摘要:开角型青光眼是比格犬中报告的唯一类型的原发性青光眼。 该病例报告描述了比格犬的原发性闭角型青光眼及其诊断和预后相关性。
案例展示:
12岁,去势的雄性比格犬被送到密歇根州立大学(MSU)比较眼科服务中心,以评估可疑的视觉障碍。完整的左眼眼科检查显示:眼睑痉挛,无威胁反应,中度巩膜充血,轻度弥漫性角膜水肿,散瞳,星状玻璃样变,视神经头髓鞘化和杯状突起减少,视网膜血管轻度衰减。右眼(OD)检查在正常范围内。眼压(IOP)为24 mmHg OD和49 mmHg OS。前房角镜显示虹膜角狭窄,中度虹膜梳状韧带发育不良,4个象限内均可见广泛的梳状韧带(板状纤维)和固体薄片。DNA检测显示,该犬没有携带引起比格犬原发性开角型青光眼(POAG)的Gly661Arg-ADAMTS10突变。用0.005%拉坦前列素和2%盐酸多唑胺/0.5%盐酸噻吗洛尔滴眼液对OS进行药物治疗7个月,然后因眼压失控而摘除。组织病理学评价与前房角发育不全一致。在青光眼OS的最初诊断约14个月后,OD也发生青光眼并被摘除。病理组织学表现与前房角发育不全一致。
结论:据我们所知,这是首例在临床,遗传和组织病理学数据支持下的比格犬中伴有前房角发育不全的PACG病例。 它强调了角膜镜在比格犬青光眼检查中的重要性。有必要对更多的狗进行进一步的研究,以确定该品种PACG的临床表现和遗传特征。
背景:青光眼是一组以进行性轴索变性和视网膜神经节细胞死亡为特征的多因素疾病。所有动物的主要危险因素是眼压升高。根据可能的病因,犬青光眼可分为先天性、原发性或继发性。先天性青光眼在出生后的头几个月内发生。原发性青光眼是由房水引流通路固有缺陷引起,临床上没有发现并发的眼病。在继发性青光眼中,眼压升高与并发的眼病有关,如葡萄膜炎、肿瘤、晶状体脱位和外伤。怀疑原发性青光眼可在超过45个犬品种中遗传,并且根据虹膜角膜角(ICA),可分为开角型和狭窄/闭角型青光眼。青光眼影响了美国大约1%的比格犬。受影响的犬在疾病早期阶段有开放性ICAs,直到晚期青光眼。因此,beagle的原发性青光眼被归为原发性开角型青光眼(POAG)。比格犬中的POAG作为常染色体隐性遗传,据报道是由金属蛋白酶ADAMTS10基因的Gly661Arg错义突变引起的。在过去的40年中,尽管有许多关于Beagle犬POAG的临床表现,结构变化,遗传和病理生理的出版物,但据我们所知,尚无关于原发性闭角型青光眼的报道( PACG)。本病例报告描述了一例通过临床评估和组织病理学诊断的比格犬PACG伴前房角发育不全。
案例介绍:
在就诊时,进行了完整的眼科检查,包括神经眼科评估、泪液分泌试验、荧光素染色、眼压计、裂隙灯生物显微镜和双眼间接检眼镜检查。检查显示左眼(OS)是非视觉性的,尽管它确实有直接和一致的瞳孔反射(从左眼到右眼)。其他眼前节发现包括:中度巩膜充血,轻度弥漫性角膜浮肿和瞳孔散大。眼后段检查可见星状玻璃样变性,视神经头髓鞘化和杯状突起减少,视网膜血管轻度衰减。右眼检查(OD)在正常范围内。用回弹眼压计测得的眼压为24 mmHg OD和49 mmHg OS。临床发现与青光眼OS一致,因为缺乏可识别的其他眼部疾病,所以被认为是原发性的。OD进行角膜镜检查并用高分辨率眼科成像系统记录。CA OD狭窄,4个象限均有中度的梳状韧带发育不良(PLD),其特征是广泛的梳状韧带和固体薄片。由于角膜水肿,无法检查ICA OS。根据病程进展快和临床表现,包括OD的ICA异常,OS的最有可能诊断是PACG。DNA测试结果显示,狗没有携带ADAMTS10中的Gly661Arg错义突变,进一步支持了PACG的诊断。

12岁比格犬原发性闭角型青光眼(PACG)梳状韧带发育不良(PLD)。
第一次就诊时,滴入0.005%拉坦前列素滴眼液。30分钟后,眼压OS由49 mmHg降至21 mmHg。为了控制眼压,患者接受局部青光眼药物治疗,包括0.005%拉坦前列素眼药水(每12小时一滴)和2-0.5%盐酸噻吗洛尔滴眼液。根据前房角镜检查结果,为了延缓青光眼的发病,我们还用盐酸多唑胺马来酸噻吗洛尔滴眼液预防性地治疗了OD。
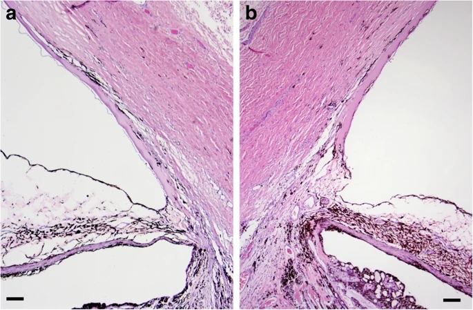
复查时,在初次出现后一周,OS眼压在13 mmHg OD和17 mmHg 正常,双眼可见微量水斑。OD威胁反应为阳性,但OS仍为阴性。继续进行推荐的青光眼药物以相同的剂量和频率使用,并由推荐的兽医(rDVM)定期进行IOP复查。眼压得到了很好的控制,直到最初出现后大约三个月,rDVM测量OS眼压为32 mmHg,OD为8 mmHg。此时,0.005%拉坦前列素滴眼液滴眼频率每8小时增加一次。在初次出现后大约6个月,又出现了一次眼压峰值,达到52 mmHg;OD眼压为20mmHg。由于OS不再对局部药物有反应,rDVM将OS摘除,控制长期疼痛。病理组织学表现与慢性青光眼伴前房角发育不全一致。从虹膜底部到后弹力膜的终末树状结构有一条宽的、无穿孔的、片状的葡萄膜基质桥接带,这与前房角镜所见一致。睫状裂塌陷,在很大程度上小梁网不可见,并且角膜巩膜小梁网由于疏松的纤维化而轻度重塑。此外,视网膜内色素轻度弥散,视网膜内萎缩伴视锥神经节细胞丢失,节段性全层视网膜萎缩,节段性视网膜脱离,明显的视盘杯状变稀,轻度胶质增生,视神经头萎缩筛板后移位,轻度角膜水肿。通过眼科检查,角膜镜检查,基因检测和组织病理学评估,确诊OD为PLD和OS为PACG伴前房角发育不全。

