摘要:背景:探讨商品化肿瘤坏死因子α(TNFα)抑制剂依那西普对急性心肌缺血模型轴突损伤的保护作用。
方法:36例大鼠眼压升高致急性缺血。治疗组接受皮下注射依那西普(0.3或1mg/kg),每周三次,长达4周。对照组采用相同剂量的磷酸盐缓冲盐水(PBS)治疗。通过透射电镜下的轴突数计算视神经损伤。小胶质细胞活性用Iba1和CD68评估。
结果:依那西普对急性缺血大鼠视神经损伤有抑制作用。体内研究表明,依那西普可能是一种针对TNF-α相关疾病新的神经保护治疗剂。
关键词:依那西普 肿瘤坏死因子α 急性缺血 轴突损伤 小胶质细胞
背景:缺血被认为是包括糖尿病视网膜病变、视网膜动脉/静脉阻塞和青光眼在内的多种眼部疾病的主要致病条件。缺血导致细胞凋亡,通过激活胶质细胞,增加某些神经毒性介质的产生。肿瘤坏死因子-α(TNFα),炎性细胞因子,缺血性损伤后这种因子增加。在炎症,感染和创伤的反应后,其分泌液增加。TNF-α与受体结合后通过细胞内各种信号事件诱导神经元凋亡。以前的研究已经表明在体外和体内缺血模型中TNF-α的产生增加,经玻璃体腔注射TNF-α抗体后,肿瘤坏死因子α通过中和作用可显著保留视网膜功能。
依那西普(Enbrel)是TNF-α抑制剂能作为诱饵受体结合肿瘤坏死因子-α。这是针对肿瘤坏死因子α目前市售、被临床使用的第一个融合单克隆抗体。依那西普减少TNF-α的炎症作用,用于临床治疗多种自身免疫性疾病,如类风湿性关节炎、强直性脊柱炎和银屑病关节炎。此外,最近的一项研究表明,系统性注射依那西普能有效预防青光眼大鼠视网膜神经节细胞的丢失,在青光眼和葡萄膜大鼠模型中能检测到高水平的TNF-α和它的受体。在本研究中,我们给予一种广泛使用的TNF-α抑制剂,依那西普,急性缺血性损伤后皮下注射,以确定其在预防轴突缺血性损伤中的有效性。本研究的目的是确定依那西普是否能降低大鼠急性高压性视网膜缺血模型视神经变性和降低小胶质细胞的活化。
视网膜缺血动物模型:36只雄性SD大鼠,体重250至300克被用于试验。所有的动物都被安置在一个12小时的光暗周期循环, 21°C.恒温室,随意采食和饮水的动物实验设施中。诱导缺血前,将大鼠用30mg/kg噻环乙胺(舒泰;维克,沃思堡,TX)和10mg/kg甲苯噻嗪(隆朋2%;拜耳、皮奥里亚、IL)腹腔注射麻醉。通过增加眼内压(IOP)来诱导缺血,从而阻断视网膜动脉到视网膜的血液供应。右眼前房插管用30号针头连接到硅橡胶管、压力表进行无菌0.9%生理盐水输注。升高生理盐水容器超过全身动脉压增加眼内压。眼压为130毫米汞柱维持60分钟. 虹膜的白化和视网膜的红反射丧失证实视网膜缺血。视网膜灌注的情况下保持每5分钟监测一次眼压。然后停止输液,以允许视网膜血管的再灌注,通过再现的红色反射验证。对侧对左眼进行通过角膜插入30针进前房不输注,作为一个非缺血性对照。动物在不同时间点处死,摘除他们的眼睛被进行形态学和免疫组化研究。
依那西普治疗:我们将依那西普与无菌水(0.3或1mg/kg)混合,将大鼠分为三组。急性缺血或假注射诱导后1天,第一和第二组分别接受依那西普皮下注射0.3 mg/kg(N = 6)和1 mg/kg(N=15),每周三次,直到处死那天。第二组依那西普1 mg/kg治疗,治疗3天后处死3只,治疗2周后处死6只,治疗4周后处死6只。第三组(n = 15)是以相同的方式注射相同体积1 mg/kg的磷酸盐缓冲液(PBS),治疗3天后处死3只,治疗2周后处死6只,治疗4周后处死6只。剂量的选择根据以前的研究,表明在其他疾病模型中药物的有效性制定的。
组织学评价和免疫组化:在麻醉状态下,摘除眼球。在摘取过程中最大限度地减少拉伸损伤。通过侧结膜切口外眦切开术对视神经眶部进行解剖。当神经束膜可视化足以获得足够的神经长度,从根部视神经被切断约3毫米,从眼球上移除。获得的轴突被固定在Karnovsky固定液中,用1%锇酸染色然后进行常规石蜡包埋。10μm连续切片。在4°C,近端视神经的短部固定在2.5%戊二醛和4%多聚甲醛、0.1 M磷酸缓冲液(pH 7.4)中浸泡固定24 h。然后放入1%锇酸盐过夜,在室温下,缓冲液冲洗。随后通过分级酒精系列进行组织脱水,并嵌入环氧树脂中。视神经的横切面(< 1μm),用1%甲苯胺蓝1%硼酸钠染色测量截面积。制备超薄(60 nm)的横截面用透射电子显微镜(TEM)观察。
