摘要:伴随多种中药摄入后的毒性研究,中草药的潜在危害已被观察到,这也是食品药品监管局决定对草药进行全面安全评价的理由。榄仁、榆绿木等的化学提取物有雄激素、解热、镇痛、抗炎的潜在功效。这些药用植物配方制的洁面乳有提高身体的荷尔蒙和充沛体力的功效。考虑到洁面乳(BSC)的广泛应用,我们采用雄性Wistar大鼠进行安全性研究。
方法:32只雄性Wistar大鼠,体重201.9±7.5 g,随机分为4组,每组8只. 第一组,(对照组)口服蒸馏水(10ml/kg)。II-IV组分别口服250 ml/kg,500 ml/kg和1000 ml/kg的洁面乳,每组给药60天。
结果:雄性Wistar大鼠急性毒性试验表明经腹腔注射600 mg/kg表现出半数致死量LD50。而4g/kg小鼠口服是非致命性的。所有大鼠肝、肾生物标志物酶均无变化。500 ml/kg出现红细胞容积增加。亚慢性给药后BSC调节抗氧化生物标志物和增加血清Na 离子。1000ml/kg的BSC引起肝脏和心脏轻度炎症,但不引起肾脏炎症。
结论: Wistar大鼠安全评价认为BSC是相对安全的。由于对、肝脏和心脏有一个温和的改变,认为草本BSC应谨慎使用。
关键词:多种药草 健康洁面乳 口服和腹腔急性毒性 安全性研究
背景:健康洁面乳以草本配方为标志。洁面乳含不同的药用植物提取物,该提取物含有雄激素、解热、镇痛和抗炎的潜力。考虑到BSC的广泛使用,再加上食品和药品监督管理局(NAFDAC)国家机构的警告,它并没有被评估,我们使用雄性Wistar大鼠评价其安全性。根据标准的毒理学指导方针,一个单一的胶囊BSC(总含量442毫克)溶解在蒸馏水(80毫克/毫升),通过口服灌胃给予大鼠。
实验设计:口服急性毒性试验: 30只雄性Wistar小鼠(平均体重20克)分笼饲养,随机分为六组,给药前适应两周。BSC浓度分别为250, 500, 1000,2000和4000mg/kg口服给药和允许动物自由采食和饮水。对照组口服0.1毫升蒸馏水。给药后24h内观察小鼠的死亡率、行为变化(包括多动、循环运动、后肢倾斜、摄食习惯增加、下颌搔抓等)。给药后14天内对所有动物进行进一步监测。
急性腹腔毒性试验:将30只雄性小鼠(平均体重20克)置于不同的笼子中,随机分为五组。BSC剂量200, 400, 800和1600mg/kg分别腹腔内给药。对照组口服0.1ml蒸馏水。给药后24h 观察小鼠24小时内死亡率、行为变化和毒性反应。200mg/kg的BSC动物表现出躁动、攀登、贪食,靠后肢和圆周运动。接受400mg/kg以上剂量的动物在2小时后出现不安、虚弱、腹部扁平和流泪的迹象。据观察,大约在第6到第10h,体重减轻,大多数动物出现颤抖。观察并记录各组动物在给药后24小时的死亡率。药后14天对所有动物进行进一步监测。根据Finney的方法估算半数致死量。
亚慢性毒性研究:32只成年雄性Wistar大鼠,体重在150~300克之间,分为4组,每组8只。第一组,对照组,每日10ml蒸馏水。第二、三、四组分别给予250mg/kg、500 mg/kg和1000 mg/kg的BSC。在整个实验过程中每周称量大鼠体重。密切观察动物的行为变化。
