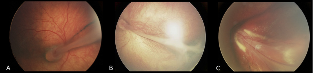
家族性渗出性玻璃体视网膜病变(FEVR)是一组罕见的遗传性视网膜疾病,其特征是异常的视网膜血管生成,导致周围视网膜血管化不完全,随后出现视网膜缺血。FEVR的无血管视网膜导致缺氧和新生血管生长刺激进入玻璃体,从而导致后期的玻璃体视网膜牵拉、黄斑下渗出和出血、视网膜褶皱、牵拉性视网膜脱离和黄斑移位。FEVR的临床表现往往不对称,在同一家庭的受影响成员之间也会有显着差异。轻度疾病患者可能无症状,而重度疾病患者可能表现为严重的视力丧失。目前尚无特效药物可用于治疗FEVR,但激光治疗、玻璃体切割手术等方法可以帮助缓解症状和保护视力[1]。

家族性渗出性玻璃体视网膜病变(FEVR)的视网膜褶皱表型[2]
血管发育受多种信号通路精密调控,其中Wnt信号通路是关键调控系统之一。Norrin/β-Catenin信号通路是一种重要的Wnt信号传导途径,它在眼睛和耳朵的血管发育中起着核心作用[3]。在这条通路中,主要是通过Norrin与其受体FZD4、LRP5和TSPAN12结合形成复合物来实现调节作用,从而促进视网膜血管生成。目前已知至少有9个基因的突变会导致FEVR,包括NDP,FZD4,LRP5,TSPAN12,ZNF408,KIF11,RCBTB1,CTNNB1和JAG1,占全球所有FEVR病例的约50%。这些基因突变会影响Wnt信号通路的正常调节作用,导致视网膜血管生成异常和视网膜缺血等症状[4]。

Norrin/β-Catenin信号通路调控视网膜血管发生的途径[4]
01.NDP相关FEVR
NDP基因编码Norrin蛋白,该蛋白与视网膜血管的生长和发育有关。Norrin蛋白与FZD4蛋白结合,形成高亲和力的配体-受体对,并与辅助组分TSPAN12一起,通过促进β-Catenin进入细胞核,诱导FZD4和LRP5依赖性激活经典Wnt通路。Wnt信号通路在眼睛的生长和发育中起着重要作用,其缺陷会影响这一过程,并在FEVR和Norrie疾病的病理过程中起着重要作用[5]。因此,NDP基因突变会影响Norrin蛋白的功能,从而影响Wnt信号通路,导致FEVR的发生。在小鼠中,Ndp基因的敲除将导致浅层视网膜血管发育延迟,并且无法形成深层视网膜血管,进一步会形成类似微动脉瘤的病变,这是典型的视网膜血管缺陷表型[6]。

Ndp-KO小鼠存在视网膜浅层血管的缺陷和深层毛细血管网络的缺失[6]
02.FZD4相关FEVR
FZD4作为Wnt信号通路的受体,可通过结合Wnt蛋白来激活该通路,并促进视网膜血管的正常发育。FZD4突变导致其无法与Wnt蛋白结合,从而导致Wnt信号通路的抑制,这种异常会导致静脉瘤的形成和视网膜缺血等症状。此外,FZD4基因突变也可能通过影响TGF-β信号通路和Notch信号通路等其他信号通路的调节,从而影响视网膜血管的发育和维护。以上两种机制可能共同导致了FEVR的发生或恶化[7]。与Ndp敲除小鼠表型相似,Fzd4-KO小鼠的视网膜和内耳的血管发育受到了极大的影响并且出现视网膜应激的表型。Fz4的缺失导致多个表型的出现,包括视网膜表面内皮细胞迁移的延缓,视网膜内的二级和三级血管分枝的消除,玻璃体血管系统程序性退化的极大延迟,并在耳蜗血管内产生渐进性扩大和退化以及小脑血管的渐进性紊乱等。此外,Fz4缺失可能还会导致其他非血管方面的表型,如脑部退化和听力障碍[8]。

Fzd4-KO小鼠存在视网膜血管缺陷的表型[8]
03.TSPAN12相关FEVR
TSPAN12基因编码的跨膜蛋白同样也是Wnt信号通路中的一个重要成员,TSPAN12可以与FZD4共同作用,参与Wnt信号通路的调节,促进视网膜血管的正常发育。TSPAN12的突变与FZD4突变导致的表型较为相似,都导致静脉瘤的形成和视网膜缺血等症状,并通过影响VEGF和Notch等信号通路,来影响视网膜血管的发育和维护[9]。同样,Tspan12基因敲除小鼠拥有和Fzd4敲除小鼠相似的表型,包括静脉瘤的形成、血管分支和血管消退的异常等视网膜内血管发育异常。此外,Tspan12缺失还会导致小鼠出现视力障碍、视网膜缺血以及心脏异常、肝脏异常和骨骼畸形等其他器官和组织的发育异常[10]。

