全氟及多氟烷基化合物(PFAS)是一类具有强C-F键的持久性有机污染物,凭借其优异的疏水疏油特性,广泛应用于防水处理、食品包装、消防泡沫及金属加工等领域。全球已生产超过4000种PFAS,其环境残留问题自21世纪初在野生动物和人体血液中被发现后持续引发关注。研究表明,PFAS暴露会引发甲状腺功能障碍、发育缺陷及代谢紊乱等毒性效应。随着长链PFAS(如全氟辛烷磺酸PFOS和全氟辛酸PFOA)的逐步淘汰,短链替代品(如全氟丁烷磺酸PFBS和全氟丁酸PFBA)被广泛使用。然而,这些短链PFAS因水溶性和稳定性增强,导致其环境持久性和长距离迁移能力显著提高,已在多种环境介质和生物体中频繁检出,并呈现生物累积和放大效应。
近日,水生所陈联国团队在Environ Sci Technol. 上发表题为“Effects of Chemical Speciation on Chronic Thyroid Toxicity of Representative Perfluoroalkyl Acids”的研究文章。该研究揭示了PFAS化学形态对慢性甲状腺内分泌干扰效应的显著影响。
毒理学研究表明,PFAS的毒性与其碳链长度和末端基团密切相关:长链PFAS通常比短链毒性更强,磺酸基PFAS较羧酸基毒性更高。前期研究发现,PFAS的化学形态(酸或盐)对其生物大分子亲和力、生物累积能力和胚胎发育毒性具有显著影响,为PFAS构效关系提供了新的见解,也为目前PFAS毒性数据不一致的问题提供了解释。但是,化学形态是否也会影响PFAS在环境浓度下的慢性毒性风险尚不明确。通过持续5个月的环境浓度(0.03和0.1 μM)斑马鱼长期暴露实验,旨在揭示和比较酸/盐形态的PFOA、PFBA和PFBS对亲代(F0)及子代(F1)下丘脑-垂体-甲状腺(HPT)轴的差异干扰效应;结合分子对接和生物膜层干涉技术BLI,监测PFAS的酸、盐形态与甲状腺受体(TRβ)的结合亲和力与稳定性,并通过体外细胞实验阐明经由TRβ介导的分子信号链条。相关研究结果发表在环境领域顶刊ES&T,并被选为副封面。

长期暴露实验发现,0.1 μM PFOA酸形态对斑马鱼亲代甲状腺激素水平影响最为显著,可导致雌雄斑马鱼血液中三碘甲腺原氨酸(T3)和甲状腺素(T4)含量显著降低。PFAS抑制强度依次为:PFOA酸>PFOA盐>PFBS酸>PFBS盐,而PFBA两种形态均未产生显著影响(图2A-F)。HPT轴关键基因表达谱分析显示,0.1μM PFOA酸暴露组在雌雄斑马鱼中均呈现独立的聚类,提示酸形态PFAS具有独特的甲状腺内分泌系统干扰分子作用模式(图2D和G)。

图2 环境浓度下PFAS酸/盐长期暴露对斑马鱼亲代HPT轴的干扰效应。(A)实验设计示意图。(B-D)雌鱼血清T3含量(B)、T4含量(C)及基因转录热图聚类分析(D)。(E-G)雄鱼血清T3含量(E)、T4含量(F)及基因转录热图聚类分析(G)。
亲本长期暴露后,子代96hpf仔鱼体内均检测到PFOA、PFBA和PFBS(图3A),其浓度排序为PFOA>PFBS>PFBA,与先前建立的构效关系一致。值得注意的是,PFAS酸形态较其盐形态在母体-子代转移中表现出更高的生物有效性(图3A),并在孵化率、死亡率、畸形率、体长、体重及心率等发育相关终点指标上均表现出更显著的毒性(图3B-G),说明PFAS酸对子代早期发育具有更高的潜在风险。此外,0.1 μM PFOA和PFBS酸暴露显著升高子代T4浓度(图3H),与亲代甲状腺功能减退症状呈现相反趋势,可能是子代对母体影响的代偿性反应。HPT轴关键基因转录谱分析表明,0.1 μM PFOA、PFBS和PFBA酸显著激活子代甲状腺激素合成、转运、代谢及正反馈调节通路相关基因,而盐形态的转录调节作用较弱(图3I)。上述结果表明,PFAS酸通过更强的母体转移能力和甲状腺内分泌干扰作用、对子代发育产生更显著的跨代毒性效应。

图3 环境浓度PFAS酸/盐母代暴露对斑马鱼子代发育及甲状腺功能的跨代毒性。(A)96 hpf子代仔鱼中PFAS蓄积量、(B)孵化率、(C)死亡率、(D)畸形率、(E)体长、(F)体重、(G)心率、(H)T4含量、(I)HPT轴关键基因转录聚类热图。
分子对接分析表明,相较于盐形态,PFAS酸通过末端基团氧原子与TRβ氨基酸残基形成氢键的能力更强(图4A-F)。其中,PFOA盐虽因长碳链结构展现出一定的TRβ结合潜力(图4B),但BLI结果显示PFOA酸(图4G)、PFOA盐(图4H)和PFBS酸(图4K)与TRβ的解离常数(KD)分别为0.13、3.6和8.4 mM,证实酸形态具有更高的TRβ结合亲和力。

