摘要:隐孢子虫是人类和动物腹泻病的主要原因之一,在新生儿和免疫功能低下的宿主中可能是严重和致命的。隐孢子虫的生物学研究和药物发现工作受到许多因素的阻碍,包括动物模型的有限可用性。 在这里,我们报告了隐孢子虫感染的免疫活性兔模型的建立和表征。通过测试四种已知的抗隐孢子虫化合物(硝唑尼特、黄芩素、姜黄素和苦参碱),我们表明,兔可以作为一种体内替代动物模型来评估抗隐孢子虫药物的疗效。

关键词:隐孢子虫 隐孢子虫病 动物模型 药效
隐孢子虫是顶复门寄生虫属,由 39 种已知物种和 70 多种基因型组成,可感染人类和/或多种动物。人类主要感染人畜共患隐孢子虫和人类隐孢子虫,而免疫功能低下的个体可能感染其他几种物种。在发展中国家,隐孢子虫病是导致中度至重度腹泻和死亡的主要病原体之一。由于缺乏预防隐孢子虫病的疫苗和治疗人类或动物疾病的高效药物,因此需要开发新的抗隐孢子虫疗法,特别是用于免疫功能低下的患者和儿童的疗法。虽然抗隐孢子虫药物发现在过去十年中取得了重大进展,但该领域仍面临许多挑战,包括缺乏方便的动物模型来评估药物疗效。最常用的测试药物疗效的小动物模型是各种免疫缺陷小鼠品系。虽然在小鼠中很容易检测到感染,但它不会产生腹泻症状,因此难以评估治疗的临床影响。 这可以在大型动物模型中完成,包括仔猪和小牛,但这些动物物种需要安置在专门的设施中,这限制了可以测试的动物数量。我们报告了一种使用感染了隐孢子虫的免疫活性兔的替代动物模型,我们发现该模型适用于研究一般寄生虫学问题并评估体内抗隐孢子虫药物的功效。为了探索兔模型,我们首先从中国河南、四川和吉林省的兔养殖场通过蔗糖漂浮和氯化铯梯度离心法从个体阳性粪便样本中收集了六株C.cuniculus菌株。用两种不同方法染色的卵囊,即改良的酸禁食法和用Crypt-a-Glo抗体进行免疫荧光标记,通过显微镜检查从形态学上证实了它们的身份。卵囊呈典型的椭圆形,大小为 5.46 ± 0.28 × 5.06 ± 0.33 μm,与先前报道的 C. cuniculus 分离株相当。

图1、兔隐孢子虫卵囊形态及gp60亚型分析
对这些分离物的DNA进行针对SSRNA基因(约830 bp)和(60 kDa糖蛋白)gp60基因的巢式PCR。基于~750-bp gp60基因片段的测序分析表明,所有6个分离株均属于Ⅴb亚型。 这些分离株被命名为 DF11_ⅤbA24、DF12_ⅤbA29、CC1_ⅤbA29、H10_ⅤbA31、SX35_ⅤbA31 和 SC9_ⅤbA33。本研究中获得的所有gp60基因序列以登录号MZ460993-MZ460998保存到GenBank。值得注意的是,在使用最大似然(ML)方法重建的系统发育树中,无论分离物的宿主来源和地理来源如何,C.cuniculus的Va和Vb亚型形成了两个遥远集群。一种解释可能是隐孢子虫中的 gp60 基因座编码了一种免疫优势抗原,这种抗原在宿主中受到各种免疫压力,因此基于 gp60 核苷酸序列的系统发育树不能解释物种和分离株的进化历史。为了最大限度地减少通过污染艾美球菌引起的共感染风险,兔在 3 周龄时断奶并进行检查以确保它们没有艾美球虫寄生虫。 此外,在艾美球虫卵囊形成孢子和感染之前,收集和纯化用于接种的C. cuniculus 卵囊。动物在隔离笼内自由采食和饮水,用新鲜纯化的 C. cuniculus 卵囊接种特定年龄的兔。 阴性对照动物接受 PBS。 佩戴伊丽莎白项圈(E 项圈)用于防止动物接触粪便。 每天进行两次临床检查动物和并计录动物体重增加/减轻。在规定的时间间隔收集实验动物的粪便或肠道内容物,称重,在2.5%重铬酸钾中浸泡,然后彻底混匀,通过显微镜或定量PCR(qPCR)测定卵囊。为了进行显微镜计数,将粪便液滴与饱和蔗糖溶液(每个10 g/10 mL)充分混合,并离心(2300 g,持续6分钟)。收集上清液并用 40 mL 自来水稀释,然后离心(2300 g 6 分钟)。 然后将沉淀物与 2 mL 饱和蔗糖溶液混合,从中取10 μL 溶液用于卵囊的显微镜计数(×400;每个样品 230 个显微镜视野)。使用E.Z.N.A.粪便DNA试剂盒根据试剂盒说明书,从每个0.2 g肠道内容物中提取DNA,并按照前面所述进行实时qPCR。使用添加了确定数量的卵囊的阴性粪便建立标准曲线。动物在第 6 天被处死。 收集组织学和整个肠道内容物(不包括组织),通过 qPCR 或显微镜检查确定寄生虫负荷。 回肠标本用冷多聚甲醛 (4%) 固定并切片,然后进行 H&E 染色和显微镜检查。
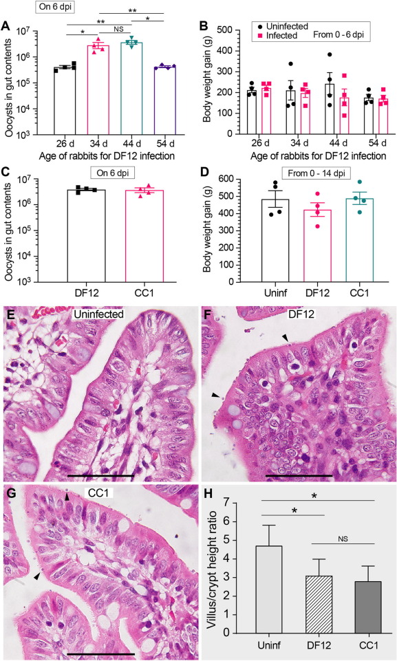
首先用DF12分离物感染了隔离笼中的兔,并检查了兔年龄对传染性的影响。根据早期的流行病学研究,1至3个月龄的兔更容易感染隐孢子虫。每兔在26、34、44和54日龄时经口灌胃106个DF12卵囊。观察到所有年龄组的C.cuniculus在经口灌胃后6天达到峰值,在34天和44日龄接种的兔中,寄生虫载量显著增加。与未感染的对照组相比,感染后任何年龄组的体重增加均未观察到显著差异。