Tspan12-KO小鼠存在微动脉瘤和玻璃体血管退化延迟等表型[10]
04.LRP5相关FEVR
LRP5作为Wnt信号通路的受体,可以通过结合Wnt蛋白来激活Norrin/β-Catenin信号通路,参与视网膜血管形成的调控。LRP5基因的功能缺失型导致其无法与Wnt蛋白结合,造成Wnt信号通路异常,导致视网膜血管的异常发育,包括静脉瘤的形成和视网膜缺血等症状,最终导致FEVR的发生。此外,LRP5也参与调控骨密度和胆固醇代谢途径的调节,LRP5基因的功能丧失突变会也导致骨质疏松-假瘤综合征(OPPG)。相反,LRP5的功能增强突变会导致异常骨密度增高[11]。因此LRP基因敲除小鼠除表现为视网膜血管异常和视网膜发育不良等眼部疾病表型外,还呈现骨骼畸形和低骨密度等骨骼表型以及胆固醇代谢异常和高胆固醇血症等心血管表型[12-14]。与Ndp和Fzd4基因敲除小鼠相比,Lrp5-KO小鼠的视网膜病变视网膜更温和,且出现骨骼畸形和代谢失常等非视网膜血管表型。

Lrp5-KO小鼠的玻璃体血管退化存在缺陷[12]
05.CTNNB1相关FEVR
CTNNB1基因编码的β-catenin蛋白是一种粘着连接蛋白,它与钙粘蛋白、α-catenin共同组成粘附连接复合体,通过调控细胞生长以及细胞间的粘附,在上皮细胞层的构建与维持中起着重要作用。通常认为,CTNNB1基因的缺失会导致CTNNB1综合征,这是一种严重的神经发育障碍。最近的研究发现CTNNB1基因的某些功能缺失突变也会导致伴痉挛性肌瘫和视力缺陷(NEDSDV)和家族性渗出性玻璃体视网膜病变(FEVR)等视网膜缺陷疾疾病[15-16]。在小鼠中的研究表明,Ctnnb1基因全身性敲除的会导致胚胎期死亡、胚胎发育异常、神经管缺陷、肝脏发育异常、肾脏发育异常和心脏发育异常等严重表型的出现,但鲜有视网膜表型报道。最近的一项研究发现内皮细胞特异性Ctnnb1敲除会降低Norrin/β-catenin通路的活性,从而影响视网膜血管生成。在该小鼠模型中,视网膜血管生成受到抑制,表现出FEVR样表型[17],此外,编码α-catenin的Ctnna1基因的内皮细胞特异性缺失同样呈现除与Ctnnb1缺失小鼠类似的FEVR样表型,也可用于该疾病的研究[18]。

内皮细胞特异性Ctnnb1敲除的小鼠出现与FEVR类似的表型[17]
06.KIF11相关FEVR
KIF11是独立于Norrin/β-Catenin信号通路的另一个重要的FEVR致病基因,该基因编码的马达蛋白参与了细胞分裂和微管动力学等生物学过程。KIF11也是视网膜母细胞中的一个重要因子,能够调节微管动力学并参与视网膜血管的生长和分支。在人类中,KIF11的失活突变与伴或不伴小头畸形的视网膜血管低下和以淋巴水肿,脉络膜视网膜发育不良,小头畸形和/或智力低下的不同组合为特征的多器官综合征有关。研究表明,一些FEVR患者体内KIF11的突变可能影响其视网膜血管的发育和稳定,但具体机制未知。因此,Kif11基因敲除小鼠模型已被用来研究KIF11基因突变与FEVR之间的关系。最近的一项研究表明内皮细胞特异性Kif11敲除会导致小鼠视网膜血管系统严重发育迟缓和小脑脉管系统轻度发育迟缓[19]。内皮细胞Kif11-cKO小鼠的表型与内皮细胞Ctnnb1-cKO小鼠非常相似,进一步证明KIF11缺失与FEVR之间的密切联系。

早期内皮细胞特异性Kif11敲除的小鼠的视网膜血管生长严重迟缓[19]
07.赛业生物罕见病研究资源基因编辑小鼠
小鼠基因编辑模型在罕见病机制研究和药物研发评价中起着重要作用,赛业生物拥有数千种自主研发的基因编辑小鼠品系,可提供包括NDP,FZD4和LRP5等在内的多种基因敲除或条件性敲除罕见病研究小鼠模型。同时也可根据您的科研需求进行专业化的定制服务,加速您的课题研究。




