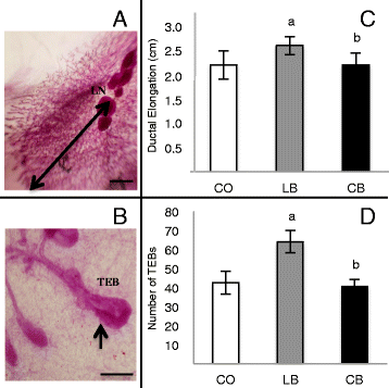
摘要:虽然男性贡献了胚胎基因组的一半,但最近才开始关注父亲对后代健康的潜在影响。虽然有证据表明父亲营养不良可能增加后代对代谢性疾病的易感性,但很少有研究考察父亲因素对女儿乳腺癌风险的影响。方法:雄性SD大鼠,在青春期之前或期间以猪油(高饱和脂肪酸)或玉米油(n-6多不饱和脂肪)高脂饮食(脂肪提供60%热量)为主。对照组饲喂AIN-93G对照饮食(脂肪提供16%热量)。50日龄的雌性后代仅饲喂正常商品粮,诱发乳腺癌并对乳腺肿瘤的发生发展进行了评价。对精子细胞和乳腺组织进行细胞和分子分析。结果:与对照组大鼠的雌性后代相比,猪油喂养的雄性大鼠的后代在肿瘤潜伏期、生长或多样性方面没有差异。然而,与对照组和饲喂玉米油的雄性大鼠相比,饲喂猪油的雄性大鼠的雌性后代,其乳腺上皮细胞的伸长、终末芽的数目和肿瘤发生率都增加。与对照组大鼠的雌性后代相比,玉米油喂养雄性大鼠雌性后代的肿瘤生长有所下降,但在肿瘤发生率、潜伏期或多样性方面没有差异。此外,玉米油喂养雄性大鼠的雌性后代与猪油饲喂的雄性大鼠的雌性后代相比,其肿瘤潜伏期延长,肿瘤生长和多样性下降。父亲食用动物性或植物性高脂肪食物会产生相反的效果。富含饱和脂肪酸的猪油会增加后代患乳腺癌的风险。玉米油富含n-6多不饱和脂肪酸减少乳腺癌的风险。这些效应可能与父亲精子及其女儿乳腺中microRNA表达的改变以及乳腺癌相关蛋白在组织中表达的改变有关。结论:我们的发现强调了父亲营养对后代患乳腺癌风险的重要性。关键词:父亲饮食;乳腺癌;高脂肪饮食;雌性后代背景:乳腺癌的发病率在未来20年预计将显著增加,尽管目前努力预防疾病。这种增长的确切原因还不清楚,现代妇女的生活方式,包括推迟第一次怀孕和少生孩子,可以解释增长的原因。营养习惯,如采用西方膳食模式,同乳腺癌风险的增加相关联。特点是低摄入水果和蔬菜,增加能量的摄入,降低能量消耗,导致肥胖,以及增加饱和脂肪酸的摄入(SFA)、n-6多不饱和脂肪酸(PUFA),和反式脂肪酸和降低n-3多不饱和脂肪的摄入量。虽然大多数关于营养和乳腺癌风险的流行病学研究都集中在成年妇女的饮食中,但积累流行病学和实验证据突出了早期生活经验,包括营养,作为以后乳腺癌风险测定的相关因素。乳腺癌症的发展起源主要是从母性角度考虑的,重点是妊娠期和哺乳期高脂肪或能量摄入对女性后代乳腺发育和晚期乳腺癌风险的影响。虽然男性贡献了胚胎基因组的一半,但最近才开始关注父亲对后代健康的潜在影响。虽然实验研究表明,父亲营养不良可能增加后代对代谢失调、肥胖和心血管疾病的易感性。父亲因素对女儿乳腺癌风险的影响在一些研究中已经得到检验。考虑到过去三年饮食脂肪摄入量的显著增加,以及不同种类的膳食脂肪会导致不同的健康结果。我们设计了这项研究,调查在大鼠体内,父亲摄入高水平的动物或植物脂肪会影响他们的女儿患乳腺癌的风险。