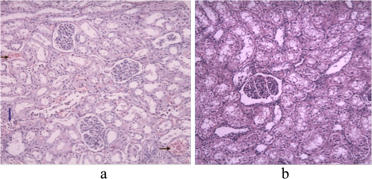
摘要:背景:探讨腹腔扩容(IAVI)对腹内高压(IAH)猪肾脏的影响。方法:八头猪均成功建立IAH模型,随机分为两组:IAVI组和假手术组。分别在休克前、IAH后2h 、手术后22h测量膀胱灌注压力、下腔静脉压、尿量。测定下列指标:血清肌酐、尿素氮、肾皮质厚度,腹部前后径/横径厚比,肾,肾窦的直径和肾组织湿/干比。结果:8头IAH小型猪模型的膀胱灌注压(IVP)为21.16±4.63毫米汞柱。腹部前后径/横径的比值显著增加。在IAVI组小型猪在观测期间存活,而2头假手术组猪在18 h和20 h时死亡。手术后22h,在IAVI组动物显示尿量(UV)增加、铬、Ur、VP和下腔静脉压显著降低降低。IAH后,肾皮质厚度、肾厚度明显增加。假手术组肾湿/干比高于IAVI组。结论:IAH后,IAVI帮助控制肾功能障碍、降低腹内压,从而减轻肾水肿、瘀血。关键词:腹内容积增大 腹内高压 创伤 休克 复苏背景:腹内压(IAP)超过12毫米汞柱被认为是病理性升高,称之为腹内高压(IAH)。由胰腺炎,外伤,毛细血管渗漏,临时腹腔填塞,内脏水肿导致的腹内压升高,可能会导致腹腔室隔综合征(ACS)。早期的研究表明,IAH可以提高肾静脉压力,增加肾实质的压力,并减少肾血流量和肾小球滤过率,导致少尿或无尿。肾缺血和肾实质受压可激活肾素-血管紧张素甾系统和随后引起水钠潴留。这一行动进一步增加血管阻力,并可能导致恶性循环。以往的研究表明,腹内压增加导致梗阻性和非梗阻性肾盂排泄受损。IAH的治疗包括手术和非手术的方式;然而,最佳的手术方案尚未确定。封闭式负压封闭引流术(VSD)是目前最常用的临时腹部封闭策略。腹腔扩容(IAVI)是一个已经修改了的治疗IAH技术;腹部手术对肾功能的影响的额外的研究是必要的,如成像研究比较手术前后的组织变化。本研究通过不完全阻断门静脉诱导IAH建立了一个大型动物的IAH模型并研究失血性休克及复苏后IAH对肾脏的影响及IAVI在提高临床治疗成功率的治疗效果。方法:动物:12头健康小型组,平均体重22.9±1.7公斤。失血性休克及复苏后IAH模型的建立:术前动物禁食12小时,手术前免费获得水,耳静脉注射氯胺酮(7.2毫克/小时/公斤)和3%戊巴比妥钠(6毫克/小时/公斤)麻醉动物。实验动物置于实验台上,皮肤消毒。插入气管,通过连有纯氧的呼吸麻醉机进行维持麻醉。分离右股动脉和静脉,插入单腔导管。通过一个三通管连接多功能传感器和监视器。右股动脉进行插管用于放血,而静脉插管用于下腔静脉输液和压力检测。开腹后,进行膀胱造瘘.. 分离门静脉和使用硬塑料管(外径为5毫米)和丝线结扎血管。撤除硬塑料管,创建门静脉完全阻塞模型模拟严重肝损伤的治疗肝周填塞过程。股动脉放血至平均动脉压(MAP)达到50毫米汞柱,血液储存在血袋。腹壁切口采用分层缝合闭合。休克后一个小时,所有丢失的血液,连同Ringer溶液(血液的两倍),被输送回体内。Ringer溶液连续给药,直至复苏。当IAP≥12毫米汞柱IAP并维持1 h被认为IAH模型成功建立。成功地建立了模型,但4只动物死于失血性休克。动物分组与相位观测:四头死亡动物被排除在研究之外。用抛硬币的方法,剩余的8个动物分为IAVI组(n = 4)和假手术组(n = 4)。IAVI治疗程序进行如下:除去腹部切口缝合,延长切口从剑突至耻骨联合、松动和去除门静脉结扎,去除肠上肠网膜。聚乙烯醇明胶海绵约30×20厘米放在大网膜,缝合至腹壁层。从切口一侧抽取引流管嵌入海绵内。