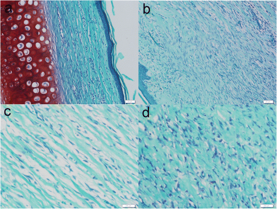
摘要:愈合皮肤伤口处多余的胶原沉积导致增生性瘢痕。脂肪干细胞通过减少胶原沉积而在多种抗纤维化药物中发挥作用。本研究的目的是通过建立兔耳模型探讨注射脂肪干细胞(ADSCs)对增生性瘢痕的影响。方法:将12只新西兰白兔分为三组,每只耳朵上有六个相同的穿孔缺陷。术后14天时,所有的伤口完全再上皮化.第一组在右耳朵接收脂肪干细胞(ADSCs)注射,左耳接受DMEM注射作为对照。第二组兔右耳接受条件培养基培养的脂肪干细胞(ADSCs-CM), 左耳接受DMEM注射作为对照。第三组的右耳未治疗组,左耳接受DMEM注射。使用超声测量术后14, 21, 28天、35天的疤痕抬高指数(SEI)来量化瘢痕增生。35天后采集伤疤进行组织形态学和基因表达分析。结果:瘢痕病灶内注射ADSCs或ADSCs-CM都导致瘢痕外观倾向于正常。与对照组相比,兔耳的SEI显著降低(分别为44.04%和32.48%)。根据形态学和实时定量聚合酶链反应分析证实ADSCs或ADSCs-CM注射病灶内胶原蛋白被有序组织起来,α平滑肌肌动蛋白(α- SMA)和Ι型胶原蛋白表达下降。DMEM注入和未经处理的疤痕之间没有差异。结论:病灶内注射ADSCs通过降低α-SMA、I型胶原基因表达和改善胶原蛋白沉积减少兔耳增生性瘢痕的形成。这可能会导致一种有效和创新的抗瘢痕治疗。简介:真皮组织损伤后,由于细胞外基质沉积和重塑异常,尤其是胶原,可引起增生性瘢痕。这种疤痕组织通常是由于发痒、疼痛和发红而变得僵硬,引起患者显著的外观和功能的问题。有各种各样的增生性瘢痕治疗方法包括切除、病灶内类固醇注射、压缩、激光、干扰素注射。然而,这些疗法都没有被证实能有效避免过度瘢痕组织的形成和健康真皮组织的再生。因此,肥厚性瘢痕的治疗仍然是一个挑战。增生性瘢痕是由于伤口愈合过程中的特定因素引起的,包括炎症、增生和重塑。T细胞和巨噬细胞的免疫功能紊乱,伴随着广泛的炎症反应,可形成空洞填充、非功能性组织,导致瘢痕的演变。活性氧(ROS)也是胶原沉积的有力驱动因子,它是中性粒细胞分泌的一种高度细胞毒性化合物,用于伤口消毒。转化生长因子β1(TGF-β1)是一种已知的真皮纤维化助推器,是成纤维细胞中重要的胶原刺激因子。此外,TGF-β1抑制基质金属蛋白酶(MMP)的表达,导致创面内胶原纤维的积累。肌成纤维细胞分化是在创伤愈合过程中的另一个纤维化增强器。肌成纤维细胞,在损伤环境成纤维细胞分化,是为了缩小伤口的边缘通过收缩加速再上皮化。紧张,过度,和不规则排列的胶原纤维束导致过度增生的增生性瘢痕。长时间的伤口愈合通常会导致增生性瘢痕。愈合过程中,确保形成一个适当的微血管网络和发展成为一个永久的血管网络是非常重要的。否则伤口闭合会受损,增生性瘢痕会出现。在伤口愈合过程中,任何异常都会对组织再生产生负面影响,并有助于增生性瘢痕的形成。从治疗的角度来看,治疗创伤愈合期间异常的药物可能有助于治疗疤痕。脂肪干细胞(脂肪干细胞)治疗有希望通过减少炎症的方法防止纤维化,抑制TGF-β1,有利于伤口部位组织再生。方法:兔耳增生性瘢痕模型:12只成年新西兰白化兔(每只重2.5~3公斤)在无菌条件下进行麻醉,以制备创伤。使用环钻在每只耳朵的腹面裸露的软骨处制备6个圆形,1厘米的伤口,表皮、真皮、软骨膜被小心地取出。伤口上覆盖着红霉素眼膏,第二天清洗分泌物。这项研究排除了感染性或坏死性伤口的样本。脂肪干细胞的制备及条件培养基:处死四周龄新西兰白兔,收集腹股沟脂肪垫,切碎,0.075% I型胶原酶37℃消化,持续振荡45分钟。1200×g将细胞悬液离心10 min.将脂肪细胞用含10%胎牛血清(FBS),1%青霉素/链霉素的低糖DMEM培养基悬浮,并在37°C含95%的空气、含5%的CO2的环境下培养。3天更换一次培养基。六孔板被用来播种ADSCs(约5×104 cells/cm2)。播种后十六小时,常规培养基被不含胎牛血清的DMEM培养基被取代。