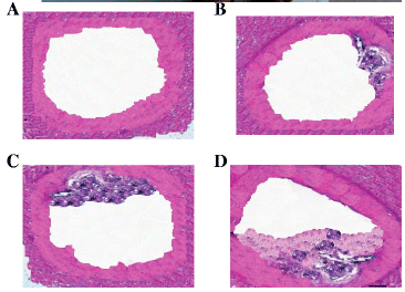
摘要:该研究的目的是使用一个5兆赫,矩形传感器(3×10 mm2),去除模型体内动脉粥样硬化斑块。该方法在未来可用于治疗人类动脉粥样硬化斑块。方法:用高胆固醇饮食喂养家兔4个月。斑块清除数量作为清除功能强弱指标,有一个固定的脉冲重复频率(PRF)和占空因数(DF)。结论:斑块去除量与声强直接相关。结果发现,气泡的存在加速了斑块的去除。为了确保使用纯机械模式超声波,所使用的强度不会产生超过1°C的温度.关键词:超声 动脉粥样硬化 斑块 脉冲简介:动脉粥样硬化是脂肪物质沿着动脉壁聚集的一种状态.。这种脂肪物质增厚,最终可能阻塞动脉。斑块是由明显的形态特征,包括纤维帽由平滑肌细胞、纤维组织、和含脂肪的巨噬细胞和细胞外脂质的脂质核心。在高级阶段,动脉粥样硬化斑块中含有大量的钙盐,这显着增加了斑块的机械性能。组织学的研究也使人们认识到斑块结构影响斑块破裂的风险.。具体来说,带有薄纤维帽和大脂质芯的斑块更容易破裂.生活方式的改变,如饮食健康和锻炼,往往是治疗动脉粥样硬化的最好方法。但有时,也推荐药物或外科手术。动脉粥样硬化的治疗可能需要特殊的外科手术,如球囊血管成形术。球囊血管成形术和支架置入术、切割球囊、旋切术、外科搭桥,打开动脉,改善血液流动。对颈动脉内膜剥脱术是主要的治疗方法。近年来,超声治疗在医院得到了广泛的应用。材料和方法:实验装置:图一显示了超声波系统的原理图。该装置分为两个子系统:(1)超声产生,(2)被动空化检测(水听器监测气蚀活性),一个5.3-mhz正弦输入的函数发生器。电气信号通过射频放大器放大,然后通过专门为这个特殊的传感器设计阻抗匹配网络。图二显示换能器与兔颈动脉的耦合。换能器的有效尺寸为3×10 mm2。传感器材料是p762型PZT压电陶瓷与空气的支持,在5.3兆赫运行。图2a显示传感器支架制造采用丙烯腈-丁二烯-苯乙烯共聚物(ABS)。采用计算机辅助设计(CAD)软件设计了机器人的ABS零件。这个结构包含传感器冷却和互感器接线两个入口。文件被发送到3D打印机生产。该结构包含两个用于冷却传感器的入口和两个传感器接线口。图2B显示了传感器支架的图纸,指示进水口和接线口。图2C显示了塑料外壳内传感器的最终组件。因为在未来的临床试验中,传感器将被纳入导管,其将被放置在动脉(1 - 3毫米宽)内,传感器元件必须尽可能紧凑。由于导管会插入体内,治疗后导管会被破坏。采用声平衡技术,施放器的电声效率测定(5.3兆赫时55%)。传感器的外表面通过连续脱气水循环器冷却。水冷却回路保持在15°C。超声参数:估计空间平均脉冲(SAPA)强度,通过功率除以传感器的表面积。PRF使用100赫兹。占空因数从10%变化到40%。超声持续时间为5分钟,因为超声气泡注入兔循环系统持续时间为5分钟。连续使用几个5分钟来有效去除所有斑块。空腔检测:使用水诊器监测的空化活性。从水诊器的信号被馈送到一个定制的放大器(×20放大),并使用自定义滤波器进行高通滤波。使用基于PC的接口能获得声发射信号的快速傅立叶变换(FFT)谱。水诊器垂直对准样品。动物和饮食:实验期间用17只新西兰兔(3.8 - 4公斤)。将家兔随机分为两组。A组动物(n = 2)饲喂正常饲料。B组(n = 15)喂饲2%高胆固醇饮食。B组十二只(12)处死,不作任何处理。这些兔子分别在第一个月(n = 3)次月(n = 3),第三个月(N=3),和第四个月(N = 3)被处死用于评价动脉粥样硬化。三只兔(n = 3)使用超声微泡治疗。动物通过高脂饮食后最多4个月被处死,因为严重的副作用出现(高胆固醇血的副作用,如体重减轻、食欲减退、黄疸)。体内试验:家兔用500毫克氯胺酮(100毫克/毫升),160毫克甲苯噻嗪(20毫克/毫升)和乙酰丙嗪20毫克(10毫克/毫升),剂量为1毫升/公斤来进行麻醉。统计分析:统计分析采用SIMA软件。配对t检验分析比较胆固醇不高情况下的管腔面积减少。使用线性回归分析与95%置信区间进行相关性分析。