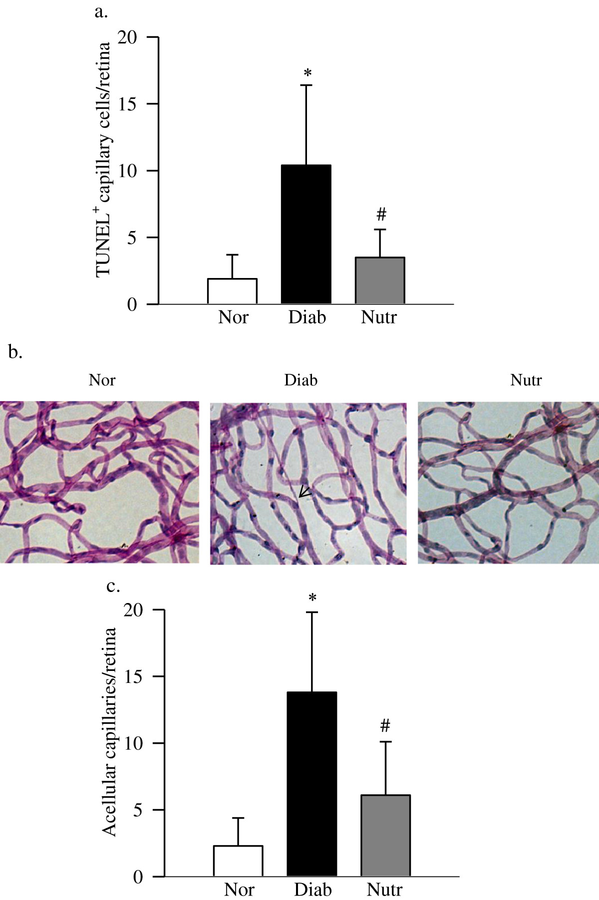
摘要:氧化应激和炎症介质的增加与糖尿病视网膜病变的发生有关,在大鼠中,抗氧化剂可以阻止其发育。类胡萝卜素是强有力的抗氧化剂,糖尿病会降低血清和视网膜中的叶黄素和玉米黄质。本研究的目的是探讨含营养补充类胡萝卜素对糖尿病性视网膜病变的影响(营养),作为"糖尿病视功能的临床试验。方法:链脲佐菌素诱导的糖尿病大鼠(Wistar雄性)饲喂普瑞纳5001补充剂含叶黄素、玉米黄质、硫辛酸,ω-3脂肪酸等营养成分。在发生糖尿病4个月时通过视网膜电图对视网膜功能进行分析。糖尿病11个月后,胰蛋白酶消化视网膜定量毛细管细胞凋亡(TUNEL染色)和组织病理学(退化毛细血管)。所以,通过研究线粒体损伤(通过量化传递链中线粒体编码蛋白的基因表达)、血管内皮生长因子和炎性介质,白细胞介素-1β和NF-κB分析视网膜。结果:糖尿病视网膜功能受损,减少a波和b波的振幅。在相同的动物中,视网膜毛细血管细胞凋亡和退化毛细血管增加了3 - 4倍。线粒体基因表达的基因编码的蛋白质的含量降低,而血管内皮生长因子,白细胞介素-1β和NF-κB水平升高。补充营养素可防止毛细血管细胞凋亡和血管病变,并改善糖尿病引起的视网膜异常。结论:营养补充预防糖尿病视网膜病变,并保持正常的视网膜功能,线粒体稳态和炎症介质。因此,这种补充可能是一种可以实现且廉价的辅助治疗,也可以抑制视网膜病变。关键词:类胡萝卜素 糖尿病性视网膜病变 黄斑色素 线粒体 营养补充剂 玉米黄质背景:视网膜病变仍然是糖尿病最具破坏性的并发症之一。尽管基础科学和临床研究取得重大进展,以了解这种致盲性疾病的复杂病理生理机制,但其确切机制仍不明确,有效的治疗方法尚不清楚。糖尿病视网膜和毛细血管细胞能增加氧化应激和造成线粒体损伤。除了毛细血管细胞外,其他的视网膜细胞,包括光感受器和视网膜色素上皮细胞也观察到氧化应激增加。抗氧化剂含有硫辛酸补充抗氧化剂,对糖尿病大鼠能防止糖尿病视网膜病变。除了氧化应激外,视网膜还表现出与其他炎症性疾病相一致的许多异常。血管内皮生长因子(VEGF)是血管通透性和新生血管形成中重要的血管生成因子,在糖尿病患者和动物视网膜和玻璃体中升高,这种增加与糖尿病视网膜病变的表现有关。氧化还原敏感的核转录因子-B,NF-κB被激活,其对生长因子和细胞因子表达的调节是很重要的,促炎介质,如白细胞介素-1β(IL-1β)和细胞间黏附分子-1(ICAM-1)的表达水平增加。动物模型表明,抑制糖尿病视网膜病变发展的抗氧化剂,可以抑制视网膜NF-κB和IL-1β增加。高含量的多不饱和脂肪酸,结合最高的氧摄取和葡萄糖氧化相比于任何其他组织,视网膜高度容易受到氧化应激。