在上期的推文中,我们重点介绍了无胸腺裸鼠(Nude Mouse,简称裸鼠)的品系特点及其在肿瘤学免疫领域中的应用。
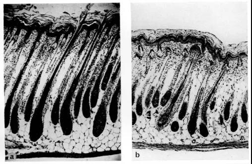
1966年,南加利福尼亚大学的Flanagan SP.在Genet Res.发表了一篇名为“'Nude', a new hairless gene with pleiotropic effects in the mouse.”的文章(图一),新世界的大门正式向人类打开。

图一:左图为正常小鼠6天大时背部皮肤纵向切片,显示毛囊有完全角化的毛发;右图为6日龄裸鼠皮肤切片显示毛囊有不正常的角化毛发,在真皮上部弯曲。(参考文献: Flanagan, S. P., Genetical Research, 1966.)
具有完整免疫系统的小鼠通过强大的先天性和适应性免疫反应迅速清除外来移植的人源细胞,包括肿瘤细胞和免疫细胞。因此只有用通过免疫缺陷的小鼠品系作为人类细胞或组织异种移植的受体,才能在小鼠中维持移植的异源细胞,我们称此类成功移植人类细胞的小鼠为“人源化小鼠”。
值得注意的是,免疫缺陷小鼠品系颇为复杂。部分原因是与免疫功能相关的特定基因在某些情况下已经以不同的方式被破坏,导致不同基因型的小鼠表现出相似的表型。在已经建立的免疫缺陷小鼠品系基础上的杂交或基因改造也增加了免疫缺陷品系的多样性。下面,小编带你看一看免疫缺陷小鼠的“发家史”。

图2. 人类历史上免疫缺陷小鼠品系研发与在人源化小鼠应用中的重大事件。(参考文献:Matthew D. Marsden et al., Virology, 2015. )
免疫缺陷鼠发展史简述
裸鼠,1966年被首次报道,由编码叉头蛋白N1(Foxn1)的基因突变导致毛发生长异常和胸腺基质发育缺陷,导致其不会产生成熟CD4+和CD8+ T细胞;同时由于缺乏与T细胞的密切接触,裸鼠B细胞的发育也受到严重影响1。大量研究证实裸鼠移植人源肿瘤细胞后成瘤效果显著。但是,其体内残留的一些有功能的免疫细胞限制了其进一步应用。
1983年,Bosma, G.C.等人发现了一种重度联合免疫缺陷(severe combined immunodeficient, scid)的CB17鼠。这种鼠自发编码DNA激活蛋白激酶催化亚基肽基因(protein kinase, DNA activated, catalytic polypeptide gene, Prkdcscid)突变,T细胞和B细胞受体基因重排过程中的关键DNA修复酶失活,最终致使SCID鼠体内缺乏有功能的T细胞和B细胞(图3)。
那么这种鼠是否也可以用于人体原代细胞和组织的长期移植呢?对此科学家持保留意见,因为年纪稍大的SCID鼠体内会代偿性地出现有功能的T细胞和B细胞(我们称之为泄露,leakiness)。虽然SCID小鼠的DNA修复缺陷也导致其对放疗和某些化疗药物的敏感性高于其他品系,但其体内保留的有功能的先天免疫系统,比如功能正常的NK细胞也对不利于人源细胞的长期定植2。

