摘要:杜氏肌营养不良症 (DMD) 是一种致命的 X 连锁疾病,由 DMD 基因突变引起,导致肌营养不良蛋白完全缺失以及骨骼肌和心脏进行性退化。动物模型对于新诊断程序和治疗策略的临床前评估至关重要。基因靶向/编辑提供了开发针对单基因疾病定制猪模型的可能性。在培养的肾细胞中敲除DMD外显子52(DMDΔ52)生成第一个猪DMD模型,体细胞核移植以产生DMDΔ52子代。这些动物与 DMD 的临床、生化和病理特征相似但在性成熟之前死亡,从而阻止了它们的繁殖。雌性杂合 DMDΔ52 猪的产生克服了这一限制建立了一个大型繁殖群。本文总结了 DMD猪模型如何用于剖析疾病机制、验证多光谱光声断层扫描作为监测纤维化的成像方式以及对基于 CRISPR/Cas9 的方法进行临床前测试以恢复完整的 DMD 阅读框。猪 DMD 模型的特殊优势包括其靶向设计和早期心脏受累的疾病快速进展有助于在合理的时间范围内进行临床转化研究。
关键词:杜氏肌营养不良 猪模型 光声成像 基因编辑
杜氏 肌营养不良症是一种致命的 X 染色体神经肌肉疾病,由 2.2-Mbp 肌营养不良蛋白基因阅读框的突变引起。最常见的是一个或多个外显子的基因内缺失,主要突变热点区域跨越外显子 45 至 53。DMD 基因突变的发生频率高于平均突变率的预期,导致约5000-6000名男婴中有一名受影响。DMD 移码突变导致过早终止密码子,导致过早截断、功能失调的蛋白质或无义介导的 mRNA 衰变以及功能性肌营养不良蛋白(骨骼肌和心肌细胞的必需蛋白质)完全缺失。肌营养不良蛋白 通过肌营养不良蛋白相关糖蛋白与细胞外基质的大复合物 连接肌动蛋白细胞骨架。肌营养不良蛋白的丢失会导致肌纤维损伤,表现为进行性肌无力、丧失行走能力、依赖人工呼吸以及因心脏或呼吸衰竭而过早死亡。迄今为止尚无治愈方法,糖皮质激素仍然是 DMD 患者最先进的治疗方法,尽管它们只能减缓疾病进展。多种抗炎和新型药理药物正在临床试验中进行测试。此外,多种疗法旨在恢复肌营养不良蛋白,包括提供终止密码子通读的药物(如ataluren)、用于外显子跳跃的反义寡核苷酸(如eteplirsen)和用于微肌营养不良蛋白表达的腺相关病毒载体(AAV)或用于传递Cas9/引导RNA以删除特定DMD外显子以恢复完整阅读框的腺相关病毒载体(AAV)。

图1、肌营养不良蛋白相关蛋白复合物(DAPC)的简化图。
动物模型对于这些新治疗概念的发展至关重要。在过去的几十年中,两种动物模型主要用于 DMD 研究:在外显子 23 处发生无义点突变的mdx 小鼠,在内含子 6 处发生剪接位点突变导致 RNA 加工过程中外显子 7 的剪接和阅读框的变化的金毛猎犬肌肉营养不良 (GRMD)。这些动物模型中没有一个类似于人类最常见的DMD突变。其他几种具有患者相关突变的mdx小鼠品系包括DmdΔ52已通过基因靶向产生,但肌营养不良蛋白缺陷小鼠仅表现出中度组织病理学寿命略有缩短。utrophin(Utrn)、α-dystrobevin(Dtna)、α7-整合素(Itga7)、肌源性分化1(Myod1)、假定的胞苷单磷酸-N-乙酰神经氨酸羟化酶样蛋白(Cmah)或端粒酶RNA(Terc)基因的额外失活会恶化mdx小鼠模型的表型。