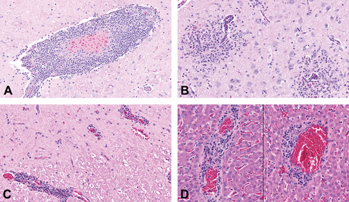
摘要:磷酸萘酚喹(NP)被认为是一种有前景的抗疟药物候选药物。雄性和雌性犬每天口服给药,NP为2, 10,或50毫克/千克/天,最多14天。NP在≥10mg/kg/d时不能耐受,在死亡状态下处死数只动物,在50mg/kg/d时有明显的神经学临床症状。显微观察剂量≥2mg/kg/d时主要为脑白质、灰质中枢神经系统血管中心性炎症(主要是淋巴细胞和巨噬细胞),≥10mg/kg/d时较低的脊髓发病率。在≥2mg/kg/d时,肝脏也观察到以小叶中心静脉为中心的血管中心显微变化。同等剂量雌性比雄性更敏感。综上所述,在本研究的条件下,通过每日口服灌胃NP达2周,犬不能耐受,导致死亡、显著的神经学临床体征以及中枢神经系统和肝脏的血管中心显微改变。关键词:萘酚喹 疟疾 恶性疟原虫 毒性 神经毒性 肝毒性 血管中心性炎症简介:NP在10和50mg/kg/d时不能耐受,50mg/kg/d时有明显的神经学临床症状,在≥10mg/kg/d时死亡,导致早期安乐死。此外,雌性剂量≥2mg/kg/d和雄性剂量≥10mg/kg/d均可引起中枢神经系统和肝血管中心性炎症。动物:开始给药时大约为14个月大,体重7.8至10.1公斤。赋形剂对照组(0mg/kg/天,1雌1雄)、低剂量组(2mg/kg/天,1雌1雄)和中剂量组(10mg/kg/天,1雌1雄),高剂量组(50mg/kg/天,2雌2雄)。剂量组在剂量的第一天错开,以最低剂量开始。对照组动物同时服用10 mg/kg/天.所有犬每天大约8:00给药,剂量为5毫升/千克。每日记录临床症状,并对所有动物进行每日两次(上午和下午)评估死亡率、异常和疼痛或窘迫征象。在第1, 4, 8天、11天和第15天对所有存活的犬记录体重。在1至4, 4天至8, 8至11天和11至15天(生存期)确定定量食物消耗。2只幸存的大剂量动物在非计划安乐死前3天进行了详细的观察、体重和食物消耗。第1, 4和13天,使用马甲遥测系统测心电图。在给药后第1、4和13天,大约0.5、1、3、7和24小时时经颈静脉采集血样进行毒物动力学分析。所有动物预先采集血液样本,用于血液学、临床化学和凝血评估。除研究第2天安乐死的高剂量雄性动物外,还从早期安乐死的动物采集血液样本。所有动物在尸检前立即称重。所有动物(包括那些早期安乐死的动物)均进行尸体解剖,组织收集在10%中性缓冲福尔马林(肾上腺、主动脉、脑、盲肠、宫颈、结肠、十二指肠、附睾、食道、带骨髓的股骨[远端关节面]、胆囊、心脏、回肠、空肠、肾、泪腺、喉、肝、肺、淋巴结、乳腺、肠系膜、骨骼肌、卵巢、胰腺、垂体、前列腺、直肠、唾液腺、坐骨神经、皮肤/皮下、脊髓[颈、胸、腰]、脾、胸骨和骨髓、胃、胸腺,甲状腺/甲状旁腺、舌头、气管、输尿管、膀胱、子宫和阴道)或改良戴维森固定液固定(眼睛、视神经、睾丸)。使用大脑腹侧的解剖标志对三个冠状面(横向)水平进行采样:水平1在视交叉和乳头体之间采样,水平2在桥头端采样,水平3通过桥脑/髓质采样以获得合适的表示。小脑的从每个水平,对左半球采样。由于犬的大脑很大,来自1和2级的大脑半球被细分为背侧部分和腹侧部分,每只动物总共有5个大脑部分。此外,福尔马林固定、脑组织和肝组织石蜡包埋切成5μm,进行特殊或免疫组织化学(IHC)染色。所有用于特殊污渍的玻片在60℃下烘烤1小时,脱髓鞘,并在染色前水合。Perl's普鲁士蓝染色法检测铁,将玻片浸泡在亚铁氰化钾/盐酸溶液中30分钟,在去离子(DI)水中漂洗,用核坚牢红染色。各自器官中变化的强度和范围的严重程度如下:1=最小,2=轻微,3=中等,4=显著,5=严重。萘酚喹的血药浓度分析:所有样品在分析前均保持在-60℃以下。血浆样品用乙腈/甲醇混合物进行蛋白质沉淀处理。样品离心,采用液相色谱-串联质谱(LC-MS/MS),以正压化学电离为界面进行分析。校准曲线从0.500到10000纳克/毫升有效,使用0.0400毫升血浆。在所有浓度水平下,校准标准均在±30%范围内。.每组雄性犬和雌性犬的血浆Cmax(最高浓度)分别报告或作为高剂量组2只动物的平均值。类似地,观察Cmax值的时间被单独报告为Tmax值或作为高剂量组的平均值。使用梯形法则计算每只动物在剂量后0-24小时(AUC0-24hr)的血浆曲线下面积,并单独报告或作为高剂量组中2只雄性和雌性的平均值。结果:临床观察:根据临床观察,实验结束前剂量为10或50毫克/公斤/天的动物被安乐死。