图 2. 两种隐孢子虫分离株对兔的感染性表征。
然后,我们评估了35日龄兔中相同亚型VbA29的C.cuniculus 的DF12和CC1分离株的传染性,每兔单次经口灌胃106个卵囊,再次观察到,在0到14天期间体重增加没有显著差异,在6天间收集的粪便寄生虫数量没有显著变化。两种分离株的组织学观察均发现回肠上皮细胞内 的C. cuniculus,并观察到回肠上皮中绒毛显著缩短。在所有这些和随后的实验中,感染 C. cuniculus 的兔在整个感染期间都没有出现腹泻症状。
我们还用不同剂量的卵囊(即 1.5 × 104、5 × 104、1 × 105、5 × 105 和 1 × 106)感染兔。 为了更好地模拟兔农场的环境和饲养,兔被分组饲养在动物设施中的笼子里,而不是隔离器中。每天收集粪便总量,充分混合,并用饱和蔗糖溶液对10g充分混合的样品进行浮选,以便如上所述对卵囊进行显微镜计数。尽管在总卵囊脱落、体重增加和组织病理学方面的差异不显著,但在接种1.5×104卵囊的兔中观察到最高的卵囊产量。接种1.5×104个卵囊的兔,其卵囊的产生通常在接种后4天开始,在接种后6-7天达到高峰,并持续到至少12天。伊丽莎白项圈有效地防止了实验兔再次感染C.cuniculus,如未佩戴伊丽莎白项圈的动物在接种后9-10天出现第二个卵囊脱落高峰所示。尽管未感染对照组的体重增加略高,但佩戴或未佩戴电子项圈的动物之间的体重增加没有显著差异。

图 3 、兔隐孢子虫感染模型的建立及应用于体内抗寄生虫药物疗效评价。
总之,接种 DF12 或 CC1 分离株 C. cuniculus 导致实验室兔感染可重复,但它们的毒力相对较低,并且感染比之前报道的法国 U84/294 分离株更温和。在上述实验的基础上,建立了一个标准的感染方案,用C.cuniculus DF12分离物接种约35日龄的佩戴伊丽莎白项圈的兔。最后,我们评估了四种具有已知抗隐孢子虫活性的化合物(即硝唑尼特、黄芩素、苦参碱和姜黄素)的功效,以评估兔感染模型对体内抗隐孢子虫药物测试的适用性。硝唑尼特是美国食品和药物管理局 (FDA) 批准的药物,用于治疗免疫功能正常的人类患者的隐孢子虫病,而其他化合物此前曾报道其具有抗隐孢子虫活性。35日龄的家兔经口灌胃接种1.5×104个DF12卵囊,并接受化合物治疗11天(即1至11天p.i.)。硝唑尼特、黄芩素、姜黄素和苦参碱在吐温 80/乙醇/水 (3:7:90, v/v) 混悬液中制备并通过经口灌胃法给予兔,每天两次,给药间隔为 12 小时。对照组的动物只接受溶媒。每个实验组由四只动物组成。所有动物在感染寄生虫后都戴上了伊丽莎白项圈。在接种后3至11天收集粪便,通过显微镜和计数量化卵囊脱落。记录临床症状和体重。在该体内试验中,溶媒对照兔在接种后 4 至 11 天产生卵囊,在 7 天后出现高峰,这与戴伊丽莎白项圈动物的试验相一致。尽管在接受黄芩素治疗的兔中观察到体重增加略高,但在各个治疗组和对照组之间没有观察到体重增加的显著差异。硝唑尼特(100 mg/kg/天)是一种广泛使用的阳性对照抗隐孢子虫药,从接种后 5 天开始显示出预期的减少卵囊产生的功效。 并且在实验期间总卵囊减少了 71.4%。在所有测试的化合物中,黄芩素(100 mg/kg/天)表现出最高的抗隐孢子虫功效,优于硝唑尼特,通过在整个感染期间抑制卵囊脱落并将总卵囊脱落率降低 90.6%。苦参碱产生了中度但显著的卵囊脱落减少(总卵囊脱落减少 42.2%),而姜黄素对卵囊产生几乎没有影响。 观察到的抗C- cuniculus 功效与先前观察到的 C. parvum 一致,表明兔感染模型可用作评估抗隐孢子虫药物功效的替代动物模型。我们从中国分离并保存了六株C.cuniculus分离株(均为Vb亚型),并初步描述了DF12和CC1分离株的传染性和卵囊产生情况。利用我们的感染DF12的兔模型,我们验证了黄芩素的体内抗隐孢子虫活性。



