始细胞等。在小核酸药物临床前开发中,靶点人源化模型也扮演着关键角色,人们通过验证药物靶点的有效性、进行毒性与安全性评价等,理解并优化小核酸药物的作用方式,这能极大地提高新药研发的成功率。
靶点人源化模型推荐
赛业生物药物筛选评价小鼠模型平台可为您提供hF11、hPD-1、B6-hPDL1-V、B6-hCD47、hCTLA4、B6-hIGHG1等多类型靶点人源化模型,助力新药研发。如需查看小鼠的更多详细信息及验证数据。

模型验证——以B6-hGLP-1R小鼠为例
B6-hGLP-1R小鼠(产品编号:C001421)是通过将人源GLP1R基因编码该蛋白七次跨膜的核心结构域和较大的胞外结构域的序列插入小鼠Glp1r基因序列中,表达人源GLP-1R蛋白关键功能区域的同时保留了小鼠GLp1r的信号肽和3'UTR区域。该模型可用于肥胖和Ⅱ型糖尿病等多种代谢疾病的致病机制研究和GLP-1RA类药物研发筛选。
人源GLP-1R基因和蛋白表达水平
图1 C57BL6野生型小鼠(WT)和B6-hGLP-1R小鼠在六周龄时各组织人源GLP1R基因和蛋白表达水平
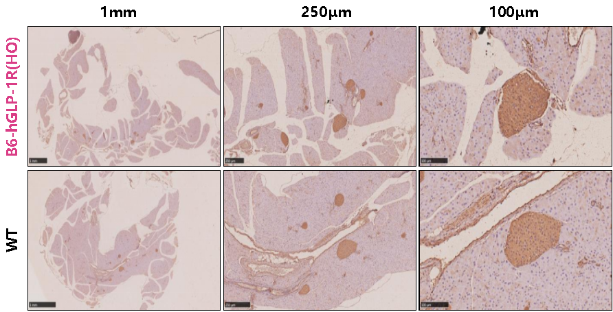
胰腺组织免疫组化(IHC)染色

图2 人源GLP-1R蛋白在6周龄野生型(WT)小鼠和B6-hGLP-1R纯合小鼠(HO)胰腺组织的分布情况
胰腺组织免疫荧光(IF)染色

图3 人源GLP-1R蛋白在6周龄野生型(WT)小鼠和B6-hGLP-1R纯合小鼠(HO)胰腺组织的分布情况
GLP-1R激动剂PF-06882961药效验证

图4 GLP-1R激动剂PF-06882961可显著降低正常饮食(CD)和高脂饮食(HFD)条件下B6-hGLP-1R小鼠的血糖
GLP-1R激动剂Semaglutide药效验证

图5 GLP-1R激动剂Semaglutide显著降低高脂饮食(HFD)条件下B6-hGLP-1R小鼠的血糖和体重
HUGO-GT®全基因组人源化模型推荐
除靶点人源化模型以外,赛业生物还可提供包括全基因组人源化模型在内的其他人源化模型。基于自主研发的TurboKnockout-Pro技术,我们对鼠源基因进行原位替换,成功构建了涵盖更丰富干预靶点的全基因组人源化小鼠。


小核酸药物临床前药理药效平台
针对小核酸药物临床前研究的特点,赛业生物开发了多个可适应其药物开发的靶点人源化模型、HUGO-GT®全基因组人源化模型,并能提供包括体外药物活性筛选、体内药物分布、non-GLP安全性评价以及体内药理药效等一站式服务。




