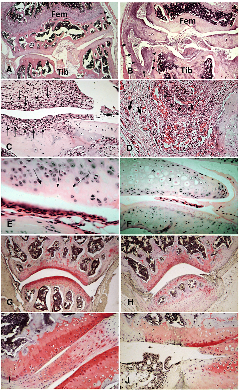
摘要:背景:类风湿关节炎(RA)患者的成纤维细胞样滑膜细胞(FLSS)在联合移植模型中被自主激活以维持炎症和关节破坏。为了阐明这一改变行为的诱导机制,我们在一个转移模型中研究了小鼠抗原诱导关节炎(AIA)中FLSS的促关节炎潜能。方法:对FLSS分离、体外扩增和转移到严重联合免疫缺陷(SCID)小鼠膝关节腔。结果:来自AIA小鼠的FLSS能够将关节炎转移到受体SCID小鼠体内。FLS转移引起慢性关节炎,炎性细胞增多,软骨破坏明显。由于从急性关节炎分离的细胞完全有能力转移关节炎,因此在FLSS中标记关节炎性不需要长期炎症。在我们的单关节关节关节炎模型中,我们还观察了从对侧非关节炎关节分离出的FLSS中的关节生成潜能。结论:我们发现,在关节炎发展的早期,FLSS转化为关节生成细胞。这挑战了目前关于这些细胞在关节炎发病机制中的作用的假设,为进一步的机制研究开辟了道路。关键词:关节炎 滑膜成纤维细胞 关节破坏背景:类风湿性关节炎(RA)是一种主要影响关节的慢性炎症性疾病。类风湿关节炎的主要组织学特征是来自先天和适应性免疫系统的细胞浸润,滑膜增生,软骨和邻近骨破坏。成纤维细胞样滑膜细胞(FLSs)是滑膜增生的主要细胞类型,在RA发病中起着关键作用。通过产生不同的炎性细胞因子和趋化因子,它们可以招募炎性细胞并维持其在炎症关节中的持久性。FLSS还产生基质降解酶,如基质金属蛋白酶(MMPS)和组织蛋白酶,因此直接参与关节破坏。FLSS的一个显著特征是在组织培养中或在严重联合免疫缺陷(SCID)小鼠植入后维持其激活表型的能力。由于RA患者的滑膜含有不同细胞类型的混合物,在以后的研究中,在转移到SCID小鼠之前分离出FLSS。在这种嵌合体模型中,FLSS附着并侵入共同植入的软骨,并招募炎症细胞。此外,破坏性成纤维细胞迁移并破坏未受影响的软骨,移植到免疫缺陷小鼠的其他解剖位置。因此,尽管该模型不能反映RA复杂发病机制的所有方面,但它支持了一种观点,即FLSS的永久自主激活是疾病进展的核心。由于最终引发类风湿性关节炎的免疫过程比临床疾病早很多年,最终导致FLS激活和疾病的级联事件不能从患者材料中重建。因此,明确需要动物模型来更好地了解成纤维细胞对关节炎慢性炎症和关节破坏的作用。迄今为止,只有一项已发表的研究使用克隆的永生化FLSS证实了在肿瘤坏死因子(TNF)转基因小鼠模型中观察到的FLSS的关节生成行为。目前尚不清楚这种行为是否也可以印证在从关节炎野生型小鼠分离出的非永生FLSS上。基于以上使用类风湿关节炎患者FLSS的研究,人们普遍认为这些细胞的关节炎促进作用是长期慢性炎症的结果。因此,我们旨在阐明在我们的小鼠模型中,慢性炎症是否是导致FLSS关节炎性转化的强制性因素。如果急性(短期)关节炎足以引起FLS行为的持续变化,可以假设这些细胞在慢性关节炎的诱导和持续过程中功能一致。研究目的是回答关节炎发病机制中FLSS生物学的一些基本问题。我们使用抗原诱导性关节炎(AIA),这是由关节内注射抗原到预先免疫相同抗原的动物膝关节腔引起的。该模型的选择是因为其100%的发病率和病源性变化的时间进程。这些特征允许系统地研究关节炎和非关节炎膝关节的FLS行为。方法:动物和关节炎诱导:将6~12周龄雌性C57BL/6小鼠皮下注射50μl含100μg甲基化牛血清白蛋白生理盐水溶液,2 mg/ml热灭活结核杆菌同50μl完全弗氏佐剂乳化液,诱导关节炎。同时,给小鼠注射5×108热灭活百日咳杆菌。第0天,单次注射溶100μg MBSA的25μl生理盐水溶液至右膝关节腔,诱发关节炎。左膝关节未经治疗。动物被处死,在急性期(第7天之前)或慢性期(第7天之后)解剖膝盖准备滑膜细胞。采用6-8周龄的BALB/C SCID小鼠作为受体。制备FLSS:通过从正常、免疫或关节炎小鼠(在关节炎诱导后的不同时间点)的膝关节解剖的滑膜组织中的外植体培养获得FLSS。用0.1%胰蛋白酶在磷酸盐缓冲液(PBS)中消化30分钟,洗涤后用溶于PBS的0.1%胶原酶P消化2小时。将培养物置入含10 mM 4 -(2-羟乙基)-1-哌嗪乙烷磺酸(HEPES)、1 mM丙酮酸钠、100 U/ml青霉素、0.1 mg/ml链霉素、2 mM谷氨酰胺和20%胎牛血清的DulbCo改性EAG培养基(DMEM)中,37度,5% CO2条件下培养。每天都更换培养液。滑膜细胞在7天内从移植物滑膜中出现。