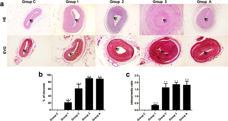
摘要:再狭窄仍然是糖尿病周围血管疾病(PVD)患者经皮腔内血管成形术(PTA)的主要限制因素。尽管采取了防止这种进展的常规措施,但其确切效果尚不清楚。方法和结果:本实验成功地将球囊移植于动脉粥样硬化兔髂动脉内。超声检查狭窄动脉的通畅情况。在双损伤手术后第0天至第28天给予兔阿托伐他汀或赋形剂口服给药。第7天,14天,和28天,获取再狭窄的动脉进行组织学分析。我们的数据表明,双损伤手术后,所有兔子内膜的组成主要是平滑肌细胞(SMCs)。从第7天到第14天,狭窄率显著增加(从21±5.85 %到 60.93±12.46 %)。双损伤术后28天,观察到严重的再狭窄,阿托伐他汀不能预防再狭窄的形成(88.69±3.71% vs. 90.02±3.11%)。PCNA指数同平滑肌细胞增殖与血管病变评分相关。结论:结果表明,双损伤模型可以模拟临床再狭窄,在此基础上,阿托伐他汀对糖尿病兔PTA再狭窄过程无明显影响。关键词:阿托伐他汀 再狭窄 经皮腔内血管成形术 周围血管疾病 糖尿病背景:经皮腔内血管成形术(PTA)由于其初期成功率高,广泛应用于糖尿病周围血管疾病(PVD)。但一年内多达70%个病人发生再狭窄,成为此临床应用的局限性。试图通过抗血小板药物、糖皮质激素和钙通道阻滞剂来预防或减少再狭窄,都有药物不良反应。缺乏实际的再狭窄模型限制了研究潜在治疗的可能性。安装血管成形术狭窄动物模型已被用来研究药理学和机械方法。在大多数研究中,在正常的动脉血管成形术球囊过度开发重现PTA人血管反应方面(单损伤模型)这是建立动脉粥样硬化模型,而不是再狭窄模型。因此,建立可靠的动物模型,以研究潜在的治疗方法,以防止PVD患者发生PTA再狭窄是非常重要的。他汀类药物,一类羟甲基戊二酸单酰辅酶A(HMG-CoA)-(CoA)还原酶抑制剂,具有抗炎和抗增殖特性。既往研究表明,他汀类药物可减轻球囊损伤动物模型的炎症反应和动脉内膜增生。由于这些原因,临床上作为PTA患者的常规治疗以抑制再狭窄的发生。然而,在我们的日常工作中,我们发现他汀类药物对再狭窄抑制的临床效果是次要的。本实验建立了新西兰白兔的双损伤再狭窄模型,模拟PTA高血糖后髂动脉再狭窄的增殖过程。阿托伐他汀是最广泛使用的他汀类药物。因此,在这项研究中,阿托伐他汀被用来检测他汀类药物对抑制再狭窄的作用。通过使用这种动物模型,我们旨在研究糖尿病患者应用PVD治疗后再狭窄的潜在治疗方法,或了解再狭窄过程本身的机制。方法:动物:雄性新西兰白兔(1.7公斤)。兔子被单独安置在标准的兔笼和保持在12:12-明:暗周期。试验开始前一周给予引起动脉粥样化饮食(1 %胆固醇)直到饲喂至动物死亡。在研究过程中,所有的兔子都可以自由采食和饮水。试验方案:实验性糖尿病的诱导:禁食一晚后,80mg/kg的新鲜制备的四氧嘧啶溶液从兔耳缘静脉注射。动物在四氧嘧啶注射后可自由获取食物和水,经确认低血糖后,口服20%葡萄糖溶液预防低血糖休克。在四氧嘧啶注射一周后测定血糖,血糖水平大于300mg/dl的动物被认为是糖尿病患者,并用于试验。双损伤手术方法:(1)球囊诱导内皮损伤手术诱导动脉粥样硬化斑块形成。糖尿病诱导一周后,用苯巴比妥麻醉家兔。使用标准外科手术开展正确的隐动脉切开术,插入一个2.5mm线导球囊导管,按照先前描述的方法损伤髂动脉。经超声证实,第一次手术后4周左右髂动脉出现严重动脉粥样硬化损伤。(2)然后是进行PTA诱导再狭窄斑块。经右股动脉远端解剖,球囊导管插入损伤的髂内动脉,并在第一损伤部位施行PTA。在上述治疗后,彩色多普勒显示动脉硬化性髂动脉的通畅。成功的双重损伤手术引起的再狭窄模型,随机分为四组:7天再狭窄组(1组,n = 6)14天再狭窄组(2组,n = 6);28天再狭窄组(3组,n = 6)和28天阿托伐他汀治疗组(A组,n = 6)。阿托伐他汀的剂量(2.5mg/kg/d)。阿托伐他汀口服灌胃治疗于双损伤手术当天开始。六只假手术糖尿病兔施行相同的外科手术,除未插入球囊外,对照组(c组)。获取组织与形态分析:在每一个时间点(双损伤手术7, 14,28天后),(A组和C组动物在第28天)处死动物。采集耳血标本,检测血清总胆固醇、甘油三酯、低密度脂蛋白和高密度脂蛋白胆固醇水平。