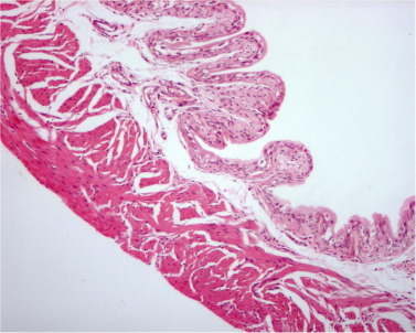
摘要:环磷酰胺(CP)是一种抗肿瘤药物,广泛应用于癌症和非恶性肿瘤的治疗。CP的主要副作用之一是出血性膀胱炎。螺旋藻(Sp)是一种能抑制氧化应激的蓝绿藻,可用于减轻化疗药物的副作用。本研究的目的是评价Sp的抗氧化能力,保护小鼠免受环磷酰胺引起的尿毒性和出血性膀胱炎的影响。成年雌性小鼠口服Sp(600g/kg体重/天)超过9天,开始摄取Sp前4天(CP+Sp组),或摄取Sp后4天(Sp+CP组),单剂量CP(40mg/kg)腹腔注射。另外两组分别用SP或CP处理。结果表明,CP可引起小鼠出血性膀胱炎,与对照组相比,丙二醛(MAD)显著升高,谷胱甘肽(GSH)显著降低,而单用Sp的小鼠则相反。此外,CP+Sp组与单纯CP组和Sp+CP组相比,MAD和GSH水平明显升高,而单用CP的小组则相反。此外,膀胱组织形态学改变明显低于CP组。总之,预处理SP保护小鼠由于CP引起的尿毒性,可能通过其抗氧化和抗凋亡特性。关键词:环磷酰胺 螺旋藻 出血性膀胱炎 丙二醛 谷胱甘肽 小鼠简介:环磷酰胺(CP)已用于治疗某些类型的癌症(淋巴瘤、白血病和多发性骨髓瘤)和非恶性疾病,如类风湿性关节炎。. 然而,CP有许多副作用,其中主要的副作用是出血性膀胱炎(HC),它由膀胱的急性炎症引起。丙烯醛,CP的代谢产物,在许多细胞部位迅速反应并消耗细胞抗氧化剂。它也可以与DNA的某些蛋白质残基和亲核位点反应。此外,CP已被认为是脂质过氧化的诱发剂。丙烯醛是CP的代谢产物,是一种反应性和相对亲电性化合物,其高毒性与快速进入尿路上皮有关,因为它的化学性质是不饱和醛,以及增加膀胱上皮组织活性氧(ROS)的表达。许多研究都使用抗氧化剂,包括α-生育酚、β-胡萝卜素和褪黑素作为保护剂对抗CP引起的膀胱损伤,消除CP的尿毒性,提高药物的耐受性。螺旋藻是一种具有生物活性的光合蓝藻,广泛用于生产营养补充剂。事实上,许多活性成分的SP,包括藻蓝蛋白,生育酚,β-胡萝卜素和酚类化合物表现出抗氧化性能。Sp富含脂肪酸(亚油酸、F-亚麻酸和棕榈酸)、必需氨基酸、硒和维生素A-E。丙二醛(MDA)是脂质氧化变性过程中游离氧自由基的产物,是氧化应激的指示剂。研究表明,ROS在CP诱导的HC中起重要作用。生物系统具有许多生物分子试剂,以保护自身免受自由基的损伤。谷胱甘肽(GSH)是最丰富的胞内硫醇基抗氧化剂,在抗氧化损伤的细胞防御级联反应中起重要作用。GSH,谷胱甘肽过氧化物酶的辅因子,催化过氧化氢还原为氧和水,从而限制羟基自由基的形成,其是高毒性活性氧。酶作为抗氧化剂的活性依赖于某些金属酶,这些金属酶反过来需要微量元素、微量营养素在体液中以非常低的浓度(μg/dl)存在,以便有效地发挥作用。本研究的目的是从生物化学和组织病理学方面证实CP对膀胱的毒性作用,并评估Sp提取物减轻这种副作用的能力。动物:雌性BALB/c小鼠共50只(年龄6周,体重25~30克)。自由采食和饮水。湿度保持在55±10%,温度控制在23±1°C。药物:CP在0.9% NaCl溶液中溶解,制备原液,腹腔注射。SP口服灌胃。实验设计:将小鼠分为五组(每组10只),如下:1、 阴性对照组(C),动物腹腔注射0.5毫升生理盐水。2、 阳性对照(CP)组,CP溶液0.5ml生理盐水(40毫克/千克),腹腔注射。3、 SP组,小鼠口服溶于0.5ml生理盐水的SP,(600毫克/公斤),连续九天。4、 CP+SP组,小鼠按CP组处理,注射CP后第4天开始给予SP 600mg/kg体重。5、 SP+CP组,将小鼠按照SP组处理9天。并在SP处理4天后给予腹腔注射CP(40毫克/公斤)。所有小鼠在9天结束时处死。各组小鼠在实验终止时用心脏穿刺采集血样。