摘要:中风是世界范围内导致长期严重残疾的主要原因。中风后,内源性炎症过程立即上调,导致局部神经炎症和脑组织破坏加剧。最早在脑缺血后24小时触发先天性免疫反应,随后激活适应性免疫。这些免疫细胞共同产生许多炎症介质,即细胞因子、生长因子和趋化因子。研究检测了大鼠脑深部腔隙性梗死早期的免疫反应成分,与临床情况高度相关。向成年大鼠纹状体立体注射哇巴因诱导损伤。哇巴因(Ouabain)是一种Na / K ATPase泵抑制剂,可引起兴奋性毒性,并引起细胞代谢和结构变化,导致局灶性脑损伤。在脑损伤后的最初几天,我们发现梗死周围区域出现了大量的神经退行性改变。免疫组化分析显示早期小胶质细胞活化,免疫细胞逐渐浸润,同侧大脑半球CD4+和CD8+T淋巴细胞明显增多。结果发现,与正常大鼠相比,损伤脑中的促炎细胞因子(即白细胞介素-1α、白细胞介素-1β、肿瘤坏死因子-α和干扰素-γ)水平较高,而抗炎细胞因子(即白细胞介素-10和转化生长因子-β2)水平较低。与对照相比,局灶性脑损伤显示趋化因子,即单核细胞趋化蛋白-1和C-C基序趋化因子5的水平显著增加。
发现为我们的深部腔隙性脑梗塞模型的早期炎症反应提供了新的见解。这项研究的结果可能会突出针对卒中伴发的急性免疫反应的未来中风免疫疗法。

图形摘要介绍了注射哇巴因(Na/K-ATPase泵抑制剂)诱导大鼠深腔隙性脑梗塞后早期免疫反应的评估。研究表明,损伤大鼠大脑半球的组织学改变,促炎和抗炎细胞因子和趋化因子水平以及免疫细胞群的组成发生了显著变化。彩色点的数量代表了脑损伤后第3、5和9天各因子相对于对照的水平。免疫细胞数量的显著变化通过其图形等效物的倍增反映。
关键词:腔隙性梗塞 中风 神经再生 神经炎症 免疫反应
简介:突如其来的脑损伤导致损伤相关分子模式(DAMPs)的释放和随后局部免疫反应的激活。缺血性中风后,星形胶质细胞在短时间内被激活。它们改变形态,肿胀,增加钙离子信号,并改变其功能。小胶质细胞是另一种参与缺血性中风后主要反应的细胞。活化的星形胶质细胞和小胶质细胞产生促炎细胞因子,例如白介素-1和肿瘤坏死因子-α,趋化因子和金属蛋白酶,导致血脑屏障破坏(BBBD)和诱导脑内皮炎症改变,并进一步发展为脑中的神经组织损伤。BBBD促进白细胞从外周血渗入神经组织。缺血性脑卒中后脑内主要可见中性粒细胞、单核细胞、树突状细胞、T、B淋巴细胞和自然杀伤细胞。浸润细胞产生促炎细胞因子,例如肿瘤坏死因子-α,干扰素-γ,趋化因子和金属蛋白酶,导致神经细胞损伤和神经组织破坏的进展。然而,神经炎症并不等同于中枢神经系统的不良结果,先前的研究表明,损伤的脑组织中会产生新的神经元。缺血性卒中诱导内源性神经发生。不同的研究表明,缺血性中风的发作会诱导脑室下区域(SVZ)中的神经干细胞(NSC)增殖并促进NSC库扩展。此外,已证明成神经细胞可能从SVZ迁移到缺血性中风损害的区域,从而增强了神经发生的过程。内源性神经发生的过程涉及神经干细胞的成熟,从而导致新的神经元形成。此外,缺血性中风后观察到突触形成增强。采用脑实质内注射Na/katpase泵抑制剂哇巴因制备腔隙性脑梗死模型,提供了脑深部结构的损伤。泵的化学阻滞使大脑中的代谢和结构发生变化,从而模拟缺血性损伤。在腔隙性脑梗死早期观察病灶核心,观察局部免疫反应和脑损伤后神经发生的成分。
大鼠深部腔隙性脑梗塞模型的建立:在所有实验中使用大约7-8周龄(250 g体重)的成年雄性Wistar大鼠。 研究中总共使用了36只动物。动物自由采食和饮水。大鼠腹腔注射氯胺酮(53.6mg/kg)和美托咪定(0.4mg/kg)并置于立体定向装置中。局灶性脑损伤模型如前所述。在头骨上开一个孔,将针头与10μl注射器相连,放入右侧纹状体中。然后,使用微量输液泵以1μl/ min的速度将1μl的5 nmol哇巴因注射入大脑。注射后,拔出针头,并用缝合线缝合皮肤。 手术后,所有动物均用抗生素(0.4 mg / ml)和镇痛药(5 mg / ml)治疗。未遭受局灶性脑损伤的大鼠作为对照动物。