评估超声强度对斑块缩小程度影响时使用相同的分析。超声气泡:超声应用前,将超声造影剂通过耳静脉注射,剂量0.02毫升/公斤。苏木精-伊红染色(ΗΕ染色):实验结束时兔用60 mL磷酸盐缓冲生理盐水和4%多聚甲醛120毫升灌注法进行安乐死。动脉然后浸泡在多聚甲醛24 H. 石蜡切片用苏木精-伊红染色,进行切片,厚度为10μm,进行组织学检查。超声成像:在使用12 MHz探头进行超声治疗时,使用一种超声波系统来监测斑块去除。温度测量:数据采集板用于测量动脉内的温度。欧米茄(欧米茄m2813-1205, CT,美国)电压-温度转换器使用MATLAB编写的软件来测量温度。一个热电偶被放置在颈动脉处传感器表面测量温度的升高,因为在该点能达到最高温度。热电偶的尺寸选择为50μm,与超声束的相互作用达到最小化。结果:图3,兔主动脉的HE染色显示动脉内斑块的生长:a)0个月,B)1个月,C)2个月,和D)3个月。为了获得一个特定的兔组织学,对动物进行安乐死。图3的照片取自不同的兔子。在这项研究中,所有三只兔子是相同的年龄和重量(尽可能)。表一组织学显示管腔面积的减少,三个动脉(主动脉、腹部和颈动脉)原始大小的百分数表示,作为饮食开始后几个月的数值。还提供了管腔大小平均减少的标准偏差。在任何一个月胆固醇饮食的管腔面积的减少同正常饮食的管腔面积相比。它表明,高胆固醇饮食管腔面积显著降低。图四显示在12兆赫下颈动脉典型斑块。三种情况下,减少发生在一侧的颈动脉斑块。在一种情况下,斑块出现在颈动脉的两侧(图4C)。图5显示用热电偶测量稳态温度(DF),占空比(DF)的强度为30 W /平方厘米,PRF=100 Hz。DF大于10%时,稳态温度增加超过1°C,因此观察到一些热效应。图6A显示3个月高脂饮食后兔颈动脉斑块斑块的超声图像。图6B显示,在超声(占空比30 W /平方厘米,PRF=100 Hz,DF=10%)应用后的超声图像。在5个5min微泡治疗疗程后斑块被去除,几乎所有的斑块被去除。图6c展示HE显示颈动脉斑块少量残余的照片。图6D显示斑块的破坏过程中测得的温度,温度升高约1°C。图6E显示一个实例中的频谱,斑块被破坏时,仅指示稳定空化的次谐波排放。考察了强度对斑块去除的影响。三只家兔颈动脉暴露于不同的平均空间,脉冲平均(SAPA)强度从10到30 W/cm2, PRF100赫兹,DF10%。图7超声图像测量显示了去除斑块的大小,在这些实验中,温度不超过1°C。不同强度超声强度对管腔大小的影响同未经处理的管腔大小进行比较。表明经超声处理的官腔大小显著减少。结论:本文研究脉冲超声在消除兔动脉粥样硬化斑块的有效性,在兔体内创造最终消除血管粥样硬化斑块的意图。可行性研究包括强度和DF的影响。实验在兔颈动脉处产生的温度需低于1°C(安全温度)。另一个增加温度的参数是强度。在这些实验中使用的强度是精心挑选的,因此,没有温度高于1°C。移除的斑块,正如预期的那样,随着强度而增加。在颈动脉进行实验,取得了非常有前途的结果。有了这个传感器和操作步骤,在25分钟我们能够消除动脉粥样硬化斑块的深度为2毫米。这种技术在人类动脉粥样硬化斑块的移除方面大有可为,只要能获得溶解斑块的物质。采集的材料不能通过血液流向其他动脉,从而导致动脉阻塞。应注意收集所有去除的微粒。例如,研究中涉及的旋切术。一个抽吸机制被用来收集去除颗粒。这种抽吸技术也可以与超声波技术相结合,以消除残余颗粒。我们清楚的看到超声成像斑块的破坏,但是什么内容的斑块(脂质、钙、或巨噬细胞)先破坏,不能通过超声图像进行准确的评价。脉冲超声和微泡的组合已被证明是有效的去除血块,这是一个比斑块更柔软的组织。在兔颈动脉模型单独使用超声是无法有效去除血块的。微气泡被认为导致稳定的气蚀,因此有助于去除血块。我们推测,相同的效果(稳定的气蚀)可以加速斑块去除。该技术可用于临床试验,主要用于治疗颈动脉斑块。颈动脉不稳定斑块是斑块的主要来源,斑块能到达大脑并引起中风。该装置可以连接适当大小的导管,导管可以引导到颈内动脉超声治疗。需采取避免杂物到达大脑的护理,避免导致中风。