图4 化学形态对PFAS与TRβ结合动力学的影响。(A-F)PFOA酸(A)、PFOA盐(B)、PFBA酸(C)、PFBA盐(D)、PFBS酸(E)和PFBS盐(F)与TRβ的对接构象图。(G-L)基于BLI的PFOA酸(G)、PFOA盐(H)、PFBA酸(I)、PFBA盐(J)、PFBS酸(K)和PFBS盐(L)与TRβ的结合动力学。
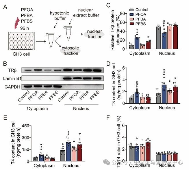
将GH3细胞暴露于250μM PFOA、PFBA或PFBS(该浓度为PFOA对GH3细胞的最大无观察效应浓度NOEC)后,通过核质分离技术分析TRβ及甲状腺激素的亚细胞分布(图5A)。Western blot结果显示,PFOA显著增加细胞质TRβ水平,同时降低核内TRβ水平(图5B-C),从而削弱TRβ对基因组靶基因的可及性和转录调控能力。与此相反,PFOA暴露显著提高细胞质和细胞核中T3、T4浓度(图5D-E),但未改变T3/T4比值(图5F)。PFBS暴露也增加细胞质TRβ水平(图5C)和核内T3、T4浓度(图5D-E),但其效应弱于PFOA。PFOA和PFBS对TRβ的拮抗作用可能阻碍TRβ-甲状腺激素反应元件结合,进而干扰下游代谢和信号通路。

图5 PFAS暴露对GH3细胞TRβ及甲状腺激素转位行为的影响。(A)GH3细胞核质分离实验流程图。(B)TRβ Western blot代表图像。(C)细胞质和细胞核TRβ蛋白水平定量分析。(D)T3含量、(E)T4含量及(F)T3/T4比值在细胞质和细胞核中的变化。
随后,我们通过CUT&Tag测序技术分析了PFAS暴露引起的TRβ结合靶基因图谱扰动,以建立TRβ介导的甲状腺内分泌干扰信号分子链条。结果表明,三种PFAS的上调和下调差异表达峰(DPs)主要富集于五条甲状腺内分泌相关KEGG通路(图6A)。PFBS暴露显著上调与甲状腺激素信号传导及甲状旁腺激素合成相关的DPs(图6B),证实PFBS是一种甲状腺内分泌干扰物。PFOA暴露则显著影响甲状腺激素代谢过程,下调ncoa1和rxra、上调tpo和dio2等基因表达(图6C)。韦恩图显示PFOA和PFBS均增强TRβ与mmp16启动子区域的结合(图6D和F),该基因对甲状腺细胞外基质重塑至关重要。基于Betweenness Centrality算法筛选的前15个甲状腺相关基因发现,三种PFAS通过改变TRβ与靶基因结合模式干扰甲状腺功能(图6G)。qPCR证实PFOA影响最显著,且与CUT&Tag数据高度一致(图6H),特别是当TRβ与mmp16、plcb1等基因的启动子区域结合时。

图6 PFAS暴露对TRβ基因组结合靶点及功能的干扰。(A)DPs富集的甲状腺相关KEGG通路,红色圆圈表示显著富集的通路。(B)PFBS组显著富集KEGG通路中上调DPs的网络图,椭圆代表DPs的邻近基因,颜色深度与log2(fold change)成正比。(C)PFOA和PFBS组显著富集的甲状腺相关GO术语基因弦图,颜色深度与log2(fold change)成正比。(D-F)PFOA(D)、PFBA(E)和 PFBS(F)组中甲状腺相关基因上调与下调的韦恩图。(G) 基于Betweenness Centrality算法对PFOA、PFBA和PFBS组中前15个甲状腺相关基因的排序,椭圆大小表示Betweenness得分,颜色深度与log2(fold change)成正比。(H)CUT&Tag与qPCR结果在三个组共有基因中的比较,黄色框表示在启动子元件中识别的DPs。
总之,酸形态较盐形态对亲代斑马鱼HPT轴干扰更显著,并通过母体转移在子代中引发更严重的胚胎发育障碍及甲状腺稳态失衡。通过分子对接及BLI技术证实,酸形态PFAS与TRβ亲和力更强。PFOA和PFBS通过抑制TR活性及阻碍TRβ与靶基因可及性产生拮抗作用;CUT&Tag测序进一步阐明PFAS与TRβ差异结合的靶基因谱,为甲状腺内分泌干扰的分子机制提供了基因组层面的证据。结合前期胚胎急性数据,环境浓度长期暴露实验进一步证实了PFAS化学形态依赖性的毒性风险。因此有必要厘清水环境中PFAS的主要赋存形态,并在毒理学研究、风险评估和政策制定过程中充分明确使用的PFAS化学形态,以开展更精准的化学品风险和使用管控。
水生所博士研究生李菁为论文第一作者,水生所陈联国研究员为通讯作者。该研究得到了国家重点研发计划(2022YFA0806602)、香港创新科技署等的资助。