这一系列用于DMD研究的小鼠模型在理解疾病机制和测试新的治疗方法方面产生了巨大的影响。转化研究还需要大型动物模型。 除了最初的 GRMD 犬模型和日本比格犬 X 连锁肌营养不良症 (CXMDJ) 之外,还选择了其他几种具有犬 X 连锁肌营养不良症的品系。骑士查理士王小猎犬在 DMD 外显子 50 的 5' 剪接位点发生错义突变,导致 mRNA 转录本中外显子 50 的缺失和预测的翻译蛋白过早截断。骑士查尔斯王小猎犬肌营养不良症(CKCS-MD)跳过外显子51可以恢复完整的DMD阅读框。该模型适用于评估有利于大部分DMD患者的治疗方法。虽然犬DMD模型已成功用于临床前研究但实验动物的使用与伦理问题以及繁殖和维护方面有困难。此外,GRMD 犬在小于 2.5 岁时表现出心肌病的临床症状。CXMDJ犬在13月龄时心肌营养不良改变不明显,但在4月龄时观察到心脏蒲肯野纤维空泡变性。此外已经在其他几个物种中创建了 DMD 模型,包括兔、大鼠和恒河猴。在过去的二十年里,猪已经发展成为许多疾病领域的一种有趣的医学模式生物。该物种的主要优势包括 i) 与人体解剖学和生理学的许多相似之处; ii) 有效和精确的基因改造的可能性; iii) 高繁殖力和快速成熟;iv) 在指定的无病原体 (SPF) 条件下建立维护系统; v) 与非人类灵长类动物或狗相比它们的使用伦理限制较少。最近的资源,如标准化组织采样协议和猪体图转录组数据库,进一步提高了猪作为生物医学模型物种的价值。猪的快速生长速度使其成为遗传性肌肉疾病特别有吸引力的模型物种因为预计临床上严重的疾病表型会以加速模式出现。
与狗相比,疾病的快速发展可能解释了为什么没有关于DMD的自发性猪模型的报道。然而,有报告称肌肉萎缩症的症状较轻。在猪中发现,DMD 基因外显子 41 中精氨酸对色氨酸 (R1958W) 多态性的应激反应增加,这与肌营养不良蛋白丰度降低、肌营养不良蛋白糖蛋白复合物组装受损、血清肌酸激酶活性增加和肌营养不良症有关。这些猪被认为是贝克肌营养不良症 (BMD) 的新模型。 报告了额外的“BMD 样肌病”或“脂肪性肌营养不良”病例,但未发现潜在的突变。本文回顾了猪DMD模型开发的不同策略,临床表型和病理特征包括分子改变以及它们用于新诊断工具和治疗概念的临床前测试。
杜氏肌营养不良症猪模型的建立:通过敲除雄性猪肾细胞中的DMD外显子52生成第一个猪DMD模型,随后体细胞核移植(SCNT)以生成DMDΔ52猪。DMD 外显子 52 的缺失是通过与修饰的细菌人工染色体 (BAC) 载体进行同源重组来实现的,外显子 52 被新霉素抗性 (neo) 基因替换。克隆的后代(总共 n = 24)显示出生体重的显著变化,似乎与预期寿命呈负相关。大多数仔猪在出生后的第一周内死亡,没有一只存活超过 3.5 个月。 严重的进行性肌营养不良症阻止了模型的繁殖。

图 2. DMD 猪模型开发的不同策略。
