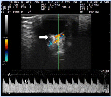
摘要:背景:枸橼酸西地那非可以增加眼部血流量,可用于治疗涉及反射性血管收缩的眼部疾病。因此,本研究旨在确定药物对健康兔球后循环的血管舒张作用。治疗前和治疗后第1天(M1),7(M2),14(M3),21(M4),和30(M5),测量用枸橼酸西地那非或生理盐水处理后的兔眼内压(IOP)、平均动脉压(MAP)、眼灌注压(OPP)和外眼动脉的彩色多普勒成像。结果:治疗组的MAP和OPP值均低于对照组,平均值在M1(S=71.52毫米汞柱,C=84.76毫米汞柱,P=0.0356)和M5(S=71.38毫米汞柱,C=85.52毫米汞柱,P=0.0252)时有统计学差异。眼内压和彩色多普勒值在试验组之间没有差异。结论:10毫克的枸橼酸西地那非给健康兔造成全身性血管扩张,从而降低MAP和OPP值。然而,它不引起眼压和眼球后血流动力学的变化,可通过外眼动脉的彩色多普勒评价来识别。关键词:磷酸二酯酶5型抑制剂 彩色多普勒显像 眼内压 平均动脉压 兔 眼部循环背景:枸橼酸西地那非是第一个磷酸二酯酶5型(PDE-5)抑制剂被批准用于治疗勃起功能障碍,并已成为世界上最广泛的处方药物之一。该药物抑制PDE5、水解环磷酸鸟苷(cGMP)的酶,调节cGMP的循环水平,进而导致阴茎海绵体肌松弛和局部血流量增加。然而,PDE5不仅存在于阴茎海绵体中,还存在于周围动脉和静脉平滑肌细胞中,也存在于肺和冠状循环、血小板和血管内皮细胞中。因此,PDE5抑制剂药物可引起全身血流动力学改变。虽然该药物广泛用于治疗勃起功能障碍,但一些使用者表现出视觉副作用,例如视力模糊和对光的敏感性增加。这些症状与存在于视网膜中的磷酸二酯酶6型药物的交叉抑制有关,参与光传导机制的调控。然而,关于枸橼酸西地那非抑制视网膜和球后血流抑制这些区域血管壁中PDE5的作用尚未达成共识。识别和量化由枸橼酸西地那非引起的球后循环中的血管舒张活性可以提供重要的临床信息,特别是对于患有眼反射性血管收缩条件的患者,如肾衰竭患者视网膜高血压。慢性高血压导致视网膜小动脉的持续代偿性血管收缩,引起缺血和视网膜变性,损害了该组织的功能。考虑到枸橼酸西地那非治疗具有反射性血管收缩的眼部疾病的潜力,本研究的目的是基于眼部灌注压力的评估和外眼动脉的彩色多普勒成像,确定药物是否具有血管扩张剂对健康兔眼球后循环的影响。方法:动物和实验设计:本研究对健康成年雄性新西兰白兔14只,平均体重2.5 kg。样本量基于获得可靠统计结果所需的数量。兽医进行临床检查后,动物的眼睛和总体健康被认为是正常的。兔单笼饲养,自由采食和饮水,温度24±1°C。将兔分为两组,每组七只(n=7),对照组(C)和治疗组(S)。组(C)口服1.5毫升盐水,对照组口服枸橼酸西地那非10 mg。两组均按24小时间隔进行治疗连续治疗30天。实验方案:(1)口服西地那非扩血管剂,(2)测量眼内压(IOP),(3)测量平均动脉压(MAP),和眼外动脉的彩色多普勒超声成像。口服枸橼酸西地那非,在摄入药物和后续步骤之间允许45至60分钟的等待时间。每周进行一次评估:第一天(M1),第七天(M2),第十四天(M3),第二十一天(M4),和第三十天(M5)。测量IOP和MAP和多普勒研究,未经镇静的兔子被裹在毛巾中,只留下头部供研究者测量。