兔肾模型:评价水基液体栓塞的安全性和有效性
摘要:本研究的目的是评价一种新型水基液体栓塞剂(HES),该栓塞剂通过填充肿瘤血管床并凝固成水凝胶来栓塞高血管性肿瘤。在临床前兔肾模型中评估HES栓塞的安全性和疗效。采用新西兰兔肾栓塞模型。用HES或40μm微球对24只家兔经肾主动脉行单侧肾动脉栓塞。22只兔子在手术后存活,并分别在处死前2周、12周、17.5周或26周进行监测。所有家兔在处死前均行重复肾血管造影检查。通过栓塞组织的再通和生存力对HES进行非靶标栓塞,安全性和栓塞效果评估。两种栓塞材料均被发现是安全的,具有针对性的组织坏死和无非栓塞性栓塞。处死前造影发现0/14(0%)HES栓塞肾和3/8(38%)微球栓塞肾有血管再通。2/14(14%)的肾被HES栓塞,5/8(63%)的肾被微球栓塞。所有显示有血管再通的微球栓塞的肾脏在组织学切片上均具有活组织。 在组织学分析中,在直径小至10μm的血管中观察到了HES。与40μm微球相比,HES提供了深层,持久的血管床栓塞,导致血管再通减少,平均而言,目标组织的存活率降低。 未发现全身性作用或非目标组织栓塞。
目前市面上可买到的液体栓塞剂由于在给药技术上的挑战而无法提供一致和可控的栓塞而受到限制。最佳的液体栓塞产品应易于使用,对于肿瘤和器官应用具有可重现且可控制的深度渗透,对非靶标栓塞是安全的,并且应与市售的水性对比剂,药物和微导管兼容。

图1、使用同轴输送系统可同时注射两种Embrace HES前体: Instylla 1.7-F内导管的标准高流量微导管。
兔肾栓塞模型:慢性血管反应只能在全身系统中进行评估,兔肾动脉栓塞模型是一种建立的模拟高血管肿瘤栓塞的模型。在第0天,对24只新西兰白兔进行了单侧肾栓塞手术。在手术过程中,定期监测和记录生命体征(心电图、心率、呼吸频率、血氧饱和度和体温)。通过右股总动脉切开术进入靶动脉,并给予全身肝素(1,000 IU,静脉注射)。在透视引导下,通过造影导管鞘,引导导管进入肾动脉主干,然后引入微导管用于栓塞输送。将动物随机分为单肾栓塞组(左侧或右侧)和HES或微球栓塞组。在使用之前,将5 mL非离子造影剂溶液作为运输溶液添加到含2毫升(40μm)微球的注射器中,并搅拌悬浮液直到均匀,对所有治疗肾脏均行栓塞治疗,直至完全淤血。栓塞前、中、后分别进行治疗部位血管造影。记录每次治疗的栓塞时间和栓塞量。所有的手术都是由一位有8年以上经验的介入医师进行的。对术后前14天动物每天至少进行一次临床观察,此后直至解剖日至少每周进行一次临床观察。术前、术后14天内、术后每月和解剖日称量体重并进行身体状况评分。分别于术前、手术当天、术后14、30、60和90天采集血液学、血凝和血生化样本进行检测。选择第2、12、17.5和26周,与对照微球组进行对比,关注HES的亚急性、亚慢性和慢性安全性和疗效。在解剖前,所有动物都进行了重复的肾血管造影,并与栓塞后第0天的肾血管造影进行比较,评估是否有血管再通。再通定义为在先前栓塞的动脉脉管系统中的重新灌注。随后由兽医病理学家进行全面的尸检,包括外观以及颅,胸和腹腔及内容物等。尸检时的宏观观察与收集的组织的显微观察相关联。所有动物都进行了组织和器官重量的大体检查,以及治疗肾脏的组织采集/组织学检查。拥有10年以上经验的兽医病理学家还评估了HES和微球治疗的肾脏组织学切片中是否存在活肾组织,以及HES和微球治疗的肾脏中栓塞的渗透深度。用苏木精和曙红,高碘酸-希夫和带有固绿复染的Lugol氏碘染色载玻片,以观察组织学切片中的水凝胶。

图2、研究流程图。
结果:共有24只兔子接受了栓塞治疗,其中22只存活到预定的时间点并用于分析。HES和微球均已成功递送至所有靶器官肾脏(100%),且每次血管造影评估均显示血瘀,并且没有非目标栓塞的血管造影证据。分别输送2.3 mL±1.7和1.1 mL±0.4的HES和微球,采用时间分别为3.1±2.0分钟和2.9±1.8分钟。
HES组和微球组之间的血液学和化学参数没有显著差异。HES和微球治疗具有可比的肾毒性反应,随着时间的推移,尿素氮和肌酐值没有差异。仅观察到临床实验室参数的微小波动,包括凝血酶原时间和活化的部分凝血活酶时间,两组之间没有差异。HES和微球组之间的体重增加和身体状况没有差异。解剖前立即行肾血管造影,发现0/14(0%)的HES栓塞肾和3/8(38%)的微球栓塞肾有肾动脉血流。在第12周的1个肾脏和第26周的2个肾脏中观察到微球栓塞的肾脏再通。解剖时注意到的宏观观察结果和相关的微观观察结果与预期的由于HES和微球体的血管阻塞而导致的肾坏死一致。所有其他组织大体正常。任何动物均未观察到非靶向栓塞。

图3、在第0天和第26周的代表性肾脏血管造影照片显示了微球栓塞兔的再通,肾动脉血流和肾脏灌注,HES栓塞兔的肾动脉或肾没有显影或再通。如图4所示,在12、17.5和26周时,微球栓塞肾的平均重量大于HES栓塞肾的平均重量。与HES栓塞的肾脏相比,在第26周时,微球栓塞的肾脏的重量增加了93%。 其他器官重量的微小差异在动物模型的预期变化范围内,并且未发现具体趋势。

图4、第12、17.5和26周时平均微球和HES栓塞的肾脏重量。
栓塞肾脏的组织学切片显示,在用微球治疗的5/8(63%)和在用HES治疗的2/14(14%)中,有一定程度的肾组织存活。所有微球栓塞肾再通组织切片均可见活组织。第2周的组织学切片进行了进一步评估发现血管中存在低至10μm的HES。相反,在对照动物的直径小于40μm的血管中未发现微球。在组织切片中,HES逐渐被吸收,在26周时出现一细小的、半透明到微弱的嗜碱性外观。HES吸收后,血管未再通,但仍被纤维化阻塞。

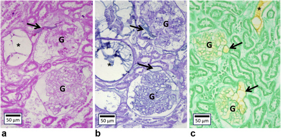
图5、HES 植入2周后肾脏的组织学切片。苏木精和曙红染色剂(a),高碘酸希夫染色剂(b)和带有固绿复染剂的Lugol氏碘染色剂(c)。
讨论:所有固体栓塞的共同局限性是血管闭塞发生在靶肿瘤血管系统的近端。即使供血动脉造影完全停滞,肿瘤内血管仍保持通畅,并在微血管水平进行灌注。因此,药物洗脱栓塞的治疗有效载荷通常被输送到靶肿瘤以外的正常组织中,随机试验显示,与具有更大肝胆损伤的非载药微球相比,肿瘤结果没有显著改善。此外,经动脉栓塞后的血管再通是很普遍的现象,有一项研究发现83%的患者的栓塞肝动脉树无变化,尽管在4年中平均进行了6次栓塞。不完全栓塞后持续灌注缺血肿瘤可上调缺氧诱导因子-1α 血管内皮生长因子,促进肿瘤进展。因此,一种栓塞,如果不进行再通,则能深入穿透并全面阻断肿瘤血管,可降低血管生成激素的表达,从而可能降低肿瘤进展的发生率。在美国,目前可用的液体栓塞不是深穿透的、水基的、可吸收的,也不是永久性植入或外周使用的。氰基丙烯酸正丁酯是一种自由流动的液体,在体液接触时会放热聚合。由于快速聚合,渗透深度受到限制,并且需要在使用前与Lipiodol(一种油基不透射线的对比剂)进行常规混合。 输送控制也很困难,并且导管截留是一个真正的问题。虽然目前在外周应用中使用的液体栓塞是有限的,但是液体栓塞在高血管性肿瘤应用中是有潜力的。在这项研究中,HES在安全性、应用时间和栓塞耐久性方面与微球相当。同轴导管腔防止导管阻塞,并且水凝胶栓塞的非粘附性质防止导管因栓塞或导管截留而堵塞。HES和微球在该模型中均显示出类似的安全性,两组动物在整个研究中身体状况正常,体重增加相似,血液化学参数和器官重量相似。
虽然两组之间的安全性相当,但两种栓塞治疗的肾脏的反应存在显著差异。与微球栓塞的肾脏相比,HES栓塞的肾脏没有再通,器官收缩更大,活组织更少。提示HES栓塞方式(完全血管填充伴毛细血管水平渗透)与微球栓塞(不完全血管填充和有限渗透深度)有本质区别。这导致HES出现更完整和持久的血流停滞。此外,6个月内没有血管再通提示永久性闭塞,尽管HES最终被吸收。

图6. HES深穿透产生的独特作用机制。与微球栓塞的肾脏相比,HES毛细血管水平的渗透(黑色箭头)可防止在微血管水平的灌注,从而减少再通,导致更多的组织坏死和组织质量损失。
这项研究的局限性包括样本量有限,对动物而非人类的安全性评估,以及兔肾和高血管性肿瘤之间的解剖差异。虽然动物的安全性评估有局限性,,但允许剂量过大。在这项研究中,动物接受了超过预期人类剂量13倍的HES剂量,使安全性研究结果更具相关性。尽管兔肾对于肝细胞癌等高血管性肿瘤来说不是一个完美的模型,但它们确实提供了高度分支和血管化的实质组织。该模型可以以受控的方式进行仔细研究,以便将试验装置与已建立的治疗方法进行比较。在这项研究中,HES表现出有效和永久的血流停止,提示其在高血管性肿瘤如肝细胞癌中的潜在疗效。栓塞后有效,深层,完整和持久的血管淤滞可能导致更有效的肿瘤反应,并可能改善局部肿瘤的进展结果。
总之,在本研究中,HES和微球均安全地栓塞靶向组织。HES的远端深部血管穿透表明栓塞机制与微球不同,从而改善结局,减少血管再通,增加靶组织收缩,减少活组织的数量。



