近期,又一款眼科基因治疗的新型药物HG004获得美国FDA授予的孤儿药资格认定,用于治疗由RPE65突变引起的遗传性视网膜疾病。HG004注射液利用重组AAV载体递送,在研发过程中,还使用到了Rpe65的基因敲除小鼠以模拟疾病患者的视网膜表型和功能。
出于眼睛的独特结构,眼科疾病已成为基因治疗的理想适应症,随着该疗法日渐兴起,临床前对应的小鼠模型需求也日趋旺盛。在基因同源性方面,小鼠基因组与人类相似度近90%;在眼睛结构方面,小鼠的视锥细胞与视杆细胞数目比也与人类接近,因此,建立合适的小鼠模型已成为当前多数基因治疗研究人员的不二选择。
眼科疾病模型推荐
针对先天性黑蒙症、进行性黄斑变性、视网膜色素变性、视网膜变性等眼科疾病,赛业生物开发了一系列基因编辑和人源化小鼠模型;针对研究人员的需求,也可定制或合作开发基因编辑小鼠模型,如基因敲除、基因敲入、点突变、人源化小鼠模型及大小鼠手术疾病模型,加速药效学验证实验的开展。

验证数据——以TG-VEGFA小鼠为例
这款自研的TG-VEGFA小鼠,是赛业生物建立的牛视杆细胞特异性启动子驱动人源VEGFA基因CDS序列表达的模型,以获得能在视网膜特异性过表达人源VEGFA基因的转基因小鼠。
人源和鼠源VEGFA基因表达水平检测
利用qPCR检测小鼠体内人源VEGFA和鼠源VEGFA基因表达,结果显示相比野生型小鼠,TG-VEGFA小鼠能高表达人源VEGFA,且鼠源VEGFA基因的表达量与野生型小鼠相当。表明该小鼠在过表达人源VEGFA的同时不会影响本底鼠源VEGFA的表达。

TG-VEGFA小鼠和C57BL/6J野生型小鼠中人源VEGFA和鼠源VEGFA基因表达的检测
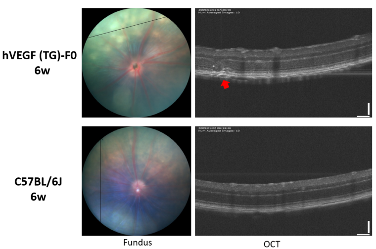
视网膜光学相干断层扫描(OCT)检测
通过视网膜光学相干断层扫描(OCT)对小鼠的视网膜形态进行检测,结果显示与野生型相比,TG-VEGFA小鼠的脉络膜区域的结构存在结构紊乱。

6周龄TG-VEGFA小鼠和C57BL/6J野生型小鼠的眼底和视网膜形态检测
F0代小鼠眼底荧光血管造影(FFA)
通过FFA对小鼠的眼部血管进行造影观察,结果显示与野生型相比,TG-VEGFA F0代小鼠的眼底出现血管病变,表现为大面积荧光素钠渗漏。

6周龄TG-VEGFA F0代小鼠和C57BL/6J野生型小鼠的眼底荧光血管造影(FFA)结果
F1代和F2代小鼠眼底荧光血管造影(FFA)
通过FFA对F1代和F2代的TG-VEGFA小鼠眼部血管进行造影观察,结果显示F1代和F2代小鼠均能复现F0代小鼠的表型,表现为大面积荧光素钠渗漏的血管病变表型。

F1代和F2代TG-VEGFA小鼠眼底荧光血管造影(FFA)结果
视网膜电图(ERG)检查
视网膜电图(ERG)的检测结果显示TG-VEGFA小鼠(hVEGFA)的视网膜电位与野生型小鼠(WT)暂无显著差异。

TG-VEGFA小鼠和野生型小鼠的视网膜电图(ERG)检测的结果
视网膜HE染色
通过HE染色对小鼠视网膜进行检测,检测结果显示与野生型(C57BL/6J)相比,TG-VEGFA小鼠的视网膜区域存在血管增生的病理性表型。

TG-VEGFA小鼠和野生型小鼠眼部HE染色结果
视网膜和脉络膜isolectin GS-lB4免疫染色
通过lB4染色对小鼠视网膜和脉络膜进行检测,检测结果显示与野生型相比,TG-VEGFA小鼠的视网膜存在血管的异常增生,且结构紊乱,同时脉络膜区域也观察到有异常增生的情况。

TG-VEGFA小鼠和野生型小鼠眼部视网膜和脉络膜Isolectin GS-lB4免疫染色结果
阿柏西普(Aflibercept)药效验证
眼底荧光血管造影(FFA)的结果显示,阿柏西普给药前TG-VEGFA小鼠的眼底存在明显的血管病变和大面积荧光素钠渗漏。在阿柏西普给药后,与PBS对照组相比,阿柏西普组中TG-VEGFA小鼠眼部血管病变显著减轻,血管渗漏面积显著减小。

TG-VEGFA小鼠用于VEGF靶向药物阿柏西普(Aflibercept)的药效验证



