在非酒精性脂肪性肝病(Nonalcoholic fatty liver disease, NAFLD)的进展中,肝脏会发生一系列典型的组织病理学变化,包括从单纯的脂肪变性到伴有或不伴有纤维化的脂肪性肝炎,并最终发展为肝硬化或肝癌,缓解肝细胞损伤和抑制肝脏炎症的发生是防治NAFLD进展的关键。
铁离子是细胞和有机体生物过程所需的基本元素。而铁代谢紊乱是NAFLD肝细胞损伤和死亡的一个重要因素。研究发现铁超载在肥胖人群中更常见,而铁螯合剂甲磺酸去铁胺(DFOM)通过降低线粒体铁含量可有效减轻NAFLD的肝损伤程度。过量的亚铁离子(Fe2+)可通过芬顿反应产生大量活性氧(ROS),后者通过抑制ATP、NAD和谷胱甘肽的生成导致细胞死亡。因此,铁离子代谢与NAFLD的进展密切。
小窝蛋白(Caveolin-1, Cav-1)是一种分子量为21-24kDa的整合膜蛋白,在内皮细胞、肝细胞、肺上皮细胞、成纤维细胞和脂肪细胞等细胞中广泛存在,并在多种肝脏疾病中起着至关重要的作用。然而,Cav-1在NAFLD中的作用仍需进一步探讨。
南方医科大学中医药学院高磊教授团队在Military Medical Research(1区,IF 21.1,CiteScore排名 10/830)杂志上发表Caveolin-1 is critical for hepatic iron storage capacity in the development of nonalcoholic fatty liver disease的研究论文(Research Article),证实了Cav-1是调节铁和脂质代谢稳态的重要靶蛋白。它是预测和预防NAFLD发展的关键分子。
南方医科大学中西医结合医院博士后邓广辉为文章第一作者,南方医科大学中医药学院高磊教授为文章通讯作者。