我们还研究了潜在的细胞和分子机制。我们饲养的雄性SD大鼠,在青春期饲喂猪油为主(在SFA)或玉米油(在n-6多不饱和脂肪酸高)高脂饮食(脂肪提供60%热量)。对照组动物饲喂含大豆油作为脂肪源控制AIN-93G饮食(脂肪提供16%热量)。我们发现,父亲对这些高脂肪饮食的消费引起了相反的效果,动物脂肪的增加和植物油降低了后代患乳腺癌的风险。这些影响可能与父亲精子及其女儿乳腺中miRNA表达的改变以及乳腺癌相关蛋白在乳腺组织中表达的改变有关。新的数据表明,父亲高脂肪饮食影响他们的女性后代对乳腺癌的易感性,猪油增加和玉米油减少女儿患乳腺癌的风险。方法:实验设计:21日龄雄性大鼠随机分为三组(每组,n = 20只):对照组(饲喂AIN-93G饮食,脂肪提供16%热量),猪油喂养雄性大鼠(脂肪提供60%热量),玉米油喂养的雄性大鼠(脂肪提供60%热量)。在12周龄的时候,所有雄性大鼠参入交配,一只雄性和一只雌性鼠交配。怀孕的雌性大鼠和他们的后代只消耗商品饲料。每周记录两次或三次体重和食物摄入量。日粮脂肪的测定:根据官方分析化学家协会公布的方法确定了对照组、猪油和玉米油的脂质分布。胰岛素耐量试验:在试验进行0800小时,大鼠禁食12 h后,根据Takada等人所描述的方法操作。将胰岛素(75mU/ 100g体重)注射给药,分别在注射后0, 3, 6、9, 12、30分钟测定雄性大鼠及其50日龄雌性后代的血糖水平。成熟精子的收集与纯化:对照饮食,猪油和玉米油喂养雄性大鼠,同雌鼠交配并确定其怀孕后将其杀害,解剖尾部附睾收集精子。取雄性大鼠尾部和输精管,刺破并转移到含有M2培养基的组织培养皿中,在37°C孵育1小时。精子样本用PBS冲洗,然后与体细胞裂解缓冲液(SCLB)孵育1小时,用PBS冲洗2次,纯化精子。并用于提取Mrna.每日精子生成量的测定: 右侧睾丸保持在−20°C冰箱直到处理,确定每日精子生成。由于染色质的高压缩性,细长的精子细胞在阶段17–19精子发生强烈的机械应力。精子形态学分析:附睾冻结在−20°C,切开,并随后浸入PBS促进配子的水介质中传播。然后将所得溶液置于玻片上,用光学显微镜检查。镜下放大400 ×,每只动物观察二百个精子 。乳腺取样:在出生后50天收集对照组和猪油、玉米油饲喂动物的雌性后代乳腺,用于制备乳腺悬液及提取mRNA和蛋白质。乳腺形态与发育的分析:每组(N = 5 /组)从50日龄雌性后代获取乳腺,测定上皮细胞的伸长、终末芽的数目。乳腺肿瘤的诱导:对50日龄的子代大鼠诱导乳腺肿瘤(N = 24只/组)。将致癌物溶解于玉米油中,口服给药。动物每周触诊两次,检查乳腺肿瘤。对肿瘤的潜伏期、肿瘤动物数、每种动物肿瘤数(多样性)进行了评价。从肿瘤发生后每周计算一次肿瘤体积以肿瘤长度(a)、高度(b)和宽度(c)。在给定的一周使用每个肿瘤体积(D)和随后的一周(E)用公式计算肿瘤生长率[外观(E − D)/ D ] × 100。