已经证明,玉米黄质在糖尿病大鼠中的应用可防止视网膜氧化应激和促炎细胞因子VEGF和ICAM-1的增加。含维生素C、维生素E的抗氧化剂,β-胡萝卜素、N-乙酰半胱氨酸和其他微量营养素抑制糖尿病视网膜病变的发生。本研究旨在探讨营养补充对糖尿病视网膜病变的影响。应用糖尿病视网膜病变动物模型,研究了多组分营养素对视网膜毛细血管细胞凋亡、毛细血管退变及细胞功能的影响。为探讨补剂对线粒体功能障碍的改善作用,对炎性细胞因子的基因表达,DNA编码细胞色素b和ND1,和VEGF,IL-1β和NF-κB表达水平进行量化。方法: Wistar大鼠(雄性,200-225 g)用链脲佐菌素诱导糖尿病,并分为两组。大鼠组1(普瑞纳5001)多种营养补充剂含有类胡萝卜素。eyepromise DVS是专门制定用于改善视网膜的结构和功能,现被用于糖尿病患者视功能的临床试验。每公斤普瑞纳饮食中所含维生素C营养(抗坏血酸,300毫克),维生素D3(胆钙化醇,10000 IU)、维生素E(维生素E,300 IU),鱼油ee70 %(1.6克)、EPA(二十碳五烯酸,650毫克),DHA(二十二碳六烯酸,500毫克),Benfotiamine(1克),α硫辛酸(750毫克),Tocomin(200毫克),玉米黄质(40毫克),叶黄素(20毫克)和专利配方含有300白藜芦醇,绿茶,姜黄、N-乙酰半胱氨酸、松树皮、葡萄籽提取物、辅酶Q10锌(2.65克),大豆油。第二组大鼠接受普瑞纳饲料没有任何补充剂,(DIAB),使用月龄相当的正常大鼠作为对照。在整个研究期间(11个月),糖尿病大鼠的平均每日食物消耗量为50克。实验开始后11个月使用二氧化碳窒息法处死大鼠。一眼悬浮在10%福尔马林用胰酶消化制备视网膜微血管,另外一只眼睛的视网膜被剥离,量化常规进行的生化参数。取出一片肝脏,用HPLC确认一些主要成分的吸收。视网膜毛细血管细胞凋亡与组织病理学:从福尔马林固定的眼中分离视网膜,用水冲洗整夜。用3%含200mM氟化钠的粗胰蛋白酶在37°C消化视网膜45至70分钟,分离微血管。用末端脱氧核糖核苷酸转移酶制剂(TDT)介导dUTP缺口末端标记染色(TUNEL法)检测凋亡血管细胞。在TUNEL反应开始前,通过使用DNA酶暴露视网膜血管作为阳性对照。通过TUNEL染色,血管与组织学评价过碘酸希夫和苏木素染色。在多个视网膜中间区域计算出无细胞毛细血管数,作为视网膜的无细胞毛细血管表达。功能分析:通过测量视网膜电图(ERG),测定4个月糖尿病大鼠的视网膜功能。大鼠适应黑暗的一夜,氯胺酮和甲苯噻嗪麻醉,并用1%托吡卡胺,2.5%盐酸去氧肾上腺素散瞳。将大鼠置于加热平台,用直肠温度计监测体温。