Matsunari及其同事提出了一种策略来克服具有严重X连锁疾病的猪模型的繁殖问题。该概念基于携带突变的雄性胚胎与来自雌性野生型 (WT) 胚胎的卵裂球的互补。在由此产生的嵌合后代中,雌性细胞——取决于嵌合的程度——部分拯救了由雄性细胞突变引起的各自表型损伤。由于雄性细胞抑制雌性性发育,表型雄性嵌合体产生精子,将突变传递给下一代。在DMDΔ52突变的情况下出生了两只嵌合公猪。其中一例雌性细胞比例较低表现出典型的DMD表型在3月龄死亡。另一头公猪显示出更高比例的雌性细胞并达到性成熟。可在 7 个月龄时采集附睾精子,通过体外受精生产 DMD 突变猪。然而,这只动物表现出轻微的肌营养不良症状,如用力呼吸和肌肉力量下降。 组织学上,两只嵌合公猪显示出不同比例的突变/WT细胞,这解释了DMD症状的不同严重程度。另一种可能性是产生具有 DMDΔ52 突变的雌性携带动物。使用 Klymiuk, Blutke 在雌性猪细胞中开发的 DMD 外显子 52 缺失的 BAC 靶向策略,SCNT 可以建立几个 DMD+/- 载体。其中一只(#3040)达到性成熟并产下 11 窝,共有 29 只 DMDY/-、34 只 DMD++/- 以及 65 只雄性/雌性 WT 后代。与 F1 和 F2 DMD++/- 携带者一起繁殖产生额外的 114 头 DMDY/- 仔猪。大多数猪存活了 3-4 个月,为实验研究提供了具有统计学意义的队列规模。其他 DMDΔ52 猪通过 rAAV 介导的雄性尤卡坦小型猪细胞和随后的 SCNT 基因靶向产生的。共出生7头仔猪。其中5头在出生后第一周内死亡,另外2头分别为6.5和7月龄。除了基因靶向外,基因编辑 (CRISPR/Cas9) 还用于建立具有 DMD 突变的猪。
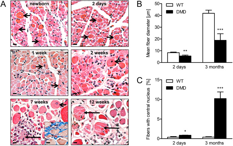
DMD猪的临床和病理特征: SCNT 生产的第一批 DMD 猪的特征显示,活动性降低,血清肌酸激酶 (CK) 水平显著升高表明新生动物已经存在肌肉损伤的迹象。Klymiuk, Blutke 分析的 24 头克隆 DMD 猪的体重变化很大,这可能是 SCNT 技术的副作用。有趣的是,出生体重与预期寿命之间存在负相关。 出生体重超过 1200 克的动物在最初几天内死亡,临床症状表明肌肉无力和呼吸问题是主要死因。相比之下,出生体重相对较低(<700g)的动物的预期寿命在3个月的范围内。 这一观察结果表明宫内和产后生长速度对疾病严重程度的影响。特别是与人类患者的 DMD 相比肌肉纤维肥大导致猪的肌肉快速生长以及相关的肌膜机械应变增加这可能是肌肉营养不良进展较快的可能原因。与养殖猪相比,生长速度较小的缺乏抗肌萎缩蛋白的尤卡坦小型猪存活了长达 7 个月。对克隆的DMD仔猪(9周龄)的详细步态分析显示所有三种步态(行走、小跑、疾驰)的活动能力都受到干扰,其中最显著的特征是步幅缩短和动作僵硬。一项涉及爬上一个小平台的测试显示出明显的肌肉无力。在健康雌性细胞贡献低的嵌合 DMD 猪中观察到肌肉无力,而健康细胞的高贡献挽救了这种表型。由于呼吸和喉部肌肉受到影响,动物在后期往往表现出强迫呼吸。克隆 DMD 猪的临床观察在很大程度上概括了由 DMD+/- 携带猪繁殖产生的 DMDY/- 猪,一个例外是它表现出较小体重变化,但 DMDY/- 体重始终低于 WT 同窝仔体重。然而,很大一部分 (42%) DMDY/- 仔猪在出生后第一周内死亡。通过加强新生儿护理,这一比例可以降低到23%,大多数动物存活3-4个月。只有几头(n = 3/143)DMDY/− 猪存活了6个月以上。DMDY/- 猪和部分 DMD+/- 携带母猪的血清肌酸激酶活性高度升高。DMDY/- 猪表现出活动降低的特征,并且与在 DMD 患者表型和 mdx 小鼠中观察到的认知障碍迹象一致。在一项新的对象识别测试中,测量探索已知和新对象所花费的时间,DMDY/- 两个对象的总探索时间明显短于 WT 猪。此外,DMDY/- 猪在第一轮黑白辨别测试中显示出失败率显著增加。
