乳腺癌是乳腺上皮细胞在多种致癌因子的作用下,发生增殖失控的现象。疾病早期常表现为乳房肿块、乳头溢液、腋窝淋巴结肿大等症状,晚期可因癌细胞发生远处转移,出现多器官病变,直接威胁患者的生命。作为“粉红杀手”,乳腺癌发病率位居女性恶性肿瘤的首位,男性乳腺癌较为少见。随着医疗水平的提高,乳腺癌已成为疗效较好的实体肿瘤之一。

关于乳腺癌分型
根据风险、预后和对治疗反应的可能性,乳腺癌可分为四个亚型:Luminal A、Luminal B、HER2过表达型和三阴型(Basal-like型)。Luminal的特征是雌激素受体(ER)和孕激素受体(PR)的表达以及其他相关基因;HER2基因在约15%的浸润性乳腺癌中被扩增,该亚型部分已被证明表达ER,但大多数HER2富集的肿瘤缺乏ER或PR的表达,HER2富集的肿瘤通常是高级别肿瘤;Basal则大量表达上皮基因,如细胞角蛋白5和17,但ER、PR和HER2的表达有所缺失。

当前乳腺癌细胞系和肿瘤之间分型方案的比较[1]

人类乳腺癌的主要亚型[2]
常见的乳腺癌动物模型
乳腺癌的啮齿类动物模型已成为研究乳腺癌进展、转移机制和遗传途径,以及开发、评估临床治疗方法的重要工具。选择合适的动物模型是研究的关键,我们需要基于对不同模型优缺点的整合,使其符合特定研究目的。
肿瘤移植模型
赛业生物已建立乳腺癌、肝癌、肠癌、胰腺癌、肺癌、胃癌、肾癌、前列腺癌、黑色素瘤、膀胱癌、白血病、卵巢癌、脑癌等多种有效的人源肿瘤细胞系异体移植药效模型,已成功移植的人源细胞系超200种,所用的受体为C-NKG(重度免疫缺陷小鼠)、NOD-Scid、BALB/c nude(裸鼠)等免疫缺陷小鼠,接种部位一般为皮下、静脉或原位。
赛业生物精选乳腺癌细胞系移植模型

(1)CDX模型
将人类肿瘤细胞系移植到免疫缺陷小鼠中,可分为皮下接种模型和乳垫接种模型。CDX模型细胞系是来自各种人类肿瘤类型的代表,遗传信息稳定;其间质细胞和血管细胞组成肿瘤微环境的特征稳定;肿瘤便于精确测量。但皮下位置可能不允许关键组织特异性的培养间质浸润;存在跨物种分裂,即基质组件是鼠源的,肿瘤细胞是人类的;且缺乏免疫环境。
赛业生物对人源肿瘤细胞做了大量的荧光报告基因的转入工作,为的是提供更接近临床的转移瘤模型和原位模型。
(2)同源移植模型
鼠源性肿瘤异体移植到免疫活性小鼠中,可分为皮下接种模型和乳垫接种模型。同源移植存在完全的免疫系统;其间质细胞和血管细胞组成肿瘤微环境的特征稳定;且肿瘤内的所有细胞类型都来自小鼠。但细胞系种类较少;小鼠免疫源加强,肿瘤移植后会消退;且增殖过快,影响给药窗口期。
(3)PDX模型
将人类乳腺癌细胞或组织从原发性肿瘤(在乳房肿块切除术或乳房切除术期间采集)或转移性病变原位移植到免疫功能低下小鼠的乳腺脂肪垫中。PDX在连续传代中高度模拟了亲代肿瘤的组织学、基因组和结构特征;且肿瘤便于精确测量。但生成自发PDX转移模型需要高超的技术专长;从头开始建立PDX模型非常耗时;为了捕捉在临床上观察到的患者间异质性,研究人员应考虑使用PDX模型库,而不是单一独立的模型。
自发模型
未经任何有意识的人工处理而自然发生乳腺癌的小鼠为自发型,多采用近交系小鼠,如SHN和C3H等。其中SHN小鼠较为常用,一般出生后4个月就开始出现肿瘤症状,到12个月时乳腺癌患病率高达100%,其肿瘤发生与人类乳腺癌极为相似,但成瘤时间太长,且肿瘤发生不同步,不能在短期内获得大量的具有统计学意义的实验数据。
诱发模型
诱发性乳腺癌模型多采用化学诱发途径,常用的诱导剂有甲基亚硝基脲(N-methyl-N-nitrosourea, MNU)或DMBA等,一般通过灌胃、局部涂抹或静脉注射等途径作用于实验动物,多是采用大鼠。该方法模型构建周期较长,肿瘤细胞差异性大,恶性行为有限,肿瘤侵袭转移能力较弱,不利于研究恶性乳腺癌发病机理。
基因工程小鼠乳腺癌模型
通过表达与人类同源的癌基因或敲除抑癌基因,容易构建与人类发病相似的乳腺癌模型,该模型目前正成为人类研究乳腺癌的核心模型。基因工程小鼠乳腺癌模型大体分为转基因模型和基因敲除模型。
常见的乳腺癌细胞株
细胞株MCF-7
由乳腺癌患者的胸腔积液中分离建立,常用于发病机理的研究。MCF7属于贴壁细胞,显微镜下呈上皮细胞形态,且保留了多个分化乳腺上皮的特性,ER(+)、PR(+)、P53(+/-);WT表达WNT7B;表达胰岛素样生长因子结合蛋白(IGFBP)BP-2、BP-4、BP-5;TNF-α可以抑制MCF-7细胞的生长。
细胞株MDA-MB-231
来自转移乳腺腺癌患者的胸水,常用于乳腺疾病的发病机理及临床应用研究。MDA-MB-231属上皮细胞,细胞形态大部分为纺锤状,也有部分细胞呈圆形,存在少量悬浮细胞。ER(-)、PR(-)、HER2(-)、TP53++M;贴壁生长;表达表皮生长因子EGF受体、转化生长因子TGF-α受体和WNT7B癌基因。
细胞株BT474
细胞是由E·Lasfargues和W·G·Coutinho从一个实心的乳腺浸润性导管癌中分离到的细胞株。呈上皮细胞样,ER(+)、PR(+)、HER2(+)、TP53+。
细胞株4T1
4T1是一种可移植的小鼠乳腺癌细胞系,被广泛用作体外肿瘤模型以研究人类乳腺癌。4T1细胞有高度的侵袭性和肿瘤形成能力,它们倾向于从乳腺的原发肿瘤部位转移至其他部位,包括肝脏、淋巴结、肺、骨骼和脑部,因此是研究乳腺癌转移的理想选择。
乳腺癌模型验证数据
1.基于C-NKG重度免疫缺陷小鼠的CDX模型构建