在评估期间,不采取过度的力量来限制动物。为了减少节制期,仅对每只动物的右眼进行检查,从而避免应激对球后循环的影响,并优化药物的作用时间。眼内压测量:用Too-PoN AVAS VET?压平眼压计测量兔眼压。该程序包括轻轻抬起眼睑,在眼睛上滴下0.5%丙美卡因,五分钟后用眼压计进行测量。MAP测量:在兔耳背侧表面切开和防腐后,用24G导管插管中心动脉。然后将导管插入半刚性硅胶管系统。在该系统中,两个硅胶管连接到三通旋塞阀上。一个管的自由端用导管固定,另一端用BD血压计。然后用1毫升肝素/ 1000毫升0.9%盐水填充该系统。空气/液体界面位于右心房和眼的高度,用血压计读平均动脉压。OPP计算:眼灌注压(OPP)是通过眼内压(IOP)减去平均动脉压(MAP)来确定的,如Kiel& Huvin所描述的。彩色多普勒显像:使用Mylab的30兽医超声系统耦合到13 - 18 MHz线性换能器进行外眼动脉的彩色多普勒评价。检查前,滴注0.5%滴盐酸丙美卡因局部麻醉剂麻醉角膜。然后将无菌水性凝胶层涂抹到角膜表面,并将传感器轻轻放置在纵向位置,位置指示器面向上眼睑。用二维模式记录眼球和视神经的矢状面图像。用彩色多普勒超声观察眼外动脉在视神经入口附近的位置。然后将脉冲波多普勒的光标立即定位在眼腔动脉上,用均匀的声发射方法记录血管腔内的血流曲线,在此基础上用该曲线评价峰值收缩速度(PSV)和舒张末期速度(EDV)。未校正角度,测量不大于60°。根据PuleloT方程(Ri=PSVαEVS/PSV),用Mylab软件自动计算眼部动脉阻力指数(RI),并用同一算子(APAC)对其曲线进行分析,对三个连续曲线的PSV和EDV进行了标记。统计方法:采用随机2×5裂区试验设计,用相应的处理(有和不含枸橼酸西地那非),评估M1-M2-M3-M4-M5,从每一只动物到一个实验组。使用R?统计软件,通过Shapiro-Wielk检验对数据进行正态性检验,并进行方差分析。用TUKEY检验方法进行比较。结果:眼灌注压:两组平均基线IOP、MAP和OPP值分别为11.85毫米汞柱、80.71毫米汞柱和68.85毫米汞柱。在实验条件下,组(S)的MAP和OPP值较对照组(C)在M1(S=71.52毫米汞柱,C=84.76毫米汞柱,P=0.0356)和M5(S=71.38毫米汞柱,C=85.52毫米汞柱,P=0.0252)时有统计学差异。然而,IOP值在实验期间没有统计学差异。彩色多普勒显像:治疗前,两组家兔右眼外眼动脉彩色多普勒观察的平均基线值为22.99 cm/s,EDV为12.29 cm/s,阻力指数为0.53。眼外动脉在彩色多普勒中显示出红色血流,表现为具有中等电阻率、二色性和存在两个峰值收缩速度的层流模式。但在实验条件下,试验组的彩色多普勒超声值无统计学差异。讨论:本研究发现枸橼酸西地那非降低了家兔的平均动脉压。在人类中,这种药物也被发现在摄入后一小时引起收缩压和舒张压显著降低。然而,其他研究发现,在服用该药后,人体血压没有变化。尽管MAP在M1和M5时刻显著降低,但是治疗的动物没有低血压,因为该物种的正常血压范围从70毫米汞柱到170毫米汞柱。结论:根据本研究中获得的数据,可以指出,剂量为10mg的西地那非给健康兔造成全身性血管扩张,降低其平均动脉压和眼灌注压。然而,该药物不会引起眼球外动脉血流动力学变化,也不会改变眼压。