图3. DNA repair proteins involved in V(D)J重排过程中参与的DNA修复蛋白。Rag1和Rag2都是TCR和Ig基因重组所必需的,任一基因缺失都会导致RSS区域(Recombination Signal Sequence)无法被识别和切割,导致T细胞和B细胞无法正常分化。Rag蛋白识别V末端12bp spacer和J前端23bp spacer并先和二者之一结合,然后再cohesin圆环的帮助下,再和另外一端接触实现切割。Prkdc(protein kinase, DNA-activated, catalytic polypeptide)基因主要编码DNA依赖性蛋白激酶(DNA-PK)的催化亚基,是参与双链DNA断裂修复、免疫球蛋白和T细胞受体可变(V)、多样性(D)、连接(J)区段重组的重要基因。SCID纯合突变位于DNA修复复合蛋白Prkdc,使TCR和血清免疫球蛋白Ig基因不能重排,同样导致小鼠T、B细胞功能缺失。(参考文献:Morio, T., Int J Hematol, 2017)
1995年,Shultz团队解决了这一困扰Bosma, G.C.多年的难题,他们将SCID鼠与非肥胖的糖尿病(non-obese diabetic, NOD)背景鼠杂交,制作出了如今大名鼎鼎的NOD-scid 品系,这一品系不仅保留了SCID鼠T细胞和B细胞缺失的特点,其先天免疫功能包括补体系统和NK细胞的活性也得到了显著的降低。值得一提的是,T细胞和B细胞受体重排还需要重组激活基因1(Rag 1)和Rag 2蛋白的作用,针对性破坏Rag 1或Rag 2也会导致小鼠不产生成熟的T细胞或B细胞,并且比scid 品系具有更高的抗辐射性。
那么在NOD背景鼠上敲除RAG基因会产生什么效果呢?与NOD-scid 小鼠相似,这些Rag基因敲除小鼠品系的确缺乏适应性免疫反应,但仍具有较强的先天免疫反应,阻碍了人类细胞的长期和系统性的重建3。
1995-1999的短暂四年间,Cao, X.和Jacobs, H.等不同实验室团队先后报道:只有靶向破坏编码白介素-2(IL-2)受体的gamma链(Il2rg or γc)才能使在免疫缺陷鼠上持续、系统地重建人类细胞变成可能。此gamma链被IL-2,IL-4,IL-7,IL-9,IL-15和IL-21受体共用,其中最重要的是IL-15信号通路,此gamma链的缺失破坏了NK细胞的发育,有效地抑制了小鼠的先天免疫和适应性免疫功能4。
自此,重度免疫缺陷小鼠飞速发展。世界上用于人源化实验平台最常见的小鼠品系是美国Jackson Lab在2007年研究出的NOD.Cg-Prkdcscid Il2rgtm1Wjl (NSG)和日本CIEA(Central Institute for Experimental Animals)在2000年研发的NODShi.Cg-Prkdcscid Il2rgtm1Sug (NOG)。它们是全球免疫缺陷程度最高的小鼠品系,拥有不健全的先天免疫,完全缺乏有功能的T、B和NK细胞5。
故事讲到这,就完了么?
才刚开始!
早期,中国学者在免疫缺陷鼠应用研究中不得不从国外进口NSG或NOG,昂贵的运费和较长的周期使很多青年学者望而却步。
2014年,集萃药康核心团队成员在NOD/Nju背景鼠上用CRISPR/Cas9技术进行连续的Prkdc和Il2rg位点敲除,研发了具有自主知识产权的NOD-Prkdcem26Cd52 Il2rg em26Cd22 /NjuCrl (NCG)品系,旨在用最低的成本服务中国的科研和工业。
NOD/Nju的Sirpa的 (SIRPα)基因带有一个突变位点,有利于外源造血干细胞的移植。Prkdc敲除产生与SCID类似的表型,该小鼠有功能的T细胞和B细胞完全缺失。Il2rg 基因的敲除导致NK发育受阻,进一步加重了SCID样的表型(图4)。中国自研的NCG小鼠在2016年得到了Charles River的认可,在北美市场开启了绿灯。

图4. 不同品系免疫缺陷小鼠的免疫细胞分群对比
接下来,重度免疫缺陷小鼠可以用来研究哪些科学问题呢?
· 造血及免疫系统研究(细胞亚群,细胞因子);
· 感染性疾病机制研究及治疗策略等(HIV病毒、EB 病毒);
· 肿瘤的免疫疗法(人源化抗体、CDX、PDX);
· CAR-T评价;
· GvHD评价体系等。
下面我们就以NCG小鼠为例,为读者做详尽的应用案例展示。
首先,我们对比了NCG、NOD与NOD-scid 品系脾脏中的免疫细胞分布,发现NCG确实是完全缺失T、B、NK细胞和成熟的B淋巴细胞(图5)。

上图数据证明NCG确实比NOD-scid 小鼠免疫缺陷程度更重,除了T、B细胞缺陷外,NCG小鼠的NK细胞比例几乎为0。
接下来需要验证NCG小鼠是否支持活体难以成瘤的肿瘤细胞系(Cell-line-derived xenograft)的成瘤、病人肿瘤样本移植后的成瘤、人外周血单核细胞(Human peripheral blood mononuclear cells, hPBMCs)重建和GvHD反应等模型的建立。
在CDX模型成瘤性测试中,我们在NCG鼠上分别接种K56和BT474等人类髓性白血病淋巴母细胞和乳腺癌细胞(图6),结果表明这些肿瘤细胞系在NCG小鼠上均有较好的成瘤率。表1是集萃药康建立的CDX肿瘤细胞系资源库,几乎涵盖了所有肿瘤的类型。


表1. 江苏集萃药康CDX细胞资源库(不单独对外提供;* 已完成成瘤性测试)
肿瘤细胞系经长期体外培养(尤其是传代大于10代)后,其基因谱表达水平和代谢水平和最原始的肿瘤已存在较大差异。且CDX模型建立的瘤体和真实肿瘤差异巨大,无法体现后者的异质性,且二者肿瘤微环境、血管构造也不同,致使CDX模型鉴定有效的药物仅有很小的概率(约三分之一)在临床前试验中发挥作用。
而PDX是把病人肿瘤样本直接皮下或原位移植到免疫缺陷小鼠体内而建立的肿瘤模型,在不传代和改变其遗传性状的前提下较好地保护了肿瘤间质细胞、干细胞和肿瘤微环境成分,较真实地在小鼠体内重现肿瘤的性状和特质。集萃药康也在NCG鼠上成功建立了胃癌和骨肉瘤的PDX模型(图7)。

