什么是视网膜色素变性?
视网膜色素变性(retinitispigmentosa, RP)是一种慢性、进行性、遗传性、营养不良性视网膜退行性病变,与视杆和视锥感光细胞退化及视网膜色素上皮细胞变性密切相关。该病从青年时期发生,前期会有严重的眼盲,随着病情的进展,视野收窄变小至管状,就像透过一个小孔洞看向四周,可见范围十分有限。如此持续直至最终完全失明,对患者的生活造成极大的不利影响。
RP的遗传方式比较复杂,多种基因突变均可导致发病,在遗传视网膜疾病中,目前发现引发RP的基因大约有70个,且同一种致病基因在不同位点发生突变,其RP类型也不相同。因此,研究人员尝试通过递送基因药物修复发生突变的基因,有针对性地达到治疗疾病的效果。在药物开发过程中,需要针对疾病和突变基因创建有效的大小鼠模型,用于药理药效的评估。下面介绍常见的几种该疾病在基因治疗中常见的靶点和有效的大小鼠模型。
RP的基因治疗常见靶点
RP发病率约为1:4000,RP有多种遗传方式:常染色体显性遗传(15%-25%)、常染色体隐性遗传(5%-20%)和X染色体连锁遗传(5%-15%),此外还有40%-50%的未知遗传方式和少数线粒体遗传RP。目前已鉴定出的相关致病基因靶点就有近百个,其中,常见的有RHO、PDE6B、MERTK、RLBP1和RPGR等。
1. 视紫红质(rhodopsin, RHO):编码视紫红质;视紫红质是视杆细胞的视色素,通过改变环磷酸鸟苷的浓度,从而调控细胞的膜电位,产生电信号,并通过视神经传递到视皮层形成视觉。RHO基因突变型RP占常染色体显性遗传RP的20%-30%,占总RP的5%-10%。

赛业生物可提供Rho的KO/CKO小鼠品系
2. 磷酸二酯酶β亚基(Phosphodiesterase 6B, PDE6B):编码环鸟苷酸环鸟苷酸β亚基,是视杆细胞视杆细胞光信号转导激活关键酶。该蛋白也能调控环磷酸鸟苷的浓度,影响视杆细胞光信号的转导。

赛业生物可提供Pde6b的KO/CKO小鼠品系
3. MER原癌基因酪氨酸激酶(MER proto-oncogene, tyrosine kinase, MERTK):编码MER原癌基因酪氨酸激酶。该基因突变时,会使RPE细胞吞噬死亡光感受器细胞的能力异常,中断神经上皮的氧及营养供给,导致神经上皮萎缩。

赛业生物可提供Mertk的KO/CKO小鼠品系
4. 视黄醛结合蛋白1(retinaldehyde binding protein 1, RLBP1):编码11-顺式视黄醛结合蛋白。该蛋白转运11-顺-视黄醛,是视循环中重要的分子。如RLBP1发生突变,会导致视循环异常,引发感光细胞和RPE细胞退化。

赛业生物可提供Rlbp1的KO/CKO小鼠品系
5. 视网膜色素变性GTP酶调节因子(retinitis pigmentosa GTPase regulator, RPGR):RPGR编码GTP调节蛋白,与纤毛门相关功能有关,可以参与调节蛋白质转运。RPGR突变会引起视杆细胞和视锥细胞退化,最终导致视力丧失。

赛业生物可提供Rpgr的KO/CKO小鼠品系
RP常用的动物模型
构建合适的大小鼠疾病模型,是研究RP发生机制、开发基因药物和评价基因药物疗效的重要工具。根据实际的需要,可以够建目标基因的转基因、基因敲除、基因点修饰型类的遗传性RP模型,或经手术、药物诱导的诱发性RP模型。目前常用的RP大小鼠模型有很多种,如RD小鼠、 RDS小鼠、RCS大鼠、RHO基因敲除小鼠、MNU诱导RP小鼠等。
1.RD小鼠模型
RD小鼠是常染色体隐性遗传RP动物模型,其发病机制是Pde6b基因外显子7的无义突变,导致视杆细胞cGMP(cyclic guanosine monophosphate)磷酸二酯酶(phosphodiesterase, PDE)亚基功能异常。比较常用的RD小鼠有两种,分别是RD1和RD10。两种模型的视杆细胞均会发生凋亡,引发RP,但RD10相对于RD1的表型显得更缓和些,变性时间稍晚,表型较温和。
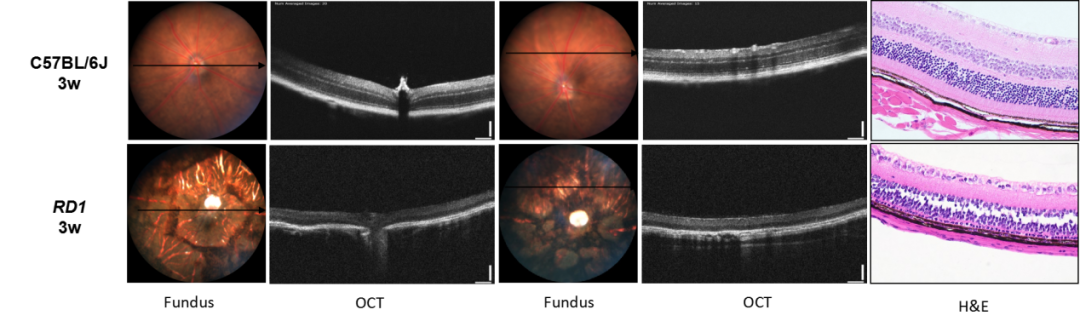
RD1小鼠经过OCT检测和HE病理分析,发现视杆细胞光感受器在3周内迅速凋亡且外核层消失。ERG检测也显示RD1小鼠的视觉功能已经完全丧失。赛业生物已鉴定经典模型RD1和RD10小鼠的相关表型,可承接视网膜疾病检测服务。