超声心动图显示收缩期心脏功能受损表现为 4 月龄大 DMDY/- 猪的左心室射血分数 (-19%) 和左心室缩短分数 (-27%) 显著降低。同 GRMD 犬模型相比,青少年 DMD 患者扩张型心肌病的早期阶段在猪 DMD 模型中发生得更早。几头 DMDY/- 猪(11 /28 )在出生后的头几周内表现出胃肠道症状,例如排便困难、腹围增加、厌食或腹部水肿。该模型概括了晚期 DMD 患者的胃肠功能障碍,包括便秘。克隆DMD猪的系统病理学分析显示,骨骼肌苍白,质地潮湿,多灶性苍白变色,尤其是膈肌和肋间肌组织。组织学检查显示多相性肌病,纤维尺寸变化过大,有大量大的圆形肥大纤维、分支纤维和具有中央核的纤维,以及散在的节段性坏死纤维簇。这些病变伴有间质纤维化和单核炎性细胞浸润,模仿人类疾病的特征。改变的严重程度随着年龄的增长而发展,并且在横膈膜、喉部和肋间肌肉组织以及肱三头肌中最为严重。小于 3 月龄的克隆 DMD 猪的心肌检查没有发现心脏受累的明显迹象。

图3.DMD猪骨骼肌结构改变严重程度的年龄相关进展。
股骨二头肌肌肉样本的形态计量学分析表明,与年龄匹配的WT对照组相比,2日龄和3月龄DMD猪的肌纤维平均最小Feret直径分别减少了34%和55%。虽然2日龄DMD猪和WT猪的平均肌纤维直径分布相似,但3月龄DMD猪表现出扩大的双相分布,在小纤维直径和大纤维直径处出现峰值,表明进行性DMD病理。这些病理变化在育种产生的 DMDY/- 猪中基本重现。在该队列中少数存活超过 6 个月的 DMDY/- 猪中,还观察到心肌的组织学变化,特别是退化和坏死的心肌细胞伴有间质水肿和巨噬细胞浸润同时伴有大量嗜酸性粒细胞。对出现胃肠道症状后被安乐死的动物进行尸检,发现空肠和大肠内有气体和摄入物积聚,与便秘、肠壁深色、肠壁梗死和/或腹水以及腹腔内的纤维蛋白层有关。组织形态学评估显示,胃肠道多个部位的胶原沉积增加(纤维化的迹象)。DMD外显子51突变的克隆巴马小型猪也观察到相应的胃肠道改变。垂体前叶生长激素细胞的定量体视学研究没有提供证据表明垂体功能障碍是导致 DMD 猪生长减少的原因。临床和病理研究表明与人类患者相比DMD猪以加速模式发展为进行性肌营养不良。猪模型中疾病的快速进展很可能与其高增长率有关。 由于胎猪肌肉从妊娠 75 天左右开始肥大,并且单位表面积的机械应变随着肌纤维的直径而增加,因此肌营养不良蛋白缺乏可能使其特别容易受到肌膜损伤。肌纤维生长的时间和模式影响 DMD 肌肉营养不良变化的严重程度这一概念支持了这一点。
DMD猪骨骼肌和心肌分子结构的改变:免疫荧光和蛋白质印迹分析表明DMDΔ52 突变猪缺乏肌营养不良蛋白。DMD猪表现出utrophin的代偿性上调,在2日龄时中度上调,在3月龄时显著上调。2日龄的DMD仔猪utrophin信号仅限于血管,观察到3月龄的DMD仔猪清晰的肌膜染色。年轻人DMD病例很少显示肌膜营养不良,但随着疾病进展,其水平增加。2 日龄 DMD 仔猪的肌膜 utrophin 缺乏上调可能导致早期死亡率高。 同样自发死亡的 2日龄营养不良 CXMD 幼犬骨骼肌样本utrophin 免疫染色不存在、微弱或呈不同阳性。处于不同疾病阶段的 DMD 和 WT 对照猪的标准化组织库代表了一种独特的资源可用于整体分子分析研究从而深入了解 DMD 的病理机制。对克隆和年龄匹配的对照2日龄和3月龄DMD猪骨骼肌样本的转录组分析首次深入了解了营养不良肌肉的生理紊乱层次。3 月龄 DMD 猪的肌肉转录组变化与报告的 DMD 患者肌肉样本的变化非常相似,反映了进行性肌营养不良,包括退化、再生、炎症和反应性纤维化以及严重的代谢紊乱。2日龄DMD猪肌肉样本的转录组分析没有显示细胞外基质重塑、炎症反应或能量代谢降低的特征。这些转录组的变化更类似于急性运动性肌肉损伤。
使用高端质谱法对相应骨骼肌样本进行整体蛋白质组分析表明DMD 与 WT 肌肉的蛋白质组变化程度随着年龄的增长而显著增加反映了病理变化的进展。2日龄DMD仔猪与肌肉发育和细胞骨架组织相关的蛋白质大量增加而参与翻译和糖酵解的蛋白质则不如 WT 样本丰富。3 月龄 DMD猪 发现与肌肉修复相关的蛋白质如波形蛋白、巢蛋白、结蛋白和肌腱蛋白 C 增加,而大量呼吸链蛋白减少表明有氧能量生产受到严重干扰,功能性肌肉组织减少。为了深入了解 DMD 相关心肌病进展过程中受影响的分子途径,Kemter 和 Tamiyakul 对来自同一队列的 2 日龄和 3 月龄 DMD 猪以及相应 WT 对照心肌样本进行了蛋白质组分析。这项研究提供了明确的证据与骨骼肌的数据相比,心肌中的 DMD 进展不仅比骨骼肌中的慢,而且还涉及不同的生物和生化途径。2 日龄 DMD 与 WT 仔猪中丰度较高的蛋白质功能类别包括“蛋白质复合物组装的调节”和“细胞骨架组织的调节”,其中包括血影蛋白 α1 (SPTA1)、血影蛋白 β 链 (SPTB)、 和锚蛋白-1 (ANK1)。发现几种与肌节直接相关的蛋白质,如角蛋白 8 (KRT8)、角蛋白 19 (KRT19)、小窝蛋白 3 (CAV3) 和肌动蛋白 (MYOT)含量差异很大。发现几种肌肉相关蛋白,如 syntrophin alpha 1 (SNTA1)、肌球蛋白 6、肌球蛋白调节轻链 2 (MYL7) 和两种肌酸激酶 (CKM 和 CKB) 显著减少。3 月龄 DMD 猪丰度增加最显著蛋白质簇是“炎症反应”,包括补体成分 C7 (C7)、α-2-巨球蛋白 (A2M)、蛋白质 S100-A8) 和 Toll 相互作用蛋白 (TOLLIP)。与心肌收缩相关的几种蛋白质,即KRT8、MYL7和肌球蛋白轻链4(MYL4)的含量高于年龄匹配的WT样本。3 月龄 DMD 动物几种肌聚糖(SGCA、SGCB 和 SGCD)和抗肌萎缩蛋白(DTNA)水平降低。

图4. 蛋白质组数据集的荟萃分析。
