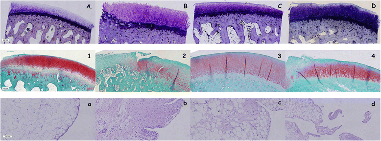
背景:骨关节炎被认为是动物和人类中最常见的慢性和致残性关节疾病。目前尚无理想的治疗方案。本研究的目的是通过微CT及组织学分析评价口服双醋瑞因对实验兔模型关节软骨、滑膜和软骨下骨治疗的影响。为此,用对侧膝关节作为对照组,对16只兔的单膝关节进行了骨关节炎的手术治疗。三周后开始治疗,持续八周。动物随机分为安慰剂组(每日口服生理盐水)和双醋瑞因(口服1.5mg/kg/d)。结果:样本分析显示,这种模式诱发膝关节骨性关节炎。骨关节炎安慰剂组显示非钙化软骨厚度和体积显著高于安慰剂对照组和滑膜组织的重要变化,而软骨下骨测量的参数保持不变。在骨关节炎的双醋瑞因组结果显示,相比于OA安慰剂组在所有参数中,均有改善,尽管结果没有统计学差异。结论:动物研究的结果表明双醋瑞因治疗OA能改善软骨的肿胀和表面改变,对滑膜有抗炎作用。这可能有助于OA的改善以及对软骨下骨的同化作用。关键词:骨 软骨 双醋瑞因 兔模型 膝骨关节炎 滑膜背景:骨关节炎(OA)是一种异质性慢性疾病,影响滑膜关节的所有组织。目前认为疾病病因是多方面的,涉及多种机械、生化和遗传因素,以及分子和酶反馈回路。骨性关节炎的变化主要是在重塑的过程,从细胞未能维持一个稳态平衡,导致组织失调的结果。随着疾病的进展,分解代谢过程会超过合成代谢产物,从而导致组织进行性病变。在OA中观察到的形态学变化包括滑膜炎症的不同程度,主要是在疾病的临床阶段,这反过来又产生炎症介质(炎性细胞因子),在OA的病理生理机制中起着关键的作用。OA的药理学治疗包括根据其作用方式分类的不同类型的药物。目前的治疗方案主要集中在减轻疼痛和改善关节功能,包括止痛药和非甾体抗炎药;不幸的是,它们在慢性治疗中的应用受到软骨和胃肠道有害副作用的限制。这些药物被归类为OA的缓效药物,这些药物有望延缓、稳定或逆转关节炎的病理变化,从而限制疾病的进展。这类药物包括双醋瑞因,蒽醌衍生物是一种口服抗炎、镇痛和解热剂专门用于治疗OA。促炎细胞因子对OA软骨降解的贡献包括白细胞介素-1(IL-1),它刺激软骨的降解过程,抑制软骨基质的合成。双醋瑞因的活性代谢物,显示在体外和体内抑制IL-1β,同时减少关节软骨细胞产生胶原酶,降低关节液中纤溶的活性和刺激软骨生长因子的产生。本研究的目的是检验口服双醋瑞因对早期兔OA治疗的有效性。使用组织学技术同显微CT(Micro-CT)和无造影技术比较确定软骨和软骨下骨结构。方法:诱导骨关节炎术前和术后护理:使用16只成年雌性(6 - 7月龄,平均体重5公斤)的健康新西兰白兔。所有的动物都接受手术,在整个实验过程中兽医每天都对兔子进行监测。通过前交叉韧带切断术(ACLT)和一个膝盖半月板部分切除诱导OA(随机选择)用对侧膝关节作为对照。动物术前使用美托咪定(50μg/kg, IM)和氯胺酮(25mg/kg,IM)诱导麻醉,之后使用异氟醚(2.5-4%)维持麻醉。围手术期和术后每只动物接受丁丙诺啡(1 mg/kg ,IM);术后用一个星期的恩诺沙星的抗生素预防(15 mg/kg ,SC,每天一次)和3天美洛昔康(20ug/kg,SC)。术后三周,每组随机分配8只动物。