结核是非人灵长类实验动物(NHP)生产和使用过程中需要防控的最重要传染性疾病之一。作为危害严重的人兽共患病,结核不仅对人和动物健康危害大,且具有传播快速的特性。结核一旦发生,具有极高的传播风险,有鉴于此,生产和使用单位需要建立较高标准的结核防控措施。
结核分支杆菌复合群是导致人和猴发生结核的主要病原,其中人型(Mycobacterium tuberculosis)最为常见、牛型(Mycobacterium bovis)次之,禽类结核分支杆菌、非洲分支杆菌、微结核分支杆菌、卡内蒂分枝杆菌感染也偶尔可见。
调查证据显示,野外的非人灵长类动物中结核感染并不常见,但在动物园饲养和实验室饲养的与人类密切接触的非人灵长类动物中,结核发生率远高于野外动物。其中亚洲旧大陆猴对结核杆菌具有高敏感度,非洲旧大陆猴具有中度敏感性,新大陆猴敏感度最低。NHP的结核感染更多是由人传染给动物的,同时,发生结核感染的动物也同样可以传染给人。在人群中,潜伏感染非常常见,通常仅有1/10的人从潜伏感染转化为活动性感染。在动物实验中,60%的食蟹猴为潜伏性感染,40%发展为活动性结核;而恒河猴人工感染后,3-8个月内,死亡率高达100%,自然感染恒河猴12个月内的死亡率也达到了100%。
NHP发生结核杆菌感染后治疗,需要在隔离和控制条件下(ABSL-3)经历长达9-12个月甚至更长的长期联合用药,且无法保证全部治愈。如此高昂的经济和时间成本使得结核的治疗非常不现实,预防才是关键。
NHP感染结核后的临床症状并不明显,其中体重降低、反复咳嗽是较可能出现的症状,此外还有精神不振、低热、迁延性皮损、顽固性腹泻等可能的症状。病理检查可见结节性肉芽肿并伴有干酪样坏死。病变可出现在肺、肝、脾等多个脏器。因此,建议对死亡的动物进行全面的尸检,排查死因,如果有疑似传染病的,应寻求实验室证据。
预防手段
1. 检疫
(1)所有新引进动物应采购自经过审核的供应商。
(2)美国国立卫生研究院(NIH)要求动物所有皮试结果均为阴性,至少有三次皮试阴性报告(每两次间隔至少两周),且最后一次皮试应在运输前30天内进行。动物到达设施后需对实验猕猴(恒河猴和食蟹猴)进行连续五次皮试(每两次间隔至少两周),且结果全部为阴性。
2. 监测
我国是结核高负担国家,发病人数占全球总数第二位,因此有必要对直接进入设施的所有工作人员应进行每年一次的体检,以排除结核感染。同时也应每半年对NHP进行一次结核检测,确认动物状态。对需要进入设施的访客,应出示体检证明,证明无结核感染方可进入设施。
3. 个人防护
日常工作中,实验服、口罩、手套应作为必须穿戴的防护用品。
4. 发现疑似或确认结核感染动物的处理
(1)将所有受影响动物集中饲养,并进行检测,此时建议不仅要做皮试,还应该用其他检测方法进行补充或辅助检测,例如X光,γ-干扰素释放试验,PCR等。

1/2 NIH推荐的皮试阳性或可疑动物的复检确认流程

2/2 加州大学戴维斯分校推荐的皮试阳性或可疑动物的复检确认流程
(2) 对相应房间进行出入控制,只有授权的必须进入的人员才可以进入。
(3)所有进入人员应穿戴足够的防护用品,包括:实验服,N95口罩,手套,胶鞋,眼罩,头套。
(4)所有可能和动物有直接或间接接触的人员,如:饲养员、兽医、实验人员、动物设施清洁人员等都必须立即接受结核检测,以确认有无感染。
5. 笔者呼吁
根据WHO 2019年结核报告,在世界范围内,有8.6%的结核患者伴有HIV感染,这提醒我们,免疫缺陷状态下更容易导致潜伏感染转为活动性感染,及增加原本为结核阴性的人群的感染风险。根据我国目前阶段动物质量情况,笔者呼吁广大养殖和使用单位在重视对结核分枝杆菌本身的检测的同时,也应该格外重视SRV, 麻疹,犬瘟等可以导致动物出现免疫抑制病原体的感染状况。这些病毒本身不仅对动物健康有危害,严重者还会导致动物死亡,同时由于动物免疫功能减弱,会增加包括结核在内的其他病原的感染的几率,尤其值得警惕。
检测方法
由于结核分支杆菌感染本身具有早期感染不易检出、早期症状不典型等特性,给诊断带来挑战,而耐药结核为治疗带来挑战,加之感染和发病人群规模庞大等多方面因素的影响,促使科学界对其检测方法和药物研发投入了大量的精力和经费。
随着技术的进步和研发的持续投入,在人的临床上已经建立了多种不同的结核病诊断技术和检测方法,大致可以分为以下几类:微生物学方法、免疫学方法、分子生物学方法和其他方法。其中微生物学方法包括培养法、抗酸染色法等;免疫学方法包括抗体检测、抗原检测、蛋白芯片和γ干扰素释放实验等;分子生物学方法中包括qPCR、恒温扩增、数字PCR和CRISPR等技术都被用于了结核DNA或RNA检测;其他方法包括影像学、病理学、质谱法和高效液相色谱法等。
在人和实验猴的临床样本的检测方法开发、验证的相关文章中,我们注意到一个共同特点,即多种方法联合运用可显著提高检测结果准确性。因而对于疑似感染的实验猴,我们也应该遵守同样的原则:以病原学结果为主,结合流行病史、临床表现、胸部影像、相关的辅助检测及鉴别诊断综合分析后作出诊断。同时我们也应意识到,能在人类临床上应用的技术不一定适合于实验猴的筛查。原因包括:成本过高、 所需样本不易获得、检测场景不适用于实验猴和方法本身准确度尚有待验证等。
本文选择几种常见的应用于实验猴的检测方法做简单介绍,以供读者朋友们了解。
1.皮试
尽管皮试有一定的假阳性率及假阴性率,但是该方法仍然是对非人灵长类动物进行结核筛查的最主要的方法。通常使用旧结核菌素或纯蛋白衍生物在动物眼睑部位交替进行皮试,每两次皮试之间间隔两周。注射后观察并记录24、48、72小时的结果。

