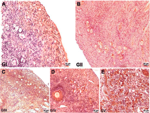
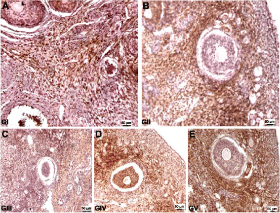
摘要:背景:卵巢移植作为生育和内分泌功能保护的临床方法已显示出越来越多的期望。然而,有关这种类型的移植成功率的信息是有限的。假设,卵巢移植的部位不同结果不同。为了检验这一假设,新鲜或冻存卵巢条进行自体同位或异位移植。收集移植后的卵巢条,评价选择的细胞凋亡的标志物的形态和表达。我们比较了新鲜自体移植和冷冻保存的卵巢带放置在小型猪同位和异位部位Bax、Bcl-2和Caspase-3染色程度和形态。方法:四十头雌性猪随机分为以下五组:组一,切除卵巢的卵巢组织;组二,新鲜卵巢带移植至异位部位;第3组,新鲜卵巢带移植到同位,第4组,冷冻保存卵巢带移植到异位部位;第5组,冷冻保存卵巢带移植到同位。卵巢移植后的第7天,收集卵巢带,评价细胞凋亡标志物的形态和表达。结果:对所有的组,检测卵泡发育的各个阶段。各组原始卵泡、初级卵泡、次级卵泡的数量类似,但在冷冻保存组与新鲜卵巢组织相比,窦状卵泡的数目较低,新鲜和冷冻保存组移植组之间没有显著差异。所有移植组Bcl-2表达降低,Bax表达高于对照组。此外,在新鲜腹腔移植中检测到凋亡标志物的表达增加。冷冻保存的原位组与异位组相比,裂解caspase-3表达明显增高。结论:选择使用这些技术原位和异位卵巢条移植是可行的。更重要的发现是,异位移植在更大程度上比原位移植保留卵巢滤泡完整性(即,凋亡标志物的低表达),和冷冻保存不会加剧细胞凋亡的标志物的表达。这些发现有重要的临床应用,并加强异位移植卵巢组织的讨论。关键词:卵巢移植 凋亡 小型猪 裂解caspase 3 卵泡数背景:卵巢组织移植可用于保留经历卵巢早衰和不孕妇女的生育能力和卵巢功能。每年有越来越多的妇女患上癌症。因此,人们越来越关注各种细胞毒性治疗对性腺功能的影响。目前的保留生育替代品,卵巢组织移植不同于胚胎和卵母细胞冷冻保存。因为它是唯一的方法,可以给青春期女孩提供和实现不处理的任何延迟。这种技术可以使用新鲜或冷冻保存的组织在原位或异位部位的移植。在一般情况下,自体卵巢移植比异体移植较常见由于免疫抑制问题。然而,移植排斥反应,通过细胞凋亡或坏死,甚至可以发生在自体移植。细胞凋亡排斥反应的机制在很大程度上仍然未知。卵巢移植中细胞凋亡的研究进展表明这个过程中参与移植。我们研究评估使用新鲜和冷冻组织在不同的植入部位研究评估细胞凋亡。卵巢移植的研究主要是实验性的,涉及的评估周期短。此外,这些研究使用一系列不同的技术在小动物模型上开展,卵巢组织移植虽然是一项相对较新的技术,但具有很大的发展前景,需要进一步研究,以规范技术,拓宽临床应用前景。鉴于小型猪宏观特性观察类似人类生理,该动物模型被用来评估卵巢种植体,无论是新鲜或冷冻保存,原位或异位移植后的可行性。我们推测,根据移植部位移植组织的质量和生存能力会有所不同。因此,本研究的目的是评价卵巢条非冻存卵巢(控制)或在非冷冻或冻存卵巢原位或异位移植部位组织形态和细胞凋亡三标记物的表达(Bcl-2、Bax和caspase-3)。方法:实验动物:40头雌性小型猪,动物年龄6月龄到1岁,平均体重为24.5公斤。动物已经经历了至少一个发情周期,以确保他们在生殖发展阶段。小型猪均保持12 h光暗周期和-免费提供水和食物。经过三天的驯化,每个动物接受合成孕激素周期18天,5天后,动物随后接受随机分组。研究组:动物随机分为五组(n = 8):GI,动物仅行腹腔镜双侧卵巢切除术,其中卵巢组织被切除作为对照组;GII、动物行双侧卵巢切除术和新鲜卵巢组织自体立即移植到皮下组织(异位移植);GIII、动物行双侧卵巢切除术和卵巢组织自体移植新鲜立即围漏斗腹腔部位卵巢区(原位移植);GIV,动物行双侧卵巢切除术和随后的自体冷冻卵巢组织移植到皮下组织(异位移植);GV、动物行双侧卵巢切除术和随后的自体冷冻卵巢组织移植到围漏斗腹腔卵巢区(原位移植)。卵巢切除术:腹腔镜双侧卵巢切除术,使用Stryker内镜设备鉴定卵巢蒂和子宫卵巢韧带,夹紧,烧灼和切割。结扎线放置一个双极密封容器系统。卵巢碎片的制备:摘取卵巢,从邻近组织和髓区解剖每个卵巢皮质区,在无菌环境中室温使用添加0.1%牛血清白蛋白(BSA)的Leibovitz L-15培养基中,皮质区被切成2mm×4mm×4mm厚的碎片在无菌条件下。卵巢皮质碎片被新鲜移植在同一手术(GII和GIII)中或经缓慢冻结过程,储存在液氮中七天,然后移植(GIV,GV)。使用一个异位移植GII和GIV和同位移植GIII和GV。