
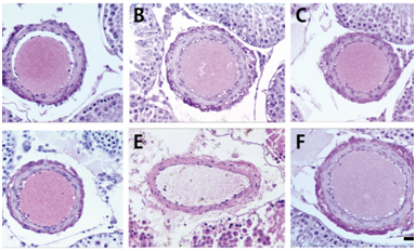
图片来自PLoS ONE,2017, doi:10.1371/journal.pone.0177067
在一项新的研究中,来自日本东京医科大学和爱知医科大学的研究人员测试了切除第一只大鼠的睾丸随后通过外科手术将它们移植到第二只大鼠的颈部来保存第一只大鼠的精子形成能力。在他们的研究中,他们描述了这种方法是如何工作的。相关研究结果于2017年5月5日发表在PLoS ONE期刊上,论文标题为“Development of heterotopic transplantation of the testis with the epididymis to evaluate an aspect of testicular immunology in rats”。
当男人或男孩经诊断患上某些癌症(特别是白血病)时,或者如果癌症是在一个或一个以上睾丸中检测到的,他们经常被劝说将他们的精子样品冻存以便以后使用,这是因为一些疗法能够让他们终生不育。对较年轻的青春期前的病人而言,这不是一种较好的选择,其原因在于这将导致他们永远不能够产生后代。
为了解决这个问题,科学家们一直在研究移除产生精子的睾丸的一部分,将它们移植到另一个人(比如兄弟或父亲)体内。鉴于睾丸具有阻止免疫系统攻击它们的性质,这是有可能实现的。如果移植的睾丸继续产生精子,那么就可在较晚的时间收集它们,或者甚至更好的是,将它们移植回癌症治疗完成之后的最初病人体内。之前的研究已发现鉴于睾丸囊内部各部分的物理结构,将大鼠睾丸囊中的一部分睾丸移植到另一只大鼠的睾丸囊中是特别困难的。这已导致一些科学家们考虑将它们移植到一种宿主的内部其他地方。在这项研究中,这些研究人员移除几只大鼠的睾丸,将它们移植到其他大鼠的颈部内(以下称颈部移植)以便测试这种方法的可行性。
这些研究人员报道他们在12只大鼠体内开展了这种方法,而且作为比较也将睾丸移植到几只宿主大鼠的睾丸囊中(以下称睾丸囊间移植)。他们进一步报道,颈部移植的成功率是100%,然而对睾丸囊间移植方法而言,这一数字仅是71%。他们也报道这种颈部移植方法平均需要花费60分钟,而睾丸囊间移植方法平均需要花费154分钟。他们提出他们的发现表明迄今为止,颈部移植似乎是一种更好的选择方案。不过,还需开展更多的测试来了解睾丸在颈部中的存活率和它们将在多长时间内持续产生精子。