小鼠抽取全血,其中2ml与乙二胺四乙酸混合,用全自动血液分析仪进行全血计数,其余的血液留置,用离心法从凝固的血液中制备血清。2000转每分钟连续5分钟。血清分为两份, ELISA检测MDA和GSH,原子吸收光谱法测定锌和硒。组织学分析:组织用10%福尔马林固定,石蜡包埋后,将组织切成5μm切片,后用苏木精-伊红(HE)染色,观察膀胱的一般结构。根据以下现象评估膀胱损伤的严重程度:水肿、出血、上皮细胞脱落和平滑肌细胞破坏。结果:SP抑制CP诱导的小鼠氧化应激:实验结束时(第9天),CP组血清MDA水平显著高于对照组,而Sp组显著低于CP组。此外,Sp组血清GSH水平显著升高,而CP组与对照组相比显著降低。SP减弱CP诱导的小鼠锌和硒水平的降低:CP单独给药可使小鼠血清锌和硒水平显著下降。单独使用SP治疗可显著提高血清锌和硒水平。CP后摄取Sp(600mg/kg)较CP组锌、硒水平显著降低,但仍低于相应水平。CP前施用Sp导致血清锌和硒水平进一步升高,但仍略低于相应的水平。SP降低或预防CP诱导的小鼠血液学参数的降低:对第9天小鼠血液的实验室分析表明,CP处理小鼠的红细胞计数(RBC)、血红蛋白(Hb)浓度、血小板计数和白细胞计数(WBC)均比对照小鼠显著降低。以600mg/kg灌胃给予环磷酰胺能显著提高预先注射环磷酰胺的小鼠的血小板计数、白细胞数及血红蛋白浓度,而对红细胞计数无明显影响。如果在CP前给予Sp,则四个血液学参数的改善更为显著,并且它们的水平接近于对照水平。SP预防CP对小鼠膀胱组织损伤的实验研究:组织病理学分析显示,CP组膀胱损伤程度最高。值得注意的是,SP+CP组的损伤较CP组减少。在对照组和SP组中,膀胱组织结构正常。正常膀胱壁由坚固填充的过渡细胞形成的尿路上皮组成,浅层伞状细胞具有极小的细胞间隙,浅层伞状细胞具有极小的细胞间隙。将上皮与固有层分离的基底膜是完整的。粘膜皱襞消失,管腔内无渗出物。相比之下,CP处理的动物的膀胱壁显示出严重的损伤,表面上皮脱落。膀胱固有层明显水肿,上皮细胞浑浊肿胀,粘膜和尿路上皮下结缔组织炎症,导致血管损伤,随后出血,形成肉芽组织。在CP注射后使用SP,大多数小鼠的膀胱壁表现正常。然而,某些小鼠表现出部分脱落的上皮细胞。另一些则表现为移行细胞的细胞核增厚和基底细胞增生,表明有损伤修复。SP预处理组尿路正常,无病理组织学改变。本实验表明,接受CP的小鼠红细胞、血红蛋白、白细胞和血小板显著减少,这些发现与报道CP诱导小鼠白细胞减少的其他研究一致。CP治疗的小鼠贫血可能是慢性病引起的贫血。然而,其他原因包括自身免疫性溶血性贫血、缺铁性贫血、慢性肾衰竭贫血和CP相关的骨髓毒性。在本研究中,Sp处理可减轻这些血液学参数的紊乱,因为与CP处理的小鼠相比,Hb、RBC、WBC和血小板计数增加。这些结果与先前的研究结果非常吻合,即饮用水中补充Sp 30天可引起大鼠红细胞和血红蛋白显著增加。还发现,如果在CP之前给予Sp,而不是在CP之后给予Sp,血液学参数的紊乱会较大程度地减轻,这表明Sp可能对红细胞生成过程有显著的影响。然而,与对照组相比,单用Sp治疗对这些血液学参数均无显著影响。这些发现提示,Sp还可以防止其他化疗药物引起的毒性,其作用机制与CP的相似。Sp可以减轻慢性CP相关的尿毒性。CP与强抗氧化剂的联合应用可能适合于降低其尿毒性,这得到了本研究用Sp治疗CP诱导的小鼠的结果的支持。结论:CP处理与HC和膀胱癌的风险增加有关,而Sp预防膀胱炎的有效性很大程度上取决于其抗氧化特性。本研究中,CP处理后的抗氧化剂GSH、Zn和Se显著降低。而SP处理则相反。CP引起MDA水平升高,以及严重损害膀胱。本研究表明,Sp具有抗氧化和抗凋亡作用,可防止CP引起的尿毒性和出血性膀胱炎。可以推荐SP作为食品添加剂,以减轻多种药物的副作用,并刺激吸毒者的免疫系统。