对照组给予5ml的生理盐水(氯化钠0.9%),治疗组用等量的双醋瑞因(1.5mg/kg)。两种治疗方法每日使用5毫升注射器直接口腔给药。尸检和组织学标本的制备:用氯胺酮(25mg/kg,IM)镇静兔后,过量戊巴比妥钠(100 mg/kg ,IV)处死家兔。对所有动物进行尸检来评估是否存在膝关节以外的任何改变。解剖关节后,在每一个动物膝盖相同的解剖位置,股骨内侧髁获得两个直径2.9毫米,长度8毫米的圆柱体。用同样的程序获得靠近髌韧带关节囊的一部分。为了评价,样品分为四组。Ctrl:健康的非手术治疗接受安慰剂组(n = 8);OA:手术后接受安慰剂组(n = 8);Ctrl+DC:健康的非手术治疗接受双醋瑞因治疗组(n = 8);OA+DC: 膝关节骨关节炎动物加双醋瑞因治疗组(n = 8)。EDTA脱钙后,连同关节囊,常规石蜡包埋、切片、HE和番红O-固绿染色,滑膜涂片HE 染色微观评价:滑膜及脱钙骨和软骨组织芯活检是根据已发表的指南由两个独立的观察员评估。对结构损伤的分级如下:在软骨,软骨细胞和蛋白多糖的病理学由0(正常)到4(完全影响)、滑膜从0(正常)到2(骨关节炎)。软骨样本的评估参数为:软骨病理(软骨表面特性),软骨细胞病理学(细胞密度和分布),蛋白多糖(程度病理染色),潮线的完整性。滑膜玻片:内层细胞的特点(表浅细胞层数)、增生(存在或不存在),有或无细胞浸润。采用不脱钙切片进行定量组织学评估:评估参数:软骨下骨皮质厚度(SB.TH),总的软骨厚度(Cg.Th), 非钙化(nCg.Th)、钙化软骨厚度(cCg.Th)、软骨表面起伏(FI),骨小梁软骨下骨区(Tb.A)和骨小梁分离(Tb.Sp)。Tb A被定义为该区域骨小梁的百分比。Tb .Sp为小梁之间的平均距离。微型计算机断层扫描: 不脱钙切片用高分辨率显微CT评价。测量了以下直接指标:骨体积分数(BV/TV)、骨小梁厚度(Tb.Th)和分离(Tb.Sp)和骨小梁数(Tb.N)。结果:实验中没有观察到体重或一般情况的变化。突出的事实是:双醋瑞因治疗动物尿液变色;然而,在尸检中发现肾脏或其他器官无病理变化。收集了全部32个关节,除因感染而排除的,对剩余31个进行组织学分析。定量组织学结果:从Ctrl和OA组获得的钙化片中软骨下骨测量参数相似,且两组无变化(Ctrl+DC和OA+DC). 软骨相关参数,非钙化软骨厚度((nCg.Th)表明OA组明显高于Ctrl和Ctrl +DC组。OA?+?DC组(膝盖手术后使用双醋瑞因治疗组)nCg呈下降。Ctrl和OA组之间总的软骨厚度(Cg.Th)差异不显著.OA组的软骨厚度明显高于其他组,OA+DC组的软骨厚度位于对照组和OA组之间。OA组表面有很多肌纤维化。滑膜中的两个变量,即内层细胞的特征和增生的存在,在OA和Ctrl组之间有统计学意义,但没有炎症浸润。两个双醋瑞因组之间唯一的差异是存在增生。结论:口服双醋瑞因作为治疗兔手术模型早期OA能减少软骨肿胀,表面改变与滑膜炎症。关于软骨下骨,双醋瑞因对健康非关节炎有增加骨量和骨密度的能力,但其结果至今未公布。这项研究也证明了动物模型的有效性,微CT可以检测关节软骨形态的形态变化。还需要进一步的研究来确定双醋瑞因对长期OA动物模型的疗效。