最后,孵育48 h,收集培养上清,300×G离心5分钟,通过0.22微米过滤器过滤。鉴定ADSCs:流式细胞仪检测细胞,第三代的ADSCs与单克隆抗体孵育PE标记的CD34、CD105、CD73、HLA-DR抗体或FITC标记的CD14、CD90、CD45抗体在室温条件下孵育30min。同型对照抗体染色的细胞为对照。细胞用磷酸盐缓冲液(PBS)洗涤,随后用4%甲醛固定,并用FACScan流式细胞仪分析。并根据以往方法评估脂肪形成和分化。病灶内注射:收集第三代的脂肪干细胞,用DIL标记。脂肪干细胞用PBS洗两次,悬浮在Dil稀释液(5μL/m DMEMl培养基),并分别在37°C培养 20分钟。孵育后,重新冲洗两次和悬浮在低糖DMEM培养液。用29G注射器从伤口边缘慢慢将含四百万脂肪干细胞的0.2毫升DMEM培养液注入每个病灶的中心。同样将0.2毫升ADSCs-CM注入每个病灶的中心。疤痕评价:手术后每周都要观察伤口的外部变化。术前、术后2, 3, 4周、5周超声检查病变的声像图,记录瘢痕的内部变化。组织学分析:术后35天取疤痕进行组织学检查。将他们立即固定于10%福尔马林。然后将瘢痕植入石蜡切片。对于疤痕抬高指数(SEI),切片用HE染色,显微镜下检查。测量由盲检查者进行两次,并使用平均值。胶原纤维排列进一步进行马松三色染色法。追踪脂肪干细胞:瘢痕组织一分为二,4°C固定于含10%蔗糖的4%多聚甲醛12 h,然后在含30%蔗糖4%多聚甲醛溶液中固定24小时。然后将标本植入OCT复合物中并存储在-80°C直到使用。切成10um的切片,并用PBS冲洗3次,空气干燥10分钟后,他们进行了DAPI(1μg/ml)核染色并荧光显微镜拍摄。总RNA提取与实时定量聚合酶链反应: 收获瘢痕组织后立即用液氮冷冻。将组织匀浆后,按照试剂盒说明提取RNA,并进行基因表达分析。结果:ADSCs鉴定:在常规培养基中,脂肪细胞呈成纤维细胞形态,易于扩张。他们被确认为CD73、CD90、CD105阳性。也可以成功地反分化成脂肪细胞和骨细胞。ADSCs和ADSCs-CM也能减少瘢痕增生:术后14天,大体检查发现创面完全再上皮化。在对照和未治疗组逐渐形成再上皮化、僵硬和明显凸起的疤痕。在ADSCs和ADSCs-CM组疤痕得到显著改善。超声检查与计算SEI:我们采用超声监测伤口的变化。通过记录从上皮到软骨的疤痕组织的精确厚度计算SEI。这与测量总厚度的传统方法有很大的不同,包括下面的软骨和组织。创伤的超声检查显示,治疗组的SEI同对照组和未处理的疤痕组有显著区别。HE染色和计算SEI:术后第35天,HE染色显示对照组和未处理组轻度收缩瘢痕明显增厚。而ADSCs和ADSCs-CM组瘢痕偏平薄。两治疗组的SEIs比对照组的SEIs低很多。而注射DMEM组与未处理组无显著性差异。马松三色染色法:马松三色染色ADSCs和ADSCs-CM组积。术后35天,在DMEM和未经处理的疤痕组胶原纤维排列致密。而ADSCs和ADSCs-CM组纤维沉积良好,胶原纤维排列良好。ADSCs较ADSCs-CM减少增生性瘢痕更有效:ADSCs和ADSCs-CM可以降低瘢痕增生。ADSCs较ADSCs-CM更有效地进一步定量分析SEI值和mRNA水平。ADSCs组较ADSCs-CM组SEI值明显降低。ADSCs组较ADSCs-CM组α-SMA和I型胶原蛋白表达水平明显降低。在脂肪干细胞注射治疗组可见ADSCs:注射前,ADSCs被Dil标记,一种追踪活细胞的荧光燃料。用荧光显微镜检测冰冻切片。初次治疗3周后发现大量的绿色荧光标记的细胞与蓝色荧光核均匀分布在脂肪干细胞注入瘢痕组织中。这可能产生增生性瘢痕抑制作用。结论:本研究采用兔耳增生性瘢痕模型,对ADSCs及其条件培养基,对超过140处伤口,的抗疤痕作用进行了实验研究。已经证实,ADSCs在体内注射时能通过分泌多种抗纤维化的细胞因子来抑制增生性瘢痕的形成。为使其在增生性瘢痕预防和治疗领域中发挥巨大的临床应用潜力,ADSCs作为抗瘢痕剂还需要进一步研究。










