大鼠模型:唑来膦酸局部给药可预防创伤性股骨头坏死
摘要:股骨头坏死(ONFH) 是一种难治性疾病,其发病机制尚不清楚。无论是保守治疗还是早期手术治疗,效果都不理想。因此,本研究旨在探讨唑来膦酸治疗早期ONFH的有效证据。试验分为:正常组,模型组,生理盐水组(NS组)和唑来膦酸治疗组。模型组和唑来膦酸治疗组动物通过手术中断股骨头的血液供应,然后对股骨头局部施用唑来膦酸。术后4周进行显微CT和组织病理学检查(H&E染色、TRAP染色、甲苯胺蓝染色和masson染色)。正常组和唑来膦酸治疗组的BMD,BS / BV和Tb.Th值明显高于模型组和NS组。H&E染色,甲苯胺蓝染色和masson染色的结果与micro-CT一致。在改良的大鼠创伤性股骨头坏死模型中,股骨头局部注射唑来膦酸对股骨头的骨结构有积极影响,为股骨头坏死的早期治疗提供一种有前途的治疗策略。
关键词:股骨头坏死 唑来膦酸 局部用药 预防
简介:迄今为止,股骨头坏死(ONFH)由于其病理机制尚不清楚,一直难以治愈。许多研究表明,ONFH的发生与多种病因有关,其主要原因是创伤、糖皮质激素的使用和酗酒。糖皮质激素使用和酒精滥用引起的ONFH通常被称为非创伤性ONFH。ONFH是一种严重的疾病,经常发生在年轻人中,最终会导致骨关节炎和髋关节置换,而无需唑来膦酸的治疗。 因此,在早期干预,避免和延缓ONFH的进展是至关重要的。众所周知,双膦酸盐能抑制破骨细胞的活性,已被用于治疗各种临床疾病。作为双膦酸盐之一,唑来膦酸是一种有效的骨质疏松药物,也已用于治疗骨坏死。双膦酸盐在非股骨头缺血性坏死患者和手术诱导的ONFH兔模型中也显示出积极的疗效。然而,仍然存在争议。Lee,Y.-K.等人指出,唑来膦酸盐对预防股骨头塌陷无效。因此,唑来膦酸治疗的进一步基础研究是必不可少的。 此外,仍需要一种有效的创伤性ONFH动物模型来研究ONFH。
动物:使用22只SPF级 SD大鼠(体重350-400 g)。所有大鼠均在相同的环境(相同的温度和湿度)下饲养,自由采食和饮水。本研究共设立四组,并将所有动物分到三组。模型组6只,生理盐水组6只,唑来膦酸治疗组10只。正常组由模型组10个正常髋关节组成。所有标本均于术后第四周采集。
创伤性ONFH的建立及唑来膦酸治疗组:22只大鼠腹腔注射2%戊巴比妥(0.3ml/100g)麻醉后,置于手术台上。大鼠被深度麻醉后对手术区域进行备皮。对皮肤消毒并用无菌手术巾覆盖。 从大转子中心大约2厘米长的地方做一个右髋关节外侧切口。分离肌肉,沿肌纤维方向牵拉,切开髋关节囊露出股骨头,髋关节脱位,用3-0缝线紧紧围绕股骨头底部切断圆韧带,左、右滑动5次,破坏股骨头供血。为了确保足够的唑来膦酸保留在股骨头中,用2毫升注射器的针头插入约0.2厘米长,给每只大鼠注射约100μL(4mg/5ml)唑来膦酸。手术过程中绕过坐骨神经,避免损伤,强化关节囊,保持髋关节周围肌肉的完整性,避免髋关节脱位。为防止感染,用生理盐水冲洗伤口,然后将切口分层缝合。所有大鼠醒来后,均活动自如,进食无异常。

图1、外伤性ONFH的建立过程和注射唑来膦酸的途径。

图2、将墨水注入正常股骨头以验证使用相同的方法唑来膦酸也可以成功应用。 B.在X射线下; C、注射墨汁后股骨头的冠状面。
创伤性ONFH的评估:手术后四周,将模型组的大鼠股骨从体内取出,并浸泡在10%中性甲醛钙中。 通过显微CT和H&E染色分析评价ONFH。
结果:创伤性ONFH模型成功与否的评估:由于感染,模型组的四个右股骨被排除。 Micro-CT和H&E染色是评估创伤性ONFH模型成功与否的有效方法。用这两种方法对模型组所有右股骨进行分析。显微CT表现为软骨下骨组织小梁连续性中断、紊乱,局部小梁稀疏、薄。此外,H&E染色结果也显示了ONFH的典型特征,其中出现了许多空腔。

图3、模型组H&E染色及micro-CT评价:(A)40倍放大下H&E染色股骨头冠状面图像。黑色箭头表示空腔,小梁紊乱,局部小梁稀疏、薄。(B) 股骨头冠状面显微CT扫描图像。白色箭头表示骨密度降低,多孔性增加,小梁连续性中断、紊乱和变薄。
显微CT分析结果:四个组的所有32个样品均进行micro-CT扫描。 比较四组中各组的结果后,唑来膦酸治疗组,NS组和模型组的BMD(B),Tb.Th(D)和BS / BV(F)值显著不同。

图4、四组显微CT图像形态计量学评价:(A=正常组)骨小梁致密、连续、增厚,排列整齐;(B=模型组),(C=生理盐水组)局部结构消失,股骨头其他部位骨小梁不连续、紊乱,变薄,股骨头坏死较其他各组严重;(D=唑来膦酸治疗组)同一部位的小梁较模型组和NS组致密、连续,但少于正常组。(NS=生理盐水)。

图5、四组三维重建结果:(A)唑来膦酸治疗组BV值与其他组比较无差异;(B)唑来膦酸治疗组BMD值与NS组和模型组比较无显著性差异(C)BV/TV在四组间无差异;(D)唑来膦酸治疗组的Tb.Th与其他三组相比有显著差异; (E)唑来膦酸治疗组与正常组之间的TbSp有显著差异; (F)唑来膦酸治疗组,NS组和模型组的BS / BV显著不同。
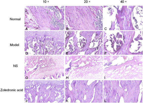
H&E染色,甲苯胺蓝染色,Masson染色和TRAP染色的结果:模型组观察到骨小梁的骨细胞死亡。在40倍、20倍和10倍镜下,模型组的H&E染色也显示出比正常组和唑来膦酸处理组更多的空腔。模型组小梁较其他两组稀疏、薄。甲苯胺蓝染色不仅可评价软骨组织,也可评价骨组织,甲苯胺蓝染色结果显示正常组和唑来膦酸治疗组的钙化软骨、软骨下骨板、软骨下小梁骨均优于模型组。Masson染色显示,正常组很少有代表未成熟骨组织和胶原蛋白的蓝色染色。 与正常组相比,模型组小梁骨中有大量蓝色染色的胶原蛋白。与模型组和NS组相比,唑来膦酸治疗组的未成熟骨组织面积显著减少(蓝色染色),组织大部分被染成红色。 唑来膦酸治疗组的蓝染胶原蛋白面积显著减少。TRAP染色显示正常组和唑来膦酸治疗组小梁表面破骨细胞数少于其他组(破骨细胞呈酒红色,细胞核呈蓝色)。

图6、3组不同放大倍数股骨头冠状面切片H&E染色分析:(A-C=正常组)小梁致密、连续、厚实,几乎未发现空腔或骨细胞死亡病例;(D-F=模型组,G-I=生理盐水组)小梁上可见骨细胞死亡,切片中空腔也较正常组和唑来膦酸治疗组多;(J-L=唑来膦酸治疗组)骨坏死明显少于模型组,空腔较正常组多。

图7、三组不同放大倍数的股骨头冠状平面切片的甲苯胺蓝染色分析:正常组和唑来膦酸治疗组的钙化软骨,软骨下骨板和软骨下小梁下骨优于其他组。
讨论:大量研究表明,ONFH的发生是由代谢紊乱、遗传因素、骨内高压、机械损伤、血管损伤等多种因素共同作用引起的股骨头供血中断。例如,许多患有自身免疫性疾病和酗酒的患者使用大剂量糖皮质激素与血脂变化密切相关,从而导致供应股骨头的血管血栓。创伤是另一种与ONFH相关的病因。这些病理过程导致骨细胞死亡,并最终破坏股骨头的结构。我们的研究仍然有局限性,因为我们没有确定用于治疗股骨头的唑来膦酸的确切剂量以及不同剂量和浓度的唑来膦酸的治疗效果。产生此结果的机制也应进一步研究。 在随后的研究中,我们将尝试量化唑来膦酸的治疗方法和治疗范围,并通过各种实验验证相关机制。
原文出自:https://www.sciencedirect.com/science/article/pii/S2214031X20300991



