摘要:外伤,韧带重建手术和出血性疾病(如血友病)会引起关节出血。关节腔内出血的复发可引起滑膜炎和氧化应激,导致关节软骨退行性变和关节病。关节固定是治疗伴有关节出血的关节骨折的常用方法。虽然关节出血对关节软骨有负面影响,但关于减少关节出血是否能有效预防关节软骨变性尚无共识。本研究旨在探讨关节出血联合关节固定对大鼠膝关节软骨退变的影响。方法:使用内固定器固定成年雄性大鼠的膝关节3天至8周。将大鼠随机分为以下几组:固定化血液注射(Im-B)组和固定化生理盐水注射(Im-NS)组。在两个区域(接触和非接触区域)评估软骨。评估软骨细胞计数、改良Mankin评分和软骨厚度。从两区软骨中提取总RNA,用实时定量聚合酶链反应检测MMP-8、MMP-13、IL-1β和TNF-α的表达。结果:与Im-NS组相比,Im-B组两个部位的软骨细胞数量均显著减少。Im-B组4~8周的改良Mankin评分仅在接触区显著高于Im-NS组。与Im-NS组相比,Im-B组在2至4周时MMP-8和MMP-13的表达以及在2至8周时TNF-α的表达显著升高,而IL-1β表达无显著性差异。结果表明,关节出血加重了固定引起的关节软骨退变。引流关节出血或避免负荷可能有助于防止关节固定出血时的软骨退变。
背景:关节出血常由外伤、大关节手术和出血性疾病引起,如血友病。关节反复出血对软骨退变有直接或间接的负面影响。出血导致关节腔内铁积聚,导致软骨附近自由基形成,导致软骨细胞凋亡和基质变形。此外,铁诱导新生血管和滑膜细胞过度增殖,随后的滑膜炎症导致关节病。尽管这种破坏性事件由于反复出血而变得更加严重,但它是由单次血液暴露引起的,这会导致持久的基质更新障碍和关节损伤进展。在血友病性关节炎中,充满铁血黄素的滑膜组织中会产生促炎性细胞因子,例如白介素(IL)-1β和肿瘤坏死因子(TNF)-α,这些细胞因子触发分解代谢程序,从而激活一氧化氮(NO)和基质 金属蛋白酶(MMP)的表达,骨关节炎和类风湿关节炎。这些细胞因子还会增加单核细胞和滑膜成纤维细胞对铁的摄取,加速滑膜炎的恶性循环。然而,诱导关节出血的方法,包括骨髓刺激,已经被证明是通过软骨再生治疗膝关节软骨缺损的有效方法。即使经过适当的治疗或手术,骨折或韧带损伤后偶尔也会发生创伤后骨关节炎。根据以往的研究,创伤和手术可引起关节软骨退行性变、炎症和滑膜细胞肥大,导致创伤后骨关节炎。此外,关节固定是创伤修复以维持休息或增强恢复的常见治疗方法,会引起关节软骨的退行性改变,并导致骨关节炎的发展。关节中的血液在48 h内迅速清除,无需关节固定。然而,一项研究报道了关节固定术中残留血液过多。关节固定可能会加剧血液对关节软骨的有害影响;尽管尚未对此进行研究。因此,在本研究中,我们研究了关节出血联合关节固定对大鼠关节软骨退变的影响。
动物:使用12周龄成熟雄性SD大鼠。本研究中使用的大鼠数量是根据先前的研究确定的。总共使用了108只大鼠(组织学和免疫组织学评估,n = 72;基因表达分析,n = 36)。大鼠腹腔注射戊巴比妥钠(50 mg/kg)麻醉,并用塑料板和两个金属螺钉将它们的单侧膝关节在150度屈曲处固定不同的时间。术后将大鼠随机分为固定化血液注射组(Im-B)和固定化生理盐水注射组(Im-NS)。Im-B组大鼠膝关节直接注射50μL尾静脉自体血。Im-NS组大鼠按同样方法给予等量生理盐水。
组织制备:根据先前的研究,准备样本进行评估。大鼠腹腔注射过量戊巴比妥钠安乐死后,用4%多聚甲醛(PFA)0.1μM磷酸盐缓冲盐水(PBS,pH值7.4)经主动脉灌注固定。随后,将膝关节周围的组织切除并在相同的固定剂中于4°C保持24h。固定标本在4℃,10%乙二胺四乙酸(EDTA)中脱钙2个月。用乙醇和二甲苯溶液脱水后,将标本包埋在石蜡中。在膝关节内侧髁状突区切取5μm矢状切面进行评价。
