摘要:本研究的目的是描述和发展一种慢性视网膜新生血管和血管渗漏的灵长类动物模型,该模型可用于评估针对视网膜缺血和新生血管疾病实验疗法的疗效。非洲绿猴经过眼科检查,彩色眼底照相,荧光素血管造影(FA)和光学相干断层扫描(OCT)后,接受双侧玻璃体内(IVT)注射DL-α-氨基己二酸(DLAAA; 5 mg)。重复影像学检查以评估DLAAA引起的视网膜血管病变的进展和随后的稳定。玻璃体内注射阿柏西普1.4mg,观察其对血管渗漏的影响。收集眼组织用于组织病理学和神经胶质纤维酸性蛋白(GFAP),血管性血友病因子(vWF),CD105 / endoglin,VEGF和CD68免疫组织化学,以研究视网膜变性和血管重塑。IVT-DLAAA给药后2周即导致毛细血管扩张,随后出现视网膜血管渗漏和视网膜内水肿。注射后直至8-10周,新血管病变进展明显,然后稳定,并持续超过90周的血管渗漏状态。组织病理学和免疫染色显示视网膜变性和新血管形成,除了Müller细胞丢失外,还增加了vWF,CD105 / endoglin,VEGF和CD68表达增强。阿柏西普显著减轻2-4周时的血管渗漏。DLAAA注射后90周,病变仍对抗VEGF有反应。研究结果支持灵长类动物DLAAA诱导的视网膜血管渗漏模型在针对渗出性AMD,糖尿病性视网膜病变,黄斑毛细血管扩张和其他视网膜缺血性和新血管性疾病的候选疗法和缓释策略的疗效评估中的应用。研究结果证实了DLAAA灵长类表型与了解共有的视网膜血管疾病机制和黄斑对血管和代谢损伤的易感性的相关性。
简介:视网膜血管疾病,例如渗出性年龄相关性黄斑变性(eAMD),糖尿病性黄斑水肿(DME)和增生性糖尿病视网膜病变(PDR),都表现出视网膜微血管病变,有助于持续进行性的血管渗漏和异常的新生血管形成。脉络膜新生血管(CNV)是eAMD的一个重要特征,病理性新生血管从脉络膜血管生长,破坏Bruch膜,穿透和破坏视网膜下间隙。CNV血管发育不成熟,内皮细胞通透性增强,内皮细胞紧密连接和周细胞整合缺失,导致液体积聚和出血,可导致失明。在DME和PDR中,高血糖症引起的损伤会导致缺血和炎症,从而导致持续的积液和视网膜新生血管(RNV)进入玻璃体和视网膜内部,导致视网膜脱离和失明。在这些常见的新生血管和缺血性疾病中,血管内皮生长因子(VEGF)是导致持续性血管通透性和脉络膜或视网膜新生血管形成的内皮失稳的关键介质。目前,CNV,DME和PDR的护理干预标准贝伐单抗,雷珠单抗和阿柏西普结合并中和VEGF,以限制其病理作用,并且常规开处方具有明显的疗效,但通常具有选择性和短暂的疗效。尽管大多数患者从抗血管内皮生长因子处理中获益,但由于这些处理的作用时间有限,需要每月一次的玻璃体腔注射(IVT)以获得最佳效果。较不频繁、较不理想的给药方案更常被用作一种折衷方案。因此,患者和医疗保健提供者非常需要新的和/或抗血管内皮生长因子疗法,这种疗法的作用时间更长,能够有效地稳定血管系统并消退病理性新血管形成。与人类眼睛非常相似的物种(例如非人类灵长类动物(NHP))中的视网膜血管疾病模型的一个挑战是缺乏慢性血管渗漏和/或人类eAMD,DME和PDR的新血管反应特征。在啮齿动物和NHP激光诱导的eAMD的CNV模型中,脉络膜脉管系统的短暂血管渗漏和新血管反应在激光破坏Bruch膜后持续2-3周,此后自发地消退。虽然抗VEGF处理加速了这种诱导病理学的消退,但在人类中,CNV的病理学在抗VEGF药物被清除后恢复并持续存在。因此,建立一个持续性和复发性血管渗漏和新生血管的模型,将大大有助于并加速对长效干预措施的评估,以解决病理性血管不稳定和新血管形成的多种临床表现。DL-α-氨基己二酸(DLAAA)模型是一种已经在大鼠和兔中描述过的慢性渗漏模型,并且已经在这些物种中进行常规候选药物筛选。DLAAA是一种选择性神经胶质细胞毒素,据报道可抑制谷氨酰胺合成酶的作用,损害更广泛的Müller细胞视网膜稳态功能而导致神经胶质功能障碍和死亡,从而导致血视网膜屏障破坏。注射DLAAA后2个月大鼠视网膜下血-视网膜屏障破坏,,并增加血管的渗漏和迂曲。最近有几组研究表明,在兔IVT给予DLAAA后12-18个月,血管渗漏和RNV升高,并且抗VEGF药物贝伐单抗,雷珠单抗和阿柏西普和DARPins靶向VEGF-A165抑制了此类病理。大鼠、兔和人类的视网膜血管和神经元解剖结构不同,但猴和人类之间基本上是相同的。猴和人类的视网膜脉管系统,视网膜分割和基底层边界,视网膜神经元和神经胶质细胞亚型的比例丰度以及黄斑的存在是同源的。我们在此报告一种新的DLAAA引起的慢性血管渗漏NHP模型。慢性视网膜血管渗漏和新血管形成的临床前模型允许在疾病发展的多个阶段对短效和长效抗血管生成化合物进行疗效筛查。
方法:动物:共使用8只成年雄性和9只雌性非洲绿猴(雄性:5.2-6.9千克;雌性:3.1-4.1千克)。进行筛查前的眼科检查,包括裂隙灯(SL)检查,彩色眼底照相(CFP),荧光素血管造影(FA)和光学相干断层扫描(OCT),以确认不存在预先存在的眼部异常。每天进行两次笼旁观察, 在计划的眼科检查期间进行了额外的监测。在DLAAA给药后六至九周完成动物入组和分组,将动物配对饲养。
DLAAA模型:在第0天,所有入组的猴的两只眼睛(OU)均接受IVT注射的DLAAA(5mg)。 将DLAAA溶于1M盐酸中,生成100 mg / mL储备液,然后将其用磷酸盐缓冲盐水(PBS)稀释,将pH调节至7.4,并通过0.2微米过滤器过滤。在给药前制备小份DLAAA剂量溶液(25 mg/mL),并储存在-80°C下。所有等分样品均由一批DLAAA制备。在IVT给药之前,对每只眼睛局部应用1%阿托品以实现完全瞳孔扩张。用1-2滴0.5%的丙美卡因麻醉眼表面。用连接在27号针头上的1 mL注射器进行进行玻璃体穿刺,以除去100μL玻璃体液,然后将其储存在-80°C下。在给药前进行玻璃体穿刺以限制眼压升高。玻璃体穿刺成功率为70%。使用0.3 cc胰岛素注射器和31G 0.5英寸针头将DLAAA溶液(5 mg / 200μL)从角膜缘后3毫米处输送到玻璃体中部。注射后立即局部使用三联抗生素软膏(新霉素/多粘菌素B硫酸盐/杆菌肽锌)和1%阿托品软膏。如果DLAAA引起的病理学是严重的,或者观察到视网膜脱离,则排除该眼睛。预先定义的排除标准包括:1)严重的病理发展,大面积或广泛的渗漏超过血管拱廊或延伸到周边视网膜,2)严重出血的眼睛,或3)视网膜脱离,由水肿和纤维化和组织重塑引起的牵引力共同导致的浆液性或完全性视网膜脱离。应用这些标准导致25%接受DLAAA的动物被排除在外。
抗VEGF注射:在DLAAA给予后第8周或第9周进行眼科检查后,对荧光血管造影图像进行分级,以评估DLAAA诱导的视网膜新生血管渗漏的严重程度,参考标准渗漏评分量表。在处理前第10周重复FA成像,以确认动物分配和捕获基线FA图像。在抗VEGF IVT给药之前,先用1-2滴0.5%的丙美卡因麻醉眼表。使用预先装有31G 5/16”针头的无菌0.3 mL胰岛素注射器将抗VEGF药物进行玻璃体腔注射。将针头置于颞下象限的角膜缘后2 mm,瞄准玻璃体中央。眼睛接受溶媒(0.9%生理盐水,50μL)或阿柏西普单次IVT注射。根据非洲绿猴的玻璃体相对体积(约2.7 mL)和人玻璃体相对体积4.4 mL来选择抗VEGF剂的剂量水平。所有对侧眼接受相同的处理。 注射后局部给药新霉素/硫酸多粘菌素B /杆菌素抗生素软膏。 在两天内进行给药,并在研究期间保持随访检查。