图片来源:《Military Medical Research》
(https://doi.org/10.1186/s40779-023-00487-3)
研究材料与方法
在这项研究中,研究人员采用Flox-Cre系统构建肝细胞特异性Cav-1条件性敲除小鼠模型(由赛业生物提供)以及腺病毒(AAV-Cav-1)构建肝细胞特异性Cav-1过表小鼠模型。
研究方法
在研究中采用铁含量测定试剂盒、普鲁士蓝染色、Western blotting、免疫荧光染色、免疫组织化学染色及ELISA检测肝组织或血清中铁浓度、Cav-1及铁代谢相关蛋白的表达。
技术路线
01 Cav-1在NAFLD下调
02 Cav-1通过调节肝组织FTL/FTH促进Fe3+的形成
03 肝细胞中过表达的Cav-1激活FTL/FTH通路改善铁储存减轻NAFLD的进展
04 敲除肝细胞中的Cav-1进而促进NAFLD中Fe2+的积累而加重肝损伤
05 血清Cav-1是监测NAFLD患者铁稳态的关键指标
研究结果
1 在NAFLD模型中Cav-1表达下调,并伴有脂质和铁代谢异常
研究人员发现喂食HFD12周的小鼠成功诱导了明显脂质代谢紊乱的NAFLD模型并存在在严重的铁代谢功能障碍。考虑到Cav-1在血脂异常中被广泛研究,大量研究表明Cav-1基因变异与膳食脂肪酸摄入之间存在潜在的相关性,在之前的研究表明,Cav-1可以抑制自身免疫性肝炎的肝铁代谢功能障碍。通过免疫组化及肝脏原代细胞提取检测,作者发现Cav-1在NAFLD重下调,表明脂质和铁代谢异常与NAFLD的发展有关,而Cav-1可能在NAFLD中起关键作用。
2 在高铁饮食下,Cav-1通过调节肝组织FTL/FTH促进Fe3+的形成
研究人员利用AAV成功制备肝细胞特异性Cav-1过表达小鼠并构建高铁饮食模型。普鲁士蓝染色显示,在高铁模型中,肝细胞中Cav-1的过表达增加了Fe3+的浓度,FTL和FTH的表达水平显著升高,表明Cav-1可能通过调节FTL/FTH的表达,将Fe2+转化为Fe3+,并以铁蛋白的形式储存在肝脏中。
3 肝细胞中过表达的Cav-1通过激活FTL/FTH通路改善铁储存能力,从而减轻NAFLD的进展
作者用肝细胞特异性过表达Cav-1的小鼠来验证Cav-1在NAFLD中的作用,发现Cav-1减少了NAFLD的肝脏脂质积累,并抑制血清总铁及肝组织中Fe2+浓度。为了更深入地研究Cav-1调控铁代谢的确切机制,研究人员对FTL/FTH通路,及投射电镜结果进行分析,发现Cav-1通过激活FTL/FTH通路提高铁储存能力,在减轻肝损伤中起着至关重要的作用。
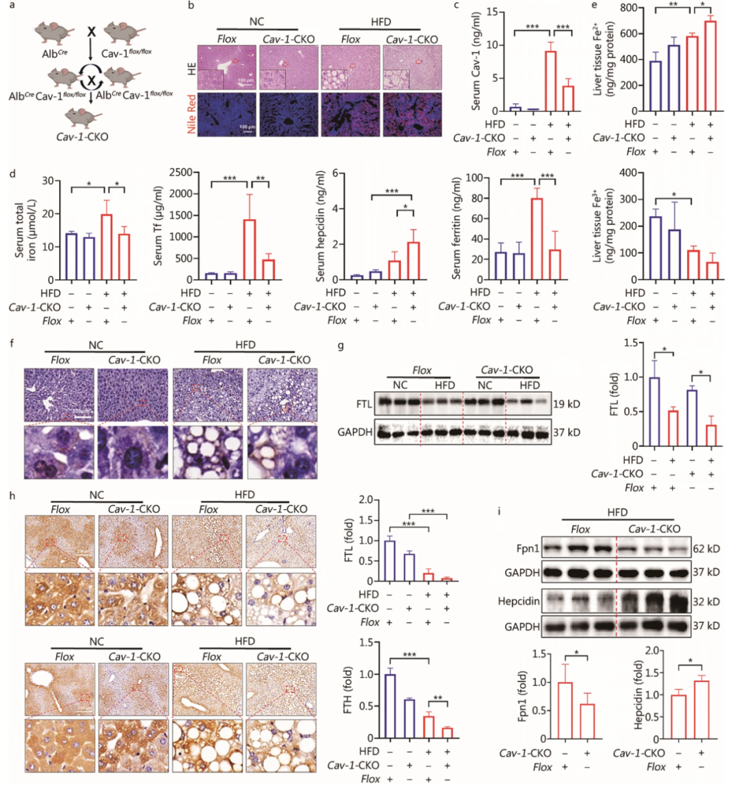
4 敲除肝细胞中Cav-1进而促进NAFLD中Fe2+的积累而加重肝损伤
为了佐证试验结果,研究人员采用Flox-Cre系统构建肝细胞特异性Cav-1条件性敲除小鼠(由赛业生物提供),进一步验证了Cav-1在铁代谢中的作用。Cav-1缺乏逆转了血清总铁的变化(P<0.05),Tf(P<0.01)和铁蛋白(P<0.001)水平。与Flox HFD组比较,Cav-1-CKO HFD组小鼠肝组织中Fe2+浓度显著升高(P<0.05)。此外,Cav-1-CKO HFD组中,FTL和FTH表达水平降低(P<0.01),Fpn1表达降低,hepcidin表达升高(P<0.05)。综上所述,敲除肝细胞中的Cav-1进而加速Fe2+的积累而加剧NAFLD的进展。(图1)

敲除肝细胞中Cav-1进而促进NAFLD中Fe2+的积累而加重肝损伤[1]
研究结论
综上所述,该研究采用肝细胞特异性Cav-1基因修饰小鼠,结合体内/体外实验,利用临床血清样本,证实肝脏中Cav-1主要通过激活肝细胞FTL/FTH途径抑制肝脏Fe2+的过度累积,最终缓解肝脏的损伤程度,而血清Cav-1有望成为监测铁离子水平变化的又一临床指标,该研究证实Cav-1是调控NAFLD进展的关键靶蛋白。
原文检索:
[1]Deng, GH., Wu, CF., Li, YJ. et al. Caveolin-1 is critical for hepatic iron storage capacity in the development of nonalcoholic fatty liver disease. Military Med Res 10, 53 (2023).
赛业小鼠模型构建
赛业生物构建了Cav-1(Cav1)基因敲除小鼠与条件性基因敲除小鼠,更有活体小鼠已加入『红鼠资源库』,快至2周交付!确保您在短时间内获得更具性价比的实验用鼠,为您的研究加点速~
Cav1 KO小鼠

品系名称:
C57BL/6NCya-Cav1em1/Cya
品系编号:
KOCMP-12389-Cav1-B6N-VA
产品编号:
S-KO-01349
应用方向:
神经系统,肌肉,心血管,内分泌,生理系统,细胞生物学,肝脏
打靶方案:

Cav1 flox小鼠

品系名称:
C57BL/6JCya-Cav1em1flox/Cya
品系编号:
CKOCMP-12389-Cav1-B6J-VC
产品编号:
S-CKO-17614
应用方向:
神经系统,肌肉,心血管,内分泌,生理系统,细胞生物学,肝脏
打靶方案:



