人类呼吸道合胞病毒(human respiratory syncytial virus, hRSV)是引起全世界婴幼儿、老人及部分成人呼吸道疾病和死亡的主要病原体之一。该病毒首次报道于1956年,但迄今很少有hRSV治疗性药物,还没有hRSV疫苗获批上市。这在一定程度上是由于缺乏能够很好模拟人类hRSV感染发病机理的动物模型。现有的hRSV动物模型,包括大家较为公认的hRSV感染非人灵长类及棉鼠(Cotton rat)啮齿类动物模型,有其优势,但局限性也很突出。主要表现为感染周期短、病毒滴度低、病理症状较弱等。

2022年8月9日,中国食品药品检定研究院范昌发和王佑春研究员(本文通讯作者)等联合在Viruses杂志在线发表了Long-Term Infection and Pathogenesis in a Novel Mouse Model of Human Respiratory Syncytial Virus论文。该团队基于高效的基因修饰动物模型制作平台,利用CRISPR/Cas9技术,在C57BL/6J背景的野生型小鼠上敲除了Rag2基因,建立了一种对hRSV高度易感的T,B细胞缺陷小鼠模型,并利用该模型,结合活体成像技术,建立了一种非侵入式抗体体内保护力的评价方法,成功评价了国内研发的一种抗hRSV抗体的体内活性,为抗hRSV抗体的研发、药物筛选提供了一种稳定可行的体内评价方法。中国食品药品检定研究院实验动物资源研究所的熊芮和付瑞是本文的共同第一作者。

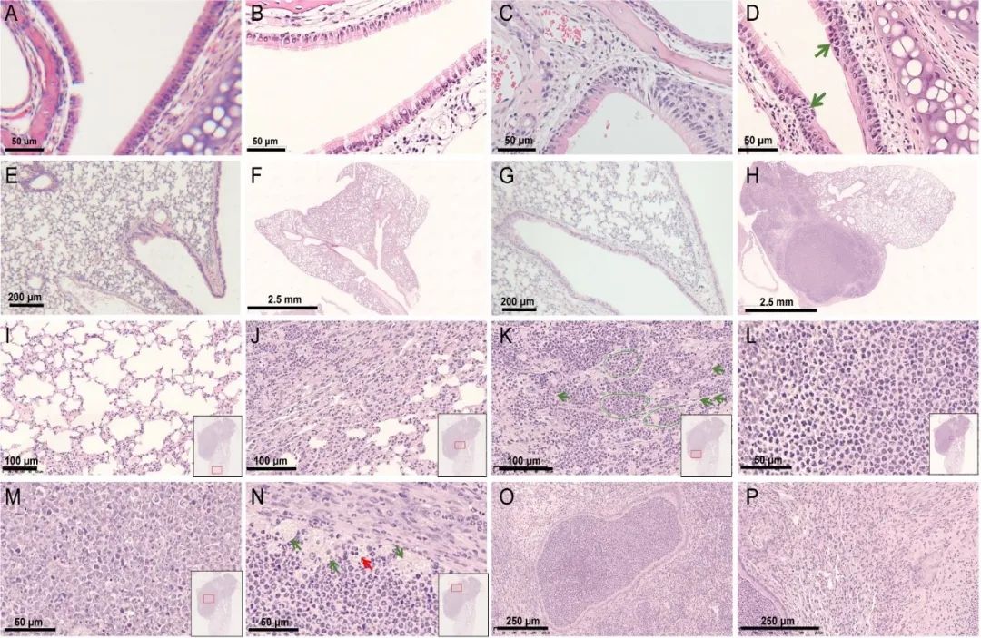
本研究使用了该团队自主建立的Rag2基因敲除小鼠模型。该纯合子小鼠在3-5周龄以内对hRSV高度易感,攻毒后能观察到hRSV在小鼠呼吸道,包括鼻腔、气管和肺,能维持很高水平的病毒载量,并且长达5周以上未见明显降低。同时伴随发生间质性肺炎和严重支气管肺炎等病变,肺泡间隔轻度增宽伴单核细胞浸润,支气管明显扩张伴大量中性粒细胞渗出。这些病理改变,与hRSV感染后产生的临床症状密切相关。

在该稳定的hRSV感染与疾病基础上,本研究结合小鼠活体成像技术,利用带有荧光素酶基因的hRSV-Fluc病毒,完成了一种抗hRSV单克隆抗体的体内有效性评价。本研究通过发光强度代表hRSV的病毒载量,从活体水平及组织水平多维可视化地呈现hRSV单克隆抗体的保护效果。该方法使得对hRSV抗体体内效力评价更加简便、准确,又利于标准化,可用于行业广泛的hRSV治疗性药物有效性评价。

总之,本模型的建立,一定程度上弥补了经济适用的hRSV小动物模型缺乏问题,该模型具备的高病毒载量、长感染时程、明显的病理特征特点,较棉鼠模型有明显的优势。本模型的不足之处在于,由于功能性T、B缺陷,将不利于针对疫苗的抗体产生,不是评价疫苗体内保护力的最适合的模型。为了克服这一难题,需要建立对hRSV易感,同时免疫系统正常的新型动物模型,相应工作正在进行中。