眼科检查:在给药前,DLAAA给药后每两周和干预后每周一次,通过裂隙灯生物显微镜检查眼睛,直到研究终点确认眼表的完整性、总体眼健康,对DLAAA给药的广泛眼反应以及对散瞳和1%盐酸环喷托酯的正常反应。用改良的Hackett-McDonald评分系统对眼科检查结果进行评分。
彩色眼底摄影:使用Topcon TRC-50EX视网膜摄像机,配合佳能6D数字成像硬件和新的视觉眼底图像分析系统软件,以中心凹为中心的50°视场对在给药前、给药后两周和干预后每周周获得一次视网膜的双侧彩色眼底图像,直到研究结束。
荧光造影:静脉注射0.1 mL / kg的10%荧光素钠后,采用Topcon-TRC-50EX视网膜照相机或海德堡HRA+OCT,在固定增益和闪光强度下获得高分辨率的荧光血管造影(FA)。在荧光素给予后6分钟内收集图像。使用分级评分系统对整个血管造影图中显示血管渗漏的视网膜区域进行评估和评分,并使用ImageJ中的ROI工具对1分钟原始血管造影图中渗漏区域内的总荧光强度进行定量(从第10周到研究终点)。
渗漏分析:DLAAA诱发的渗漏使用自定义分级量表和多ROI自动分析进行评估,并且分析仅限于选择显示最大处理效果和渗漏复发的时间点。“病变大小”和“病变严重程度”量表对完整的FA图像系列进行检查(施用荧光素后约5秒至6分钟),评估相对渗漏的大小和严重性。 使用荧光素注射后1分钟获取的FA图像测量绝对荧光强度。每个网格定义了14个感兴趣区域(ROI),分别代表上(S)、鼻(N)、下(I)和颞(T)中央视网膜的内(1)、中(2)和外(3)部分以及中央凹和视神经乳头。从每只眼睛的基线(DLAAA注射前)图像确定ONH相对于中央凹的相对位置,然后将ROI网格覆盖图用于该只眼睛的所有后续时间点。
结果:DLAAA给药会破坏视网膜结构完整性,并引起液体积聚,血管迂曲以及病理性血管渗漏和重塑。FA成像显示从第二周开始,高荧光渗漏主要出现在黄斑部和黄斑周围区域,少数眼睛显示渗漏延伸至血管拱廊和周围。渗漏在前4周迅速发展,在8-10周内趋于稳定,并持续到第18周及以后。另外,在一些眼睛中观察到了中心凹无血管区的扩大并伴有中心凹周围毛细血管网的消失。对第4、6和9周的早期FA的评估显示了黄斑区内新生血管的证据。此外,DLAAA给药后,中心凹周围的毛细血管和微血管常表现出异常,并伴有扩张和渗漏,这是MacTel的标志,在早期FA成像期间非常明显。彩色眼底摄影还显示了类似于MacTel的血管病变。眼底镜检查和彩色眼底图像显示黄斑区的血管闭塞与血管造影数据和临床相关性一致。另外,观察到视网膜变白的区域,尤其是神经纤维层水肿与灌注不足相一致。

