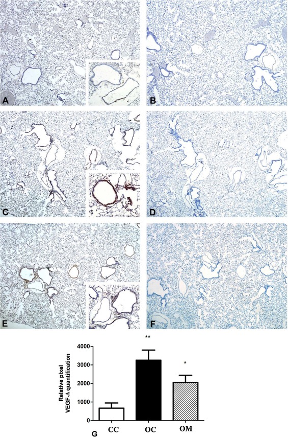
摘要:许多研究证实了二甲双胍治疗2型糖尿病的优点,但很少有研究提到它对呼吸系统的影响。此外,血管内皮生长因子(VEGF)对许多肺功能至关重要。通过这种方法,我们评估了二甲双胍对出生后营养过剩所致肥胖Swiss小鼠肺功能的影响。检测葡萄糖和胰岛素,计算胰岛素抵抗指数(HOMA);从支气管肺泡灌洗中定量测定炎症细胞和亚硝酸盐/硝酸盐浓度(NOX),分析肺组织中的胶原和肺血管内皮生长因子-A,并用乙酰胆碱诱导的支气管收缩评价肺力学。葡萄糖、胰岛素、HOMA、VEGF-A和胶原的值显示二甲双胍部分改善肥胖的作用。然而,二甲双胍不能有效地改善炎症,对氮氧化物没有影响,也不能恢复肥胖小鼠的支气管收缩。总之,在出生后肥胖的营养过剩模型中,二甲双胍对肺的有益作用是值得怀疑的。关键词:血管内皮生长因子 胰岛素 支气管收缩 气道阻力 肥胖简介:目前,二甲双胍或盐酸二甲双胍被认为是治疗2型糖尿病的首选药物。它具有许多作用,包括肠道葡萄糖摄取和增加胰岛素介导的葡萄糖处置、葡萄糖转运蛋白的易位、抑制肝葡萄糖输出和脂肪酸氧化。二甲双胍的机制可能是由一磷酸腺苷激活蛋白激酶AMPK介导的。更重要的是,二甲双胍可减轻炎症和自身免疫性脑脊髓炎,并具有血管保护作用,尤其是在糖皮质屏障中,它被用于预防和治疗癌症,以及其他有益的作用。相比之下,二甲双胍的毒性与导致肝肾疾病的代谢损伤有关。其毒性主要与乳酸性酸中毒有关,可通过急性和慢性接触产生。二甲双胍逐渐被认为是一种对中枢神经系统起作用的药物,可能加速帕金森病的发病和/或进展。尽管二甲双胍是一种广泛使用的药物,但它对呼吸系统的影响尚未得到很好的证实。血管内皮生长因子最初被描述为一种血管通透性因子;然而,它还有许多其他功能。VEGF-a 的表达一般受缺氧诱导因子(HIF-1)的调控,对于哮喘,AMPK的激活可以调节HIF/VEGF-a通路。血管内皮生长因子-a受体是血管内皮生长因子-1和血管内皮生长因子-2,后者是激酶域受体,主要负责血管内皮生长因子对内皮细胞的作用,如细胞增殖、一氧化氮(NO)和前列环素的产生、血管生成和血管通透性。肺组织中含有丰富的这种蛋白质,它对肺结构和功能的发育至关重要,对嗜酸性炎症、粘液化生、气道重塑(上皮下胶原沉积)、平滑肌增生和高反应性也很重要。此外,在哮喘小鼠中,二甲双胍降低了各种生长因子的表达。我们的研究目的是检查二甲双胍调节葡萄糖和胰岛素血浆水平的能力,对支气管肺泡灌洗液炎症细胞及一氧化氮浓度、肺组织胶原含量及血管内皮生长因子水平的影响。同时,在出生后营养过剩导致的小鼠肥胖模型中,评估随着时间推移由乙酰胆碱诱导的支气管收缩的肺力学。将小鼠置于22±2°C的温度下,并维持在12:12 h的明暗循环中。自由采食和饮水。肥胖的Swiss小鼠是通过出生后的过度营养获得的。动物:在出生后的第一天,新生雄鼠随机分为每只母鼠3只仔鼠(肥胖组),及每只母鼠12只仔鼠(对照组)。断奶后,所有雄性幼鼠都被喂以正常的食物。在7周龄候,对小鼠称重并进行处理,以测量其饮水量。分为肥胖组,正常为对照组(CC,对照组)。肥胖组分为肥胖对照组(OC)和二甲双胍治疗组(OM)。CC组和OC组接受正常饮用水,OM组接受二甲双胍(混合剂;300 mg/kg/天)。将小鼠单独饲养,仔细监测2周的耗水量,在治疗期间将小鼠单独饲养,仔细监测2周的耗水量。通过称量水瓶来估计每天的水摄入量,并以每天的速率(水摄入量g/体重10 g)计算这些值。在指定时间结束时,对所有动物进行称重,以计算Lee肥胖指数。这些组用于组织测量(生物化学和组织学参数)或呼吸力学分析。动物总数为63只。生物化学参数和样品处理:空腹12小时后,使用便携式血糖仪刺穿尾血管,以获得血糖测量值。为了进行胰岛素测量,在吸入麻醉(异氟醚)下处理小鼠以获得血液样本。采集血液样本,并在4°C下以5300转/分的速度离心10分钟,然后保存在冰箱中。使用胰岛素酶联免疫吸附测定试剂盒测定胰岛素血浆水平。应用空腹血糖和血清胰岛素浓度,采用空腹血糖(mmol/L)X空腹血清胰岛素(MU/L/22.5)计算胰岛素抵抗指数(HOMA-IR)。支气管肺泡灌洗液(BALF)细胞和亚硝酸盐/硝酸盐浓度(NOX):BALF与血样来自同一只小鼠。取血样后,对小鼠进行气管造口术,获得灌洗液。在这个过程中,在气管内注入2.5毫升PBS。用血细胞仪检测BALF中白细胞(WBC)的浓度,用台盼蓝染色排除法测定其存活率。