IL4RA(interleukin 4 receptorα)该基因编码IL4受体的α链,属于I型跨膜蛋白,在免疫反应中起着重要作用。IL4R可以与IL4和IL13结合以调节IgE的产生,并且与IL4的结合可以促进Th2细胞的分化,从而诱导哮喘的发生[2]。
因此,IL4和IL4R的拮抗剂可降低体内IL4的水平,并可对哮喘患者发挥抗炎和抗免疫作用。IL4和IL4R被认为是治疗过敏和哮喘的明星靶标。


药物研发现状
Dupixent(dupilumab)是Sanofi和Regeneron推出的靶向IL-4/IL-13的抗体药物,其研发进展也是走在世界前列。


百奥赛图B-hIL4/hIL4RA 小鼠哮喘模型小鼠
——助力药物研发

百奥赛图B-hIL4/hIL4RA小鼠
蛋白表达分析
1. 小鼠血清中hIL4表达检测


ELISA分析C57BL/6和纯合B-hIL4/hIL4RA小鼠血清中IL4蛋白表达
结果显示:在C57BL/6小鼠血清中可检测到mIL4蛋白表达,B-hIL4/hIL4RA小鼠血清中可检测到hIL4蛋白表达。
2. 小鼠脾细胞中hIL4RA表达检测


B-hIL4/hIL4RA人源化小鼠脾细胞活化及流式检测
结果显示:在C57BL/6小鼠中可检测到mIL4RA+细胞。在B-hIL4/hIL4RA纯合鼠中,可检测到hIL4RA+细胞。
基于B-hIL4/hIL4RA小鼠
hIL4RA Ab 药效评估
1. 哮喘模型药效评估方案


2. 小鼠哮喘模型肺泡灌洗液(BALF)中免疫细胞分析


BALF( Bronchoalveolar Lavage Fluid )炎性细胞分析结果显示,Dupixent Analog给药组炎性反应明显减缓。
3. 小鼠哮喘模型血清中IgE检测


实验终点收集小鼠血清样本,检测分析IgE水平。再利用Dupixent Analog处理后,与阳性对照相比给药组IgE水平明显降低。
基于B-hIL4/hIL4RA小鼠
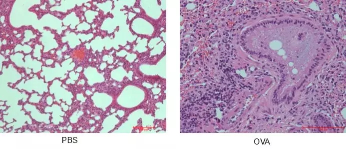
哮喘模型建立及H&E染色


H&E 染色
B-hIL4/hIL4RA小鼠建立哮喘模型后进行肺组织H&E染色。结果显示相对于PBS对照组,哮喘阳性组表现出明显的斑片状支气管周围炎性浸润,主要由嗜酸性粒细胞和淋巴细胞组成。
总结
1、百奥赛图B-hIL4/hIL4RA纯合小鼠能够表达人源IL4和IL4RA蛋白;
2、百奥赛图已经建立了稳定的哮喘模型,并基于B-hIL4/hIL4RA小鼠能够有效评价人源IL4RA抗体药效。
参考文献
1.Vatrella A,et al.,Dupilumab: a novel treatment for asthma.J Asthma Allergy. 2014 Sep 4;7:123-30.
2. Gandhi, Namita A., et al. Targeting key proximal drivers of type 2 inflammation in disease. Nature Reviews Drug Discovery 15.1 (2016): 35-50.
想要了解更多数据可以随时垂询我们呦~