肿瘤重量约占总体重的10%的动物被杀死。所有其他动物在致癌物使用19周后被杀死。子代乳腺及肿瘤细胞增殖与凋亡的分析:使用Ki-67免疫组化法评估50日龄的雌性后代细胞增殖(乳腺导管和小叶)(n = 4 /组)。取乳腺组织后,直接用10%福尔马林缓冲固定,石蜡包埋,切片。切片二甲苯脱蜡、通过梯度乙醇水化。结果:雌性后代健康状况: 猪油和玉米油喂养雄性大鼠的雌性后代有更大的体重(P ≤ 0.05)和体重增加比对照组饮食喂养雄性大鼠的后代。猪油和玉米油喂养雄性大鼠的雌性后代体重无明显差异。玉米油喂养雄性大鼠的雌性后代体重增加较猪油喂养雄性大鼠的后代少。类似于雄性大鼠,猪油和玉米油饲喂的大鼠后代比对照组大鼠有更大的腹膜后脂肪重量。猪油和玉米油雌性后代之间无显著差异。猪油喂养雄性大鼠的雌性后代有较高空腹血糖水平和高的曲线下面积比对照组或玉米油喂养雄性大鼠组。对照组和玉米油组之间无显著差异。雌性后代乳腺形态:以50日龄雌性后代为研究对象,对整个乳腺组织进行了形态学观察。猪油饲喂组雌性后代的上皮细胞伸长和终末芽的数目均高于对照组和玉米油饲喂组的雌性后代。但对照组和玉米油饲养组的雌性后代无显著差异。雌性后代乳腺肿瘤:通过给予致癌物DMBA诱导雌性后代乳腺肿瘤。相比于其他两组,猪油喂养雄性大鼠的雌性后代增加了乳腺肿瘤的发病率。对照组和玉米油组的雌性后代之间无显著差异。玉米油喂养雄性大鼠的雌性后代表现出更长的肿瘤的潜伏期,降低肿瘤的多样性,比猪油喂养雄性大鼠的雌性后代。同对照组雌性后代相比,猪油和玉米油饲喂的雌性后代肿瘤潜伏期和多样性无显著差异。玉米油喂养雄性大鼠的雌性后代(P ≤ 0.05)肿瘤生长和第一周肿瘤出现明显比其他两组后代少。对照组和猪油饲喂组雌性后代的肿瘤生长无显著差异。另外,其余实验周的肿瘤生长率各组间无统计学差异。雌性后代乳腺与肿瘤细胞增殖和凋亡:猪油喂养雄性大鼠的雌性后代与对照组和玉米油雄性大鼠雌性后代相比,乳腺小叶增生细胞增多,凋亡细胞数量减少。对照组和玉米油饲喂组雌性后代之间无显著差异。所有组雌性后代乳腺导管上皮细胞增殖与凋亡无显著差异。猪油和玉米油喂养的雄性大鼠的雌性后代乳腺肿瘤细胞凋亡的数量比对照组的雌性大鼠的雌性后代减少。但猪油玉米油饲喂的雌性后代之间无显著差异。此外各组雌性后代的乳腺肿瘤细胞增殖无显著差异。结论:在本研究中,我们发现,父亲摄入高脂肪的高脂饮食,增加了女性后代患乳腺癌的风险。与对照组和饲喂玉米油的雄性大鼠相比,饲喂猪油的雄性大鼠的雌性后代,其乳腺上皮细胞的伸长、终末芽的数目和肿瘤发生率都增加。但是,如果父亲的脂肪来源是玉米油(n-6多不饱和脂肪酸高),减少这些雄性大鼠的后代患乳腺癌的风险,且能增加肿瘤潜伏期和减少肿瘤多样性。父亲精子和女儿乳腺中miRNA表达的改变可能至少是这些影响的基础,但也可能涉及其他的表观遗传变化。我们的发现强调了父亲营养对后代患乳腺癌风险的重要性。