乳腺癌细胞MCF-7乳垫原位移植肿瘤及体重生长曲线
接种细胞前24小时,体内接种雌激素缓释片,将细胞以乳垫原位注射的形式接种到C-NKG小鼠体内,并在不同的时间点测量成瘤体积。细胞接种量为5×106/只,数据以Mean±SEM形式呈现。结果显示在C-NKG小鼠体内肿瘤曲线稳定,容易成瘤。

乳腺癌细胞MDA-MB-231乳垫原位移植肿瘤及体重生长曲线
将细胞以乳垫原位注射的形式接种到C-NKG和NOD-Scid小鼠体内,并在不同的时间点测量成瘤体积。细胞接种量为1×107/只,数据以Mean±SEM形式呈现。结果显示在C-NKG小鼠体内肿瘤曲线稳定,容易成瘤。

乳腺癌细胞BT474乳垫原位移植肿瘤及体重生长曲线
接种细胞前24小时,体内接种雌激素缓释片,将细胞以乳垫原位注射的形式接种到C-NKG和NOD-Scid小鼠体内,并在不同的时间点测量成瘤体积。细胞接种量为5~10×106/只,数据以Mean±SEM形式呈现。结果显示在C-NKG小鼠体内肿瘤曲线稳定,容易成瘤。
2. 基于荧光报告基因的转移瘤模型构建

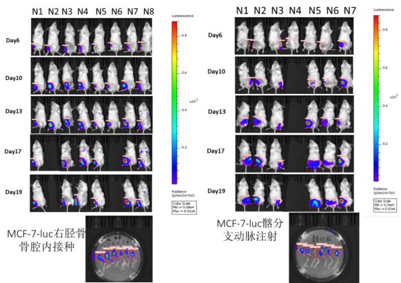
乳腺癌细胞MCF-7-LUC骨腔移植肿瘤活体成像数据
所有小鼠接种前24天体内接种新型雌激素药片。将细胞乳垫注射的形式接种到C-NKG小鼠体内,并在不同的时间点对小鼠进行活体成像。细胞接种量为1×106/只。结果显示在C-NKG小鼠体内肿瘤曲线稳定,动脉注射方式MCF-7细胞容易在骨腔内归巢。

乳腺癌细胞4T-1-LUC骨腔移植肿瘤活体成像数据(A. 将细胞以胫骨骨腔形式接种到BALB/c小鼠体内,并在不同的时间点对小鼠进行活体成像,细胞接种量为0.5×106/只;B. 肿瘤转移脏器观察,观察到脾脏、肺、肾脏及脑部有肉眼可见的肿瘤瘤块转移灶;C. 胫骨组织取材后的荧光成像图片。)
结果显示在BALB/c小鼠体内肿瘤曲线稳定,4T-1-LUC鼠源三阴性乳腺癌转移能力强,能够快速转移肺、脾脏、肾脏以及脑部。
3.基于免疫健全小鼠的Syngeneic模型构建

小鼠乳腺癌细胞4T-1乳垫原位和皮下移植肿瘤及体重生长曲线
将细胞以乳垫原位注射的形式接种到BABL/c小鼠体内,并在不同的时间点测量成瘤体积。细胞接种量为0.5~1×106/只,数据以Mean±SEM形式呈现。结果显示在BABL/c小鼠体内肿瘤曲线稳定,容易成瘤。
赛业生物重度免疫缺陷鼠C-NKG
C-NKG小鼠是一款重度免疫缺陷小鼠,由赛业生物在NOD-Scid背景品系上敲除Il2rg基因自主研发,是目前公认的免疫缺陷程度高且可用于肿瘤、免疫、自身免疫性疾病、免疫治疗疫苗、GvHD/移植、安全性评估等研究的优秀模型。同时,赛业生物也可以根据项目需求,提供人源免疫系统重建、人源肿瘤细胞系异体移植等服务。

参考文献:
[1]Dai X, Cheng H, Bai Z, Li J. Breast Cancer Cell Line Classification and Its Relevance with Breast Tumor Subtyping. J Cancer. 2017 Sep 12;8(16):3131-3141. doi: 10.7150/jca.18457. PMID: 29158785; PMCID: PMC5665029.
[2]Manning HC, Buck JR, Cook RS. Mouse Models of Breast Cancer: Platforms for Discovering Precision Imaging Diagnostics and Future Cancer Medicine. J Nucl Med. 2016 Feb;57 Suppl 1(Suppl 1):60S-8S. doi: 10.2967/jnumed.115.157917. PMID: 26834104; PMCID: PMC6231414.