采集血样和组织进行化验:实验组大鼠的给药时间为60天。末次给药后24h内采集血液样品放入抗凝管和非抗凝管中。通过脱颈法处死动物。抗凝血标本于4200 rpm离心5分钟,分离出血清进行生化检测。解剖出肝、肾、心、脑称重,用四倍体积缓冲液(0.1M,ph 7.4)匀浆。取出器官的一部分用于组织学研究,其他部分均质化用于生化分析。
生化分析:肝肾功能试验:测定血清中天冬氨酸转氨酶(AST)、丙氨酸氨基转移酶(ALT)、碱性磷酸酶(ALP)对肝功能进行评估。测定血清肌酐(CREA)和血尿素氮(BUN)水平评估肾功能。
蛋白质和尿酸:为了评估肝脏的合成功能,测定血清总蛋白(TP)、白蛋白(ALB)的浓度,也测定了尿酸水平。
血脂:利用试剂盒法测定血清总胆固醇(TC)和甘油三酯(TG)。并测定血清中高密度脂蛋白(HDL)、低密度脂蛋白(LDL)。
抗氧化剂与氧化应激:测定谷胱甘肽(GSH)水平和胱甘肽-S-转移酶(GST)活性。测定超氧化物歧化酶(SOD)活性、测定过氧化氢酶活性。通过测量形成的硫代巴比妥酸反应物质测定脂质过氧化作用。
血液学评价:使用全自动血液分析仪测定红细胞容积(PCV),血红蛋白(Hb)、血小板(PLT)、白细胞总数(TWBC)。
电解质:用火焰光度计测定了钠离子(Na+)、钾离子(K+)、氯离子(Cl-)、总钙离子(tca2 +)和细胞内钙离子(钙)含量。
组织学评价:取肝、肾、心脏组织标本,通过固定、脱水、透明、渗透、包埋、切片、染色等方法进行组织学检查。为了保证良好的固定,组织被修剪到约5毫米厚,以获得良好的固定。组织固定于10%甲醛溶液中,然后转移到50%(70%,80%,85%,95,100%)乙醇,两个小时。石蜡中的组织后来被放置在木块上,并按大小排列。采用了旋转切片机进行连续切片,厚度10μm。从每个动物的每个处理器官获得八张切片。染色后,采用DPX作固定剂,经显微镜进行检查。
结果:急性口服毒性试验:表一结果显示,剂量分别为250, 500, 1000、2000和4000mg/kg的BSC急性口服毒性试验结果。动物在给予的剂量下没有出现死亡。在250毫克/公斤的剂量下观察到没有毒性变化,而500毫克/公斤以上的剂量在给药后的两个小时内,与对照组相比则表现为减少运动,轻微的搔抓和轻微的过度活动、虚弱。
急性腹腔毒性试验:表2显示急性腹腔毒性试验。我们观察了给药BSC 200, 400, 800和1600mg/kg的小鼠的死亡率或毒性变化。给药200mg/kg,动物表现出躁动,攀爬,贪食,靠后肢和圆周运动。药后2h剂量为400 mg/kg的大鼠,表现出不安,虚弱,腹部扁平,流泪泪,浅呼吸的迹象。大约第6到第10h,大多数动物都在发抖。得到平均半数致死剂量(LD50)为600 mg/kg。
肝功能:表3表明与对照组相比,给药组的血清丙氨酸氨基转移酶(ALT)、谷草转氨酶(AST)、碱性磷酸酶(ALP)变化不明显(P> 0.05)。250 mg/kg的BSC分别降低ALT和ALP水平。当给药250mg/kg(32.4%),500mg/kg(39.2%)和1000mg/kg(51.4%)AST水平剂量依赖性增加有统计学意义(P> 0.05)。在剂量为500 mg/kg(41.4%)和1000 mg/kg(29.3%)ALT水平均显著升高(P> 0.05)。