脑组织采集与制备:局灶性脑损伤后三天,五天和九天,通过腹膜内注射氯胺酮(53.6 mg / kg)和美托咪定(0.4 g / kg)深度麻醉大鼠,并断头。分离大脑,在干冰上冷冻,并储存在-70°C下。为了进行免疫组化分析,将大脑在低温恒温器上切割成25μm厚的冠状组织切片,放置在显微镜载玻片上,并在-80℃下冷冻。为了检测细胞因子的表达,在RIPA裂解缓冲液(20 mM Tris-HCl(pH=7.5)、150 mM NaCl、1 mM PMSF、0.05 Tween-20以及蛋白酶和磷酸酶抑制剂混合物中均化大脑。在4℃下,11500 rpm离心10分钟来澄清裂解物;收集上清液,在RIPA裂解缓冲液中再悬浮,并在-80℃下储存。
大鼠脑深部腔隙性梗死损伤的评价:注射哇巴因后进行苏木精-伊红(HE)染色以检测脑损伤。大鼠受伤后3、5、9天,腹腔注射氯胺酮(53.6mg/kg)和美托咪定(0.4g/kg),经心脏灌注磷酸盐缓冲液(PBS),然后用4%多聚甲醛(PFA)固定。取出大脑,用4%PFA固定后,在一系列乙醇中脱水,包埋在石蜡中,并切成3μm厚的组织切片。每组分析三只动物。
免疫组织化学:在25μm厚的冠状脑组织切片上进行免疫组化分析。组织切片在PBS中漂洗,然后在10%的山羊血清中,含有0.25%Triton X-100和0.1%牛血清白蛋白的PBS中孵育60分钟。;然后用PBS冲洗切片,并在4℃下与一抗孵育过夜。小鼠抗大鼠单克隆CD4(1:300),小鼠抗大鼠单克隆CD45(1:100),小鼠抗大鼠单克隆CD8(1:300),兔抗大鼠多克隆Doublecortin(1:800)小鼠抗大鼠单克隆ED1(1:100)和小鼠抗大鼠单克隆Nestin(1:200)。第二天,用PBS洗涤组织切片,加入与Alexa Fluor 488 nm偶联的二抗:山羊抗小鼠IgG1(1:500)、山羊抗小鼠IgG2a(1:500)或山羊抗兔IgG(H+L)(1:500)在室温黑暗条件下孵育60 min。随后用5μMHoechst 33258荧光染料标记细胞核。
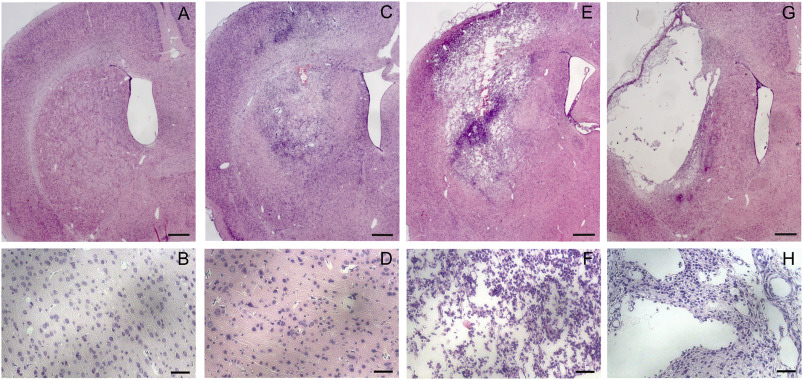
结果:大鼠脑深腔隙性脑梗死的评估:分别于哇巴因致脑梗死后3、5、9天行HE染色,观察病灶的面积和部位。OUA注射导致所有动物纹状体和皮层细胞结构的损伤。观察到神经元的进行性丢失和组织损伤。在对照动物中,观察到典型的大脑皮层和纹状体组织结构。腔隙性梗死后3天,细胞核数目增加。组织学改变的特点是神经元细胞核萎缩,胞浆嗜酸性。脑损伤后5天的HE染色切片显示坏死和空化,整个皮质层和背外侧纹状体水肿。腔隙性脑梗死的受损区域呈空泡状、海绵状,神经纤维稀疏。此外,脑组织损伤部位细胞增多,白细胞浸润。在受损纹状体内,白质束内也有浸润细胞。缺血性组织损伤后9天,所有动物微妙的结缔组织的弥漫性基质中都显示出不断增长的空腔区域。正常组织与异常组织界限清晰,早期未见组织坏死。平均梗塞面积为4.34 mm2,占所分析大脑区域的8.28%。综上所述,在注射哇巴因后的前9天内,观察到神经元的进行性丢失和组织损伤,导致大鼠脑腔隙性梗死损伤。

图1、哇巴因注射入大鼠纹状体后脑组织细胞结构的变化。对照动物(A-B)和局灶性脑损伤后的三(C-D),五(E-F)和九天(G-H)评估了脑组织的代表性形态学特征。HE染色表明哇巴因引起的局灶性脑损伤后3、5和9天进行性组织损伤。
