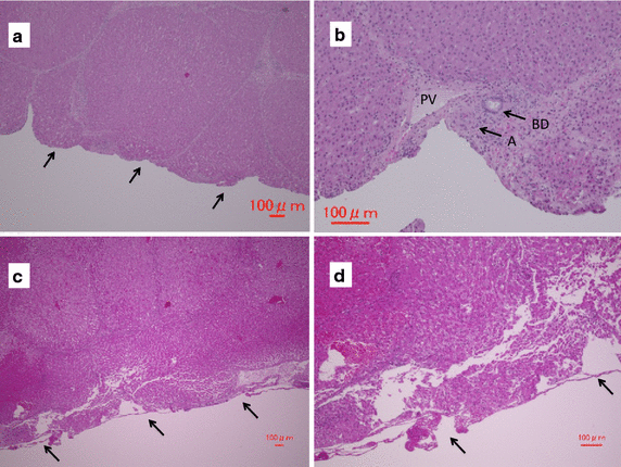
摘要:保留肝血管,分隔薄壁组织是及时实现肝安全切除的关键。在这项研究中,我们评估了新型压电执行器驱动脉冲水射流(ADPJ)对猪模型肝切除的可行性。方法:对十只猪进行肝切除术,使用ADPJ(组A,n=5)或超声吸引器(组U,n=5)进行实质横断和血管骨骼化. 在400赫兹的频率,驱动电压为80伏下施加水射流。以7毫升/分钟的流速供给生理盐水。术后7天处死动物,比较两组的近期并发症。结果:两组在手术过程中均未出现严重出血等并发症。A组横断区横断时间明显短于U组。A组和u组每横断面积出血量无显著性差异。A组所有猪存活7天。剖检观察任何动物术后无出血或胆汁泄漏。结论:目前的结果表明,ADPJ降低切断时间不增加出血。ADPJ是安全、可行的肝实质切除装置。关键词:脉冲水射流 超声吸引术 肝切除手术 出血 横断时间背景:为了减少肝手术中的术中失血,许多干预措施被引入,因为失血过多增加了术后并发症的风险。血管闭塞技术和低中心静脉压麻醉广泛用于减少实质切除术中出血。止血设备的引进,如氩气刀、超声凝固剪,盐水与射频技术、血管吻合器,有助于减少肝切除术中的失血量。手指骨折技术是在20世纪60年代发展起来的,在保留肝血管的同时解剖肝实质。其次是对钳夹法超声吸引器介绍(UA),并与连续水射流解剖器。然而,在保留肝血管、减少失血量和减少手术时间的同时,肝实质切除的最佳方法尚待确定。目前,在外科手术中使用的实质性解剖方法在很大程度上取决于外科医生的选择。连续水射流解剖器允许外科医生解剖器官而保留血管的直径超过100–200μm。然而,这些工具有一些局限性,特别是气泡的形成,使手术领域模糊不清,飞溅的血液会增加外科医生和护士交叉感染的风险。脉冲水射流剥离技术是一种新技术,能显著降低消耗的组织剥离。因此,这种技术可以减少气泡的形成和喷溅。在最近使用激光诱导脉冲水喷射装置的神经外科研究中,研究者显著减少了术中失血量和手术次数,同时增加了复杂垂体瘤和颅底病变患者的肿瘤体积。脉冲水射流系统的压电致动器驱动(ADPJ)是一项新技术,发射出少量的稳定脉冲水,允许精细控制软组织假体的解剖。用猪肝脏体外研究,该系统允许操作者解剖肝实质,同时保留肝静脉和Glisson的鞘。通过改变输入电压来控制脉冲水射流的峰值压力。本研究的目的是评估猪模型使用adpj肝切除方法的可行性,有效性和安全性并与一种广泛使用的设备比较(即UA)。方法:ADPJ概况:ADPJ由机头、供给泵,和一个控制器组成。压电致动器的位移为20μm,在输入电压为150 V时没有有效载荷,被粘在铝盘上,作为活塞。活塞粘在不锈钢膜片上(0.02毫米厚),固定在金属壁的边缘上,但在其中心与金属壁相隔0.1毫米,以便将水注入室内。一个直径为1.1毫米的不锈钢连接管直接连接到执行器上。一个喷嘴(直径0.15毫米)连接到连接管上。一个供给泵通过一个毛细管入口(直径0.3毫米)以可控制的流速连续地向室内注入生理盐水。为了驱动活塞,在特定频率下施加压给压电致动器。因此,脉冲水射流在基于频率的脉冲率下喷射。动物:十头猪(2雄,8雌),平均体重36公斤。