获取损伤的髂动脉段,固定在4%甲醛中,石蜡包埋切成5um的切片。HE染色观察一般形态,马松三色染色胶原、平滑肌细胞(SMC)。应用图像分析软件进行了内膜生长的形态计量学分析。内膜生长是由内膜面积与内部弹性层(管腔横截面积变窄)区域比值和内膜与内侧面积比值来估计的。免疫组化分析:石蜡组织切片,脱蜡,梯度乙醇水化。用EDTA缓冲液(10 mM Tris, 1 mM EDTA, 0.05 % Tween 20, pH 9.0)在微波炉中进行20min的热诱导抗原回收。切片冷却后用3%双氧水孵育。用含5%山羊血清的PBS阻断后,切片在4°C,用一抗孵育过夜。PBS洗涤后,切片在37°C时用二抗孵育30分钟。阳性反应的可视化是通过过氧化物酶底物溶液,PBS中含有0.02%(重量/体积)H2O2和0.1%(重量/体积)3,3 -二氨基联苯胺盐酸盐,产生褐色,切片用苏木精复染。阴性控制,用小鼠IgG抗体替代原代抗体。抗增殖细胞核抗原(PCNA)抗体,1:400稀释,被使用来确定细胞增殖。对PCNA阳性细胞进行计数。根据以下公式计算PCNA指数:PCNA阳性细胞数/总细胞计数×100%。免疫荧光染色:免疫荧光染色。简单地说,3%过氧化氢孵育抑制内源过氧化物酶活性,用5%(v/v)山羊血清封闭1小时。用PBS洗涤后,切片与FITC标记的平滑肌肌动蛋白抗体(αSMA)(1:100)孵育4h。第二次冲洗后, 在dapi-fluoromount-g制备切片。用荧光显微镜检查标本。结果:动物:试验开始时,共使用了45只新西兰白兔。注射四氧嘧啶后,30例血糖升高,5例死亡,10例因血糖不足而被排除在外。30只糖尿病兔中,24只接受了双损伤手术,均获得了再狭窄。测定糖尿病兔的体重和血糖水平。在整个研究过程中,血糖浓度维持高于300mg/dl的水平。第28天,血清总胆固醇水平为C组18.75±0.44 mmol/L,3组18.47±0.54 mmol/L、A组9.44±0.27 mmol/L。c组与3组血清总胆固醇水平无显著性差异,a组与3组比较差异有统计学意义。类似的调查结果为血清低密度脂蛋白胆固醇水平(C组10.2±0.35 mmol/L,3组10±0.34 mmol/L、A组4.60±0.18 mmol/L)。血清甘油三酯水平(C组2.01±0.04 mmol/L,3组2.15±0.05 mmol/L、A组1.36±0.05 mmol/L)。各组间血清HDL胆固醇水平无显著性差异。双损伤模型的组织病理学研究及时间过程:原发性损伤后内膜增厚包含SMCs嵌入在基质细胞, 作为PTA后的基板。双损伤术后,有明显的外伤证据,包括内部弹性层的广泛断裂和内膜夹层延伸到基质中。在有关再狭窄形成时间过程的方案中,使用了18只兔子观察再狭窄过程。结果显示,与C组兔髂动脉相比,双损伤手术的髂动脉内膜逐渐增加。7, 14, 28天狭窄率分别为21±5.85%、60.93±12.46%和90.02±3.11%。同样,7, 14, 28天内膜/中膜比例分别为从0.35±0.05、1.63±0.29、1.86 ±0.14 。在七天时出现PCNA最大表达,随后逐渐下降。由α-肌动蛋白免疫组化(平滑肌细胞的标记)表明,在每一个时间点,血管内膜几乎完全被平滑肌细胞包围。阿托伐他汀对双损伤模型狭窄率及内膜/中膜面积的影响:28天阿托伐他汀治疗,并没有降低兔双侧髂动脉损伤的狭窄率。与狭窄率保持一致。在3组内膜/中膜比显著增加,阿托伐他汀治疗没有减少A组内膜/中膜比例增加。阿托伐他汀对细胞增殖与SMCs迁移的影响:进一步阐明阿托伐他汀在双损伤模型中对再狭窄的作用,进行了针对细胞增殖的PCNA染色和马松三色染色和αSMA免疫荧光评估新生内膜平滑肌细胞的迁移。3组兔髂动脉损伤后PCNA指数显著升高。阿托伐他汀治疗后PCNA指数保持不变,与a组相比无变化。α-肌动蛋白免疫组化结果显示,从阿托伐他汀治疗(A组)和非他汀治疗组(3组)、在内膜发现大量的平滑肌细胞,且两组之间无显著性差异。结论:总之,我们可以重复地开发动物外周动脉再狭窄模型,模仿人类的PTA后再狭窄。本模型对探索再狭窄机制和治疗干预方案提供帮助。阿托伐他汀被证明对再狭窄过程的抑制没有治疗作用。应该进行进一步的研究,寻找更有效的治疗方法。