用Giemsa染色的制剂测定BALF细胞差异。通过对每个样本至少200个BALF细胞计数,评估差异细胞计数(%)。通过Griess反应对BALF进行评估,以测定亚硝酸盐/硝酸盐浓度(NOX)。简单地说,将90μL置于96孔板中,在室温下用10μL的0.7 U/ml硝酸还原酶培养3 h。此后,将50μl的1%磺胺和50μl的0.1%萘乙二胺添加到每个孔中,并在室温下培养5分钟。用酶标仪测定540 nm下混合物的吸光度,并与标准亚硝酸盐曲线进行比较。组织学和免疫组织化学分析:收集肺泡灌洗液后,取右肺,固定于10%多聚甲醛中,石蜡包埋。为了获得总胶原纤维含量,采用四微米厚切片,用苦味酸极化法对肺泡间隔(实质)和气道中的纤维含量进行定量分析。分别用200倍和400倍放大的常规光学显微镜测量肺泡间隔和气道。对于VEGF-a免疫组化,使用7微米厚的切片,用PBS进行脱蜡和清洗。我们分别用1%过氧化氢和1%PBS/BSA培养30分钟,然后在4°C下用1:100的抗VEGF-a过夜。切片用PBS洗涤,生物素化抗兔1:500和链霉亲和素辣根过氧化物酶孵育1小时。用PBS洗涤后,用3.3-二氨基联苯胺在含有0.1%过氧化氢的50 mM TBS中孵育。呼吸力学:动物使用戊巴比妥钠,68 mg/kg,i.p.和甲苯嗪,12 mg/kg,i.p.预麻醉。使用小动物呼吸机进行气管插管,通气(潮气量为10 ml/kg,120次呼吸/min和3cm H2O正呼气末压)。注射泛古溴铵(0.5 ml/kg,i.p.)和曲马醇(50 mg/kg,i.m.),并使用加热垫保持动物体温。在与气道相连的气管插管上施加3s振荡体积扰动,测量肺系统输入阻抗(Zrs)。通过将常相模型与所得数据进行拟合,估算出气道阻力(RAW)、组织阻尼(GTIS)和组织弹性(HTIS)力学参数。在10 s的时间内,使用超声波装置对盐水溶液(载体,0.9%氯化钠)和100 mg/ml的乙酰胆碱进行雾化,评估每只小鼠的支气管收缩情况。15 s后,对呼吸力学进行90 s以上的评估。为了标准化肺部容积史,在开始溶液输送前,肺部充气一次,压力为30 cmH2O。每只小鼠在30、60和90 s时获得呼吸力学参数,并考虑测定系数最高值(≥0.85)的数据。实验结束时,动物在麻醉下处死。结果:用体重和Lee指数评价该模型诱导肥胖的有效性。与CC组相比,OC和OM组的这些参数显著增加(p<0.0001)。二甲双胍治疗没有减轻体重,也没有恢复OM组的Lee指数。与CC组相比,两个肥胖组的血糖和胰岛素水平以及HOMA均显著升高。OC组的血糖值高于CC组(P<0.005),OM组的血糖值高于CC组。这些结果提供了代谢综合征建立的证据,并且二甲双胍治疗不能修复代谢紊乱。关于BALF中的炎症细胞,我们观察到OC组与CC组相比,白细胞和泡沫细胞显著增加。与CC和OC组相比,OM组的白细胞恢复到CC组的相似水平,而OM组的泡沫细胞减少。在巨噬细胞方面,我们发现与CC组相比,OC显著降低。然而,与CC和OC组相比,OM中的巨噬细胞增加。各组淋巴细胞百分比无变化,且各组的NOX值相似。与CC组相比,OC组和OM组气道中总胶原含量增加。然而,与对照组相比,二甲双胍治疗不能修复气道。肺泡间隔胶原含量无差异。OC组与CC组相比,VEGF-a的定量显著增加。OM组血管内皮生长因子-A水平降低,但与CC组差异有统计学意义。因此,结果显示二甲双胍在CC组基础水平上不完全恢复肺血管特性。生理盐水和乙酰胆碱在30、60和90 s雾化吸入后记录肺力学参数。与CC组相比,肥胖组(OC和OM)在30 s雾化吸入乙酰胆碱后支气管收缩明显。二甲双胍治疗不能阻止肥胖小鼠在30 s时对乙酰胆碱的早期和加重反应。在60 s和90 s时,所有组对乙酰胆碱的反应相似。在30、60和90 s时,所有组的乙酰胆碱雾化后的GTI值均高于盐水雾化。未观察到HTIS值的变化。结论:产后营养过剩致小鼠肥胖,二甲双胍对血浆中葡萄糖和胰岛素水平的改善有限,对氮氧化物没有显著影响。此外,二甲双胍并不能改善BALF中的巨噬细胞,但肥胖小鼠显示血管内皮生长因子水平和气道中的总胶原减少。尽管有这些改善,但用乙酰胆碱诱导肥胖小鼠支气管收缩来评价这种药物对肺功能的修复效率,显示效率仍然很低。本研究显示二甲双胍不能促进肺部整体改善。然而,应探索不同的动物肥胖模型和代谢综合征的不同阶段,以阐明二甲双胍对肺的作用。