皮试的敏感性通常为75-90%不等(连续进行皮试可提高检出率),且抗原与环境分枝杆菌有交叉反应会导致非特异性结果,而且由于判断的主观性,存在同一反应判断结果不同的现象。



皮试不应放在麻疹/犬瘟疫苗接种之后进行,否则会导致出现假阴性结果。
2. X光影像
X光影像在人的结核筛查中是一种常用的方法,在NHP案例中,较不容易出现钙化灶,并非是一种理想的筛查方法,但是也可以作为辅助检查方法应用。

3. 培养法
根据卫生部《人间传染的病原体名录》分类,结核分枝杆菌的危害程度属于第二类,涉及大量活菌的操作应该在生物安全三级实验室进行,在部分有条件的医院、中心实验室,可以将培养法作为常用检测手段,但并不适用于生产和养殖单位的日常筛查。

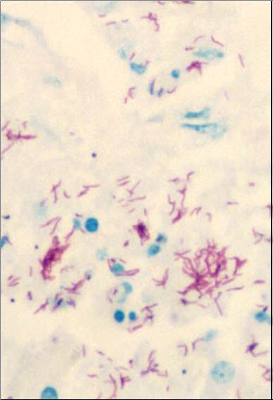
4. 抗酸染色法
分枝杆菌的细胞壁中含有大量脂质,不易着色,通过加热和延长染色时间来促使分枝菌酸和染料结合,且很难被酸性脱色剂脱色,所以抗酸染色常常用于分枝杆菌的检测。取合适的标本涂片进行抗酸染色后镜下观察,可做初步诊断,但是对于实验猴的检测来说,更适用于解剖后动物的病灶组织的确认检测,因为该方法用于筛查时需要用痰液、肺泡灌洗液等样本才更合适,而实验猴的这两种样本都不易获得。
不过,该方法的敏感性较低,仅当样本中菌量大于10万条/ml时才能在视野中找到。且不能区分结核分枝杆菌和环境分支杆菌。

5. PCR方法
本次新冠流行中PCR检测方法广为应用,在结核诊断中,该方法也扮演着重要角色。由于敏感性高、特异性好,已有多款产品应用于临床。需要注意的是,该方法所需的样本类型以痰液、支气管灌洗液、病变组织、胃灌洗液等为宜。在实验动物检测中,已安乐死或死亡的动物更容易采样,而活体动物采到合适样本有一定难度。
6. γ干扰素释放实验
机体感染结核分枝杆菌后体内会存在致敏的T淋巴细胞,当再次接触相同的结核分枝杆菌时,致敏的淋巴细胞就活化为效应性淋巴细胞,释放γ干扰素等细胞因子,因而采集新鲜全血后,人为给予二次刺激,即可通过检测γ干扰素而知道是否有结核感染。目前包括中国、美国、日本、英国等在内的至少25个国家发布了该方法的应用指南,将其广泛应用于人的辅助诊断。该方法可以检出活动性感染、潜伏性感染和早期感染,和皮试相比具有更高的敏感性和特异性。但检测成本相对较高,推荐用于皮试阳性或可疑动物的确认检测。
结合美国结核病治疗指南,皮试和γ干扰素结果的临床意义如下:

仅限于细菌学诊断阴性但临床不能排除结核分枝杆菌感染者。
目前,国内外已有多个单位建立了检测方法,将γ干扰素释放试验应用于实验猴的检测。
非人灵长类动物结核以预防为重,一旦发现有疑似感染者应及时确认,采取严格防控措施才可有效控制其扩散。由于结核感染的症状不明显,制定合理的筛查制度尤为重要,设施管理者、兽医团队、检测实验室在此过程中都扮演着极为重要的角色,共同重视、制定和落实防控方案定可降低猴群的感染风险。
参考文献
1.NIH, Guidelines for the Prevention and Control of Tuberculosis in Nonhuman Primates
2.K. Matz-Rensing and F.-J. Kaup Tuberculosis in Nonhuman Primates – the disease Jody wills et al, An overview of Tuberculosis in Macaques
3.王彭军,猴结核病,中国人兽关患病杂志 2000:16(3)
4. http://www.cdcnpin.org/scripts/tb/cdc.asp
5. Choi E W , Lee K W , Kim T M , et al. Mycobacterium tuberculosis infections in cynomolgus monkey transplant recipients and institution of a screening program for the prevention and control of tuberculosis[J]. Bmc Veterinary Research, 2016, 12(1).
6. Outbreak of Tuberculosis in a Colony of Rhesus Monkeys (Macaca mulatta) after Possible Indirect Contact with a Human TB Patient[J]. Journal of comparative pathology, 2015, 153(2-3):81-91.