图 1、猴玻璃体腔注射DLAAA后持续存在血管渗漏。(A) 从基线检查到第18周,取具有代表性的1分钟荧光素血管造影(FAs)。每周FA检查显示,DLAAA给药后2周,黄斑和黄斑周围区域出现高荧光渗漏。血管渗漏在前4周迅速进展,在第8-10周稳定,然后持续到第18周及以后。B) 在第4、6和9周拍摄的典型早期FA(20-30秒)图像显示黄斑区(包括中央凹)有新生血管(见箭头)。

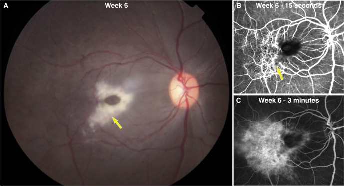
图2、黄斑部毛细血管扩张是DLAAA病理的特征。(A) DLAAA给药后第6周的代表性彩色眼底照片显示黄斑中心凹附近的毛细血管扩张和渗漏和黄斑区的血管阻塞。相应的15 s(B)和3分钟(C)FA图像也突出了毛细血管扩张。
OCT显示与血管渗漏相关的形态学改变。DLAAA处理后第2周可见凹下结构紊乱和高反射。观察到广泛的神经纤维层和视网膜内水肿,第4周开始明显,持续到第10周;这些早期病理改变在16周和18周时发展为退行性囊性改变和视网膜内萎缩。从第2周到第8周,黄斑区视网膜明显增厚,而黄斑周围区域则出现视网膜变薄。此外,视网膜的层状结构杂乱无章。