ADPJ设置:脉冲水射流频率为400赫兹,驱动电压为80 V,流速为7 ml/min生理盐水。在初步实验中测定了各个参数,在猪肝脏的解剖过程中测试了不同的驱动电压和流量。麻醉:动物使用0.04–0.06毫克/公斤右旋美托咪定,0.2–0.4毫克/公斤咪达唑仑,和0.2毫克盐酸丁丙诺啡。在手术过程中,异氟烷气体用于维持麻醉。整个过程中持续监测心率、血氧饱和度、两导联心电图和动脉血压。在肝切除开始和结束时测量中心静脉压,约为5毫米汞柱。术后镇痛采用直肠丁丙诺啡和对乙酰氨基酚。手术操作:同一个外科医生进行了所有的肝切除术。肝脏经中线剖腹探查。胆囊切除术后,切除右中叶右下缘。这段Glissonean pedicle被包围和结扎肝门,无肝脏解剖。术后确认缺血区与残留区交界处的肝实质。所有切除均行暂时性血管闭塞。动脉收缩压降至80毫米汞柱或血氧饱和度降至90%以下时,停止血管闭塞和肝切除术。动脉收缩压和血氧饱和度恢复后,再次行血管闭塞和肝切除术。实验设计:10只动物随机分为两组。每只动物用手术刀解剖肝囊。使用ADPJ(组A,n=5)或超声吸引器(组U,n=5)进行实质横断和血管骨骼化. 电刀对小血管(通常小于1毫米的直径)进行切割和烧灼,切断前结扎大血管。通过将吸入的纱布拭子的体积与抽吸装置的容器内相加来计算失血量。ADPJ或UA损失的血液量就从这个体积减去使用adpj或UA注入生理盐水的体积。从开始测量到最后是肝实质切除术的持续时间,不包括Pringle法等待时间。因此,横断时间对应于肝门阻断时间。术后第7天,对腹腔进行短期腹腔内并发症检查,然后用过量的氯化钾处死动物。测定血清电解质:每个动物在手术前和完成肝切除后采集血液样本。4°C ,1750×G条件下离心15分钟制备血清,然后过滤。过滤后测定血清电解质浓度(钠和氯化物)。组织病理学评价:肝切除后用甲醛固定,石蜡包埋。用苏木精-伊红染色切片评价切除组织标本的组织病理学特征。结果:手术结果:切除肝实质,使用ADPJ对血管损失小,A组和U组的中心静脉压无显著性差异。两组动物均耐受手术,术中无大出血等并发症。然而,U组的一头猪在手术后数小时死亡。这只猪耐受了外科手术。这只猪的失血量为362.4毫升,与其他9只猪的平均失血量相比,没有太大的损失。然而,在手术结束时,猪的血氧饱和度和动脉血压下降。麻醉苏醒后,血压和血氧饱和度恢复。拔管成功后转入抢救室。猪在手术后几小时死于康复室。无术后出血、胆汁漏。U组其余四只猪和A组所有猪存活7天,无术后出血或胆汁漏。血清钠和氯离子浓度:所有动物的肝切除后血清钠和氯离子浓度均略有下降,但A组除外。A组肝实质横断后血清钠浓度明显高于U组,a组与U组血清钠浓度及手术前后血清氯离子浓度变化无显著性差异。组织病理学表现:组织学分析显示,使用ADPJ横断肝实质同时保留Glisson鞘,包括门静脉、动脉和胆管。使用UA肝组织横断面比使用ADPJ更钝,损失的肝细胞也较多。结论:我们成功地对猪模型使用ADPJ进行了肝切除术。研究结果表明,像UA一样ADPJ是肝实质切除的安全可行工具。adpj的各种设置具有很大的潜力,未来的研究应探讨在经自然腔道内窥镜下肝切除手术和机器人手术使用该系统。