用0.25%胰蛋白酶/0.02%乙二胺四乙酸消化分离FLS,并在添加10%胎牛血清的完全DMEM中继代培养。滑膜细胞反复传代以丰富FLSS和耗尽巨噬细胞。在一些实验中,我们用抗CD11b的磁细胞分选法在第一次通过后去除细胞培养物中的巨噬细胞,然后用抗大鼠dynabeads?进行筛选。使用磁性粒子浓缩器进行分离。所有用于转移实验的FLS制剂均含有>95%的成纤维细胞,呈典型的纺锤形形态。根据制造商的说明,细胞培养用酶联免疫吸附测定检测试剂盒常规筛选支原体的感染情况。关节炎发展的细胞转移与监测:用0.25%胰蛋白酶/0.02%乙二胺四乙酸(EDTA)在PBS中收获第三至第五代的FLSS,并在PBS中洗涤和悬浮,最终浓度为1.2×107 cell/ml;然后将25μl(3×105细胞)这种悬浮液注入受者SCID小鼠的膝关节腔。用游标卡尺测量膝关节中外侧直径,观察SCID小鼠临床关节炎的发展。膝关节肿胀表现为右(注射)膝关节和左(未治疗)膝关节之间的差异。为了对关节炎严重程度进行组织学评估,在细胞移植后70-100天处死了SCID小鼠。全膝关节在4.5%Tris福尔马林缓冲液中取出并固定。用15%乙二胺四乙酸(EDTA)脱钙、石蜡包埋、切片后,用苏木精和伊红(H&E)染色载玻片。至少两个不同的观察者对来自三个不同水平膝关节的三个部分(2μm)的炎症程度和关节破坏程度进行了盲法评估。用0-3分量表评估炎症的严重程度(0:无;1:轻度;2:中度;3:重度),表明内层增生和细胞浸润。通过对软骨细胞形成和软骨细胞坏死以及软骨和骨侵蚀的评分来评估降解的严重性。通过将所有四个参数的得分相加,计算出每只动物的最终关节炎评分。为了评估蛋白多糖的损失,切片用番红O染色。染色程度与软骨层蛋白多糖的损失成反比。结果:AIA诱导的C57BL/6小鼠FLSS在SCID小鼠中的转移:为了研究FLSS在体内的致关节炎潜能,将这些细胞注射到SCID小鼠的膝关节中。我们通过测量膝关节直径和实验结束时膝关节的组织学检查来跟踪关节炎的发展。急性关节炎(AIA诱导后第7天分离)小鼠受影响膝关节的FLSS导致受试者关节肿胀缓慢增加。慢性AIA(第7天后分离)小鼠的FLSS受体也发现了关节炎症的代表参数,尽管程度较低。我们没有在注射PBS或FLSS的SCID小鼠中发现类似的膝关节肿胀,这表明诱导关节炎的能力仅限于从关节炎小鼠中分离出来的FLSS。关节切片的组织学评价证实关节肿胀导致关节炎的发展。将从急性关节炎C57BL/6小鼠中分离出的FLSS注射到SCID受者体内,导致细胞浸润、滑膜内衬层增生、血管紧张素形成、软骨细胞坏死以及软骨和骨侵蚀。Safranin O染色显示,注射关节生成细胞也会导致蛋白多糖的丢失。这些典型的关节炎组织学征象未在从非关节炎小鼠中分离出的FLSS受体中发现。组织学关节炎严重程度的半定量评分显示,与慢性关节炎相比,急性小鼠分离的FLSS受试者的炎症和关节破坏程度更高,导致关节炎总评分更高。非关节炎小鼠的FLSS受体仅显示非常有限的炎症迹象,而关节侵蚀几乎完全不存在。数据表明,从AIA小鼠中分离出的FLSS在没有外源性激活的情况下具有并维持其关节炎潜能,这种行为类似于从RA患者中分离出的FLSS。FLSS的这种关节炎性潜能在疾病早期被诱导,并不是长期炎症的结果。转移前巨噬细胞的消耗对疾病没有影响:在第三次传代后,我们的FLS培养物仍然含有大约20%的CD11b+巨噬细胞样细胞。有可能这些激活的巨噬细胞,而不是这些制剂中所含的FLSS,会触发受体SCID小鼠膝关节的炎症和关节破坏。用急性关节炎AIA小鼠FLS制备的免疫球蛋白去除CD11b+细胞。我们在受者膝关节的组织学检查中没有发现炎症变化或关节破坏的差异。此外,在巨噬细胞耗尽的制剂中,成纤维细胞的少量富集并未导致关节炎严重程度的显著增加。AIA小鼠对侧(对照)膝关节的FLSS也显示出关节炎的潜在性:检查成纤维细胞和浸润细胞之间的相互作用是否对诱导关节炎的侵袭性是必要的。由于AIA是一个单关节关节关节炎模型,我们能够比较受影响的同侧关节和未受影响的对侧膝关节的FLS制剂的关节炎性。虽然AIA的对侧膝关节从未显示出组织学异常,但这些关节的FLS制剂是令人惊讶的有效的关节炎诱导剂。受者膝关节终点组织学的半定量评分显示同侧和对侧膝关节FLSS患者炎症明显减轻,但关节损伤相似。结论:我们在本报告中证明了实验性炎症性AIA小鼠的FLSS与人类RA患者的FLSS共享重要特征。因此,该模型是实验分析慢性关节炎诱导和关节破坏中FLSS致病作用分子机制的重要工具。