图1 RD1小鼠模型表型
相比于RD1,RD10的表型显得更缓和些。经过OCT检测和HE病理分析,显示视杆细胞光感受器也会丢失,但进展相对缓慢,6周后外核层才完全消失。ERG检测也显示RD10小鼠的视觉功能在第6周完全丧失。


图2 RD10小鼠模型表型
2.MNU诱导的RP小鼠模型
MNU(N-甲基-N-亚硝基脲)是一种烷化剂,是常见的致癌物。MNU可以选择性地损伤光感受器细胞,使光感受器细胞渐进性凋亡。是构建视网膜色素变性小鼠常见的一种诱导物,具有快捷、方便、重复性好等优点。
如赛业生物通过MNU诱导RP小鼠模型。通过腹腔注射MNU,在第0、1、3、5、7天通过OCT检测,显示视网膜厚度逐渐减少,于第七天外核层完全消失。通过ERG在上述5个时间节点检测,也显示经MNU诱导的小鼠的明适应和暗适应的功能完全丧失。


赛业生物的MNU诱导RP小鼠模型表型
3.RHO突变小鼠模型
RHO基因合成的视紫红质与视觉电信号产生相关,该基因突变的小鼠模型会使感光细胞凋亡。目前有多种基因修饰的RHO突变小鼠模型,比如突变第23个密码子CCC为CAG,使组氨酸替代脯氨酸。或者其他常见的突变位点改变的RHO点突变小鼠模型。甚至把RHO基因敲除,也是构建RHO突变小鼠模型的一种策略。
目前,已经有CRISPR/Cas9基因编辑技术在人源RHO突变转基因小鼠中已取得积极疗效。赛业推出RHO全人源化及在全人源化基础上实现热门点突变的小鼠,可满足不同基因治疗方式的需求。
4.RDS小鼠模型
RDS小鼠为常染色体显性遗传RP动物模型,由Prph2基因突变而产生。Prph2蛋白是光感受器外节盘膜的结构蛋白,可以维持膜盘稳定性以及正常形态的重要功能。该基因突变会引起盘膜蛋白生成障碍,导致光感受器外节盘膜形成异常。该小鼠模型在出生后第五周开始缓慢变性,出生12个月时感光细胞完全丢失。
5.RCS大鼠模型
RCS大鼠模型由MERTK基因突变而产生。该模型出生后25天就开始出现光感受器变性;出生后8周,后极部视网膜色素上皮细胞开始丢失;出生后3个月,光感受器细胞基本变性丢失。
赛业生物眼科基因治疗解决方案
稳定可靠的眼科疾病的动物模型的建立与供应,对于眼科疾病的发病机制研究、药物靶点研究以及治疗效果评价等方面都具有不可估计的潜力。除了以上的视网膜色素变性模型,针对先天性黑蒙、黄斑变性、全色盲等,赛业生物也开发了一系列基因编辑和人源化小鼠模型,同时可为研究人员提供个性化定制服务。
点解链接:https://www.cyagen.com/cn/zh-cn/community/activity/model-animal-20220415.html
注:KO:基因敲除;CKO:条件性敲除;MU:基因点突变;Humanization:人源化
参考文献:
[1]高青,沈吟.视网膜色素变性疾病的药物治疗基础研究进展[J].中华实验眼科杂志,2018,36(01):70-74.
[2]邓方圆,韩梦雨,邓婷婷,金明.视网膜色素变性基因治疗的相关研究进展[J].国际眼科杂志,2021,21(07):1205-1208.