双眼ICA的组织病理学表现与前房角发育不全一致。a、OS从虹膜底部到后弹力膜的终末树状结构有一条宽的、无穿孔的、片状的葡萄膜基质桥接带。B、 OD:结果与OS(a)相当,加入一层虹膜前纤维血管膜(PIFM)可导致后粘连、轻度淋巴浆细胞性前葡萄膜炎和轻度角膜新生血管。

在接下来的MSU-VMC眼科检查中,首次检查眼压7个月后,OD眼压为13mmHg 。可见少量的房水闪辉和轻度色素沉积,提示持续性轻度葡萄膜炎。持续盐酸多唑胺-马来酸噻吗洛尔滴眼液(右眼,每12小时一滴)滴眼,局部使用非甾体抗炎药,0.1%双氯芬酸滴眼液。从最初诊断青光眼开始大约14个月,OD发展到青光眼的急性充血期,由MSU-VMC急诊和重症监护服务诊断为失明。决定摘除眼睛。组织病理学发现OD与前房角发育不全一致,并且与OS中发现的结果相似,增加了虹膜前纤维血管膜(PIFM),导致后粘连、轻度淋巴浆细胞性前葡萄膜炎和轻度角膜新生血管。无视网膜脱落。
讨论与结论:
角膜镜检查是评价虹膜角和诊断PLD的重要活体检查方法。虽然PLD本身可能在PACG的发病机制中不起重要作用,但它是睫状裂和小梁网变化的标志。虽然PLD是青光眼的潜在诱因,但它对未来青光眼的发展并不是诊断性或证实性的。尽管有这个局限性,但角膜镜检查对犬青光眼仍有很大的诊断价值。当只有一只眼睛受到青光眼的影响时,在大多数情况下,另一只眼睛的角膜镜检查有助于区分原发性青光眼和继发性青光眼,因为犬最常见的原发性青光眼是闭角型青光眼。POAG和PACG有不同的病程和治疗反应。在一只9个月大的实验比格犬身上发现了一种早期的前房角发育不全。根据先前的报告,双眼呈绿色,因此怀疑眼压升高。但是,由于缺少IOP数据或对视觉性能的描述,因此很难解释此案例报告。该报告还描述了眼前房,虹膜有轻微圆锥形突出,提示虹膜和晶状体前移是可能导致ICA狭窄的原因,ICA狭窄可能导致IOP升高。虹膜和晶状体向前移位的可能原因包括视网膜脱离,玻璃体体积增加和晶状体脱位。晶状体半脱位和视网膜脱离可能是犬继发性青光眼的原因。
事实上,原发性晶状体脱位伴带状韧带发育不良是犬POAG常见的临床表现,通常在临床POAG发病前就很明显。近年来,有人提出了ADAMTS10突变的犬POAG和ADAMTS17突变的犬原发晶状体脱位之间的紧密/重叠关系,因为这两个基因在微纤维的形成中起着重要作用。前房角发育不全的组织学特征是从虹膜基部到后弹力膜末端有一层类似虹膜的葡萄膜基质。随着急性充血期眼压的升高,睫状裂在1-5天内塌陷,葡萄膜基质位于塌陷睫状裂的前方,这与本病例的组织病理学结果一致。该犬双眼有轻度前葡萄膜炎。组织病理学显示慢性症状,轻度淋巴浆细胞性前葡萄膜炎以及PIFM的形成。葡萄膜炎的可能病因包括但不限于感染、免疫介导、代谢和肿瘤,这些都可能导致继发性青光眼的发生。然而,在患有PACG的犬和人中,葡萄膜炎的并发症状也有报道,这归因于眼压相关的眼前段缺血。很可能房水中存在血管内皮生长因子,虹膜中的VEGF受体1和2参与了犬PACG中PIFM的形成。使用中度频率的拉坦前列素(一种前列腺素类似物)也可能导致葡萄膜炎的发展。根据这些观察结果,提示并非葡萄膜炎眼中的所有青光眼都是继发性的。据我们所知,这是首例在临床,遗传和组织病理学数据支持下的比格犬中伴有前房角发育不全的PACG病例。 它强调了角膜镜在比格犬青光眼检查中的重要性。有必要对更多的狗进行进一步的研究,以确定该品种PACG的临床表现和遗传特征。
原文出自:https://link.springer.com/article/10.1186/s12917-019-1812-1