第二次给药剂量50mg/kg/天后,1雄性和1雌性出现抽搐,合并有共济失调、卧倒、唾液过多和粘液粪便,导致当天提前终止实验。其余2只给予50mg/kg/d的动物在第3天被安乐死,因为根据在该剂量水平下观察到的与NP有关的不利临床观察和存在可能继发于惊厥的显著升高的体温,进一步的剂量被认为是不合适的。每天服用10mg/kg的两只犬在第11天体重都显著减轻,第8至11天期间的食物消耗与早期间歇期和同期赋形剂对照组相比显著减少。第10天开始出现呕吐和发热的临床观察,动物在第11天不服用,并被安乐死。两组动物均以2 mg/kg/天存活至第15天的计划安乐死。该剂量所注意到的唯一临床观察是从第11天到15天雌性减少食物消耗和轻微体重减轻(0.5公斤)。当对照动物以与10毫克/千克/天剂量的动物相同的剂量给药时,在第11天也被安乐死。心电图参数(PR间期、QRS间期、QT间期、校正QT间期或心率)未见NP相关改变,心电图定性评价期间未观察到由NP引起的节律异常或定性的时间或剂量依赖性改变。临床病理学:在第2天被安乐死的50mg/kg/天的雌性动物中,仅观察到与NP相关的血液学或凝血学改变。这些发现包括轻度增加红细胞质量(红细胞压积相对于基线+9%)和绝对中性粒细胞计数(相对于基线+52%)和轻度降低绝对淋巴细胞和嗜酸性粒细胞计数(相对于基线,分别为-34%和-71%)。红细胞质量增加与脾脏收缩一致,白细胞变化与内源性儿茶酚胺和糖皮质激素释放应激反应一致。这些效应可能继发于安乐死前所观察到的抽搐。这项研究中唯一与NP相关的临床化学发现是在第2天安乐死的50mg/kg/天的雌性动物身上发现的,并且很可能继发于惊厥。这些发现包括中度降低葡萄糖浓度(-67%相对于基线),中度增加天冬氨酸氨基转移酶和肌酸激酶活性(分别为基线的5.0倍和8.4倍),中度降低无机磷和钾浓度(分别为-28%和-31%)。血糖浓度降低和肌肉酶活性升高与抽搐活动相关的葡萄糖消耗和肌肉损伤相一致。无机磷和钾浓度变化的具体机制不明显,但其他NP剂量动物均无类似变化。组织病理学:雌性剂量超过2毫克/公斤/天,雄性剂量超过10毫克/公斤/天,主要与NP相关的显微改变包括中枢神经系统和邻近脑膜中微量至明显的血管中心性炎症,偶尔出现。中枢神经系统炎症的特征是淋巴细胞和巨噬细胞含有稀少的中性粒细胞,填充和扩大了Virchow-Robin空间,并且经常使血管壁模糊,多灶性、通常为血管周围、细胞质增加的区域。在服用NP的4只雌性中,有2只在脊髓的白质和灰质中观察到类似的血管中心炎性改变和/或胶质增生病灶区。在3只雌性动物的脑膜中,观察到白色和类似的局灶性、稀疏分布的血管中心性炎症变化。尽管显微变化始终以血管系统为中心,但是没有观察到直接血管损伤的形态学证据,如纤维蛋白样坏死或脓结碎片。与在第11-15天实施安乐死的动物相比,2只雄性动物在50 mg/kg/天的脑内的显微发现通常是严重程度较低且更为急性的(在炎性浸润中中性粒细胞比例增加),可能是由于这些动物的治疗时间短(2-3天)。1只雌性每天服用50mg/kg,在研究第3天安乐死,表现出与后来安乐死者相似的分布的显著炎症。与对照组相比,受影响的动物在胶质纤维酸性蛋白(GFAP)标记(星形胶质细胞)的性质、强度或模式上均无差异。NP相关的血管中心显微改变在肝脏中也有所体现,并且以微小到轻微的血管炎症和血管周围炎症为特征,主要集中于雌性剂量≥2mg/kg/d和雄性剂量≥10mg/kg/d的小叶中心静脉。. 此外,每天50mg/kg的雌性有1例出现轻度肝细胞单细胞坏死并伴有实质炎症,每天≥10mg/kg的雌性Kupffer细胞中有铁色素沉积。在其他各种组织和器官中,观察到少量的NP相关显微变化,这些变化倾向于高剂量组。这些变化包括空泡化的肺泡巨噬细胞浸润,肾上腺皮质空泡化,胰腺腺泡细胞空泡化,偶尔出现单细胞坏死,胃肠道粘膜中性粒细胞浸润,盲肠和结肠单细胞坏死。(粘膜上皮细胞)、骨髓的造血功能低下,以及胃肠道相关淋巴组织、脾脏、咽后淋巴结和肠系膜淋巴结中的淋巴细胞耗竭/坏死。毒理动力学评价:在赋形剂对照动物的任何样本中没有观察到可测量的试验物品浓度。血浆NP暴露量一般在2~10mg/kg/d之间与剂量增加成正比,并有累积。结论:经口灌胃给予比格犬NP 2周,剂量分别为10和50mg/kg/天,不能耐受,50mg/kg/天有明显的神经学临床症状,在≥10mg/kg/天可导致早期安乐死。. 此外,雌性剂量≥2mg/kg/d和雄性剂量≥10mg/kg/d均可引起中枢神经系统和肝血管中心性炎症。