图7. NCG小鼠体内建立胃癌和骨肉瘤的PDX模型。右上红色方框标记的是胃癌的腺管,右下红色箭头标记的骨肉瘤的分裂相。
我们也尝试将NCG小鼠用于CAR-T评价(图8)。在经典血液瘤细胞系Nalm6中稳转荧光素酶报告基因luciferase用于活体成像(SI AmX1),在给小鼠注射了CAR-T细胞后肿瘤细胞的生长受到了显著的抑制。目前,我们已经建立了最常用的肿瘤-荧光素酶细胞系库用于活体成像(图8左),以满足更多科研工作者和客户的需求。

图8. 用于CAR-T测试的荧光素酶标记的癌细胞库和活体数据展示。
重度免疫缺陷小鼠还有一个重要的应用方向——免疫系统人源化。最简单的免疫重建的方法是从健康志愿者(Donor)血液中分离外周血单核细胞(Human peripheral blood mononuclear cells, hPBMCs)注射到NCG小鼠的体内。
集萃药康拥有经过筛选、稳定来源的Donor bank,筛选标准是在NCG模型中免疫重建水平适中,存活周期相对长的小鼠用于后续的药效服务,大部分小鼠存活期可以长达5-7周,可以满足一般药效需求。我们检测了hPBMC重建后的NCG小鼠外周血中hCD3+/hCD45+细胞的比例和骨髓中hCD45+细胞的比例,发现重建出的hCD45+ T细胞主要存在于外周血中,且保持较高比例(图9左)。在免疫重建的同时,给小鼠接种MDA-MB-231人乳腺癌细胞系后,再给与PD-L1单抗阿替利珠单抗(Tecentriq)以检测重建后的人T细胞是否具备杀伤性(图9右)。接近50%的TGI数据表明:在NCG小鼠体内用hPBMC重建后的T细胞完全具备杀伤肿瘤的能力。

图9. NCG-hPBMC重建效率的检测和T细胞杀伤性测试。
但hPBMC重建存在小鼠存活周期相对较短的问题,意味着给药窗口期也相对较短(图9)。重建后的淋巴T细胞可以识别宿主抗原,从而对受体小鼠的组织细胞进行攻击,也就是通常所指的移植物抗宿主病(graft versus host reaction, GvHD)。

图9. NCG小鼠注射hPBMC后的体重和生存曲线(数据来源Charles River)
相比之下,用hCD34+ HSC在NCG鼠上做免疫重建会很大程度降低GvHD,延长给药窗口期。且NCG-huHSC小鼠建模成功的标准为注射HSC 8-16周后hCD45+在外周血中的比例≥20%(图10,左)。在人源化小鼠的药效评价实验中,用PD-1抗体Opdivo可以显著抑制U87肿瘤细胞的生长,证明hCD34+ HSC在NCG鼠体内成功重建出有功能的T细胞。

图10. NCG-huHSC重建效果鉴定
上文我们介绍了NCG小鼠的发展历史和应用。然而即使是重度免疫缺陷鼠,它的应用也不是完美的,比如注射hPBMC后容易发生GvHD,免疫重建后的细胞类群主要以人T细胞为主,无法支持NK细胞、髓系细胞的发育等等。
对此,我们是否就束手无策了呢?敬请期待下期内容,答案为你揭晓!
参考文献
1 Flanagan, S. P. 'Nude', a new hairless gene with pleiotropic effects in the mouse. Genetical research 8, 295-309, doi:10.1017/s0016672300010168 (1966).
2 Pearson, T., Greiner, D. L. & Shultz, L. D. Creation of "humanized" mice to study human immunity. Curr Protoc Immunol Chapter 15, Unit 15 21, doi:10.1002/0471142735.im1521s81 (2008).
3 Shultz, L. D. et al. Multiple defects in innate and adaptive immunologic function in NOD/LtSz-scid mice. Journal of immunology (Baltimore, Md. : 1950) 154, 180-191 (1995).
4 Kennedy, M. K. et al. Reversible defects in natural killer and memory CD8 T cell lineages in interleukin 15-deficient mice. The Journal of experimental medicine 191, 771-780, doi:10.1084/jem.191.5.771 (2000).
5 Ito, R., Takahashi, T., Katano, I. & Ito, M. Current advances in humanized mouse models. Cellular & molecular immunology 9, 208-214, doi:10.1038/cmi.2012.2 (2012).



