在一项新的研究中,来自中国香港大学和中国科学技术大学的研究人员报道源自Vδ2-T细胞的外泌体(下称Vδ2-T-Exos)可以有效控制爱泼斯坦-巴尔病毒(EBV)相关肿瘤,并诱导T细胞抗肿瘤免疫反应。针对Vδ2-T-Exos的这些突破性新发现为开发针对EBV相关肿瘤的新疗法提供了新见解。相关研究结果近期发表在Science Translational Medicine期刊上,论文标题为“Exosomes derived from Vδ2-T cells control Epstein-Barr virus–associated tumors and induce T cell antitumor immunity”。
EBV感染了约95%的人类人口,每年导致超过20万例癌症,约2%的癌症死亡是由于EBV引起的恶性肿瘤。EBV相关肿瘤包括伯基特淋巴瘤、霍奇金淋巴瘤、鼻咽癌、胃肿瘤及移植后淋巴增生病等。

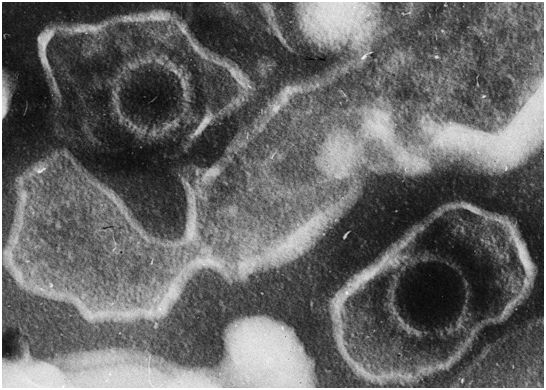
这是两个EBV病毒颗粒的电子显微图片,显示出被圆形衣壳包裹的遗传物质。图片来自PLoS Biology, 2005, doi:10.1371/journal.pbio.0030430。
目前对EBV相关肿瘤的治疗方案是有限的,存在相当多的不需要的脱靶毒性和对复发或难治性疾病的不完全疗效。Vδ2-T细胞类似于先天性T细胞,具有抗EBV相关肿瘤的抗肿瘤潜力。遗憾的是,由于一些癌症患者的Vδ2-T细胞难以扩增,它们的临床转化受到限制。外泌体是源于内体的细胞外小囊泡,介导细胞间的通信。与细胞治疗相比,无细胞外泌体具有更高的安全性、更容易储存、成本更低等优势。然而,Vδ2-T-Exos的抗肿瘤活性仍然未知。
在这项新的研究中,这些研究人员发现Vδ2-T-Exos含有死亡诱导配体(FasL和TRAIL)和免疫刺激分子(CD80、CD86、MHC-I和MHC-II)。Vδ2-T-Exos通过FasL和TRAIL途径靶向并有效地杀死EBV相关肿瘤细胞,并促进EBV抗原特异性CD4 T细胞和CD8 T细胞扩增。给予Vδ2-T-Exos可有效控制免疫缺陷小鼠和人源化小鼠中的EBV相关肿瘤。
由于在体外大规模扩增Vδ2-T细胞和大规模制备来自癌症患者的自体Vδ2-T-Exos具有挑战性,这些研究人员进一步探讨了异体Vδ2-T-Exos在人源化小鼠癌症模型中的抗肿瘤活性。有趣的是,他们发现,在人源化小鼠中,异体Vδ2-T-Exos比自体Vδ2-T-Exos具有更有效的抗肿瘤活性;异体Vδ2-T-Exos增加了T细胞对肿瘤组织的浸润,并诱导了更强大的CD4 T细胞和CD8 T细胞介导的抗肿瘤免疫反应。与由直接具有细胞毒性抗肿瘤活性的NK细胞产生的外泌体(下称NK-Exos)或由可诱导T细胞抗肿瘤反应的树突细胞产生的外泌体(下称DC-Exos)相比,Vδ2-T-Exos具有直接杀伤肿瘤细胞和间接诱导T细胞介导的抗肿瘤反应的双重抗肿瘤活性,从而更有效地控制EBV相关肿瘤。
论文通讯作者、香港大学香港大学李嘉诚医学院儿童与青少年医学系小儿免疫学教授教授Wenwei Tu博士说,“我们的研究首次提供了关于Vδ2-T-Exos对EBV相关肿瘤的抗肿瘤活性的证据。这些外泌体可以在多种小鼠模型中有效控制EBV相关癌症。更重要的是,异体Vδ2-T-Exos比自体Vδ2-T-Exos在控制EBV相关肿瘤方面有更高的治疗效果。因此,从健康供者中制备的Vδ2-T-Exos可能可以用于治疗EBV相关肿瘤患者,这对这一新型方法的临床应用非常有利。”
这些研究结果对癌症免疫治疗有重要意义。首先,Vδ2-T-Exos具有强大的免疫刺激特性,这表明它可能被设计成一种癌症疫苗,起着免疫佐剂的作用和递送免疫原。第二,Vδ2-T-Exos与其他外泌体疗法(如NK-Exos和DC-Exos)相比具有优势,显示出双重抗肿瘤活性,且制备更容易。第三,异体Vδ2-T-Exos比自体Vδ2-T-Exos具有更高的抗肿瘤疗效,这可以极大地提高Vδ2-T-Exos的临床可行性,这是因为异体外泌体的制备不需要个性化的程序,在质量控制、标准化和集中化方面更便于临床应用。
参考资料:
1.Xiwei Wang et al. Exosomes derived from Vδ2-T cells control Epstein-Barr virus–associated tumors and induce T cell antitumor immunity. Science Translational Medicine, 2020, doi:10.1126/scitranslmed.aaz3426.
2.A novel therapeutic approach against Epstein-Barr-virus-associated tumors
https://medicalxpress.com/news/2020-10-therapeutic-approach-epstein-barr-virus-associated-tumors.html



