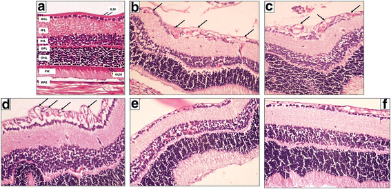
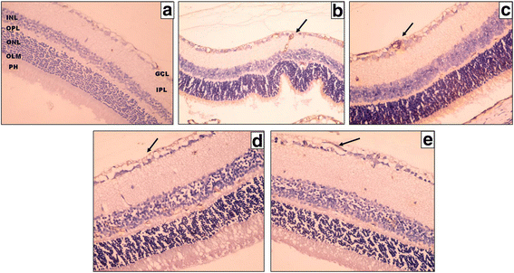
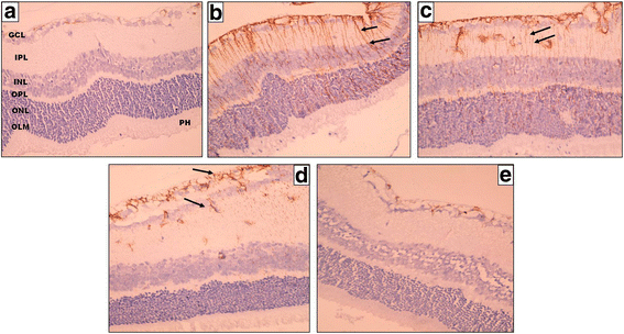
摘要:早期发现早产儿视网膜病变(ROP)是治疗和预防儿童失明的目标之一。研究的目的是评价玻璃体腔内注射2-甲氧雌二醇(2-ME)对消退早产视网膜病变大鼠模型新生血管的功效。方法:对28只健康的雄性SD大鼠D的56只眼睛进行了研究。21只大鼠诱导ROP。两种浓度2-甲氧雌二醇(2-ME)注射到14只大鼠的右眼(低剂量;研究组I,高剂量;研究组II)。空白纳米乳注射到7只大鼠右眼(阳性对照组I)。对侧左眼不注射(对阳性照组II)。7只(14只眼)在室温条件下饲养(阴性对照组)。在出生后17天,摘取眼球。HE染色观察视网膜的组织结构。免疫组化法检测血管内皮生长因子(VEGF)和胶质纤维酸性蛋白(GFAP)的表达。结果:玻璃体腔注射2-ME造成新的血管丛显著消退,尤其是研究II组视网膜厚度也表明VEGF阴性反应。对照阳性组和研究组(i)观察到GFAP阳性表达。结论:玻璃体腔注射2-甲氧雌二醇(2-ME)对减少ROP大鼠模型新生血管是有效的。关键词:2-甲氧雌二醇 新生血管 VEGF GFAP 早产儿视网膜病变背景:早产儿视网膜病变(ROP)是一种影响早产儿视网膜的疾病。由于局部缺血而发生视网膜新生血管(NV)。在更严重的疾病类型中,异常血管改变进展为视网膜剥离。一旦发生视网膜剥离,预后视力恢复的较差。研究视网膜异常血管生成最流行的模型是氧诱导视网膜病变(OIR)小鼠模型。将一周龄的幼鼠暴露在高氧状态下。高氧破坏视网膜毛细血管。回到房间正常氧环境中,视网膜变得缺氧并引发修复反应,从而导致新生血管簇向玻璃体形成。这是缺血性视网膜病变的一个重要标志。簇的形成被称为"病理性血管生成"并使OIR动物模型成为缺血性视网膜病变血管病理研究的重要工具。OIR模型模拟ROP的发生,包括早产儿的病理改变。在出生后第18天,视网膜血管和神经功能发生了显著变化。由于产生过量的血管内皮生长因子(VEGF),大鼠动物模型视网膜血管的通透性比正常大鼠高。此外,星形胶质细胞变性还包括血-视网膜屏障的破坏。2-甲氧雌二醇(2-ME)是17 B -雌二醇的生物活性代谢产物,抑制与体外细胞复制相关的关键流程。它可能对增殖细胞有很强的生长抑制作用。包括平滑肌细胞和内皮细胞,并在体内可能抗血管生成。本研究旨在探讨玻璃体腔注射不同浓度的2-ME对新生 OIR大鼠模型的疗效。方法:研究设计:选用28只健康大鼠,每笼饲养2只,并在试验开始前适应环境一周。大鼠自由采食和饮水。21只大鼠诱导ROP,其中2种浓度的2-ME被注射到14只大鼠的右眼(低剂量,研究组I;高剂量,研究组II),空白纳米乳注射到7只大鼠的右眼(阳性对照组I),对侧左眼不注射(阳性对照组ii)。其余七只大鼠(14只眼)饲养在室内空气中,不接触高浓度氧或药物(阴性对照组)。实验方案:早产儿视网膜病变的诱导:本研究使用Smith等人开发的ROP模型。新生SD大鼠在出生后第7天到第12天暴露在75%的高氧中,母鼠饲养在特殊培养箱中。在出生后第12天,动物被送回正常室内空气(21%氧)。空白纳米乳的制备:500μL Labrafac的亲脂性油加入到PH 7.4含0.1%吐温80的50 mL磷酸盐缓冲液中。2-甲氧雌二醇纳米乳的制备:采用高剪切均匀化方法制备2-ME纳米乳。药物溶解在500μL Labrafac的添加1ml乙醇的亲脂性油中,后加入到PH 7.4含0.1%吐温80的50 mL磷酸盐缓冲液中。在24000 rpm进行纳米乳匀质化。经过2小时的磁力搅拌,保证了乙醇的完全蒸发。2-ME纳米乳制剂,低、高剂量纳米乳都显示为161 nm,多分散指数0.23粒径单分散均匀。玻璃体腔注射2-甲氧雌二醇疗法:在完全无菌条件下,于出生后第12天进行玻璃体腔注射。腹腔注射盐酸氯胺酮(40 mg/kg)和盐酸甲苯噻嗪(5毫克/毫升)深入麻醉新生大鼠。用一滴0.4%盐酸奥布卡因滴眼液对眼睛进行局部麻醉。在立体手术显微镜下,右眼巩膜上鼻部分在角膜缘后1.5毫米处穿孔。