图3、OCT显示DLAAA视网膜的形态学改变。OCT检查显示血管渗漏相关的形态学改变。第2周可见凹下结构紊乱和高反射率。广泛的视网膜水肿从第4周开始一直持续到第10周。在第4周和第8周还观察到了高反射性并伴有阴影和反射不足,在第16周和第18周观察到退行性囊性变和视网膜内萎缩。结果,从第4-8周开始,黄斑区视网膜增厚明显,而黄斑周围区域的视网膜变薄。
DLAAA视网膜组织的组织病理学和IHC评价显示视网膜变性。由于在视网膜内表面和视网膜外核层中都存在红细胞,因此在DLAAA视网膜中明显有出血和血管完整性破坏的迹象。

图4、 DLAAA破坏视网膜结构完整性并促进渗漏。从对照眼(A)和DLAAA诱发的视网膜变性(B)的眼睛的完整组织深度组织样本中获得的高分辨率多光子图像的三维重建。NFL神经纤维层、GCL神经节细胞层、IPL内丛状层、INL内核层、OPL外丛状层、ONL外核层、RPE视网膜色素上皮。
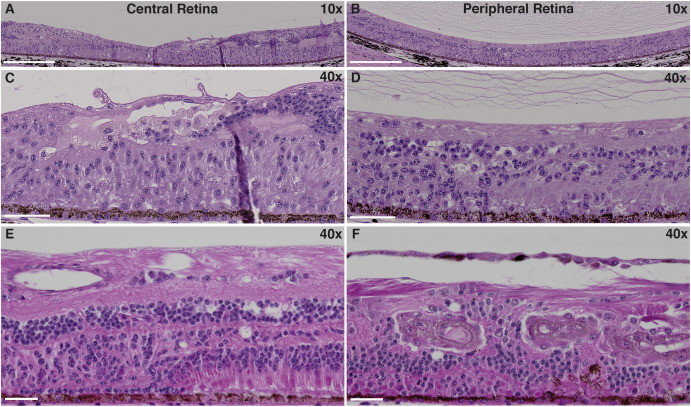
DLAAA处理可引起视网膜变性和病理性血管重塑。12周后,对DLAAA处理的眼视网膜切片进行H&E评估,显示视网膜内有增生和视网膜内新生血管。视网膜中央变性较严重(距视神经乳头约3mm),其特征是各层明显变薄,内外核层、光感受器层和神经节细胞层细胞数量减少。在周围视网膜中,也观察到所有层明显变薄和细胞减少。在DLAAA处理的眼中,在第16周时也出现了相似程度的视网膜变性。玻璃体视网膜表面可见内界膜升高和裂孔,并伴有微血管增生。H&E显示新生血管反应,IHC染色进一步证实DLAAA处理的视网膜有新生血管反应。对照视网膜IHC染色揭示了VEGF在视网膜内层细胞中的表达以及在神经节细胞层细胞中的表达程度。

图5、组织学显示玻璃体腔注射DLAAA后视网膜变性。

图6、免疫组化显示病理性血管重塑。

图7. GFAP免疫染色证实了DLAAA视网膜中的Müller细胞受损。
在第0周进行DLAAA给药会导致慢性血管渗漏,并在第8-10周稳定下来。 通过评估临床认可的抗VEGF处理药物阿柏西普玻璃体腔注射处理反应,评估VEGF在DLAAA诱导的血管渗漏中的作用。在注射DLAAA后10周(这里定义为“预给药”)进行生理盐水和阿柏西普的IVT给药。从给药前到研究第8周(第18周)结束,盐水处理的眼睛显示出无渗漏变化。IVT给予阿柏西普(35μL,40 mg / mL)可在2周内显着减少渗漏,在给药后2-4周出现最大程度的抑制作用。给药后6周,渗漏再次发生,并在给予阿柏西普后8周达到与处理前相似水平或略低于处理前的水平。结果显示,从预给药到第4周,阿柏西普显著降低了渗漏评分。注射生理盐水后,临床评分无明显变化。

图8. DLAAA诱导的视网膜血管渗漏是VEGF依赖性的
在没有持续干预的情况下,DLAAA引起的血管渗漏持续到评估的98周。与DLAAA处理10-18周后同一只眼的观察结果相比,在延长的研究时间(90周以上)内,血管渗漏的程度略有降低。通过在同一组动物中在DLAAA处理后第8周和第90周重复进行IVT注射阿柏西普评估VEGF在持续性DLAAA诱导的视网膜血管渗漏中的持续作用。

图9. DLAAA诱导长期VEGF依赖的视网膜血管渗漏
在NHP中应用DLAAA诱导慢性视网膜新生血管渗漏表型,与其他临床前视网膜新生血管渗漏模型相比具有明显的优势。
原文出自:https://www.sciencedirect.com/science/article/pii/S0014483519308127