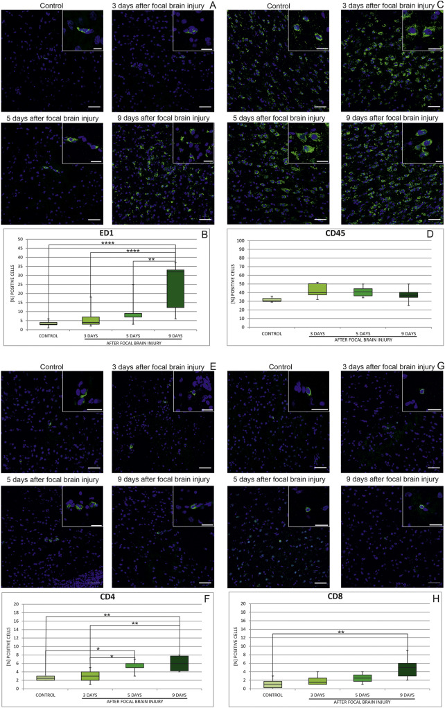
腔隙性脑梗死大鼠脑内免疫细胞的分析:在哇巴因致大鼠局灶性脑损伤后第3、5、9天,用免疫组织化学染色法检测损伤脑半球免疫细胞的数量。研究表明,哇巴因诱导的损伤后第9天,ED1+激活的阳性小胶质细胞数量显著增加。分析显示,在局灶性脑损伤后的任何时间点,白细胞CD45+的总数都没有明显变化。然而,哇巴因诱导后第5天的CD4+T淋巴细胞数量显著增加,第9天脑损伤后进一步升高。此外,局灶性脑损伤后第9天CD8+T淋巴细胞数量明显增多。结果表明腔隙性梗塞损伤后第9天,ED1 +小胶质细胞的增殖增加,CD4 + T淋巴细胞和CD8 + T淋巴细胞浸润。

图2、大鼠脑内炎症细胞类型的免疫学特征。对局灶性脑损伤后3、5、9d及对照组大鼠脑内ED1+(A-B)、CD45+(C-D)、CD4+(E-F)、CD8+(G-H)阳性细胞的定量分析表明,哇巴因诱导的局灶性脑损伤激活了同侧大脑半球的免疫细胞反应。
腔隙性脑梗死大鼠脑细胞因子和趋化因子的检测:深部腔隙性脑梗塞后多种促炎细胞因子浓度升高。研究表明,脑损伤后3天和9天,IL-1α水平升高。脑深部腔隙性梗死后IL-1β和IL-18的分泌增加,但仅在局灶性脑损伤后3d有统计学意义。哇巴因致脑损伤后三天和九天,TNF-α的水平显著升高。此外,局灶性脑损伤后第9天,IFN-γ的表达显著增加。同样,在脑损伤后9天,观察到TGF-β1表达增加。因此,腔隙性脑梗死损伤导致大鼠脑内促炎细胞因子释放增加。研究表明,深部脑损伤后抗炎细胞因子水平降低。脑损伤后3天、5天和9天,IL-10的表达减少。同样,哇巴因注射后每个时间点的TGF-β2水平都降低。因此,腔隙性脑梗死损伤导致大鼠脑内抗炎细胞因子的表达减少。根据我们的研究,许多趋化因子/生长因子在脑梗塞后增加。实验显示,脑损伤后3天、5天和9天,CCL-5水平升高。局灶性脑损伤后各时间点GM-CSF水平均明显升高。此外,CXCL-1和MCP-1(CCL-2)的表达也升高,但仅在注射哇巴因9天后才有统计学意义。因此,腔隙性脑梗死损伤激活了大鼠脑内某些趋化因子/生长因子的释放。综上所述,腹腔注射哇巴因可增强大鼠脑内的促炎性免疫反应。
大鼠腔隙性脑梗塞后神经发生的分析:研究表明,深部腔隙性脑梗塞后神经干细胞标志物Nestin表达升高,但无统计学意义。与对照组相比,哇巴因诱导后Nestin阳性细胞形态发生了变化,从伤后第3天的分枝状变为伤后第9天的纺锤状。实验显示,神经元迁移蛋白标记物DCX表达细胞在局灶性脑损伤后3天、5天和9天显著增加。发现表明,在观察的9天中,腔隙性梗塞损伤会刺激大鼠大脑中的神经发生。
结论:立体定向注射哇巴因(Na/K-ATPase泵抑制剂)诱导的大鼠脑组织结构损伤,在随后的9天观察中,病灶核心增加。同时伴有小胶质细胞活化和免疫细胞浸润,同侧大脑半球CD4+和CD8+T淋巴细胞明显增多。与正常大鼠相比,损伤脑内促炎细胞因子IL-1α、IL-1β、TNF-α和IFN-γ增加,而抗炎细胞因子IL-10和TGF-β2减少。与对照大鼠相比,伴随的局灶性脑损伤显示趋化因子即CCL-2,CCL-5和CXCL-1的水平显著增加。免疫组织化学分析显示在同侧纹状体和皮质中可见神经祖细胞和迁移的成神经细胞。发现为脑深部腔隙性梗死后早期炎症反应提供了新的认识。梗塞周围部位的局部炎症结果可能突显出利用免疫细胞亚群进行神经修复性干预的新治疗方法。
原文出自:https://www.sciencedirect.com/science/article/pii/S0014488620303629



