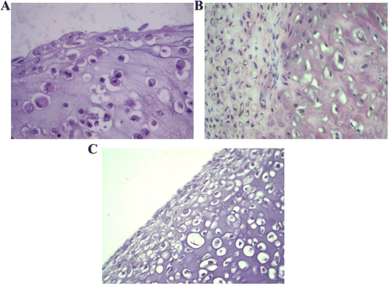
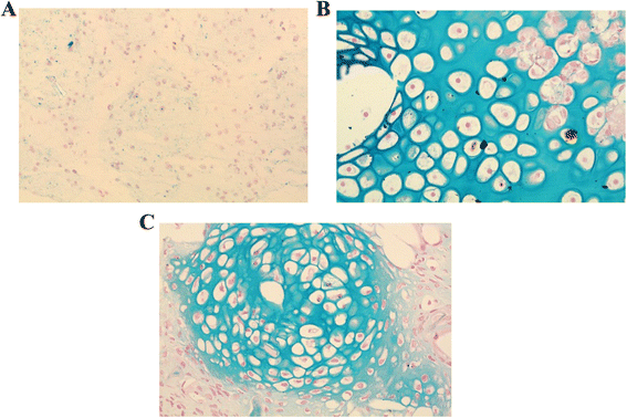
摘要:功能组织工程已成为治疗软骨缺损的一种可能手段。发展稳定的软骨复合物被认为是一个很好的选择。本研究的目的是观察利用纤维蛋白作为细胞载体在多孔钽上培养软骨细胞是否能促进软骨组织的形成。方法:以纤维蛋白为基质,将培养的兔关节软骨细胞接种于钽基体上,分为三组。第一组保存于体外,第二组和第三组植入12只小鼠背部。植入组织在4周(第二组)和8周(第三组)后取出。通过组织学、生化鉴定、免疫组织化学及定量PCR等方法对软骨生长的特异性进行研究。结果:通过HE染色和阿利新蓝染色对形成软骨组织进行生化评价,显示陷窝软骨细胞蛋白多糖基质丰富。植入后8周在切除组织二甲基亚甲蓝试验表现出很高的多糖含量。免疫组化结果显示植入后的复合物表达了II型胶原。定量PCR结果证实植入后软骨相关基因的表达显著增加(II型胶原AGGC,SOX 9)。结论:以纤维蛋白为细胞载体的钽支架促进软骨细胞增殖和软骨组织形成。在稳定的钽和纤维蛋白结构内产生透明软骨有治疗软骨缺损的潜力。关键词:软骨复合 多孔钽 软骨细胞的增殖 软骨缺损 纤维蛋白简介:全世界大约有二百万人受到关节炎的影响。全关节置换通常是终末期治疗,但植入寿命是一个问题,超过一半的受感染者年龄在65岁以下。关节软骨损伤,导致早期的关节炎。由于关节软骨的无血管性和对损伤的无效反应,关节软骨在较大的缺陷中的治愈潜力有限。部分厚度损伤不愈合,仅仅是刺激在细胞复制和基质的形成到相邻的软骨全层损伤最小的反应,而穿透软骨下骨产生正常的愈合反应但最终填补缺损的软骨。纤维软骨抗张力与正常的透明软骨相反,它能抵抗压迫力。因此,迫切需要一种有效的生物愈合和再生软骨的方法来预防早期关节炎。治疗骨软骨损伤的手术方法多种多样。骨髓刺激和表面置换技术已被提倡,但它们在处理大缺陷和产生透明软骨方面有其局限性。自体软骨细胞植入(ACI)引起了人们的注意。它需要两次手术,需要实验室的支持来培育细胞。功能性组织工程是一种新型的增强组织再生的方法,提供了生产组织的生物力学、生化和形态学方面的可能性,类似于本身组织。在绵羊身上进行的临床前研究,目的是评估自体软骨细胞纤维蛋白植入物在模拟临床应用中的性能。然而,它有它自己的局限性。软骨细胞纤维蛋白结构太软,不能独立固定到缺陷处。技术上,用骨膜补片将植入物固定到缺损处。人们一直在寻求一种新的更可靠的技术来修复或重建骨软骨缺损。具有更好的集成性能和不需要自体骨软骨移植或异体组织的骨软骨移植的生物化学和力学性能的复合材料的开发将是有吸引力的。钽是一种具有良好的生物相容性和抗腐蚀性的金属元素,由于其低弹性模量和低摩擦特性,在骨科领域得到了广泛的应用。它还具有高连通性的多孔性,具有优良的骨生长特性。在本研究中,我们将培养的软骨细胞在多孔钽利用纤维蛋白作为细胞载体支架体外构建软骨。材料和方法:坦的制备:钽支架直径为10毫米,厚度为0.5毫米。软骨细胞的制备:实验选用6只年龄在2个月大、体重2~2.3公斤的新西兰白兔作实验动物。采血前处死动物,用过量的苯巴比妥获得自体血浆和血清。采用无菌技术从膝关节、髋关节和髌骨关节面获取全层软骨。从软骨膜分离软骨,切成碎块,用含100μ/ml青霉素和100μ/ml链霉素的Dulbecco磷酸盐缓冲液冲洗。最后,样品用DPBS再洗一次。在37℃培养下,软骨用0.3%型胶原酶消化90分钟。样品离心(500×G)10分钟得到细胞颗粒。除去上清液,粒细胞用15毫升DPBS洗去除剩余酶。样品离心10 min得到最终的颗粒细胞。分离的软骨细胞接种于六孔培养板(Ham's F12和Dulbecco's的改良培养基1:1+1%抗坏血酸+10%自体血清+抗菌/抗真菌+1%谷氨酰胺)中。