血脂:表4显示血清中TG水平略有下降,分别为减少11.6%,9.8%和1.5%。但最低剂量250 mg/kg能轻度升高血清TC水平。在250mg/kg和500mg/kg的剂量血清低密度脂蛋白(LDL)分别降低了14.7%和4.6%,1000 mg/kg的剂量轻微升高低密度脂蛋白28.5%。
肾功能、蛋白合成和尿酸: 500mg/kg和1000mg/kg剂量给药后,血尿素氮水平分别升高11.8%(P> 0.05)和13.7%(P> 0.05)。250 mg/kg给药后肌酐水平升高7.1%。但血清白蛋白(ALB)、总蛋白(TP)和UA没有显著改变。500mg/kg和1000mg/kg剂量给药后,ALB、TP、UA水平升高。
血液学评估:在250mg/kg(P> 0.05)和500mg/kg(P<0.05)给药后能升高红细胞容积。但血红蛋白水平同对照组相比,无明显变化。250 mg/kg给药时能增加白细胞总数约62.6%,500 mg/kg给药时增加血小板计数约50.6%。
电解质:从250mg/kg到1000mg/kg口服给药,不能引起钠离子显著增加。在250mg/kg钙含量下降,而中高剂量时钙含量增加。血清中钾、氯和细胞内钙水平不变。
组织的抗氧化剂:肝脏抗氧化剂:在低(250 mg/kg)和高剂量(1000 mg/kg)肝GSH含量分别增加为68%和49.2%。GST、超氧化物歧化酶与对照组相比无显著差异。但是,1000 mg/kg能升高肝脏CAT水平54.1%。
肾脏抗氧化剂:最高剂量(1000mg/kg)能增加肾脏GSH水平。而所有剂量均降低肾脏GST水平。仅最低剂量(250mg/kg)显示增加CAT水平。250mg/kg和500mg/kg能升高肾SOD水平。
心脏抗氧化剂:最高剂量(1000 mg/kg)升高GSH水平9.7%和降低心脏GST水平54%。500 mg/kg和1000 mg/kg能增加心脏CAT水平。大鼠心脏中SOD水平有明显降低,分别为30.1%(250mg/kg),40.5%(500mg/kg)和39.1%(1000mg/kg)。
大脑抗氧化剂:脑组织GSH水平剂量依赖性增加分别为18.8%, 96.4%和212.3%。250 mg/kg降低脑GST水平。500 mg/kg和1000 mg/kg能增加脑CAT水平。所有给药组,脑SOD水平下降。
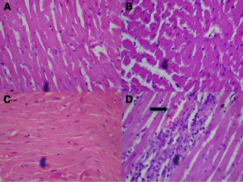
组织学评估:对照组(蒸馏水,10ml/kg):对照组(蒸馏水,10 ml/kg,A)和BSC(250 mg/kg,B,500 mg/kg,C)显示正常心脏。然而,BSC(1000 mg/kg,D)显示心脏炎症。
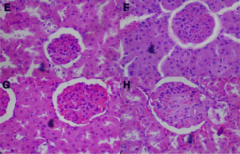
BSC(250 mg/kg):对照组(蒸馏水,10ml/kg,E)和BSC(250 mg/kg,F;500 mg/kg,G;1000 mg/kg,H)显示正常肾。
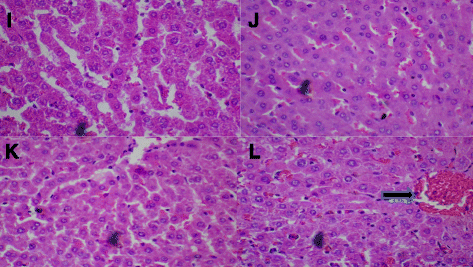
BSC(500 mg/kg):对照组(蒸馏水,10 ml/kg,I)和BSC(250 mg/kg,J,500 mg/kg,K)显示正常肝脏。但是,BSC(1000 mg/kg,L)显示肝窦和中央静脉充血(见箭头)。
结论:使用Wistar大鼠评价,BSC被认为是相对安全的。由于对、肝脏和心脏有一个温和的改变,认为草本BSC应谨慎使用。