冷冻保存:卵巢切除后,完整的卵巢转移到含有冷冻保护剂的培养皿中冷(4°C)(Leibovitz L-15)。从邻近组织解剖卵巢条,剥离出皮质区,放入含0.1%牛血清白蛋白, NaCl溶液(10%)和0.1 mol/ml蔗糖和甘露醇的Leibovitz L-15培养基中。碎片被放置在1.2-ml冻存管中,1.5 M DMSO作为冷冻保护剂。解冻:小瓶从液氮中取出,放置在室温下为40秒,然后浸入37°C水浴两分钟,直到冰融化。卵巢皮质碎片经一系列添加1000毫克/升葡萄糖和36毫克/升丙酮酸磷酸盐缓冲液(PBS)中冲洗。皮下移植:腹股沟皱襞被选择为卵巢组织自体移植的皮下区域由于其易于手术。此外,此次不易被自身和其他动物伤害。解剖后,插入六个卵巢组织切片,皮下区域用3.0VICRYL缝线缝合,皮肤用3.0尼龙线缝合。除了剥离组织和准备卵巢条外,皮下移植所需的平均时间为2.2分钟。腹腔内移植:腹腔镜检查盆腔。腹腔内选用的位置是在子宫管附近的壁腹膜襞。六卵巢组织条最初用4.0 VICRYL缝线被固定在一个止血纱网和随后通过一个11 mm套管进入腹腔。卵巢条缝合壁层腹膜褶,靠近左侧输卵管,使用3.0 VICRYL缝线。除了剥离组织和准备卵巢条外,腹腔内移植所需的平均时间为5.8分钟。组织收集与组织学评价:卵巢条在GII和GIII自体移植后30天采集(新鲜)GIV和GV自体移植后37天采集(冷冻)。术后7天恢复期后使用一种合成孕激素18天。样品用福尔马林固定,石蜡包埋,切成5μm的切片进行组织学准备。这些组织样品,然后转移到70%乙醇溶液,并在室温下储存,直到处理。根据卵巢生发上皮、皮质和基质进行卵巢组织的详细组织学描述。HE染色对卵巢组织植入物的质量和卵泡密度、组织的一般方面和血管化进行评价。并进行卵泡计数和分类。卵巢的卵泡分为以下类:原始卵泡、窦状健康卵泡,闭锁卵泡、黄体和白体。然后,每个组织区域确定每个滤泡类型的数目。一个原始卵泡被定义为一个卵泡,只有一个卵母细胞和一个单一的扁平鳞状细胞层。卵泡生长卵泡从原始卵泡腔形成,但没有窦形成。窦前卵泡分为以下几组:初级卵泡,一个卵母细胞和单层立方上皮细胞;次级卵泡,一个卵母细胞和两到八层的颗粒细胞和无窦腔;第三(窦)卵泡,八层以上颗粒细胞,无窦腔。卵泡腔,不论大小,被认为是胃窦滤泡。在所有这些情况下,一个卵母细胞必须是可见。黄体呈现典型的黄体细胞,周围有大的细胞核和血管。白体为黄体退化产物。对各组进行卵泡计数,并使用计算机图像进行分析。使用光学显微镜耦合到高分辨率摄像机和彩色视频监视器进行图像采集和测量。免疫组化分析:使用标准的组织化学技术进行脱蜡和洗涤。组织切片在4°C含有抗Bcl-2、抗Bax或抗Caspase-3的一抗1:400稀释的PBS暗室孵育过夜。组织切片在含0.1%吐温20的TBS反复冲洗,二抗 抗Bcl-2抗体为鼠抗IgG抗体(1:400)抗Bax和caspase-3蛋白抗体为兔抗IgG抗体(1:400)。随后在室温下,样品同AB试剂(抗生物素蛋白-生物素复合物)孵育30分钟,与DAB室温下孵育5分钟。然后将切片用苏木精复染。对上述凋亡标记物用光学显微镜的10×和40×物镜评估。通过可视化每个切片十个不同区段对每个区域的细胞染色的相对数量进行分析。每只动物10张切片,免疫组化数据采用Image-Pro Plus图像捕捉软件评估, ImageJ软件进行卵泡数、每组织面积卵泡数和染色强度的图像。结果:在对照组(G1), 卵巢覆盖着单层立方或柱状上皮, 有良好的髓质和皮质区域形成,在发育的各个阶段表现出大量的卵泡。在异位移植组卵巢条形态(GII和GIV)同对照组相似。在所有的移植组,特别是在原位移植组(GIII和GV)观察到较低浓度的原始卵泡和较大结缔组织面积。免疫组化分析:卵泡在移植组,特别是GIII,表现出较弱的Bcl-2染色。此外,移植组卵泡的Bax表达更频繁,更激烈比对照组(GI)。这一观察在原位移植新鲜卵巢组最为明显(GIII)。GI组间质滤泡细胞没有观察到裂解caspase-3染色,虽然有轻度染色的黄体。GII组基质没有染色,滤泡细胞中度染色。在GIII,可见中度染色,染色也出现在内膜;相反,基质呈弱阳性。在GIV,观察到染色和未染色的卵泡,虽然所有的簇和间质轻度或中度染色,染色弱于GII。在GV,存在染色和未染色的卵泡和轻度或中度染色质。结论:我们的数据表明,新鲜的卵巢组织移植到皮下部位表现出较低的细胞凋亡率,因此,这种移植的方法是有利于保持卵巢活力。潜在的临床意义涉及在人类卵巢移植异位位点的使用。这些发现对卵巢移植技术的临床应用具有广泛的意义,并将加强对卵巢组织异位移植的讨论。