放入37°C,5%的CO2培养箱中,每3天更换一次培养基。原代培养用0.125%胰蛋白酶EDTA消化。细胞颗粒在175平方厘米培养瓶中培养,密度为5000细胞/平方厘米。每天用倒置显微镜观察软骨细胞形态特征。汇合后,细胞用胰蛋白酶消化和并同血浆混合后放入钽。加入氯化钙溶液后,纤维蛋白发生聚合。植入前培养的细胞纤维蛋白钽结构维持3天。在六个培养皿中培养,并置入二氧化碳培养箱中。植入:采用无菌技术、手术过程镇静麻醉,药物包括氯胺酮,甲苯噻嗪和舒泰按体重肌内给药。在裸鼠背部制作手术切口,并在背部左右侧植入两个结构。皮肤缝合。三只小鼠于4周后处死,另三只小鼠8周后处死。组织学和生化鉴定:取软骨进行组织学和生化鉴定。在4°C,用10%福尔马林固定24小时用标准组织学技术进行处理,最后用石蜡包埋。组织的横截面(5μm厚)HE染色、阿利新蓝根据标准程序操作。生化评估,糖胺聚糖(GAGs)的量测采用二甲基亚甲蓝(DMMB)法,记录每干重形成软骨糖胺聚糖的总量。GAG量化:构建细胞/聚合物总GAG含量采用木瓜蛋白酶消化和二甲基亚甲蓝染色法测定。用波长为520 nm的分光光度计测定消化样品的光密度。免疫组织化学:福尔马林固定组织切片,用蛋白酶K在37°C处理60分钟,然后用三次缓冲盐水冲洗三次。用过氧化物酶块在37°C处理10分钟,然后用抗体孵育。采用两种抗体,抗I型和抗II型胶原是1:150稀释和在37°C,作用于不同的部分40分钟。用TBS冲洗后,切片,与HRP在37°C作用40分钟。用TBS洗一遍后,DAB显色。结果:细胞形态和结构的大体外观:细胞单层培养,呈小多边形,继续增殖,1周后达到汇合。植入后,所有裸鼠存活,没有任何临床症状的发病率或死亡率。这种结构显示了稳定的植入物,没有组织反应的迹象。植入4周和8周后,分别处死三只裸鼠并取材。组织工程化软骨呈白色、光滑、闪亮,感觉坚实,抗压能力与正常透明软骨相似。组织学结果:在体外1天、4周和8周体内的组织学结果是可变的。体外成熟的陷窝细胞样品表现出少嗜碱性基质背景。体内样品在4周植入了陷窝细胞分布更均匀,但组织中有不成熟的活性核。植入8周的样本显示陷窝细胞均匀分布嵌在嗜碱性基质中。在4周和8周,钽保持完好,并与细胞和纤维蛋白嵌合。阿新蓝染色和特殊染色显示未成熟细胞蛋白多糖的稀疏透明背景。植入4周后,细胞呈圆形,胞外基质染成蓝色,表明蛋白多糖的产生。在8周的体内样本中,有丰富的成熟细胞成簇,在细胞外基质中广泛染色。GAG量化:体外、体内4周、体内8周形成的组织每干重GAGs分别为47.32±3.12, 58.37±1.28和72.40±2.72。统计分析采用方差分析法显示组间GAGs增加量从体外(1日)到体内(4周和8周)具有统计学意义。这表明在体内环境中随着植入期的延长形成了高质量的软骨组织。免疫组化构建:植入后,组织工程软骨在4周和8周内由未成熟组织向成熟方向发展。8周时,组织学特征显示陷窝形成,细胞外基质增多。体外构建软骨细胞分布较差,陷窝形成较少。体内构建表现出对II型胶原很强的表达的棕色变色细胞。观察到I型胶原呈弱免疫阳性反应。实时PCR检测:在体内构建4周和8周与体外构建相比,软骨相关基因(II型胶原,聚集蛋白聚糖核心蛋白,SOX 9转录因子)显著表达。这证明体内组织工程软骨能产生成熟软骨表型。但构建4周和8周没有观察到显著差异。结论:表明,钽支架蛋白作为细胞载体促进细胞增殖和兔关节软骨细胞的软骨组织形成。组织工程化和生物化学评估、GAG定量、免疫组织化学和实时PCR证明体内植入构建的软骨显示出高质量的透明组织。这一研究结果突出了钽软骨细胞纤维蛋白复合物治疗软骨缺损的潜力。