MSOT作为监测 DMD 进展的成像生物标志物验证:Duchenne 患者通常在平均 4 岁时首次确诊。 为了监测疾病进展和治疗干预的效果,儿科医生需要快速、可重复、无创的诊断程序。六分钟步行测试仍然是DMD诊断中最相关的参数之一,也是临床试验中的一个重要参数。肌肉的磁共振成像 (MRI) 已被证明是一种客观、可重复、无创的量化营养不良异常的方法,包括水肿、脂肪浸润、肌肉体积和组织成分的变化,特别是脂肪变性。一项系统评价还发现 MRI 测量值与运动功能之间存在中度至极好的相关性。然而,较长的采集时间以及儿童早期需要镇静剂和不合限制了 MRI 的常规实际应用。多光谱光声断层扫描 (MSOT) 是一种成像模式,可在体内定量检测组织中的特定生物分子。组织中不同分子的吸收将光能转化为热能,由此产生的热弹性膨胀产生声波,该声波可以被超声换能器检测并转换为图像。由于声波在组织中的散射比光少得多,因此光声成像可以在生物组织中生成高达厘米深度的高分辨率光学对比图像。由于不同的组织生色团,如脱氧血红蛋白和氧化血红蛋白、黑色素、脂质、胶原蛋白和水,具有特征吸收光谱,光谱分解允许对这些分子进行相对量化。由于进行性肌肉纤维化是 DMD 的病理标志,Regensburger、Fonteyne 试图通过 MSOT 量化肌肉组织中的胶原蛋白。由于肌肉萎缩症的快速发展,DMDY/- 仔猪是验证该技术的理想模型。对 DMDY/- 仔猪和年龄匹配的 WT 对照的股二头肌和肱三头肌进行了纵向研究。WT 仔猪的定量 MSOT 衍生胶原蛋白信号在实验过程中保持不变,但 4 周后 DMDY/- 仔猪肌肉的 MSOT 衍生胶原蛋白信号稳定增加,与 WT 相比差异达 1.5 至 1.7 倍。通过组织学染色(Masson 三色、天狼星红)、羟脯氨酸定量和质谱检测特定胶原蛋白证实了胶原蛋白沉积增加从而建立了 MSOT 衍生胶原蛋白信号与实际肌肉纤维化的定量相关性。

图 5. 多光谱光声断层扫描 (MSOT) 显示 DMDY/- 猪骨骼肌进行性纤维化。
体细胞基因编辑恢复 DMD 猪的完整 DMD 阅读框:使用 CRISPR/Cas9 在 m
dx 小鼠模型中切除突变的 Dmd 外显子 23恢复完整的 Dmd 阅读框从而合成了一种内部缩短但具有功能的肌营养不良蛋白。然而,由于多种原因,将这一令人兴奋的概念从小鼠模型转化为人类患者具有挑战性。尚未解决的问题是,与mdx小鼠相比,在具有更严重肌肉病理学的三个数量级更大生物体中的有效递送、干预的最佳时间以及治疗益处所需的最低肌营养不良蛋白水平。在临床严重的大型动物模型中进行临床前研究对于靶向治疗的临床翻译至关重要,例如基因编辑。

图 6. 体细胞基因编辑恢复 DMDY/- 猪的 DMD 转录本阅读框。
结论:猪 DMD 模型大大扩展了可用于转化 DMD 研究的模式生物的范围。在临床严重 DMD 猪模型中具有积极临床前结果的治疗概念很有可能在 DMD 患者中也有效。由于基因工程/基因组编辑在猪中已经非常成熟,因此可以可靠地预测靶向治疗的最佳结果,例如 Cas9 介导的外显子 51 缺失。对分子变化的细胞类型特异性监测,例如通过对疾病进展不同阶段的骨骼肌进行单核测序,有可能揭示肌营养不良的新病理机制。猪 DMD 模型也有助于揭示在肌营养不良症患者中经常观察到的认知障碍的原因。DMD猪繁殖群体的另一个重要资源是DMD+/−携带者猪,其中一些也有心脏表现。这些携带者动物(包括血液、尿液和组织样本)的专用生物库将有助于发现预测严重表型风险的生物标记物为早期治疗干预提供可能性。