通过将嵌入式螺纹电极银眼通过一层薄的1%甲基纤维素放置在角膜表面,测定A和b波的振幅。置于尾部和颊部的针电极分别作为接地电极和参考电极。利用2,7′-二氯二乙酸酯荧光光谱定量活性氧(ROS)。蛋白(5-10μg)在含2uM DCHFDA的PBS中孵育10分钟。在485 nm和530 nm波长处测量荧光。测定视网膜抗氧化能力。线粒体基因组特异PCR定量延伸长度与03 XL PCR试剂盒确定线粒体DNA损伤程度。通过ELISA方法量化VEGF、NF -κB与IL-1β的表达。结果:含类胡萝卜素的营养补充剂防止糖尿病视网膜病变加速毛细血管细胞凋亡和组织病理学:正如预期的那样,在11个月的糖尿病大鼠,视网膜血管TUNEL阳性细胞有3 - 4倍的增加和出现退化毛细血管。添加类胡萝卜素的营养补充剂能改善糖尿病引起的毛细血管细胞凋亡,而正常饮食大鼠的TUNEL阳性毛细血管细胞数量与糖尿病大鼠相似。在添加营养治疗的糖尿病大鼠,视网膜血管中的变性毛细血管数量明显减少同没有添加营养剂的大鼠相比。通过ERG测量评估视网膜功能。图2显示在糖尿病大鼠的A波和B波振幅显著减少,伴有迟发型视网膜电图反应。A和B波的振幅减少是由于接受添加营养素饮食。接受营养补充的糖尿病大鼠视网膜氧化应激和线粒体损伤增加:糖尿病大鼠视网膜ROS水平显著升高,总抗氧化能力与年龄相匹配的正常大鼠相比显著降低。然而,接受补充的糖尿病大鼠与无糖尿病的糖尿病大鼠相比,ROS水平显著降低,抗氧化能力增强。与未接受营养补充剂的糖尿病大鼠相比,接受营养补充糖尿病大鼠也防止了线粒体的损害,电子传递链线粒体DNA编码蛋白的基因表达显著增高。糖尿病大鼠ND1和ND6和Cytb在视网膜水平下降约40-80%,同正常大鼠相比。而添加营养素补充剂的糖尿病大鼠阻止了这种下降。营养补充剂的使用可保护视网膜免受炎症介质的增加:大鼠糖尿病视网膜血管内皮生长因子水平比正常大鼠增加50%,而视网膜血管内皮生长因子的增加通过营养剂的补充得到改善。因为炎症是公认的作为糖尿病视网膜病变一个关键的诱因。补充营养物质并不能改善糖尿病大鼠高血糖的严重程度:接受营养补充剂大鼠相比没有任何补充剂糖尿病大鼠,肝样品的主要营养素分析表明,α-生育酚的水平增加了2倍(36μg/g至74μg/g)、叶黄素增加3倍(0.02μg到0.06μg)、玉米黄质增加9倍(0.008μg到0.07 μg/g)。结论:我们的数据表明,营养补充剂能维持长期糖尿病患者视网膜的结构和功能,同时也保护神经细胞和血管细胞,抑制视网膜病变的发展。可能是通过改善炎症介质的增加和维持线粒体内稳态来实现的,从而保护视网膜免受线粒体损伤的自蔓延恶性循环。