用30号胰岛素针安装在注射器上,其含有0.02毫升的类固醇, 1%托吡卡胺滴眼液扩张瞳孔。避免针尖对视网膜的损伤。类固醇或空白纳米乳注射液进行玻璃体腔内注射超过3分钟,避免回流。OIR模型大鼠右眼模型(21只)随机分为以下几组:阳性对照组I:7只大鼠右眼注射空白纳米乳。研究组I(低剂量雌二醇治疗组):7只大鼠右眼接受了0.02ml的低剂量2-ME纳米乳(10ug/ml)。研究组II(高剂量雌二醇治疗组):7只大鼠右眼接受了0.02ml的高剂量2-ME纳米乳(100 ug/ml)。组织化学:在出生后第17天,处死动物。摘取眼球后,解剖眼球和冠状切分成前、后段。包含视网膜的前部和后部被进一步分为两部分,并获得各部视网膜周边部。标本立即用10%中性福尔马林固定,然后进行石蜡切片处理。标本被切成5~7微米厚。HE染色观察并检查眼前段药物毒性。免疫组织化学:根据Youssef等人的方法检测血管完整性和血管内皮功能,免疫组织化学染色的方法检测血管内皮生长因子(VEGF)。根据陈等人的方法检测胶质细胞反应性,进行胶质纤维酸性蛋白(GFAP)免疫组化染色。结果:对所有大鼠进行临床检查,研究组(i)一只眼(14.3%)玻璃体腔注射后48小时出现眼内炎。这只眼睛没有接受组织病理学检查。研究组(I)的一只眼睛(14.3%)和研究组2只眼(28.6%)出现白内障。在任何研究组睫状体或角膜没有出现任何组织学异常。对照组大鼠视网膜组织学图像显示视网膜十层正常排列。阳性对照组(i)和(ii)组织学变化相似。感光器层伴随纤维平行层减少呈现不规则外形。在一些切片中,表现出许多空泡和灶性丢失。在外核层细胞密度下降导致细胞之间出现间距。外丛状层(OPL)失去正常的外观和表现出明显的变形。内核层(INL)显示细胞密度和细胞之间的间距减少。一些血管出现在这一层。内丛状层(IPL)显示一种海绵状外观的纤维之间的空间扩大。神经节细胞层(GCL)被发现显著解体,与对照组相比,细胞密度下降。在这一层观察到血管。神经纤维层厚度(NFL)减少。增殖性视网膜病变的定量研究:阴性对照组视网膜正常模式,在出生后17天,由分支的浅血管连接深血管层,从视神经延伸至锯齿缘。HE染色,没有发现血管超出ILM进入玻璃体。从出生后7天到出生后12天高氧暴露的大鼠眼睛,出生后17天回到房间正常空气(对照阳性组II)有新生血管丛,伸出膜进入玻璃体(阳性对照组I)。由于高氧产生的新生血管通过对ILM玻璃体侧血管内皮细胞核数计数。正常出生后17天大鼠,每6μm视网膜横截面在ILM玻璃体侧没有检测到核。虽然在高氧暴露的视网膜中,每6μm截面的深部血管并不多,但平均轮廓在横截面积上更大,HE染色比正常视网膜的血管轮廓更为严重。这意味着在纳米乳组和OIR对照阳性组(II)之间血管内皮细胞核数对ILM玻璃体侧乳组差异无统计学意义。对照阳性组和其他研究组的细胞核平均数显著高于对照组。且治疗后开始显著减少。在研究组中进行比较,发现研究组(I)和(ii)之间没有统计学上的显著差异。玻璃体腔注射2-ME有明显的血管消退。免疫组化:VEGF免疫组化染色:阴性对照组视网膜各层均呈阴性VEGF免疫组化染色。阳性对照组和研究组(I)在GCL, INL和ONL几个细胞显示微弱的VEGF免疫组化染色。研究组(II)视网膜显示所有视网膜VEGF阴性反应。阳性对照组(I)、阳性对照组(ii)、研究组(I)和研究组(II)VEGF免疫组化染色面积平均百分比分别为0.015、0.02、0.03和0.07。GFAP免疫组化染色:在阴性对照组,GFAP标记主要分布在GCL,NFL和ILM。其他层GFAP免疫组化染色呈阴性。阳性对照组和研究组I的GFAP表达强度明显高于阴性对照组。GFAP免疫组化染色明显增加,Muller细胞放射状突起延伸至整个视网膜厚度甚至光感受器之间。在研究组(I)中,GFAP免疫组化染色伴随着视网膜内层Muller细胞的分布;一些染色的过程被视为穿越INL细胞之间。在OPL发现轻度GFAP的表达。研究组(ii)与对照阴性组结果相似。表现出有限的GFAP的表达仅限于GCL,NFL,和ILM。结论:2-甲氧雌二醇纳米乳对ROP模型大鼠新生血管减少有效。但还需要更多和更详细的研究来确定2-ME的注射剂量和注射时间来治疗人的早产儿视网膜病变。