诱导缺血性损伤后3天获得的视神经,用于小胶质细胞活性的免疫组化评价。连接的视神经视网膜切片(10mm)用含10%山羊血清、0.5%明胶、3%牛血清白蛋白,和0.2%的吐温20的PBS预孵育,然后用抗iba1兔抗体孵育(1:500)作为小胶质细胞的标记。
量化视神经轴突损伤:本研究的前提是视神经的轴突横切面呈圆形或椭圆形。退化的轴突必须失去其圆度和偏离正常大小范围。轴突变性的特点是轴突肿胀和髓鞘分裂成层(致密的轴突),在严重受损的情况下髓鞘破坏和广泛纤维化。量化视神经轴突损伤的方法采用其他文献报道的方法。
Western blot分析:急性缺血性损伤诱导后三天,对小胶质细胞标记物Iba1、CD68进行免疫印迹分析。等量蛋白在10%SDS-聚丙烯酰胺凝胶电泳。将分离的蛋白质进行电转移至PVDF膜。5%脱脂奶粉封闭后,用抗Iba1和CD68抗体进行膜孵育过夜。膜孵育1 h,在室温下用与HRP标记的针对兔IgG二抗(1:2000)进行孵育.通过添加化学发光剂和暴露于X射线胶片观察其免疫反应带。
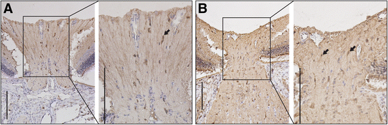
结果:依那西普降低轴突的病理变化:通过比较透射电镜下视神经的轴突形态和密度。急性缺血诱导四周后,同对照组相比,实验组视神经有更大的轴突障碍。这种疾病的特点是轴突肿胀髓鞘分离,增加轴突大小和形状的变化,并降低轴突密度。然而,1mg/kg的依那西普治疗后的轴突在4周保持了正常的配置和密度,类似对照组轴突。在使用1毫克/公斤依那西普治疗组和PBS对照组处置2周的动物眼球保存的轴突的比率分别是0.88±0.16和0.68±0.17。在使用1毫克/公斤依那西普治疗组和PBS对照组处置4周的动物眼球保存的轴突的比率是0.98±0.04和0.65±0.11。4周连续使用0.3毫克/公斤依那西普治疗组也比PBS组表现出更大的轴突保护。
依那西普降低小胶质细胞活化:在第三天的急性缺血诱导后,使用兔抗Iba1抗体免疫组化染色显示1毫克/公斤依那西普治疗组视神经头的小胶质细胞数量明显低于对照组。在眼无缺血性损伤对照组中,少数Iba1和CD68阳性细胞出现在视神经中。在眼缺血组,对应的Iba1和CD68不同的蛋白条带分子量平均为17 kDa的和75-110 kDa。然而,1毫克/公斤依那西普治疗组眼睛Iba1和CD68两个标记的表达水平比对照组的眼睛显著降低。因此,缺血损伤后依那西普治疗似乎显著阻止Iba1和CD68表达的增加。
讨论:依那西普是一种市售的TNF-α抑制剂,本研究证实了其在保持视网膜缺血大鼠模型轴突结构和减少小胶质细胞活化方面的疗效。以往的研究表明,依那西普降低大鼠葡萄膜炎模型的眼内炎症,并通过降低TNF-α水平阻止青光眼大鼠视网膜神经节细胞的丢失。在本研究中,在急性缺血诱导后第三天通过使用小胶质细胞标志物证实了小胶质细胞活化的发生。Roh等人报告显示,在青光眼模型大鼠眼压升高后3天内肿瘤坏死因子-α水平升高与7天内相关的小胶质细胞活化有关。因此,我们评估的缺血性损伤3天后小胶质细胞的活化,阐明小胶质细胞引起的炎症反应。本研究采用了两小胶质细胞的标记物,Iba1和CD68。Iba1为标示静态和活化的小胶质细胞和小胶质细胞密度提供了一个指标,而溶酶体抗原CD68衡量小胶质细胞的吞噬活性。这项研究有几个局限性。首先,我们没有直接评估视网膜神经节细胞的损失或TNF-α水平
结论:市售的TNF-α抑制剂依那西普对大鼠急性心肌缺血后轴突损伤有明显的保护作用。依那西普的神经保护作用的额外研究将有助于确定是否该药是针对神经疾病的新疗法的一个很好选择。






