摘要:香茅是治疗各种疾病的传统药物。其精油已被证明具有抗菌,抗真菌,抗原生动物,抗癌,抗炎和抗氧化等作用。研究了香茅挥发油的家兔的皮肤刺激性和小鼠的急性和亚急性毒性。使用GC-MS分析精油。 连续21天给予小鼠2000mg / kg体重的精油。每天观察记录小鼠的死亡率、行为改变、损伤及其他疾病体征。测定生化指标。处死后取肝脏和肾脏进行大体观察和组织学分析。将10%香茅挥发油软膏涂在家兔皮肤上,测定其皮肤刺激性。结果表明, 与对照组相比,体重、脏器和生化参数无显著性差异(p>0.05)。受试器官无组织病理学改变。10%香茅挥发油软膏不会引起皮肤刺激。通过对结果的分析,可以认为香茅挥发油是相对安全无毒的。

关键词:急性毒性 生化分析 香茅 组织病理学 皮肤刺激 亚急性毒性
简介:香茅(Cymbopogon citratus)基于其治疗潜力,用途广泛,包括抗菌,抗真菌,原生动物,抗癌,抗炎,抗氧化和心脏保护活性。这种植物已被用作芳香疗法,抑制血小板聚集,并治疗糖尿病,血脂异常,焦虑和肺炎。研究结果表明,并非所有的草药都是安全的。例如,研究表明,使用某些传统草药会产生腹泻和皮肤坏死等副作用。此外,对药用植物进行的毒理学研究数量有限,也引起了人们对其长期使用的潜在毒性影响的合理关注。本研究的总目的是评估香茅挥发油的家兔皮肤刺激性和小鼠急性和亚急性毒性。
方法:提取挥发油:将收集的样品避免阳光直射在室温下阴凉处风干,一周。 用蒸汽蒸馏法提取香茅的叶和茎3小时。获得的油呈淡黄色,体积质量分数为0.79%。通过添加无水硫酸钠将油从水中释放出来,并在6°C的密封小瓶中储存,直到使用。气相色谱-质谱分析:使用安捷伦5977A GC-MS系统进行GC-MS分析,该系统配备30 m HP-5毛细管柱,内径0.25 mm,膜厚0.25 m。软膏剂:制备10%(w/w)软膏用于皮肤刺激性试验,将10 g油加入90 g凡士林基中。物理参数包括均匀性和物理外观、粘度、挤出性和铺展性。
实验动物:瑞士白化小鼠(25–35 g)和新西兰雌性兔子(1.4–2.3 kg),饲养温度25 ± 2 °C,试验前适应5天。在驯化和研究期间,自由饮食和饮水。
兔皮肤刺激性试验:试验使用OECD指导方针进行的,几乎没有修改。试验前约24小时,剃去背部不同区域的毛,并在这三个部位涂抹500毫克的草药软膏。另一个未经处理的部位作为对照。在用药后24小时进行观察,并在用药后48小时、72小时、第7天和第15天重复观察。根据皮肤反应评分系统评估红斑和水肿。
小鼠急性毒性:实验前小鼠禁食8小时。 然后一只雌性小鼠以2000mg / kg体重的剂量口服香茅挥发油。两天后,对四只雌性小鼠口服相同剂量的药物,使治疗动物的数量增加到五只。第二组5只雌性小鼠(阴性对照组)给予等量生理盐水。在最初的4 h内对所有小鼠进行严格观察,前24 h定期观察,每天一次,共14天。在此期间,我们分析了与运动肌肉协调以及中枢和自主神经系统有关的活动。
小鼠亚急性毒性:将20只小鼠(10只雄性和10只雌性)随机分为两组,每组分别具有5只雌性和5只雄性小鼠。香茅挥发油治疗组每日1次,每次2000mg/kg体重,对照组口服生理盐水。在整个实验期间,观察动物的任何毒性反应。每周测量每笼的摄食量和所有小鼠的体重。从颈总动脉取血,实验结束时用戊巴比妥钠处死两个研究组的所有小鼠。分离血清,测定肌酐、碱性磷酸酶(ALP)、谷草转氨酶(GOT)、谷丙转氨酶(GPT)活性。使用迈瑞自动化学分析仪(中国)对血液化学进行了分析。 检查小鼠的肾脏和肝脏的总体病理变化,称重并保存在福尔马林中以进行组织病理学检查。
结果:兔皮肤刺激试验:皮肤刺激结果见表1。与对照组相比,研究期间没有任何明显的皮肤刺激(无水肿和红斑)和炎症. 去除供试品后1 h及以后,所有家兔的水肿和红斑评分均为“0”。
主要刺激指数(PII)= 0/3,PII = 0,基于PII的刺激类别可忽略不计。
敷药之前(A)和去除制剂(B)后1h的兔皮肤照片。
急性毒性试验结果:雌性小鼠口服2000mg / kg的香茅挥发油未观察到动物死亡和毒性反应。 因此,口服香茅挥发油的半数致死剂量(LD50)大于2000mg / kg。
亚急性毒性试验结果:一般观察(摄食量和体重):口服香茅挥发油,剂量为2000mg / kg,持续21天,所有实验动物均未产生毒性反应或死亡。小鼠对刺激反应灵敏,没有出现与局部或全身毒性有关的临床症状或死亡。与雌性治疗组(48.8±8.5%)和两个对照组相比,雄性治疗组的体重增加更高(70±7.9%)。同样,雄性治疗组的摄食量高于雌性治疗组(48.8±8.5%)和两个对照组。但差异无统计学意义。
香茅挥发油对器官相对重量及血清生化指标的影响:统计学上,治疗组和对照组之间的相对器官增重没有明显差异。同样,与对照组相比,亚急性给药并没有引起任何生化参数如肌酐,GOT,GPT和ALP的显著变化。然而,与对照组相比,雄性和雌性治疗组血清GOT活性较低,而GPT和ALP水平较高。
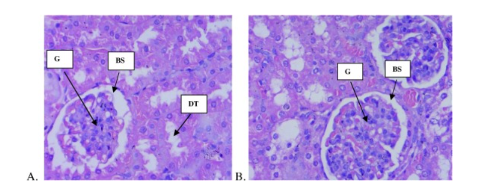
组织病理学:两组肝、肾组织病理学检查均未见病理改变。结果显示正常的肝细胞形态,正常的门静脉周围区域,没有坏死和炎症的迹象。 相应地,肾脏的所有切片均显示正常的肾小球结构和典型的肾小管间质实质,无血管坏死或透明质酸改变。
对照组和香茅挥发油处理动物的肝脏组织学(H&E,放大4倍)。(A) 对照组动物的肝脏切片显示正常的肝结构和肝细胞;(B)香茅挥发油(2000 mg/kg)处理动物的肝脏显示正常结构和肝细胞。CV =中央静脉,PT =门静脉,H =肝细胞。
对照组和香茅挥发油处理动物的肾脏组织学(放大40倍)。(A) 对照组动物肾脏切片显示肾小球大小正常,肾小管正常;(B)香茅挥发油(2000 mg/kg)处理组动物肾脏大小正常,肾小管正常。G = 肾小球,BS =鲍曼囊 DT = 远曲小管。
结论:目前的研究表明,口服2000 mg/kg剂量的香茅挥发油无急性和亚急性毒性。但是,还需要对该挥发油的慢性毒性进行研究,以评价其人类使用的安全性。
原文出自:https://www.sciencedirect.com/science/article/pii/S2214750019302525



