
近期,研究人员宣布找到了抑制血管内皮生长因子(vascular endothelial growth factor, VEGF)的新靶点,即通过FTO抑制来影响VEGF的释放和脉络膜新生血管形成,进而改善眼科疾病症状,这也为眼科治疗提供了新的研究机制。相关研究成果于23年2月发表在《Nature》子刊《Signal Transduction and Targeted Therapy》。

VEGF是一组重要调节因子,能够刺激新血管的生长(血管生成)并增加现有血管的渗透性,在正常发育和创伤愈合中起着关键作用。VEGF包括VEGFA、VEGFB、VEGFC、VEGFD、VEGFE以及PLGF这几个类型,在药物研究中,VEGFA最为常见,关系着血管内皮细胞的增殖、迁移和微血管形成等。当VEGFA在眼部过度表达时,会导致异常血管增生、血管渗漏等,继而引发黄斑变性、糖尿病视网膜病变、角膜新生血管等多种眼科疾病。
一、VEGF靶向药物研究进展
到目前为止,已经有多种VEGF药物被批准用于治疗黄斑变性、肿瘤和其他血管相关疾病,从研发领域来看,主要集中在眼科疾病和肿瘤这2大板块。
全球VEGF靶向药的主要研发领域
VEGF药物在眼科领域中的应用主要是针对一些黄斑相关疾病,如湿性年龄相关性黄斑变性和糖尿病视网膜病变等。这些疾病的共同特点是黄斑区域的毛细血管增生和渗漏,导致视网膜水肿和视力下降。VEGF是导致这些异常血管生成的重要因素之一,因此使用VEGF药物可以抑制异常血管生成,减少渗漏,从而改善患者的视力和眼部症状。
以眼科疾病为适应症的VEGF靶向药物中,常见的包括阿柏西普、康柏西普、贝伐单抗和雷珠单抗等。此外,还有许多VEGF药物正在进行临床试验,据ClinicalTrials数据显示,相关药物的临床试验超过600项。

VEGF靶点药物研发现状
二、表型稳定的VEGFA小鼠
为更好地探讨眼科疾病的病理机制,帮助开发靶向药物,赛业生物在C57BL/6J小鼠体内建立了视杆细胞特异性启动子驱动人源VEGFA基因CDS序列表达的模型,以获得能在视网膜特异性过表达人源VEGFA基因的转基因小鼠。这款人源化VEGF过表达小鼠模型可自然发病,眼球结构完整的基础上出现明显的血管病变,可用于新生血管性相关的眼科疾病的药物评价及相关机制研究。同时,利用自研的hVEGF小鼠,赛业生物进行了阿柏西普和贝伐单抗等阳性药测试,评价靶向VEGF的抑制效果。

hVEGF小鼠的构建方式
赛业生物眼科CRO平台拥有一批眼科精细化操作技术人才及齐全的仪器设备,能熟练进行活体眼部检测技术,针对VEGFA小鼠,可进行眼表观察、眼压测量、眼底照相、图像引导OCT、全视野视网膜电图ERG、眼底荧光造影FFA等项目;同时具备专业病理及分子检测技术,包括视网膜VEGFA表达水平、FITC-Dextran灌流视网膜铺片、眼球组织切片VEGF表达水平等评价血管病变情况。

点击了解更多
三、VEGFA小鼠模型验证案例
经赛业生物技术团队的实验验证,该hVEGF小鼠的F0代眼底荧光泄露斑块明显、清晰和稳定,与新生血管性黄斑变性疾病表型相似,F1和F2代小鼠均能够稳定遗传亲代表型,适合用于抗VEGFA药效评价等临床前研究中。
FFA(眼底荧光血管造影)结果显示:小鼠眼底出现血管病变,大面积荧光素钠渗漏。

hVEGF小鼠(F0)眼底荧光血管造影结果
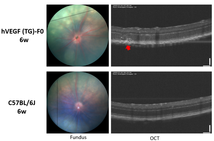
OCT显示脉络膜区域有轻微紊乱。

hVEGF小鼠(F0)OCT结果
ERG显示视网膜电位与WT鼠暂无显著差异。


hVEGF小鼠(F0)ERG结果
FFA(眼底荧光血管造影)结果显示:F1小鼠能复现F0表型。

hVEGF小鼠(F1)眼底荧光血管造影结果
FFA(眼底荧光血管造影)结果显示:F2小鼠能复现F0和F1表型。

hVEGF小鼠(F2)眼底荧光血管造影结果
四、其他眼科模型推荐
除了以上提及的VEGFA小鼠模型,针对视网膜色素变性、先天性黑蒙、全色盲等疾病,赛业生物也开发了一系列基因编辑和人源化小鼠模型,同时可为研究人员提供个性化定制服务。