组织学评价:苏木精-伊红染色和藏红O染色分别评估股骨和胫骨接触区和非接触区的软骨退变、软骨细胞计数和软骨厚度(术后1天和3天,以及术后1周、2周、4周和8周;n= 6/每组)。采用改良Mankin组织学分级方案评估软骨退变。在预定视野内计数软骨细胞,软骨厚度是指软骨表面与骨软骨连接处之间的距离。滑膜炎(包括血管翳、滑膜增生和滑膜下炎症)采用滑膜评分系统进行评估。此外,Perls普鲁士蓝染色(术后2、4和8周)评估含铁血黄素沉积。
免疫组织化学:每个时期的切片都脱蜡并用0.3%的过氧化氢浸泡。以分化簇68(CD68)作为A型滑膜细胞的标志物。在室温下,溶于PBS中的3%H2O2灭活内源性过氧化物酶20分钟。载玻片与小鼠抗鼠CD68抗体在4°C下孵育24小时。以羊抗鼠CD68免疫球蛋白(IgG)为二抗,室温孵育30分钟。最后的检测步骤是使用在0.1 M imidazole和0.03%H2O2中的DAB作为显色剂。用卡拉奇苏木精进行复染。阴性对照以正常小鼠IgG为一抗。在关节间隙和滑膜后囊计数CD68阳性细胞。
基因表达分析:安乐死后,使用手术刀和骨钳获取股骨和胫骨接触区和非接触区的软骨。采集的软骨样品立即浸入1ml的QIAzol中。将样品压碎并用Polytron匀浆。提取总RNA,合成互补DNA(cDNA)。
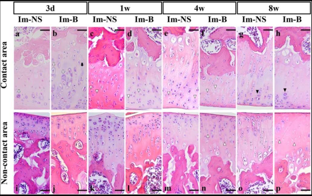
结果:组织学评价:苏木精和伊红染色的股骨软骨的组织学特征如图1所示。Im-B组和Im-NS组均出现关节软骨退变。固定后逐渐出现退行性变,接触区退行性变更为明显(图1a-h)。在固定和关节内给药后3天,观察到软骨细胞肿胀和切线区细胞消失,特别是在Im-B组(图1a和B)。1周时细胞层不规则(图1c和d)。在Im-B组细胞染色强度更严重,在4周时降低(图1e和f)。Im-B组在2周时观察到软骨表面不规则。细胞克隆和细胞丢失发生在第8周(图1g和h)。非接触区域的退化如图1(i-p)所示。尽管在接触区和非接触区观察到相似的细胞结构,但非接触区的软骨变性要比接触区轻。两组均在8周时观察到番红O染色强度降低,在Im-B组比在Im-NS组中更严重。Im-B组的Mankin评分在4周时股骨显著高于Im-NS组,在4周和8周时胫骨显著高于Im-NS组。非接触区无明显变化,Im-B组与Im-NS组间差异无显著性。与Im-NS组相比,Im-B组股骨接触区软骨细胞数在第3天和第8周明显减少,胫骨接触区软骨细胞数在第3天和第1周和第8周明显减少。在Im-B组的非接触区,3天和1周时的股骨和3天胫骨的软骨细胞数量显著减少。软骨厚度没有改变,接触区和非接触区的固定和关节内给药对软骨厚度没有影响。Im-B组滑膜炎评分在各个时期均略高于Im-NS组,但无显著性差异。

Perls普鲁士蓝染色评估铁沉积。注射血液可引起关节出血,但Im-NS组无铁沉积。Im-B组滑膜和半月板表面有铁沉积,持续到给药后8周。Im-B组和Im-NS组均可见CD68阳性细胞,主要分布于滑膜。Im-B组和Im-NS组CD68阳性细胞数分别在4周和8周时略有增加,但无显著性差异。
与Im-NS组相比,Im-B组2周股骨MMP-8、MMP-13及2周胫骨MMP-8的表达均显著升高。与Im-NS组相比,Im-B组股骨和胫骨MMP-8和MMP-13在2周时的表达均显著增加。IL-1β表达无显著性差异。2周时,Im-B组与Im-NS组相比,股骨接触区TNF-α表达显著增加。与Im-NS组相比,Im-B组在8周股骨非接触区和4周和8周胫骨非接触区的表达显著增加。
结论:关节出血加重了关节固定引起的软骨退变。引流关节出血或避免负荷可能有助于防止关节固定出血时的软骨退变。
原文出自:https://link.springer.com/article/10.1186/s12891-020-03795-0