采用透气性好、透气性好的生物渗透膜覆盖切口和海绵,直至切口封闭。通过连续抽吸引流管被用来维持60毫米汞柱到80毫米汞柱的负压,直到动物被剖杀。在假手术组,剪开腹部切口缝合,切口从剑突至耻骨联合处,松开并拆下的门静脉结扎物和分层缝合直接关闭切口。休克前, IAH后2 h和术后22 h开始测量。静脉注射0.2克氯胺酮和10毫升的10%氯化钾处死动物。肾功能指标测定:每小时获取尿量(UV)测量。休克前, IAH后2h,术后22h下腔静脉导管获得的血液样本进行测定肌酐和尿素氮水平。影响肾功能指标的测量:休克前, IAH后2 h,术后22 h和26 h测量以下指标:(1)膀胱灌注压(IVP):在膀胱排空,50毫升的生理盐水注入膀胱,硅胶管竖立。当下降到一个平稳水平时,耻骨联合上方的水柱垂直高度为膀胱灌注压力。(2)下腔静脉压(CVP):使用多功能监护仪通过下腔静脉导管测定下腔静脉压。(3)彩色多普勒:根据右肾获得的数据,通过测量肾皮质厚度,观察肾盂和肾盏是否存在分离。(4)增强CT扫描:测量腹部的前后径与横径的比值(在左肾静脉水平,皮下脂肪被移除)。根据右肾获得的数据,测量肾脏最宽横切面的肾厚度和肾盂长度。(5)肾组织的湿/干比:取左肾组织的上部1/8,取肾标本称重,放置在60°C的干燥炉内放置3天。湿/干比4-4.5或更高的显示有严重的脏器水肿。6)肾组织病理学:取右肾上部1 / 8,固定在10%福尔马林,石蜡包埋,切片,进行HE染色,光镜下观察。结果:IAH模型:平均体重为22.90±1.70公斤和MAP基线值为118±14.30毫米汞柱。放血直到MAP达到50毫米汞柱;放血量为648±98毫升。IVP基线6.65±0.50毫米汞柱。当IVP达到21.16±?4.63 mmHg持续3.20±0.60 h,所需的Ranger液量为76±3毫升/公斤/小时。两头猪出现直肠脱垂和压力性尿失禁。12头猪中8头成功建立IAH模型(66%)。在IAVI组,四猪存活到观察期间。在假手术组, 4头猪中的2头,分别在IAH开始后18 h和20 h,由于呼吸衰竭死亡。IAH开始后2h UV明显小于休克前(分别是55±11 ml/h vs. 156±35 ml/h, P<0.01)。在IAVI组,尿量恢复正常(120±23毫升/小时和55±11 ml/h,p<0.01)但未达到正常水平。假手术组尿量明显低于相比IAVI组。IAH开始后2 h,血Cr和UR值增加,无显著性差异。IAVI治疗后,CR和UR继续缓慢增加,在假手术组,CR和Ur显着高于其他组中的值。在假手术组肾组织湿/干重比值显著高于IAVI组。影响肾功能的相关因素:IAH后两小时,静脉肾盂造影,下腔静脉压明显高于休克前。IAVI治疗22后,IVP和下腔静脉压显示显著降低,均略高于休克前,但无显著性差异。假手术组下腔静脉压和IVP显著高于IAVI组。影像学改变:计算了前后径与横径的比值,IAH开始后2h比值显著高于基线值。CT检测右肾肾的高度,表明IAVI组和假手术组之间无显著性差异。B超测定右肾皮质厚度,这表明IAVI治疗组和假手术组之间无显著性差异。用CT测量右肾窦直径。IAH无明显变化。所有动物的任何相位点,没有肾盂积水或肾盂和肾盏的分离。病理结果:假手术组肾组织可见明显的血瘀,炎症细胞浸润。在IAVI组、轻度瘀血或无瘀血和炎症细胞轻度浸润。结论:腹腔室隔综合征常发生于危重病人,可能会影响各器官系统,肾脏是最常受影响的器官。观察IAVI诱导的IAP减少和肾功能改善之间的相关性。IAVI帮助控制IAH后肾功能障碍,可降低腹内压,从而减轻肾水肿、瘀血。



